Fracturas Flashcards

(34 cards)

1
Q

Tips Rx Fractura

A

AP y Lateral

Oblicua en:
mano
pie
cadera
hombro

How well did you know this?
1
Not at all
2
3
4
5
Perfectly
2
Q

Uso de RM en fracturas

A

Lesiones ligamentaria o tendinosa

Rx ocultas

How well did you know this?
1
Not at all
2
3
4
5
Perfectly
3
Q
A

Fx clavicula

How well did you know this?
1
Not at all
2
3
4
5
Perfectly
4
Q
A

TC fx clavicula

How well did you know this?
1
Not at all
2
3
4
5
Perfectly
5
Q

Características Fx colles

A

Mano extendida
Desviación dorsal epifisis
Asociada a osteoporosis >40 años

How well did you know this?
1
Not at all
2
3
4
5
Perfectly
6
Q

Características Fx smith

A

Fx en flexion
Desviación palmar epifisis

How well did you know this?
1
Not at all
2
3
4
5
Perfectly
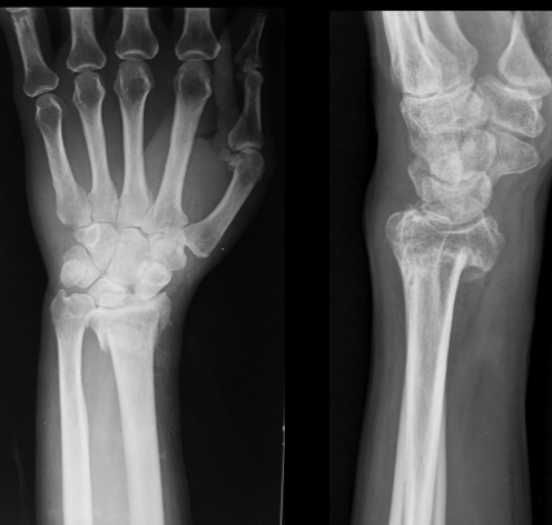
7
Q
A

Colles

How well did you know this?
1
Not at all
2
3
4
5
Perfectly
8
Q
A

Smith

How well did you know this?
1
Not at all
2
3
4
5
Perfectly
9
Q

Que pedir en fracturas de falange y metacarpianos?

A

AP y lateral Falanges
AP y oblicua Metacarpianos

How well did you know this?
1
Not at all
2
3
4
5
Perfectly
10
Q
A

Fx falange

How well did you know this?
1
Not at all
2
3
4
5
Perfectly
11
Q
A

Fx de falange

How well did you know this?
1
Not at all
2
3
4
5
Perfectly
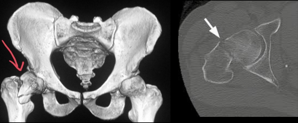
12
Q

A que se asocian las fx de cadera?

A

Osteoporosis

How well did you know this?
1
Not at all
2
3
4
5
Perfectly
13
Q
A

Cabeza
Cuello
Intertrocantereo
Subtrocantereas

How well did you know this?
1
Not at all
2
3
4
5
Perfectly
14
Q
A

Fx cuello femoral

How well did you know this?
1
Not at all
2
3
4
5
Perfectly
15
Q
A

Fx intertrocanterica

How well did you know this?
1
Not at all
2
3
4
5
Perfectly
16
Q
A

Fx cuello femoral

17
Q
18
Q
19
Q
20
Q
21
Q
A

Shatzker 5 y 6

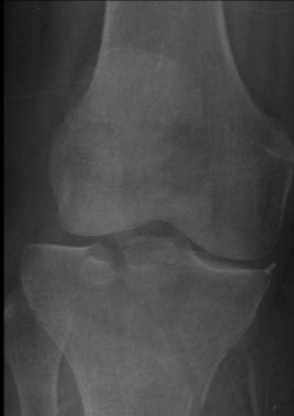
22
Q
A

Fx en espiral

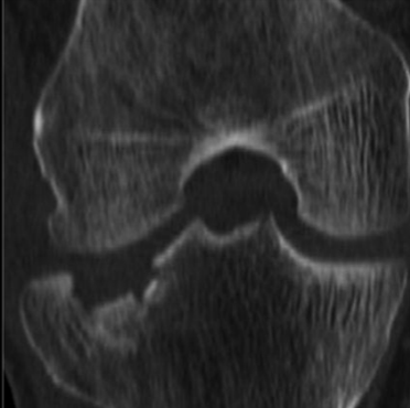
23
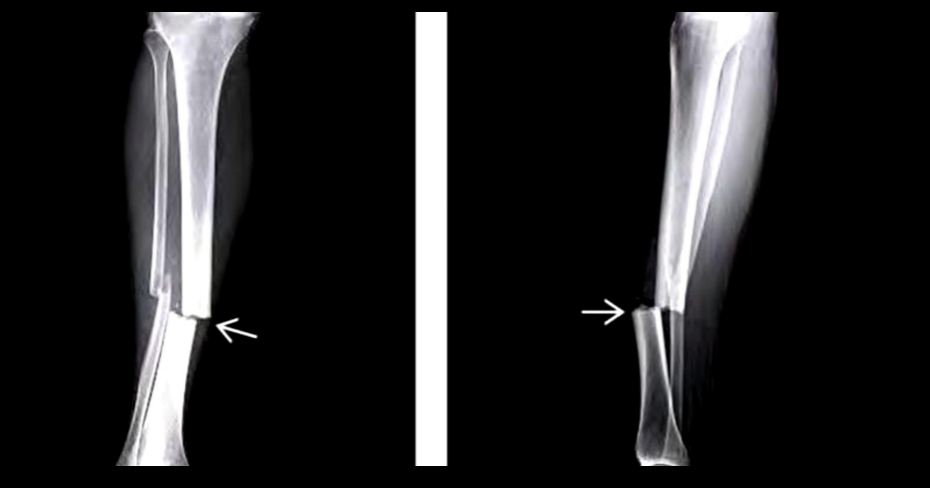
Q
A

Fx tibia trasversa

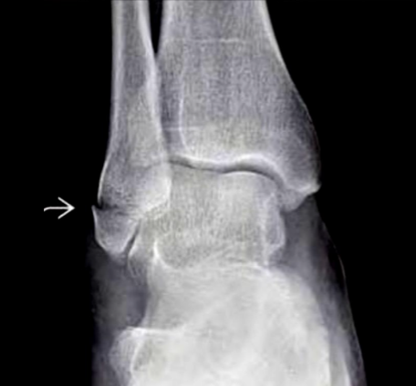
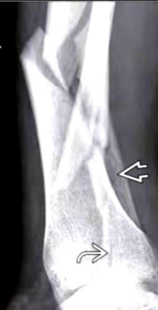
25
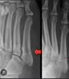
Weber B y C Seguna bimaleolar
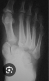
26
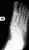
Fx de Jones Base del 5to metacarpiano
27
Que es la fractura de lisfranc?
Fx Luxación de Art. tarso metatarsiana
28
Tipos de fx de lisfranc
Homolateral Completa Homolateral Incompleta Divergente Aislada
29
.
30
Fx lisfranc
31
Fx lisfranc homolateral A
32
Fx lisfranc Aislada
33
Fx lisfranc divergente
34
Weber A: fx perone por debajo del plafón tibial B: fx perone a nivel del plafon tibial C: fx perone por encima del plafón tibial