label A-D

A: moderator band
B: trabeculae carnae
C: chordae tendinae
D: anterior papillary muscle

label the heart chambers


what do a and b show?










what does the superior mediastinum mostly contain? [2]
great vessels
nerves
where does the phrenic nerve enter the superior mediastinum?
between the subclavian artery and the origin of the subclavian vein

what does the phrenic nerve cause during inhalation / exhalation? [2]
The motor innervation activation will cause the diaphragm to contract with inspiration, resulting in a flattened diaphragm and increased intrapleural space.
During exhalation, the diaphragm relaxes and returns to the dual dome shape.
The phrenic nerve also provides touch and pain sensory innervation to the mediastinal pleura and the pericardium in addition to the intercostal nerves.
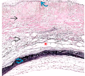
what are the arrows, arrowheads, A & B?


what are the three layers that make up the heart valves?
– Fibrosa: forms the core of the valve -DIC.
– Spongiosa: LCT on atrial side (loose collagen/elastic fibres), as shock absorber. has bubble morphology (looks like a sponge)
– Ventricularis: Adjacent to ventricular surface of the valve. DCT with elastic fibres. Forms the _chordae tendineae (_fibrous cords covered with endothelium).
(on picture - first arrow: Fibrosa, middle, spongiosa, last - ventricularis)

what is the function of bundle of his? [
It is a collection of cells that carry electrical signals from the AV node to the to the ventricles of the heart.
what does the big arrow point to in this pictutre of cardiac histology? [1]

bundle of His
explain how the cardiac conducting system works x
which are the specifc cells that make up this system?
where does it occur (2)?
big arrow in picture points towards: Bundle of His

what are the two types of venules?
how do u distinguish them?
(picture on right = postcapil, on left; muscular venules)

** which method of calculating HR do you use if the ECG is irregular? **
QRS X 6
on ECG, what is small box and large box on x axis?
small box: 40ms
large box: 0.2s
what is the J point on ECG?
The J (junction) point in the ECG is the point where the QRS complex joins the ST segment

how long should QRS complex usually last?
QRS complex: usually 60-100ms
calculate the HR of this ECG

methods: Heart rate (bpm) = 300 / RR interval in large squares HR = 300/4.1 = **73 bpm**
OR
the rhythm strip should be 10seconds long, so can calculate HR as
for each lead (I, II & III), where do you find negative and positve electrodes?

chest leads (V1-V6) view heart in which plane?
how do they change (V1-V6)?
horizontal plane !
V1-V6: starts in more downwards and gets more postive

what is normal PR interval?
120-200ms