Which histological landmarks of the sarcomere shrink when a muscle contracts? [3]
The I-band and the H-band decrease in size; [2]
the A-band remains the same.
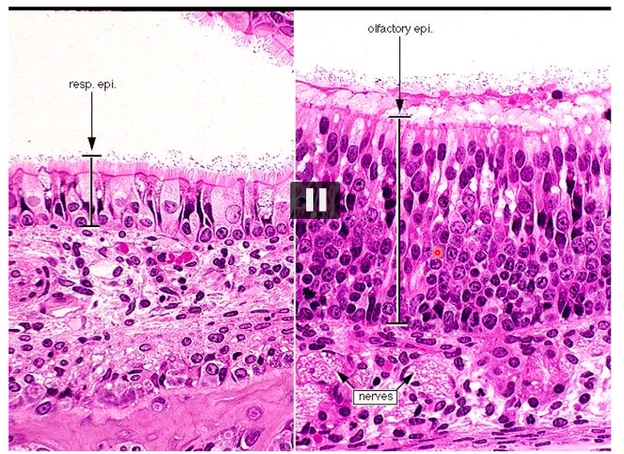
what type of cells line the nasal cavity respiratory system - respiratory mucosa?
what are the 3 different types?^
what is role? (2)
respiratory mucosa:
- ciliated, pseudostratified columnar epithelium
a) goblet cells - tall columnar cells producing mucous
b) brush cells - bear short microvilli
c) basal cells - stem cells
role:
warms, moistens and filters the inspired air

how does respiratory and olfactory epithelium differ? / how can you tell the difference? (2)
olfactory epithelium has pseudostrat thicker (but still not stratified)!!
AND
nerve fibres in olfactory lamina propria

what cell type makes true and false vocal cords? [1]
non k stratified squamous
what is the name of the ring that connects between tracheal cartilage? [1]
trachealis muscle
what is the difference in structure of bronchioles like compared to trachea? [3]
bronchioles:
trachea:
name 3 functions of clara cells [3]
clara cells
function:
what are the 4 layers that exist between the bllod and inspired air in the blood-air barrier?
capillary endothelium
fused basal lamina
alveolar epithelium (type 1 pnemocyte_
surfactant






1 = hyoid bone
2 = epiglottis
3 = thyroid cartilage
4 = arytenoid cartilage
5 = cricoid cartilage


1 = hyoid bone
2 = epiglottis
3 = thyroid cartilage
4 = arytenoid cartilage
5 = cricoid cartilage


1 = hyoid bone
2 = epiglottis
3 = thyroid cartilage
4 = arytenoid cartilage
5 = cricoid cartilage


1 = hyoid bone
2 = epiglottis
3 = thyroid cartilage
4 = arytenoid cartilage
5 = cricoid cartilage

which is the only muscle that can actively opens the vocal cords? [1]
Posterior crico-arytenoids: between the lamina of the cricoid and the arytenoid cartilages

what is this muscle?
what is its function?

vocalis: reduces tension on the vocal cords, reducing pitch of voice

which muscle and which nerve supplies the muscle that gives tone to voice? [2]
cricothyroid muscle
external laryngeal muscle
what is the charge inside a cardiac cell?
what is the charge inside a cardiac cell?
- 60 mv
what charge do cardiac cells need to be for Na+ influx to occur and begin depolarisation? [1]
-70 mv
what is the membrane threshold potential that stimulates SAN depolarisation? [1]
-40mV

how can you tell the difference histologically between PCT and DCT? [1]
PCT has brush border on luminal surface, DCT does not / The DCT is lined with simple cuboidal cells that are shorter than those of the proximal convoluted tubule (PCT
