how does peristalsis occur in oesophagius ? (primary / secondary waves?)
peristalsis:
how does pit. gland control FSH & LH hormone release?
why is it more complex in women then men?
hypothalamic hormones: GnRH + kisspeptin
regulate release of: FSH and LH from pituitary.
FSH & LH cause sex steroid release (testosterone / oestrogen) , ovulation, spermatogenesis.
in women: estradiol +ve and -ve feedback depends on stage of menstruation
what are two seperate roles of aldosterone? [2
(two totally differnet systems! )
what type of hormones are thyroid hormones?
produced from what?
what is active / inactive names?
how does it circulate around body?
biological amines - produced from tyrosine
T4 (inactive) is produced by thyroid gland -> converted to T3 to be active (via deiodinise enzyme)
circulates as T3, but attached to thryoid binding globulin1
main role of thryoid hormones? (1)
how controlled?
- increases metabolic rate
- local control mechanism:
i) deiodinase expression
ii) thyroid hormone uptake transporter expression
iii) thyroid hormone receptor expression
iv) release from thyroid binding globulin
how does hypothalamus communicate with the anterior pit. gland? and posterior pit gland?

which three strucutres do you find in the free border of the lesser omentum?
what are the 3 steps of glycolysis that are metabolically irrervisble and need to be side stepped to in order to produce glucose in gluconeogenesis?
3 irreversible steps are in glycolysis:
enyzmes used to reverse ^^ reactions:
Acetyl co-A is a product of of fatty acid break down.
how do high levels of acetyl co-a influence gluconeogenesis?
high levels of Acetyl Co-A:
activates pyruvate carboxylase (used in step 1 of malate cycle: drives gluconeogenesis from pyruuvate -> PEP & eventually glucose)
inhibits: pyruvate dehydrogenase complex (prevents pyruvate being turned into acteyl co A & sparing it, leaving for gluconeogenesis)
gluconeogensis from glycerol:
what is glycerol converted to? what does this get converted to?
where? (2)
Q
specifically, how is gluconeogensis controlled by:
(.i.e. which enzymes blocked etc)
what is the function of lipoprotein lipase?
what activates lipoprotein lipase?
where is lipoprotein lipase most active:
a) during periods of starvation?
b) after a meal
lipoprotein lipase: breaks down fats from inside lipoproteins and carries them into the cells
activated by: Apo C2
where is lipoprotein lipase most active:
a) during periods of starvation: muscle (where FA being used for energy in TCA)
b) after a meal: adipose cells (to form fat)
how can ur body create cholesterol? (which enzyme)
how does high cholesterol induce negative feedback of cholesetol production? (3)
- acetyl co-A –> cholesterol (via enzyme HMG-coA reductase)
high cholesterol induces negative feedback of cholesetol production
name two differences in the structure of HDLs & LDLs [2]
why is commensal bacteria gut overgrowth clinically significant regarding vitamins?
commensal bacteria: providers AND consumers of B vitamins & vitamin K.
overgrowth: likely to have B12 deficiency & high B9
what two important things does niacin (B3) create? [2] roles?
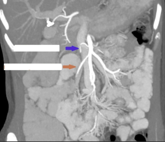
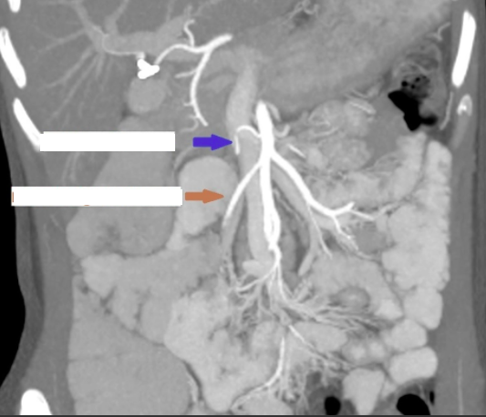
describe pathway of common hepatic artery –> hepatic artery proper —> ?? :)
common hepatic artery: branches into
after these two: becomes the hepatic artery proper; branches into:
what are the 3 branches of the IMA?
what connects the SMA & IMA?
inferior mesenteric artery branches:

what are the 3 branches of the IMA?
what connects the SMA & IMA?
inferior mesenteric artery branches:





describe pathway of common hepatic artery –> hepatic artery proper —> ?? :)
common hepatic artery: branches into
after these two: becomes the hepatic artery proper; branches into:
which veins dont go to liver & directly drain into IVC? (4)