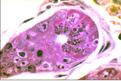
Name the cells bordering the lumen [1]

paneth cell
what region of the GI tract is this? [1]
how can you tell? [1]

duodenum [1]
brunners glands [1]
label A-E

A = **enterocyte brush border** B = **lacteal** C = **goblet cell** D = **immune cells (lymphocytes)** E = **lamina propria**

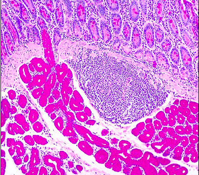
name this region of the intestine [1]
how can you tell [1]

jejunum
plicae circularis
Plicae circulares are out foldings of both the mucosa and submucosa. Projecting from these folds are numerous villi that are outfoldings of the mucosa.

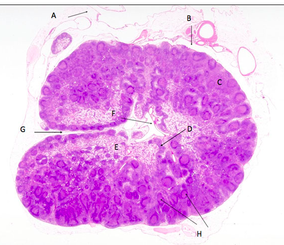
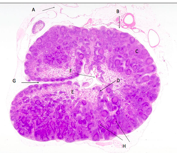
label A-H of the lymph node

A = afferent lymphatic, B =subcapsular sinus, C = cortex, D = medullary cords, E = medulla, F = efferent lymphatic, G = hilus, H = secondary follicles

what is the name for what dietary lipid is transported in? [1]
which system are dietary lipids transported in? [1]
chylomicrons [1]
lymphatic system [1]
B12 can be only observed where? & what must it first be complexed with?
what is B12 aka?
describe the absorptive pathway of B12 :)
absorptive pathway:
which 3 antibodies do you get high levels of in CD patients? [3]
antigliadin, tissue transgluataminase, anti endomysial
how do commensal bacteria regulate digestion?
what happens if we have bacterial overgrowth?
dynamic equilibrium between diet-gut microbiome-bile acid pool size:
normally - we have conjugated bile acids, created by liver. Conjugated bile acids (primary bile acids): more efficient in emulsifying fats because at intestinal pH they become more ionized than the unconjugated bile acids.
Commensal bacteria: participate in the synthesis of bile acids. Microbial enzymes de-conjugate bile acids & make them less effecient: (secondary bile acids).
so we have a pool of primary and secondary bile acids: if have bacterial overgrowth in gut: form too much secondary bile acids = struggle to digest fats
what do mutations in:
cause?
which phase of digestion they effect?
mutation in gene LCT - affects mucosal phase of dissachardide absorption. lactose intolerance
gene SLC5A1 - encodes for Sodium dependent GLucose tranpsorter one: SGLT1. so mutation causes glucose-galactose malabsorption. again: mucosal phase
why does muscle not have a role in raising blood glucose levels? [2]
where is glucagon made?
it is produced by the alpha cells, found in the islets of Langerhans, in the pancreas
what is glycogen breakdown aka?
explain how this occurs (4)
glycogenolysis:
what do two starting materials do you need before glycogen synthesis?
BUT: NEED TO CONVERT G6P -> UDP-glucose before can be added to glycogen:
what do two starting materials do you need before glycogen synthesis?
BUT: NEED TO CONVERT G6P -> UDP-glucose before can be added to glycogen:
glycogen production and breakdown is carried out by which hormone signalling molecules (4) and which do they act on - liver or muscle?
4 calcium: muscles via a & b adrergic receptors - release glucose
when is insulin / glucagon released?
what do insulin and glucacon to do: & how?
a) glycogen synthase
b) glycogen phosphorylase
* key - learn this *
insulin: released after meal. insulin works via protein phosphatase (removes Ps):
glucagon & adrenaline: released between meals / when fasting: works via cAMP, protein kinase A and phosphorylase kinase: adds P
what does a lack of cAMP doe regarding glucose release? [1]
lack of cAMP causes glucagon and adrenaline effects to be stopped (and less glucose released)
what are the two pathways that insulin causes glycogen synthase to be activated and cause glucose -> glycogen?
insulin:
which are two different pathways that both end up in the glucose –> glycogen
Mc Ardle’s disease:
what does this mean with regards to exercise ? second wind can occur from?
Herrs Disease
same>?
Mc Ardle’s disease:
autosomal recessive disease
caused by: deficiency in glycogen phosophorylase gene: PYGM. cant breakdown glycogen in the muscle = muscle weakness
when exercise: can only exercise in short bursts, otherwise muscles will cramp, lock and they will fall over in intense pain. This is due to their muscles running out of energy.
second wind: muscles use alternative fuel to glucose
//
Her’s disease:
caused by: deficiency in glycogen phosphorylase in liver = severe problems maintaining their blood glucose
Treatment: regular, often feeding. This is because they cannot maintain their blood glucose like we can
what is von Gierkes disease? [1]
deficiency in glucose-6-phosphastase: means liver cant produce glucose via glycogen breakdown.
feed patients with carbs day and night
gastrooesphageal reflux disease (GERD):
- caused by:
a) movement of stomach contents from fundus -> distal oesophagus after lower oesophagus sphincter is relaxed
b) then get increased frequency of transient relaxations of lower oesph. sphincter
- associated with:
- chronic condtion leads to:
Q
gastroparesis:
- caused by: delayed gastric emptying
- inability to remove stomach content causes: nausea, vomiting, feeling of fullness, pain and bloating
- associated with diabetes: diabetic gastroparesis
- subsquently can lead to malnutrition (bc people dont eat) and changes in blood sugar
Q
gastroparesis:
- caused by: delayed gastric emptying
- inability to remove stomach content causes: nausea, vomiting, feeling of fullness, pain and bloating
- associated with diabetes: diabetic gastroparesis
- subsquently can lead to malnutrition (bc people dont eat) and changes in blood sugar