Absceso pulmonar Flashcards

(15 cards)

1
Q

Definición

A

Infección purulenta contenida en el parénquima pulmonar.
Generalmente polimicrobianas

How well did you know this?
1
Not at all
2
3
4
5
Perfectly
2
Q

Primarios

A

Infección directa del parénquima pulmonar
Aspiración

How well did you know this?
1
Not at all
2
3
4
5
Perfectly
3
Q

Secundarios

A

Factores predisponentes (obstrucción, diseminación hematógena)

How well did you know this?
1
Not at all
2
3
4
5
Perfectly
4
Q

Los términos neumonía necrotizante o gangrena pulmonar

A

complicaciones (necrosis y múltiples abscesos)

How well did you know this?
1
Not at all
2
3
4
5
Perfectly
5
Q

Aspiración

A

Secreciones orofaríngeas
Enfermedad periodontal
Anaerobios
Alteraciones del estado de despierto, inóculos grandes, inmunosupresión
Neumonitis necrosis: GENERA NEUMONITIS: INFLAMACIÓN ALREDEDOR DEL ABSCESO. COMUN EN PX CON ENFERMEDAD PERIODONTAL

How well did you know this?
1
Not at all
2
3
4
5
Perfectly
6
Q

Hematógeno

A

Embolización séptica durante bacterias (endocarditis, Sx. Lemierre)

How well did you know this?
1
Not at all
2
3
4
5
Perfectly
7
Q

Extensión directa

A

Empiemas, abscesos mediastinales, fistulas
Obstrucción bronquial
Tumores, estenosis, cuerpos extraños

How well did you know this?
1
Not at all
2
3
4
5
Perfectly
8
Q

MB: Aspiración

A

Polimicrobiana
Flora de cavidad oral
Estreptococos, prevotella, bacteroides

How well did you know this?
1
Not at all
2
3
4
5
Perfectly
9
Q

MB: HEMATÓGENO

A

S. aureus, K. pneumoniae, Burkholderia, Nocardia

How well did you know this?
1
Not at all
2
3
4
5
Perfectly
10
Q

MB: OPORTUNISTAS

A

Cryptococo, Nocarida, Rhodococcus, M tuberculosis

How well did you know this?
1
Not at all
2
3
4
5
Perfectly
11
Q

Manifestación clínica

A

Fiebre
escalofríos
Tos (productive, putida)
Disnea
Hemoptisis
Dolor torácico

How well did you know this?
1
Not at all
2
3
4
5
Perfectly
12
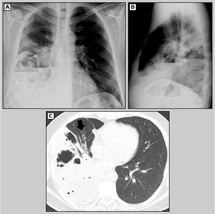
Q

Rx tórax

A

Estudio inicial
Unilateral
Signo de la canasta
Segmento superior, lóbulo derecho
Hematógeno: disminución bilateral en lobulos inferiores

How well did you know this?
1
Not at all
2
3
4
5
Perfectly
13
Q

TAC de tórax

A

Mejor definición de l a lesión
Distinguir en lesión parénquima y pleura

How well did you know this?
1
Not at all
2
3
4
5
Perfectly
14
Q

Estudios adicionales

A

Microbiología: SOBRETOOD SI SOSPECHAMOS QUE LA BACTERIA VIENE DE LA SANGRE
Hemocultivos (2 sets)
Esputo
50% tratamiento empírico

Broncoscopia
Sin diagnostico microbiológico
CUANDO NO ESTÁN RESPONDIENDO A MEDICAMENTO
Presentaciones atípicas o inmunocomprometidos

Biopsia por aspiración percutánea
Toracocentesis

How well did you know this?
1
Not at all
2
3
4
5
Perfectly
15
Q

Tratamiento

A
How well did you know this?
1
Not at all
2
3
4
5
Perfectly