Neumonía Flashcards

(40 cards)

1
Q

Definición

A

Infección del parénquima pulmonar

Síntomas agudos de infección de vías respiratorias bajas + nuevos infiltrados pulmonares

How well did you know this?
1
Not at all
2
3
4
5
Perfectly
2
Q

Clasificación según sitios de adquisición

A

YA No se utiliza asociado a las cuidados de la salud
Comunidad
Nosocomial
* Adquirida en el hospital
* Asociada a la ventilación mecánica

How well did you know this?
1
Not at all
2
3
4
5
Perfectly
3
Q

Clasificación según MO

A

Típicos
S. pneumoniae, M. catarrhalis, H. influenzae, K. pneumoniae
Atípicos
Legionella, Mycoplasma, Chlamydia, Coxiella
Virales
Influenza A y B, SARS-CoV2, rinovirus.

How well did you know this?
1
Not at all
2
3
4
5
Perfectly
4
Q

Tiempo en neumonía nocosomial

A
How well did you know this?
1
Not at all
2
3
4
5
Perfectly
5
Q

causa de muerte por agentes infecciosos

A

1

How well did you know this?
1
Not at all
2
3
4
5
Perfectly
6
Q

Factores de riesgo

A

Edad <65 años
Enfermedades crónicas
EPOC, asma, Insuficiencia cardiaca, DM, desnutrición, estados de inmunocompromiso
Infecciones virales
Micro aspiraciones (EVC, alcohol, CC)
Hacinamiento

How well did you know this?
1
Not at all
2
3
4
5
Perfectly
7
Q

FR según agente

A

ASPIRACION PUEDE GENERAR ABSCESOS
ACINETOBACTER ASUSTA: RESISTENCIA
PSITACCI: PAJAROS: CLAMIDIA: MIALGIA, ARTRALGIA, TOS NO PRODUCTIVA
BURKODELIA: PERSONAS SIEMBRA ARROZ

How well did you know this?
1
Not at all
2
3
4
5
Perfectly
8
Q

S.Pneumoniae

A

Causa mas frecuente
CGP en cadenas
Puede ser colonizante 5-40%

How well did you know this?
1
Not at all
2
3
4
5
Perfectly
8
Q
A
How well did you know this?
1
Not at all
2
3
4
5
Perfectly
9
Q

Mycoplasma: Edad, cultivo, manifestaciones, cuando y donde

A
How well did you know this?
1
Not at all
2
3
4
5
Perfectly
10
Q

Menores de 6 meses

A
How well did you know this?
1
Not at all
2
3
4
5
Perfectly
11
Q

Loros

A
How well did you know this?
1
Not at all
2
3
4
5
Perfectly
12
Q

Legionella pneumophila: MB, donde, % neumonías, manifestaciones pulmonares y extrapulmonares y cultivo

A
How well did you know this?
1
Not at all
2
3
4
5
Perfectly
13
Q

Alcoholismo

A
How well did you know this?
1
Not at all
2
3
4
5
Perfectly
14
Q

C. burnetii

A

Ganado

How well did you know this?
1
Not at all
2
3
4
5
Perfectly
15
Q

Asociado a ventilación mecánica

A
How well did you know this?
1
Not at all
2
3
4
5
Perfectly
16
Q

Fisiopatología

A

Patógenos trasmitidos de persona a persona por gotas o aerosoles (Legionella, Coxiella)
Colonización de nasofaringe: micro aspiración: alveolos
Suficiente inoculo, disminución de defensas: replicación de patógeno: inflamación daño

18
Q

Cuadro clínico

A

Fiebre, dolor pleurítico, tos productiva, infiltrado alveolar, disnea
EF: taquipnea, dificultad respiratoria, estertores, roncus, , hipoxemia

‘atípica’ fiebre, cefalea, mialgias, artralgias, tos seca.  mas que presentación atípica, se considera atípica por Microorganismos implicados y su dificultad para cultivar.

20
Q

BH

A

leucocitosis
Neutrofilia

21
Q

Marcadores de inflamación

A

Proteína C reactiva
Procalcitonina

22
Q

Procalcitonina

A

Procalcitonina: biomarcador desarrollado para las neumonías
Se secreta a través de la tiroides
Procalcitonina negativa px cuadro respiratorio no dejamos AB, lo más seguro es que es de origen viral.
Utilidad para inicio y suspender terapia antimicrobiana
0.25-0.5ug/L
Suspender AB si <0.25 o <80%

23
Q

Niveles de procalcitonina vs. likelihood of bacterial infection

24
¿Qué estudios solicitar microbiología?
25
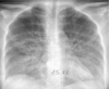
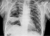
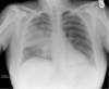
Imagen
Radiografía simple de tórax * Posterolateral y latero anterior * Primer estudio de imagen *** GPC Tomografía de simple tórax * Estándar de oro * Siempre en inmunocomprometidos Ultrasonido pulmonar
26
Ultrasonido pulmonar
VER SI HAY EDEMA PULMONAR. UTILIDD EN TERAPIA INTENSIVA Y MUJERES EMBARAZADAS.
27
Lobar: lo que más lo causa son bacterias típicas: neumococo, influenza, catarralis
28
Nodular: Staph aureus, TB, hongos como cripto, histoplasma, coccidiodo, incluso met
29
Mycoplasma, clamidia, legionella, covid, influenza, rinovirus e incluso pneumocistis: patrón intersticial
30
NIVEL HIDROAÉREO SIGNO DE CANASTA: ABSCESO HABITUALMENTE LADO DERECHO
31
Escala de gravedad
32
Manejo paciente según CURB 65
33
Criterios de ingreso hospitalario
34
Tratamiento antimicrobiano
Basado en microbiología local Incluir tratamiento para S. pneumoniae: NAC Se basa en gravedad y sitio de adquisición Inicio en primeras 4 horas
35
Recomendaciones de tratamiento según severidad
CEFTRI MÁS CLARITRO ES LO MÁS COMÚN EN MX BAJA SEVERIDAD 5 DÍAS ES MÁS QUE SUFICIENTE PARA PX AMBULATORIO. HOSPITALIZACIÓN 7 D ES MÁS QUE SUFICIENTE, NO ES NECESARIO LLEVAR HASTA 14D
36
Evaluación de progresión
Si el paciente no va bien es porque no lo estoy tratando bien (cambiar el AB), o porque no se que es lo que tiene mi paciente. En este caso repetimos estudio MB o estudios de imagen, puede ser que tenga empiema, derrame pleural.
37
¿Cuándo egresar al paciente?
38
Prevención
Vacuna anual influenza Vacuna neumococo * Niños 10-13 serotipos * Mayores de 65 años 23 serotipos
39
Complicaciones
Readmisiones 7-12% Complicaciones cardiovasculares Derrame pleural Complicaciones CV: CUALQUIER NEUMO AUMENTA RX DE COMPLICACIONES CV, SE HA VISTO QUE AUMENTA DE 3 A 4 MAYOR RX DE QUE PACIENTE SE INFARTE O ARRITMIA. VIGILAR SIGUIENTES SEMANAS, OCURRE INCLUSO EN PACIENTES PREVIAMENTE SANOS.