Pericarditis Flashcards

(40 cards)

1
Q

Recuerdo anatómico del pericardio

A

Saco fibroseroso
* Pericardio visceral Epicardio
* Pericardio parietal

Grosor 1-2mm
Contenido 15-35mL

How well did you know this?
1
Not at all
2
3
4
5
Perfectly
2
Q

Funciones del pericardio: mecánicas, membranosas, metabólicas, ligamentosas

A
How well did you know this?
1
Not at all
2
3
4
5
Perfectly
3
Q

SINDROMES PERICARDICOS

A
How well did you know this?
1
Not at all
2
3
4
5
Perfectly
4
Q

PERICARDITIS

A

Inflamación del saco pericárdico que rodea al corazón y el origen de los grandes vasos.

Puede ocurrir como una entidad aislada o como manifestación de una enfermedad sistémica oculta (ERC: pericarditis urémica)

Puede estar asociado a derrame pericárdico.

How well did you know this?
1
Not at all
2
3
4
5
Perfectly
5
Q

Clasificación Pericarditis

A
How well did you know this?
1
Not at all
2
3
4
5
Perfectly
6
Q

Enfermedad más común del pericardio encontrada en la práctica clínica

A

Pericarditis Aguda

How well did you know this?
1
Not at all
2
3
4
5
Perfectly
7
Q

Hasta % de las necropsias sale pericarditis como causa

A

1%

How well did you know this?
1
Not at all
2
3
4
5
Perfectly
8
Q

% de pericarditis aguda se presenta como dolor torácico no isquémico

A

5%

How well did you know this?
1
Not at all
2
3
4
5
Perfectly
9
Q

Causas infecciosas de PC

A
How well did you know this?
1
Not at all
2
3
4
5
Perfectly
10
Q

Causas no infecciosa

A

No importante saber solo saber qur existe no infecciosa

How well did you know this?
1
Not at all
2
3
4
5
Perfectly
11
Q

La causa más común

A

Idiopática: Y causa más comun de idiopaticas es VIRALES
EN EXAMEN: IDIOPÁTICO

How well did you know this?
1
Not at all
2
3
4
5
Perfectly
12
Q

Características diagnósticas de la pericarditis

A
How well did you know this?
1
Not at all
2
3
4
5
Perfectly
13
Q

Dolor torácico

A
  • 85-90% de los casos.
  • Instauración relativamente rápida
  • Duración prolongada
  • Región precordial o retroesternal
  • Irradiación a cuello, espalda, hombro y brazo izquierdo. Región supraclavicular y zona de los trapecios.
  • Aumenta de intensidad con la inspiración, movimientos torácicos, decúbito y tos
  • Mejora en sedestación con el tronco inclinado hacia adelante.

Paciente siente que se está infartando

How well did you know this?
1
Not at all
2
3
4
5
Perfectly
14
Q

Frote pericárdico

A

Signo característico y patognomónico.
Frecuencia
* 33% de los casos.
* 60-85% de los casos.

Sonido superficial de rascado que se aprecia mejor con el diafragma del fonendoscopio.
Máxima intensidad en mesocardio y borde paraesternal izquierdo bajo y que varía de intensidad con los movimientos respiratorios.
Es inconstante, pudiendo desaparecer.

How well did you know this?
1
Not at all
2
3
4
5
Perfectly
15
Q

Cambios ECG

A
How well did you know this?
1
Not at all
2
3
4
5
Perfectly
16
Q

Etapas electrocardiográficas

A
How well did you know this?
1
Not at all
2
3
4
5
Perfectly
17
Q
A

Elevación del segmento ST generalizado
Elevación del segmento ST con concavidad hacia arriba
Intervalo PR con descenso (cambios inflamatorios de la pared auricular)

CARITA FELIZ

18
Q
A
  1. Elevación del segmento ST generalizado con concavidad hacia arriba.
  2. Intervalo PR con descenso (cambios inflamatorios de la pared auricular).
19
Q

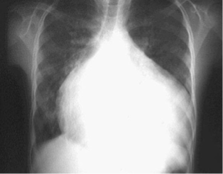
Derrame pericárdico

A

60% de los casos.
Ruidos cardiacos suelen debilitarse.
Desvanecimiento del impulso de la punta.
Aumento del tamaño cardiaco.

20
Q

Gabinete

21
Q

Diagnóstico

A

No es obligatorio buscar la etiología en todos los pacientes.

22
Q

Factores de mal pronóstico

23
Q

Algoritmo

A

Bajo grado AINES

24
Q

Tx no farmacológico

25
Tx farmacológico
Para la mayoría no vamos a saber la causa por lo que se da AAS, colchicina, CE
26
AINE O ASA
27
Colchicina
Recomendada a dosis bajas y ajustadas según el peso. Adyuvante útil al uso de AINE, efectiva en alivio del dolor en pacientes con pericarditis aguda y en **prevenir la recurrencia.** Evitar en Insuficiencia Renal, disfunción hepatobiliar, discrasia sanguínea y trastornos de la motilidad gastrointestinal. El uso rutinario ha sido apoyado por el estudio COPE (COlchicine for Acute Pericarditis).
28
Duración de tx farmacológico
29
Corticoesteroides
Pacientes con contraindicación para el uso de AINE. Falta de respuesta a más de un AINE. Indicaciones especificas (embarazo, enfermedad inflamatoria sistémica) Inicio a dosis bajas (prednisona 0.2-0.5mg/kg/dia).
30
Algoritmo de TX
31
DOSIS DE PE
32
PERICARDITIS INCESANTE Y CRÓNICA
El término «incesante» se ha adoptado para casos con síntomas persistentes sin una clara remisión después del episodio agudo, persisten más de 4-6 semanas. El término «crónico» se refiere a los procesos que duran más de 3 meses.
33
PERICARDITIS CONSTRICTIVAS
Estadio final de un proceso inflamatorio que afecta al pericardio. Fibrosis, a menudo la calcificación y las adherencias en los pericardios visceral y parietal que impide el llenado de las cámaras cardiacas.
34
Causas más frecuentes de pericarditis constrictivas
35
Diagnóstico peri constrictiva
Concomitancia de signos y síntomas de insuficiencia cardiaca derecha. Deterioro del llenado diastólico debido a constricción pericárdica mediante uno o varios métodos de imagen, como ecocardiografía, TC, RMC y cateterización cardiaca.
36
TX
Pericardiectomía
37
Miopericarditis
Pericarditis + afección miocárdica (las miocarditis suelen presentarse como miopericarditis) Causa: * Infecciones virales (idiopáticas) * TB países en desarrollo Dolor torácico + roce pericárdico + elevación del ST + derrame pericárdico + **Marcadores**
38
Cuadro clínico miopericarditis
Arritmias, signos de falla cardiaca: referidos
39
Diagnóstico
40
Tratamiento