Tuberculosis Flashcards

(52 cards)

1
Q

Introducción: Reservorio, causa de muerte, emergencia salud pública

A
  • Amplio abanico de entidades causadas por M. tuberculosis
  • Humano es único reservorio
  • INMUNOSUPRESIÓN: VIH Y DIABÉTICOS: CUANDO SE DESCONTROLA DM, DESNUTRICIÓN, HACINAMIENTO HAY AUMENTO DE LA TB
  • 2 causa de muerte por agente microbiológico
  • 1993 OMS declaro emergencia de salud pública
How well did you know this?
1
Not at all
2
3
4
5
Perfectly
2
Q

Historia

A
  • Antecedentes de época precolombina y en egipcios
  • Siglo XVII y XVIII 25% muerte de los adultos TB
  • Sanatorios especializados al aire libre
  • Era moderna 1946 (estreptomicina: fármaco diseñado específicamente para la TB)
How well did you know this?
1
Not at all
2
3
4
5
Perfectly
3
Q

Incidencia y mortalidad por TB

A

Hemos disminuido la mortalidad
Se estima que en los ultimos 200 años 1 billón personas han muerto por TB

How well did you know this?
1
Not at all
2
3
4
5
Perfectly
4
Q

El control global de la TB está alterado por:

A

Diagnóstico basado en microscopía de más de 120 años.
Vacuna con eficacia limitada de 100 años de edad.
Medicinas para tratamiento de más de 60 años.

How well did you know this?
1
Not at all
2
3
4
5
Perfectly
5
Q

La epidemia actualmente se alimenta de:

A

TB MDR y TB XDR.
Coinfección con VIH.
Diabetes Mellitus tipo 2.

How well did you know this?
1
Not at all
2
3
4
5
Perfectly
6
Q

población infectada

A

1/3

How well did you know this?
1
Not at all
2
3
4
5
Perfectly
7
Q

causa de muerte mundial

A

9
2 millones muertes anuales

How well did you know this?
1
Not at all
2
3
4
5
Perfectly
8
Q

millones de casos nuevos

A

9
90% adultos
65% hombres
10% VIH

How well did you know this?
1
Not at all
2
3
4
5
Perfectly
9
Q

Microbiología

A

Complejo M. tuberculosos (7 especies)
* M. tuberculosis
* M. bovis (ganado)
* M. caprae (ganado)
* M. africanum (África)
* M.canetti (África)
* M. microti (roedores)
* M.pinnipedii (focas)

How well did you know this?
1
Not at all
2
3
4
5
Perfectly
10
Q

% de TB es causada por BOVIS en MX

A

30%, altísima
Vacas tienen TB que pueden estar en ubres, GL, vía respiratoria? creo?

Tomar leche bronca de vaca infectada con TB (pajaritas)

How well did you know this?
1
Not at all
2
3
4
5
Perfectly
11
Q
A

Componentes en pared celular que permite la tinción

How well did you know this?
1
Not at all
2
3
4
5
Perfectly
12
Q

Cómo podemos ver la TB

A

Flema es la 1
Para ver bajo microscopio necesitamos carga elevada de bacilos por lo que tener cuidado cuando dx se haga solo con microscopia

How well did you know this?
1
Not at all
2
3
4
5
Perfectly
13
Q
A

Ver bacilos en muestra no es del todo sencillo

How well did you know this?
1
Not at all
2
3
4
5
Perfectly
14
Q

Fisiopatología: transmisión

A

Inhalación de microgotas
(un acceso de tos produce, hablar 5 min= 3,000 microgotas) vivir o convivir en ambiente cerrado por:
Exposición prolongada

M. bovis: leche no pasteurizada
Manipular carne cruda

How well did you know this?
1
Not at all
2
3
4
5
Perfectly
15
Q

Fisiopatología: fases de enfermedad

A

MF ALVEOLARES CONTIENEN EN FASE EXPOSICIÓN: FORMACIÓN DE GRANULOMAS: LATENCIA DE MB, cuando se reactivan también podemos tener enfermedad (TB latente), y esto es lo que más frecuentemente vemos

How well did you know this?
1
Not at all
2
3
4
5
Perfectly
16
Q

FR

A

Lo más común es reactivación
En niños más común primoinfección
MX MAYOR FR ES VIH Y DM

How well did you know this?
1
Not at all
2
3
4
5
Perfectly
17
Q

A la confirmación de caso

A

Notificar a las autoridades de salud, para que paciente pueda recibir tratamiento, es extremadamente protegido este tx

How well did you know this?
1
Not at all
2
3
4
5
Perfectly
18
Q

Criterios de referencia

A

TB MDR
Reacciones a fármacos
Sobreinfecciones (Aspergillus)

How well did you know this?
1
Not at all
2
3
4
5
Perfectly
19
Q

Contacto estrecho

A

Persona que comparte mismo espacio aéreo en domicilio a ambiente cerrado durante tiempo prolongado (días o semanas)

How well did you know this?
1
Not at all
2
3
4
5
Perfectly
20
Q

Fracaso tratamiento:

A

baciloscopia positiva al quinto mes con tratamiento adecuado

How well did you know this?
1
Not at all
2
3
4
5
Perfectly
21
Q

Manifestaciones clínicas

A

Fase latente: ASX, dormida
Activa: replicación, síntomas
P: pulmonar
Tos más de 2 semanas

22
Q

Espectro clínico de la TB

A

RI adquirida: si ha sido expuesta
PPD nos habla de exposición
UNICA FORMA DE TENER CULTIVO POSITIVO ES QUE SE ESTÉ REPLICANDO, ACTIVA.
BASCILOSCOPIA: LATENTE NO SALE NADA PORQUE NO LA TOSE.
CONTAGIOSO CON PERSONA TB LATENTE NO, ACTIVA SI

23
Q

TB latente: FP

A

Genera granulomas
Micobacterias fase no reproductiva

24
Q

Tuberculosis latente - Profilaxis

A

Para aquellos pacientes con riesgo elevado para disminuir rx de que active
Se identifica por PPD o IGRA
Ej, a nosotros no, riesgo bajo de reactivación a menos que alguno de nosotros nos van a trasplantar de riñón entonces si

En quienes si o si: a los de profilaxis universal

Se da izoniasida

25
Diagnóstico
24 a 72h despues medimos sitio de inyección Cuando mides mpas de 5mm y tienes esas condiciones es PPD positivo y hay que dar tx Mayor 10mm la lista de la foto y así SOLO NOS DICE EXPOSICIÓN, NO QUIERE DECIR QUE TENGAMOS TB ACTIVA, ES PARA DX TB LATENTE IGRA: Muestra de sangre que ID IFN g, cuando pruebas son positivas y tienes rx incrementado se da tx isoniazida
26
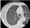
Tuberculosis pulmonar primaria
nódulo calcificado
27
Reactivación: que segmentos, síntomas
Segmentos apical y posterior Cavitaciones Fiebre diaforesis, perdida de peso, tos hemoptoicos
28
Tuberculosis miliar (diseminada): 6
Vía hematógena: manifestaciones oculares: tubérculos coroideos Hepatoesplenomegalia Tubérculos coroideos (30%) Patrón intersticial micronodular basal BAAR esputo negativo PPD negativo 50% citopenias
29
TB coroideos
30
Tuberculosis extra pulmonar
Adenopatías abren y fistulizan: escrófula: pensar siempre en TB, DX es retirar GL y biopsia. Empeoramiento paradójico: empeoran cuando les das tx
31
TB extraganglionar
Articulaciones: PONCET, POTT vértebras Paresias NC y vasculitis (pueden llegar infartados) en TB meníngea Ascitis no asociada a HTN portal: peritoneo
32
TBP Diagnóstico: Tec imagen, baciloscopía, microscopía, cultivos DST y GS
NUNCA SE PUEDE DX TB SOLO CON IMAGEN, NO PUEDE HACER DX MB Baciloscopia necesitamos que hayan muchos bacilos para dx **GS cultivo: el que más usamos es lowenstein jensen**
33
TBP Diagnóstico: antígenos y técnicas moleculares
Gene Xpert positivo aun asi tienes que mandar cultivo para saber sensibilidad a AB, por lo que no se usa
34
Tinción de Ziehl - Neelsen
35
GS dx
CULTIVO LJ Gold standard Pruebas de farmacosusceptibilidad Lowenstein- Jensen
36
TINCION
ZN
37
en el personal de salud cuando esta indicada la profilaxis? por ejemplo Si tuvieras contacto en el hospital con un px con tb sin protección de cubrebocas o algo y te hicieran PPD y fuera positiva, estaría indicado darlo o no?
NO, si no es necesario, no dar, si no hay IS, no dar
38
Fase de inducción (bactericida)
El tx se divide en dos fases, la primera es de inducción los primeros 2 meses 4 fármacos se da porque hay mB que se replican de forma rápida, y queremos eliminar a la mayoría y la siguiente fase es porque hay otras micobacterias que están en fase que no se están replicando Cuando inicias TX esperas que las primeras 2 semanas la basciloscopia salga ya negativa porque eliminas bacilos replicando. Si persisten positivas carga MB mucho mas grande e importante (es lo que se ve en px con cavitaciones)
39
Categorización del tratamiento TB
ESTO no debemos de saber DOTBAL TIENE CATEGORÍA 1
40
EA DE FÁRMACOS
Aquí lo importante es saber EA Rifampicina: Tiñe de anaranjado orina, lágrimas, sudor, semen, Da síndrome flu like, hepatotóxico ISONIAZIDA: MAS HEPATOTOXICO DE LOS 4, parestesias en las manos y pies y para eso hay que dar piridoxina Piranzinamida: hiperuricemia revisar que no tenga gota, ácido urico de 15 Etambutol: que el px no tenga neuritis óptica TODOS PX DOTBAL VALORACIÓN OFTÁLMICA
41
Dosis
Si es niño se calcula por KG peso cada fármaco, no lo va a preguntar, personas que pesan menos 50 kg se dan 3 tabletas no las 4
42
Fases del TX
Fase 2 solo es iso y rifampicina: DOTBAL S SI MENINGEA SE DA 8 O 10 MESES MANTENIMIENTO Si resistencia a rifampicina tx es 18 meses y con otros fármacos Entre más resistente, más complicado de tratar
43
Fase inducción (recordar)
Alargamos fase inducción IS ej. mega caverna
44
Isoniacida
45
Rifampicina
No tenemos que saber estas diapos
46
Piranzinamida
47
Etambutol
48
¿Cuándo agregar esteroide?
Meningitis por M. tuberculosis Pericarditis por M. tuberculosis Tuberculosis en paciente VIH con SIRI TB Ganglionar en reacción paradójica
49
Tb MDR y XDR
Cuando temos resistencia tx 18-24 meses etc lo de la foto: 5 fármacos: 3 grupo a 2 grupo B
50
Tratamiento 2 línea
"completar esquema si con grupo b NO HAY farmacos disponibles y entonces tienes que suplir con alguno del grupo C"
51
TB y embarazo
Nuevas guías dicen que SE DEBE DE USAR DOTBAL ES SEGURO
52
Para recordar
BOVIS Y TB SON CLINICAMENTE INDISTINGUIBLES Y SON CAUSAS MÁS COMUNES DE TB APRENDER EA DE LOS FÁRMACOS PIRANZINAMIDA INTERACCIONA CON UN MONTON DE FARMACOS NEURITIS OPTICA ETAMBUTOL NO VEN ROJO NI ERDE