Rabia Flashcards

(27 cards)

1
Q

Microbiología de la rabia

A

Genero Lyssavirus,
familia Rhabdoviridae (forma de bala)
envuelto.
180 nm longitud, 75 nm diámetro.
7 genotipos, 1 y 3-7 involucrados en la rabia humana.

How well did you know this?
1
Not at all
2
3
4
5
Perfectly
2
Q

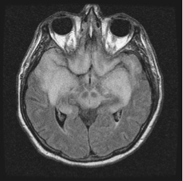
glucoproteinas G y M

A

ensamblaje y gemación de viriones.

How well did you know this?
1
Not at all
2
3
4
5
Perfectly
3
Q

Transmisión

A

Exposición de una herida a la saliva de un animal infectado (transcutánea y epidérmica).

Trasplante de órganos de donadores no diagnosticados.

Vía aerosol Pacientes post-trasplante.
Riñón y Córnea.
Hígado

How well did you know this?
1
Not at all
2
3
4
5
Perfectly
4
Q

Principales reservorios

A

Murcielagos (~85-90% humanos)
Mapaches
Zorrillos
Zorros

How well did you know this?
1
Not at all
2
3
4
5
Perfectly
5
Q

Vector primario

A

PERRO

How well did you know this?
1
Not at all
2
3
4
5
Perfectly
6
Q

Recomendaciones para PEP
según la categoría de exposición

A
How well did you know this?
1
Not at all
2
3
4
5
Perfectly
7
Q

Categorías de PEP

A

Estas 2 medidas iniciales (lavado e inmunización) garantizan en un 99% sobrevida.
En caso de que la dosis de la vacuna se retrase por algún motivo, se debe reanudar el programa PEP (no reiniciarlo).

How well did you know this?
1
Not at all
2
3
4
5
Perfectly
8
Q

ALGORITMO DE ATENCIÓN MÉDICA

A

Amoxi con clauvulanato para atención de la herida.

How well did you know this?
1
Not at all
2
3
4
5
Perfectly
9
Q

Riesgo de rabia según parte del cuerpo

A

Cara 60%

Manos o brazos 15-40%

Piernas 3-10%

How well did you know this?
1
Not at all
2
3
4
5
Perfectly
10
Q

Riesgo de rabia depende de

A

Tamaño de inóculo
Cercanía a SNC
Desarrollo de enfermedad

How well did you know this?
1
Not at all
2
3
4
5
Perfectly
11
Q

Fisiopatología

A
How well did you know this?
1
Not at all
2
3
4
5
Perfectly
12
Q

Es viable fuera del huesped?

A

No es viable fuera del huesped y es inactivado por factores ambiantales como luz solar, calor y desecación.

How well did you know this?
1
Not at all
2
3
4
5
Perfectly
13
Q

Velocidad de diseminación

A

Velocidad de diseminación hasta de 250 mm/día
En un plazo de 60-72 hrs desde la inoculación, ya puede estar presente en ganglios de raíces dorsales.

How well did you know this?
1
Not at all
2
3
4
5
Perfectly
14
Q

Cuando considerar rabia?

A
How well did you know this?
1
Not at all
2
3
4
5
Perfectly
15
Q

5 etapas de la enfermedad

A
  1. Incubación 1-3m puede variar, pero tan corto como de algunos días hasta 1o+ años (~5%), el periodo más largo informado es de 8a.
  2. Prodromos días a semanas, inespecíficos.
  3. Fase neurológica aguda: 80% y 20%;
  4. Coma resulta en ambas formas
  5. Muerte o (rara vez supervivencia) el promedio desde el inicio de los síntomas hasta la muerte es de 7.8 días para Rabia furiosa y 11 días para rabia paralítica (parálisis diafragmática o bulbar). 1-3 meses en cuidados críticos.
How well did you know this?
1
Not at all
2
3
4
5
Perfectly
16
Q

Formas de presentación

A

Rabia furiosa (encefalítica)
y
Rabia paralítica

17
Q

Caso sospechoso vs. probable vs. confirmado

18
Q

Manifestación clínica

19
Q

estándar para Dx en tiempo real:

A

La tinción para AFD
Biopsia de piel (de espesor completo 5-6 mm que contenga al rededor de 10 folículos pilosos) obtenida de la nuca, por encima de la línea de implantación de pelo.

20
Q

Otras pruebas

A

Requiere varias muestras: biopsia de piel, saliva, suero o LCR.

Varios tipos de pruebas:
tinción inmunofluorescente específica del virus
detección de Acs en el Suero o LCR
RT-PCR.

21
Q
A

IRM puede revelar hiperseñalización anómala en tronco encefálico, hipotálamo o hipocampo.
TC útil para excluir otras enfermedades.

22
Q
A

Efecto citolítico viral directo.
Inclusiones virales intracitoplásmicas eosinofílicas (Cuerpos de Nigri).
IHQ, células de Purkinje.

Hallazgos consistentes con encefalitis viral.

23
Q

Esquema Essen de 4 dosis de vacuna antirrábica

24
Q

¿en quien está indicado igrh y qué consideraciones se deben tener para su administración?

25
Profilaxis pre exposición: riesgo constante
Laboratorios de Salud Pública que manipulan el virus rábico con fines de diagnóstico. Laboratorios de investigación o desarrollo que trabajan y están en contacto con el virus rábico. Manejo directo de fauna silvestre, incluyendo murciélagos. Establecimientos municipales que manejan o tienen contacto directo con perros y gatos o con material biológico para diagnóstico.
26
Tratamiento
Tratamiento: No hay tratamiento, se inicia protocolo Milwaukee Protocolo de Milwaukee (coma terapéutico+terapia antiviral) objetivo de evadir la disautonomía mortal primera semana de hospitalización: En pacientes sintomáticos, el tratamiento es paliativo.
27
Datos para recordar de rabia
Mordedura de animales silvestres Primero evaluar la exposición/herida Si es III grado vacunación profiláctica 5 dosis + Inmunoglobulina Incubación prolongada hasta 90 días. Se presenta como una encefalitis viral Dx biopsia de cuero cabelludo, PCR de LCR La enfermedad mas mortal infecciosa prácticamente 100% solo algunos reportes de caso Notificación inmediata