Lecture 11 Flashcards

(21 cards)

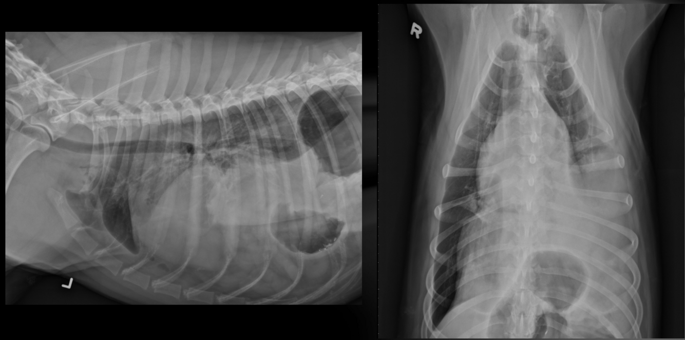
1
Q

What is important regarding the ribs in these radiographs?

A

young dog; costal cartilages have not mineralized at all

How well did you know this?
1
Not at all
2
3
4
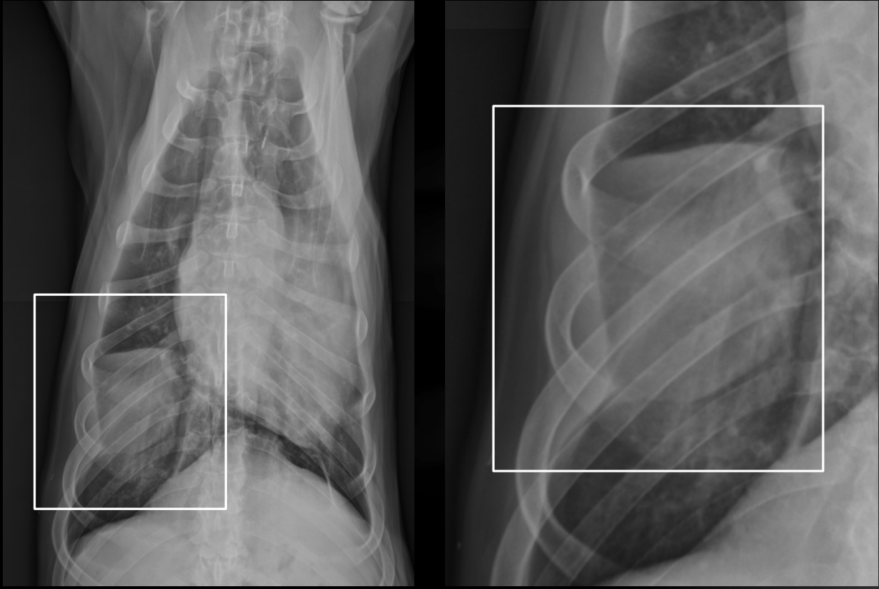
5
Perfectly
2
Q

What is important regarding the ribs in these radiographs?

A

middle-aged dog; costal cartilages have mineralized but not excessively

How well did you know this?
1
Not at all
2
3
4
5
Perfectly
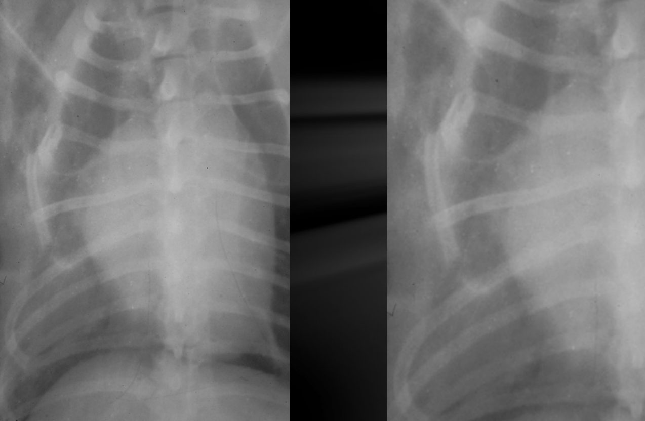
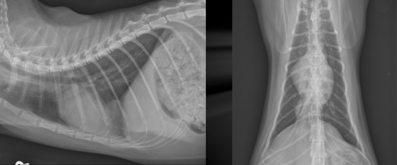
3
Q

What is important regarding the ribs in these radiographs?

A

old dog; costal cartilages show irregular, exuberant mineralization

How well did you know this?
1
Not at all
2
3
4
5
Perfectly
4
Q

What is shown in this image?

A

pectus excavatum
-dorsal displacement of sternum

How well did you know this?
1
Not at all
2
3
4
5
Perfectly
5
Q

What is shown in this image?

A

pectus carinatum
-part of sternum bulges out
-often incidental

How well did you know this?
1
Not at all
2
3
4
5
Perfectly
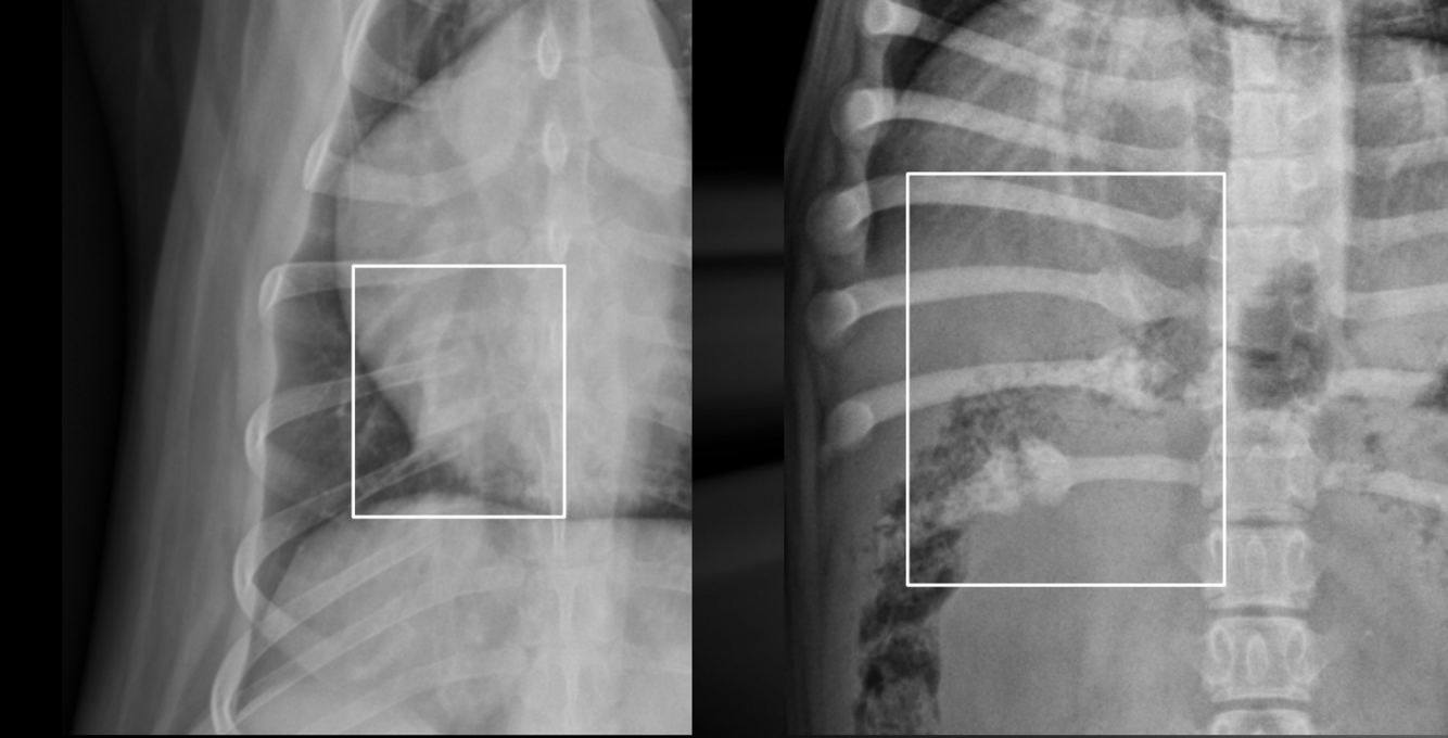
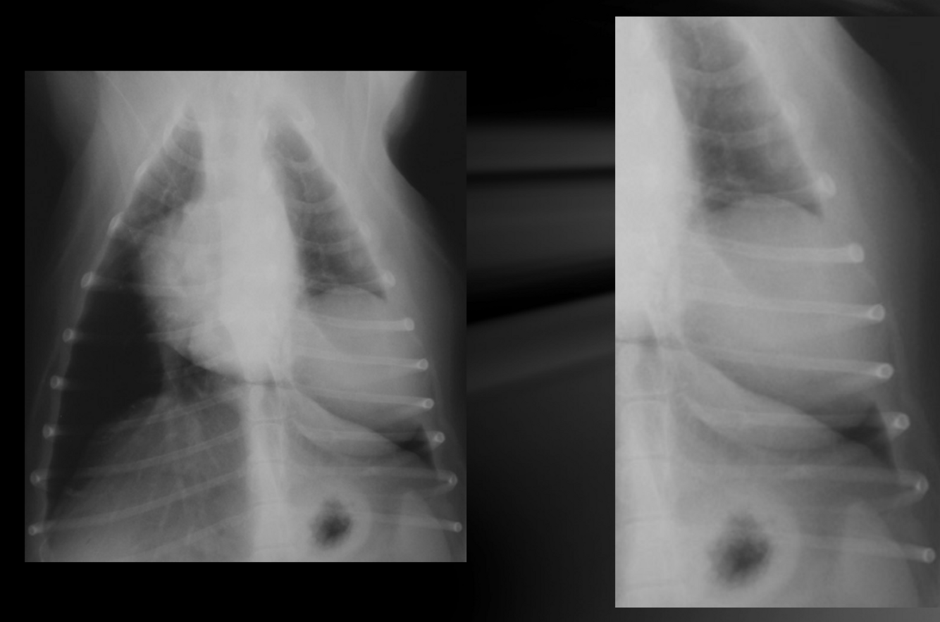
6
Q

What is the chronicity of these rib fractures?

A

Left: acute
-displacement
-sharp margins

Right: chronic
-callus formation

How well did you know this?
1
Not at all
2
3
4
5
Perfectly
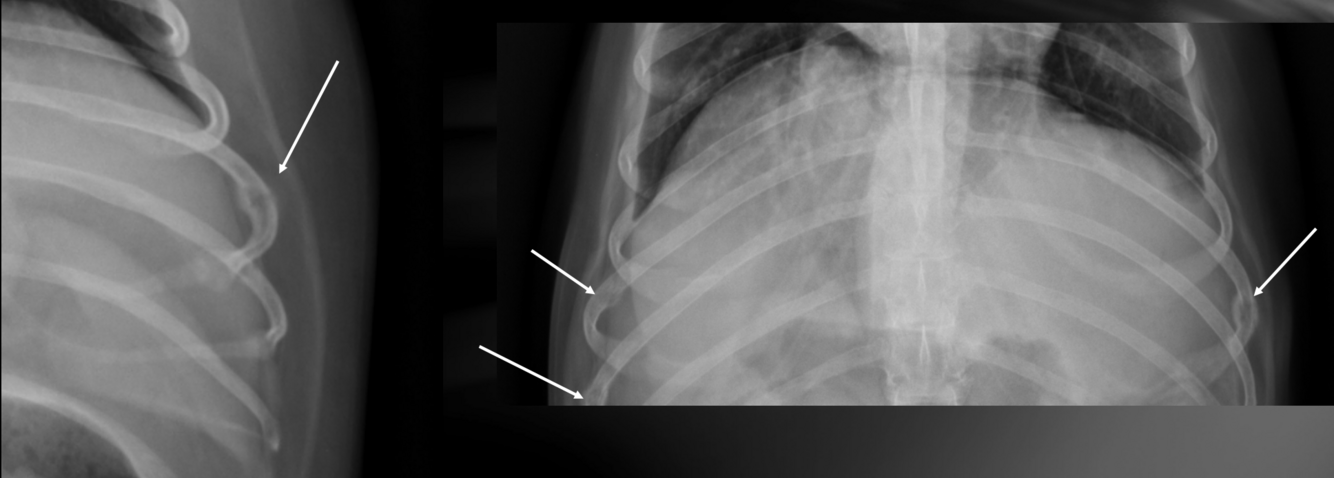
7
Q

What is shown in these images?

A

free-floating rib fragment causing flail chest

How well did you know this?
1
Not at all
2
3
4
5
Perfectly
8
Q

What are the characteristics of thoracic wall masses/extrapleural masses?

A

-mass arising in thoracic wall
-will deform thoracic wall
-recognized by extrapleural sign
-intact parietal pleura contains the mass
-mass will indent lung but be confluent with thoracic wall
-can be tumors or abscesses

How well did you know this?
1
Not at all
2
3
4
5
Perfectly
9
Q

How can a pulmonary mass be differentiated from an extrapleural mass?

A

-pulmonary: forms an acute angle with thoracic wall
-extrapleural: forms obtuse angle with thoracic wall and has broad-based attachment

How well did you know this?
1
Not at all
2
3
4
5
Perfectly
10
Q

What type of thoracic mass is this?

A

extrapleural:
-obtuse angle with thoracic wall
-broad-based attachment

How well did you know this?
1
Not at all
2
3
4
5
Perfectly
11
Q

What type of thoracic mass is this?

A

pulmonary:
-acute angle with thoracic wall

How well did you know this?
1
Not at all
2
3
4
5
Perfectly
12
Q

What are the signs that this is a thoracic wall mass?

A

-bony involvement/lysis (ribs)
-broad-based
-extends into subcutaneous tissue

How well did you know this?
1
Not at all
2
3
4
5
Perfectly
13
Q

What is shown in these images?

A

metastatic rib tumors; small, subtle, lytic lesions

How well did you know this?
1
Not at all
2
3
4
5
Perfectly
14
Q

What are the signs of diaphragmatic hernia?

A

-inability to clearly identify diaphragm and/or abnormal contour of diaphragm
-displacement or lack of organs in abdominal cavity
-visualization of organs in thoracic cavity which do not belong there

How well did you know this?
1
Not at all
2
3
4
5
Perfectly
15
Q

What is shown in these images?

A

acquired (traumatic) diaphragmatic hernia
-abnormal soft tissue content in thoracic cavity
-no diaphragm outline noted
-shifted gastric axis

How well did you know this?
1
Not at all
2
3
4
5
Perfectly
16
Q

What is shown in these images?

A

acquired (traumatic) diaphragmatic hernia
-small intestine present within chest cavity and dilated

17
Q

What are the other methods for identifying diaphragmatic hernia besides survey radiographs?

A

-contrast procedures
-positive contrast celiogram/peritoneogram
-horizontal beam radiography
-ultrasound/CT

18
Q

What are the characteristics of horizontal beam radiography?

A

-done when diaphragm is partially obscured by soft tissue opacity
-lateral radiograph with dog in dorsal recumbency or a standing view
-pleural effusion should redistribute and reveal diaphragm
-herniated organs will remain ventrally located

19
Q

What is shown in these images?

A

congenital diaphragmatic hernia
-“true” hernia: looks like a mass
-often in right ventral diaphragm

20
Q

What is shown in these images?

A

sliding hiatal hernia:
-at esophageal hiatus
-stomach slips through hiatus
-often incidental finding

21
Q

What is shown in these images?

A

peritoneo-pericardial diaphragmatic hernia
-can be incidental
-connection between pericardium and peritoneal cavity
-enlarged cardiac silhouette + absence of abdominal organs