Lecture 12 Flashcards

(53 cards)

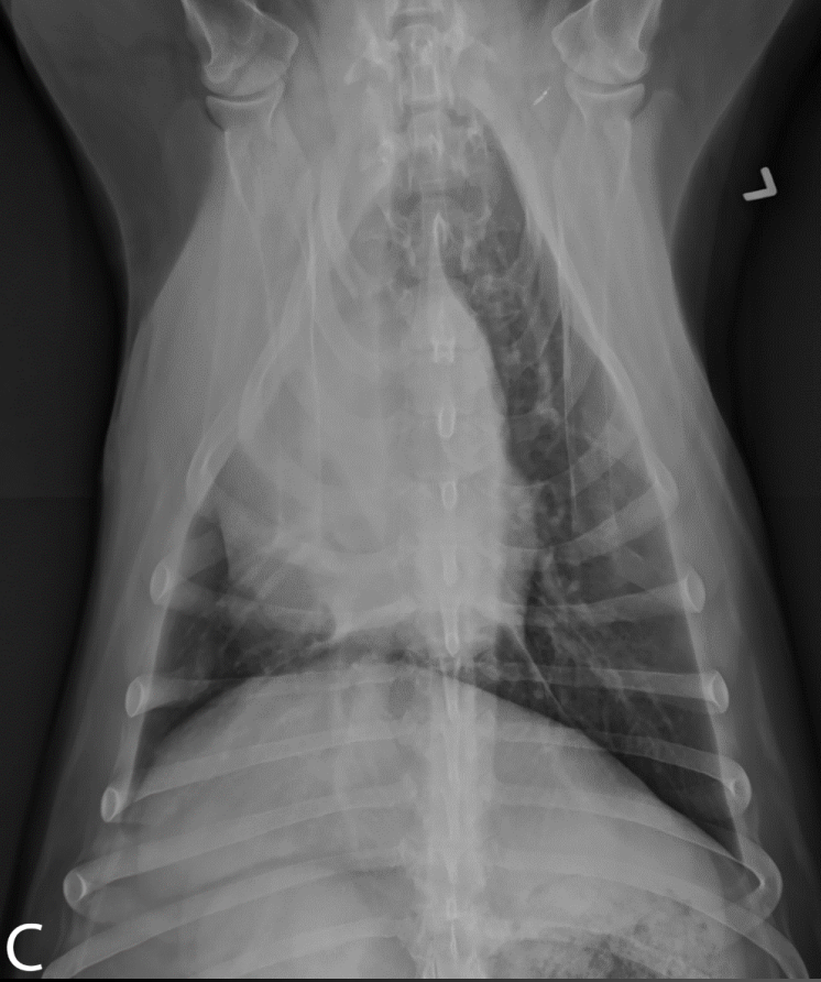
1
Q

What are the characteristics of mediastinal shift?

A

*mediastinum shifted to one side of VD/DV radiograph
*pull forces include:
-recumbent atelectasis
-previous lung lobectomy
-bronchial obstruction
*push forces include:
-intrathoracic masses
-diaphragmatic hernia
-chest wall deformities

How well did you know this?
1
Not at all
2
3
4
5
Perfectly
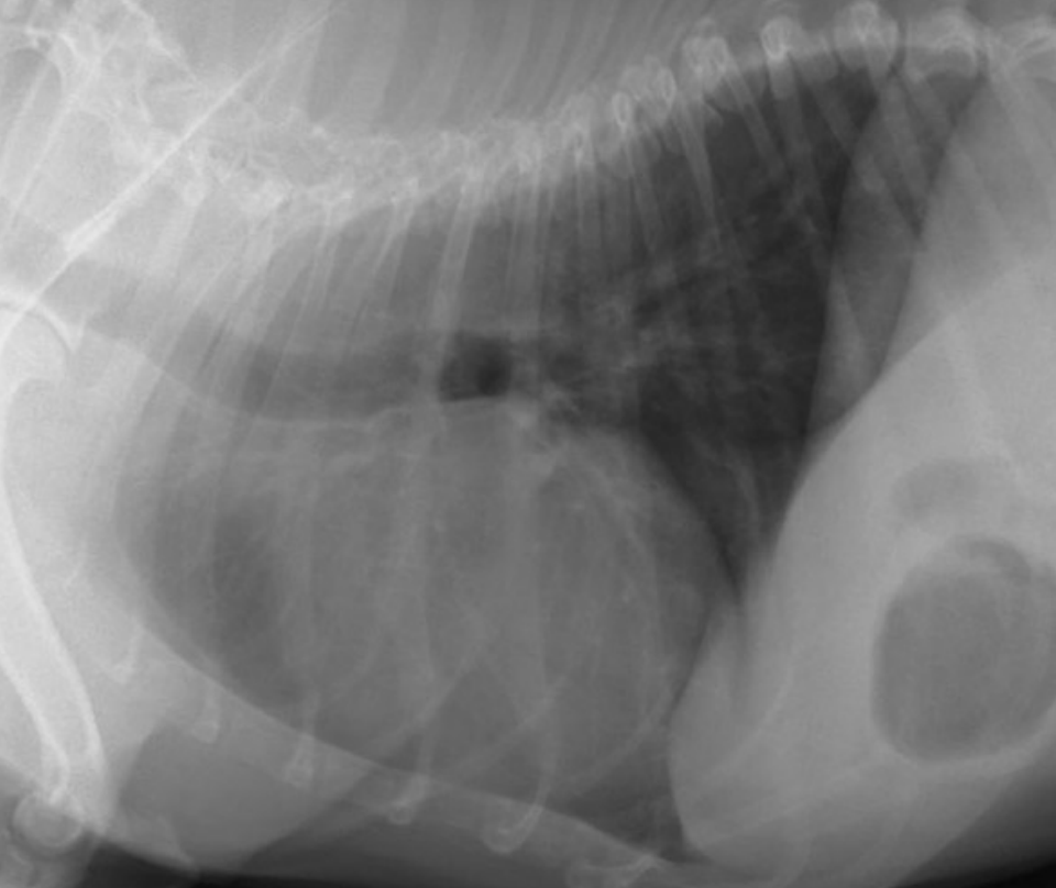
2
Q

What is shown in this image?

A

mediastinal shift due to recumbency

How well did you know this?
1
Not at all
2
3
4
5
Perfectly
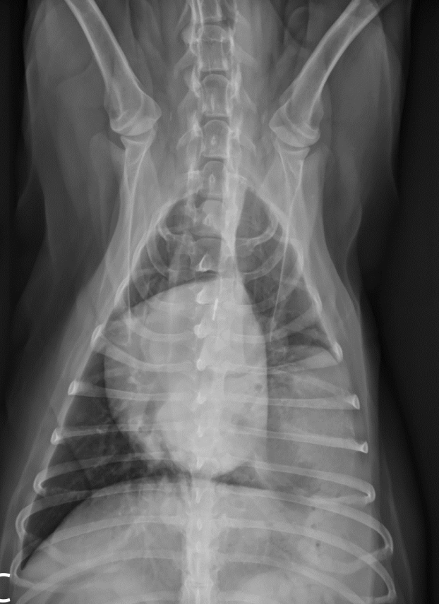
3
Q

What is shown in this image?

A

mediastinal shift due to prior lung lobectomy

How well did you know this?
1
Not at all
2
3
4
5
Perfectly
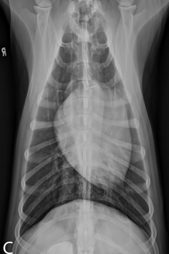
4
Q

What is shown in this image?

A

mediastinal shift due to push force of a mass

How well did you know this?
1
Not at all
2
3
4
5
Perfectly
5
Q

What are the characteristics of mediastinal masses and lymphadenopathy?

A

-can arise from virtually all structures in mediastinal space
-different etiologies
-want to evaluate based on location of mass(es) in conjunction with clinical picture and other imaging
-very large mediastinal lymph nodes can be indistinguishable from other mediastinal masses

How well did you know this?
1
Not at all
2
3
4
5
Perfectly
6
Q

What is shown in these images?

A

locations of the mediastinal lymph nodes

How well did you know this?
1
Not at all
2
3
4
5
Perfectly
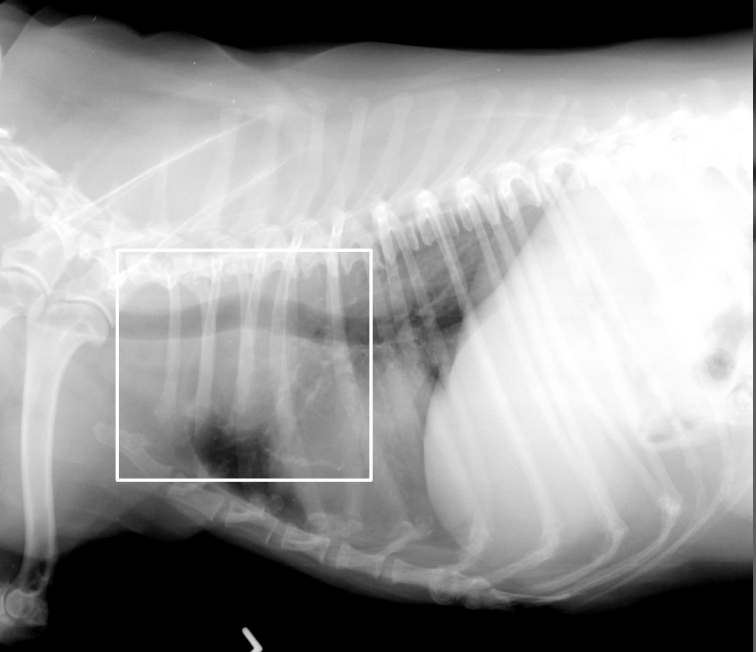
7
Q

What are the differentials for enlargement of the sternal mediastinal lymph node only?

A

neoplastic process affecting:
-thoracic wall
-thymus
-cranial mammary complexes
-pleura
-peritoneum

How well did you know this?
1
Not at all
2
3
4
5
Perfectly
8
Q

What are the differentials for enlargement of the cranial mediastinal lymph node(s) only?

A

neoplastic process affecting:
-musculoskeletal components of neck and thoracic wall
-mediastinal structures
-pleura

How well did you know this?
1
Not at all
2
3
4
5
Perfectly
9
Q

What are the differentials for enlargement of the tracheobronchial lymph node(s) only?

A

*neoplastic process affecting:
-lung
-bronchi
-caudal mediastinal structures
-diaphragm
*fungal dz

How well did you know this?
1
Not at all
2
3
4
5
Perfectly
10
Q

What are the differentials for enlargement of two or more groups of mediastinal lymph nodes?

A

-lymphoma
-fungal dz

How well did you know this?
1
Not at all
2
3
4
5
Perfectly
11
Q

What is shown in these images?

A

sternal lymphadenopathy

How well did you know this?
1
Not at all
2
3
4
5
Perfectly
12
Q

What is shown in this image?

A

cranial mediastinal lymphadenopathy

How well did you know this?
1
Not at all
2
3
4
5
Perfectly
13
Q

What is shown in these images?

A

tracheobronchial lymphadenopathy
-widening on mainstem bronchi

How well did you know this?
1
Not at all
2
3
4
5
Perfectly
14
Q

What is shown in these images?

A

generalized lymphadenopathy:
-widening of mediastinum
-deviation of mainstem bronchi

How well did you know this?
1
Not at all
2
3
4
5
Perfectly
15
Q

What are the differentials for cranioventral mediastinal masses?

A

-lymphoma
-thymoma

How well did you know this?
1
Not at all
2
3
4
5
Perfectly
16
Q

What are the differentials for craniodorsal (ventral to trachea) mediastinal masses?

A

-focal esophageal dilation
-heart base mass

How well did you know this?
1
Not at all
2
3
4
5
Perfectly
17
Q

What are the differentials for craniodorsal (dorsal to trachea) mediastinal masses?

A

-esophageal or paraesophageal mass
-paraspinal masses

How well did you know this?
1
Not at all
2
3
4
5
Perfectly
18
Q

What are the differentials for caudodorsal mediastinal masses?

A

-esophageal or paraesophageal mass
-hiatal hernia

How well did you know this?
1
Not at all
2
3
4
5
Perfectly
19
Q

What is the main differential for caudoventral mediastinal masses?

A

mediastinal diaphragmatic hernia

How well did you know this?
1
Not at all
2
3
4
5
Perfectly
20
Q

What is shown in these images?

A

cranioventral mediastinal mass
-pushes heart caudally

How well did you know this?
1
Not at all
2
3
4
5
Perfectly
21
Q

What is shown in these images?

A

cranioventral mediastinal mass
-pleural effusion seen in VD view

How well did you know this?
1
Not at all
2
3
4
5
Perfectly
22
Q

What is shown in these images?

A

mediastinal cyst

23
Q

How can fat in the mediastinum be distinguished from a mass, such as in this image?

A

the border of the heart can still be seen through the fat opacity

24
Q

What is shown in these images?

A

craniodorsal mediastinal mass

25
What is shown in these images?
caudodorsal mediastinal mass
26
What are the signs of mediastinal effusion?
-decreased visualization of mediastinal structures -diffuse widening of mediastinum *may not be recognized with concurrent pleural effusion*
27
What is shown in these images?
mediastinal effusion
28
What is shown in these images?
mediastinal effusion with concurrent pleural effusion and pulmonary edema
29
What are the characteristics of pneumomediastinum?
-gas in mediastinum -recognized by increased visualization of mediastinal structures -gas may dissect into subQ tissues or retroperitoneal space -air can escape from mediastinal space into pleural space but NOT vice versa -self-limiting
30
What is shown in these images?
Left: pneumomediastinum Right: normal
31
What are the characteristics of the esophagus?
-not seen on survey rads in normal animals unless containing swallowed gas/liquid -absence of survey abnormalities does not exclude esophageal dz
32
What is an esophagram used to evaluate for?
-swallowing disorders -regurgitation -mediastinal masses seen on survey rads
33
Why is it best to perform esophagrams under fluoroscopy?
diagnosis of functional abnormalities and intermittent lesions can only be done in real time
34
What is a contraindication to esophagram?
obvious megaesophagus (risk of aspiration of contrast material)
35
What are the methods for getting contrast medium into an animal?
-liquid contrast medium -barium paste -canned food mixed with positive contrast medium -kibble mixed with positive contrast medium
36
Which esophageal diseases can potentially be diagnosed with survey rads?
-generalized dilatation -segmental dilatation -foreign body -stricture -neoplasia -hiatal hernia -gastroesophageal intussusception
37
What are the characteristics of generalized megaesophagus?
-numerous possible etiologies -will see a tubular gas-, fluid-, or ingesta-filled structure dorsal to trachea -ventral deviation of trachea -"tracheal stripe" sign/impression of thickened dorsal tracheal margin -wide mediastinum -possible aspiration pneumonia
38
What is shown in these images?
generalized megaesophagus: -left: large bubble of esophagus -right: widened mediastinum
39
What is shown in these images?
megaesophagus with aspiration pneumonia -gas-filled tube -thickened appearance of trachea -patchy alveolar patten in lungs
40
What are the characteristics of segmented megaesophagus?
-often due to vascular ring anomaly/persistent right aortic arch w/ persistent ligamentum arteriosum -marked dilatation of esophagus cranial to heart -focal narrowing of esophagus at heart base -trachea deviated ventrally -trachea may also deviate to left -possible mild dilatation of esophagus caudal to heart base -possible aspiration pneumonia
41
What is shown in these images?
segmented megaesophagus due to vascular ring anomaly/persistent right aortic arch
42
What is shown in these images?
segmented megaesophagus: -top: food stuck in esophagus -bottom: focal dilatation cranial to heart as seen w/ contrast media
43
What are the characteristics of esophageal foreign body?
-may be easily recognized if radiopaque and/or characteristic shape -may need esophagram to diagnose non-radiopaque FBs -structure present within esophageal lumen -esophageal dilatation at or cranial to lesion -potential for esophageal perforation
44
What is shown in this image?
esophageal foreign body: bone
45
What is shown in these images?
esophageal foreign body w/ very distended esophagus
46
What are the characteristics of esophageal stricture?
-secondary to injury to esophageal mucosa -scarring and fibrosis cause luminal narrowing -survey rads can be normal or can show esophageal dilatation cranial to stricture -esophagram will show luminal narrowing with or without irregular mucosal contour
47
What are the characteristics of esophageal neoplasia?
-rare -typically carcinomas or smooth muscle tumors -mediastinal mass in region of esophagus -smooth, round, soft tissue opaque appearance -possibility of secondary megaesophagus -esophagram helpful diagnostic for identifying tumor location
48
What is shown in these images?
esophageal masses
49
What are the characteristics of hiatal hernia?
-herniation of part of stomach into thoracic cavity -soft tissue opacity mass lesion in caudodorsal mediastinum immediately cranial to diaphragm -permanent and paraesophageal hernias may need esophagram to diagnose
50
How is a hiatal hernia distinguished from a mass?
-dorsal and lateral displacement of stomach -extension of intraluminal gastric space into hernia -intermittent nature of lesion
51
What is shown in these images?
sliding hiatal hernia: -left: normal -middle: hernia present -right: hernia gone again
52
What are the characteristics of gastroesophageal intussusception?
-rare -young dogs; esp. german shepherds -complete or partial herniation of stomach into esophageal lumen -life-threatening emergency with poor prognosis -severe dilatation of esophagus with gas cranially and soft tissue opaque material caudally -stomach absent from abdomen or abnormally small
53
What is shown in this image?
gastroesophageal intussusception