Lecture 9 Flashcards

(45 cards)

1
Q

What are the characteristics of tarsal bone collapse?

A

-analogous to cuboidal bone disease in carpus
-seen in neonatal foals, older foals, or young adults
-tarsal bones are immature and rounded with granular opacity
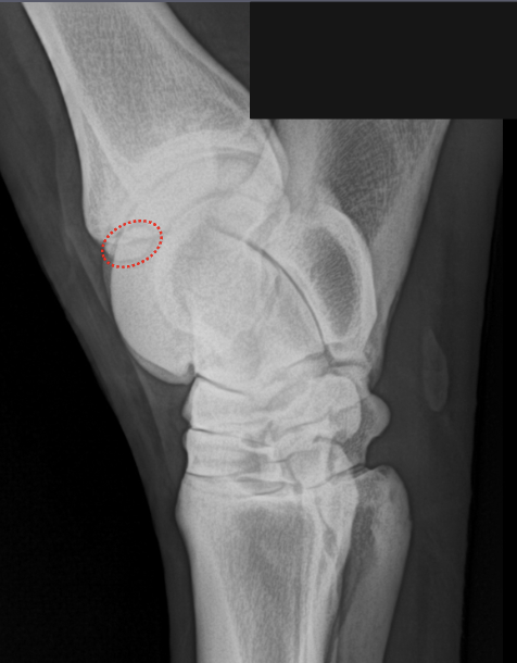
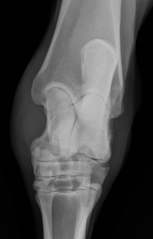
-excessive flexion of hock and tarsus valgus occur

How well did you know this?
1
Not at all
2
3
4
5
Perfectly
2
Q

What happens if tarsal bone collapse is not recognized early?

A

-weight-bearing causes compression of third and central tarsal bones
-compressed bones become wedge-shaped
-fragmentation possible

How well did you know this?
1
Not at all
2
3
4
5
Perfectly
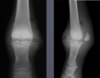
3
Q

What is shown in these images?

A

tarsal bone collapse; early stage

How well did you know this?
1
Not at all
2
3
4
5
Perfectly
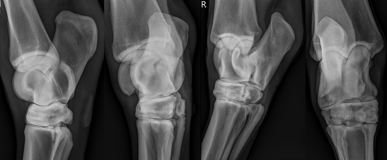
4
Q

What is shown in this image?

A

consequences of tarsal bone collapse:
-narrow joint spaces
-abnormal shape of tarsal bones

How well did you know this?
1
Not at all
2
3
4
5
Perfectly
5
Q

What is osteochondrosis of the tarsus associated with?

A

effusion of the talocrural joint

How well did you know this?
1
Not at all
2
3
4
5
Perfectly
6
Q

What are the typical locations of osteochondrosis in the tarsus?

A

-intermediate ridge of tibia
-trochlear ridges of talus (L > M)
-medial malleolus of tibia
-calcaneus
often bilaterial

How well did you know this?
1
Not at all
2
3
4
5
Perfectly
7
Q

What is shown in this image?

A

osteochondrosis at intermediate ridge of tibia (DIRT)

How well did you know this?
1
Not at all
2
3
4
5
Perfectly
8
Q

What is shown in these images?

A

osteochondrosis/OCD at intermediate ridge of tibia (DIRT)
-visible fragment

How well did you know this?
1
Not at all
2
3
4
5
Perfectly
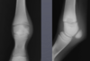
9
Q

What is shown in this image?

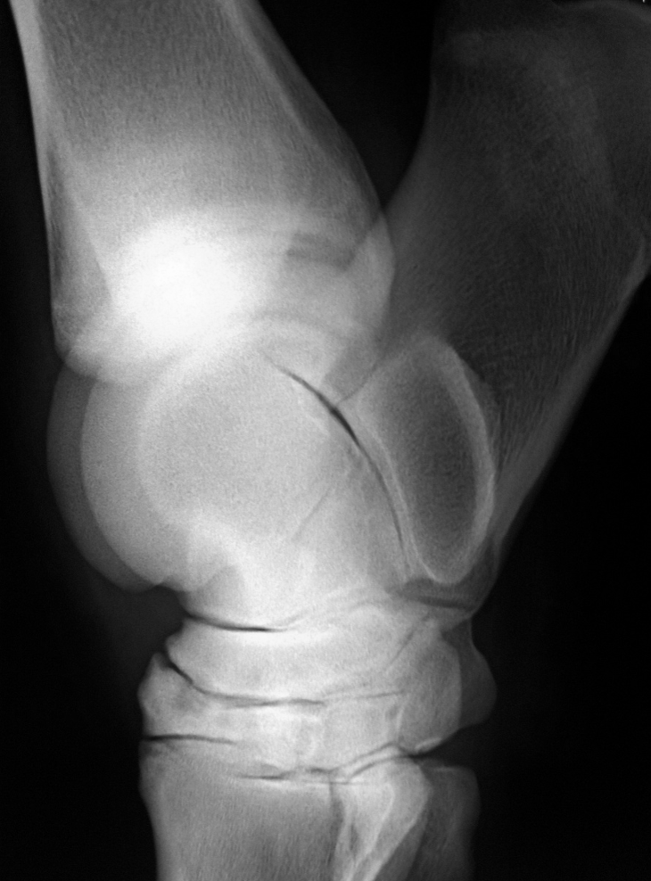
A

OCD of lateral trochlear ridge of talus with mineralized fragment

How well did you know this?
1
Not at all
2
3
4
5
Perfectly
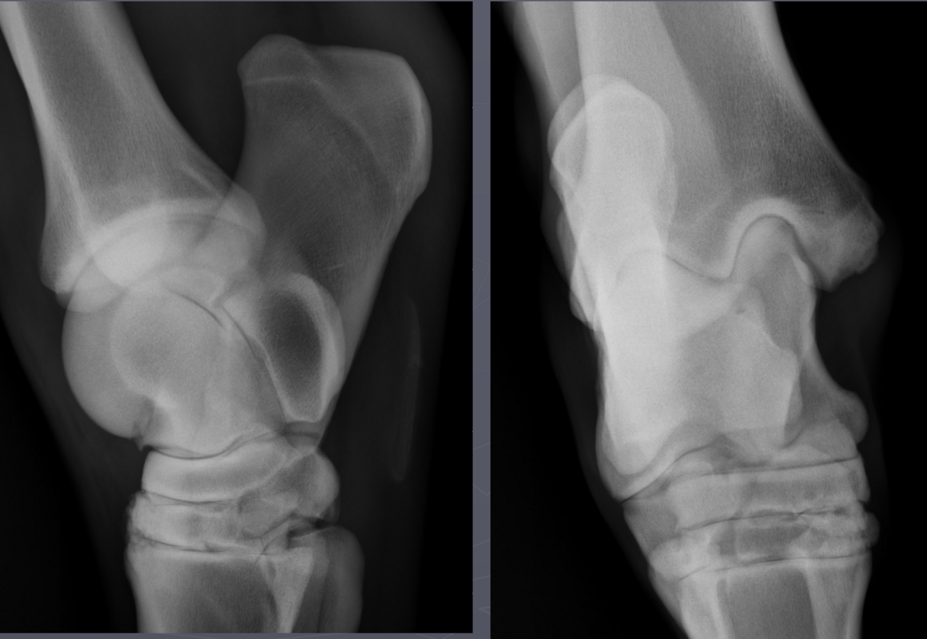
10
Q

What is shown in these images?

A

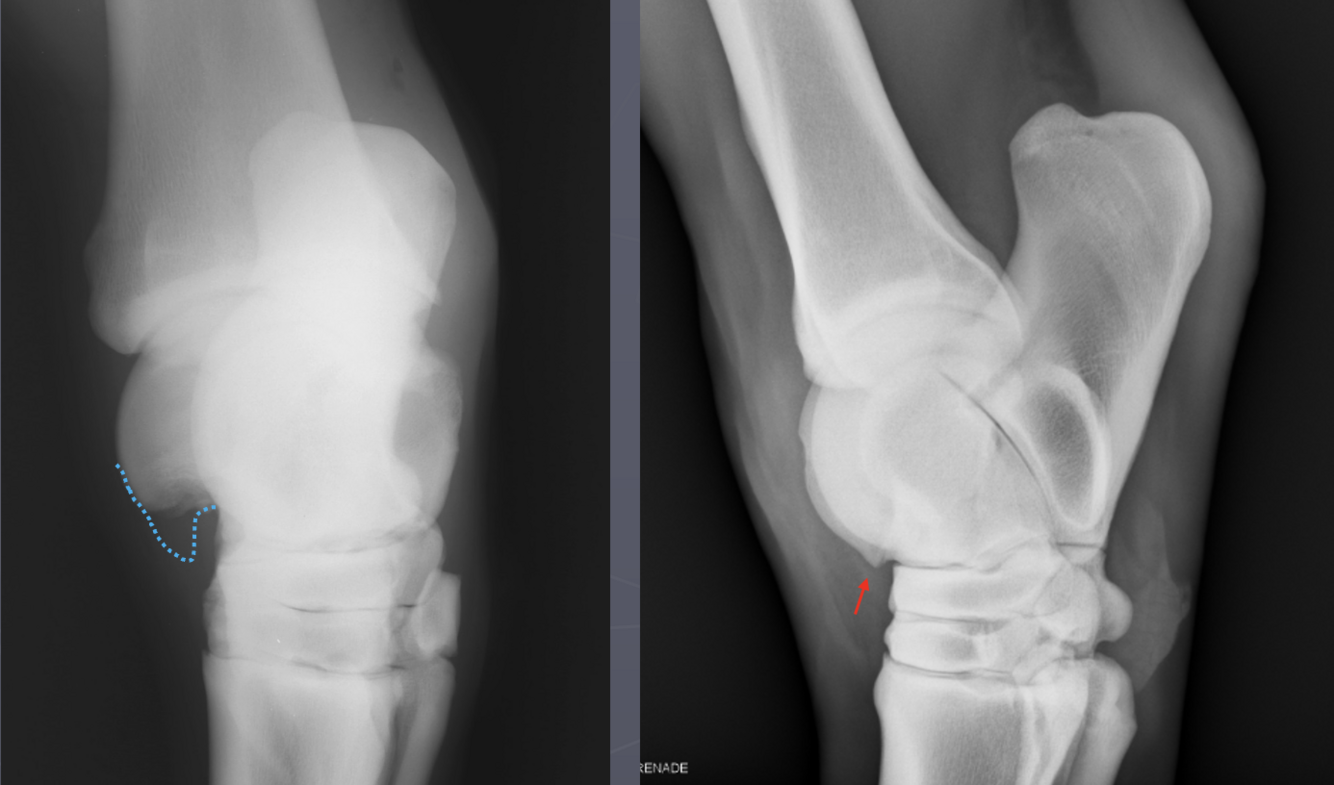
Left: osteochondrosis of lateral trochlear ridge of talus
-“missing” bone that is cartilaginous instead of mineralized

Right: osteochondrosis of lateral trochlear ridge of talus
-lesion is the divot seen on lateral trochlear ridge
-red arrow is pointing to normal variation of the medial trochlear ridge

How well did you know this?
1
Not at all
2
3
4
5
Perfectly
11
Q

What is shown in this image?

A

OCD and reattachment of fragment to medial malleolus of tibia

How well did you know this?
1
Not at all
2
3
4
5
Perfectly
12
Q

What are the characteristics of DJD in the tarsus?

A

-aka “spavin”
-periarticular osteophyte and entheseophyte production
-joint space narrowing and collapse
-subchondral sclerosis and lysis
-end result is ankylosis

How well did you know this?
1
Not at all
2
3
4
5
Perfectly
13
Q

What are the typical locations for DJD in the tarsus?

A

-tarsometatarsal joint
-distal intertarsal joint
-proximal intertarsal joint (less common)
often bilateral

How well did you know this?
1
Not at all
2
3
4
5
Perfectly
14
Q

Why is talocrural joint distention seen with DJD of the proximal intertarsal joint?

A

communication between the two joints leads to the distention

How well did you know this?
1
Not at all
2
3
4
5
Perfectly
15
Q

What is the importance of the presence of a spur on dorsoproximal MT3?

A

-may be an entheseophyte on the insertion of the cranial tibial tendon or dorsal tarsometatarsal ligament
-may not reflect DJD if there are no other changes in the joint

How well did you know this?
1
Not at all
2
3
4
5
Perfectly
16
Q

What is shown in this image?

A

entheseophyte on the insertion of the cranial tibial tendon or dorsal tarsometatarsal ligament

How well did you know this?
1
Not at all
2
3
4
5
Perfectly
17
Q

What is shown in these images?

A

tarsal DJD
-fuzzy, ill-defined joint spaces
-bone production

How well did you know this?
1
Not at all
2
3
4
5
Perfectly
18
Q

What is shown in these images?

A

tarsal DJD
-abnormal joint spaces with bone production

How well did you know this?
1
Not at all
2
3
4
5
Perfectly
19
Q

What is seen in this DMPLO?

A

tarsal DJD
-abnormal joint space and bone production

20
Q

What is shown in these images?

A

joint ankylosis as a result of DJD

21
Q

What is shown in these images?

A

Left: DJD of talocalcaneal joint
Right: normal talocalcaneal joint

22
Q

Why are tarsal fractures difficult to identify?

A

-complex anatomy
-minimal displacement due to support from intertarsal and collateral ligaments

23
Q

What is shown in this image?

A

talus fracture and lots of swelling surrounding tarsus

24
Q

What is shown in these images?

A

osteomyelitis within tarsus

25
What are the common locations for stifle osteochondrosis?
-lateral trochlear ridge of femur (most common) -medial trochlear ridge of femur -articular surface of patella (worst prognosis) -medial femoral condyle (osseous cyst-like lesion) *often bilateral*
26
What is shown in this image?
osteochondrosis lesion on lateral trochlear ridge of femur
27
What is shown in this image?
osteochondrosis lesion on lateral trochlear ridge of femur
28
What is shown in this image?
osteochondrosis lesion on medial trochlear ridge of femur
29
What is shown in this image?
-very large osteochondrosis lesion on lateral trochlear ridge of femur -lots of swelling surrounding joint
30
What is shown in this image?
osteochondrosis lesion on patella with a corresponding trochlear ridge lesion
31
What are the characteristics of osseous cyst-like lesions?
-part of OCD complex -medial femoral condyle most common location -seen in lateral femoral condyle as well -also seen on proximal tibial epiphysis; more rare
32
What is shown in these images?
Left: osseous cyst-like lesion, lysis, DJD, and fragmentation Right: osseous cyst-like lesion, flattening of condyle, DJD (less so than left image)
33
What is shown in this image?
osseous cyst-like lesion with communication with joint space
34
What is shown in these images?
DJD within stifle joint
35
What are the characteristics of lateral patellar luxation?
-seen in miniature horses and foals -malformed trochlear ridges predispose -rads used for diagnosis
36
What are the characteristics of intermittent upward fixation of patella?
-radiographs of little value -patella gets stuck on lateral trochlear ridge -can see remodeling of cranial surface of patella, fragmentation, and entheseophytes after medial patellar ligament desmotomy
37
What is shown in these images?
lateral patellar luxation
38
What are the characteristics of septic arthritis and osteomyelitis?
-most common in young foals -multiple joints affected due to hematogenous spread in foals -if seen in adults, associated with trauma or iatrogenic cause
39
What are the signs of septic arthritis and osteomyleitis?
-periarticular soft tissue swelling -joint distention -irregular outline of subchondral bone -lysis of subchondral bone +/- sclerosis -partial subchondral bone collapse -secondary osteophyte formation
40
What is shown in these images?
physeal septic arthritis and osteomyelitis -lots of swelling
41
What is shown in these images?
physeal septic arthritis and osteomyelitis -more focal lesion -asymmetrical swelling
42
What is shown in these images?
very severe physeal septic arthritis and osteomyelitis -lots of swelling -lots of aggressive lytic changes
43
What is shown in these images?
epiphyseal septic arthritis and osteomyelitis -lots of swelling -destruction of joint space -lots of fragmentation -gas pockets
44
What is shown in this image?
synovial septic arthritis and osteomyelitis -severe swelling -no osseous abnormality
45
What is shown in these images?
synovial septic arthritis and osteomyelitis