Lecture 18 Flashcards

(62 cards)

1
Q

What are the characteristics of the normal cardiac silhouette?

A

-delineates external margins of heart/pericardium
-unable to define internal features of cardiac chambers
-unable to determine wall thickness or chamber size
-unable to delineate valvular morphology

How well did you know this?
1
Not at all
2
3
4
5
Perfectly
2
Q

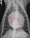
Which heart structures are in the dorsal 1/3 of the cranial border of the normal cardiac silhouette?

A

-main pulmonary artery
-right auricle
-ascending aorta

How well did you know this?
1
Not at all
2
3
4
5
Perfectly
3
Q

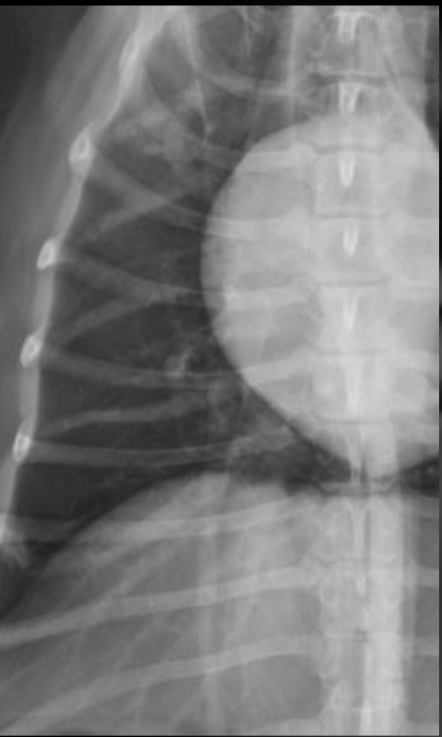
Which heart structure makes up the ventral 2/3 of the cranial border of the normal cardiac silhouette?

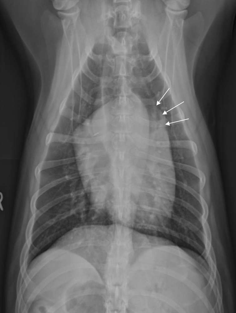
A

wall of the right ventricle and outflow tract

How well did you know this?
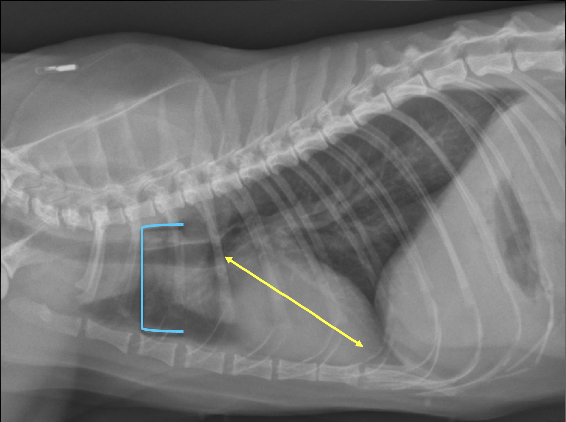
1
Not at all
2
3
4
5
Perfectly
4
Q

Which structures are outlined in this image?

A

light blue: ascending aorta
mint: main pulmonary artery
orange: right auricle
dark blue: right ventricle

How well did you know this?
1
Not at all
2
3
4
5
Perfectly
5
Q

Which structure makes up the dorsal 1/3 of the caudal border of the normal cardiac silhouette?

A

left atrium

How well did you know this?
1
Not at all
2
3
4
5
Perfectly
6
Q

Which structure makes up the ventral 2/3 of the caudal border of the normal cardiac silhouette?

A

left ventricular free wall

How well did you know this?
1
Not at all
2
3
4
5
Perfectly
7
Q

Which structures are outlined in this image?

A

dark blue: left atrium
pink: left ventricle
yellow arrow: sulcus at the junction of left atrium and left ventricle

How well did you know this?
1
Not at all
2
3
4
5
Perfectly
8
Q

Which structures pair with the times on the “clock face” of the heart in a VD view?

A

11:00 to 1:00: aortic arch
1:00 to 2:00: main pulmonary artery segment
2:30 to 3:00: left auricle
3:00 to 5:00: left ventricle
5:00 to 9:00: right ventricle
9:00 to 11:00: right atrium

How well did you know this?
1
Not at all
2
3
4
5
Perfectly
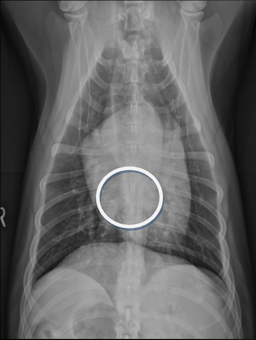
9
Q

What is indicated by the white circle in this image?

A

position of the left atrium
-does not contribute to “clock face”
-between the main stem bronchi

How well did you know this?
1
Not at all
2
3
4
5
Perfectly
10
Q

Which structures are outlined in these images?

A

white: aorta
blue arrows: caudal vena cava

How well did you know this?
1
Not at all
2
3
4
5
Perfectly
11
Q

What are the characteristics of the caudal vena cava?

A

-maximum normal diameter is approximately the same as the aorta
-will vary in diameter with cardiac cycle and phase of respiration
-if consistently small, think hypovolemia or shock
-if consistently large, think congestive heart failure

How well did you know this?
1
Not at all
2
3
4
5
Perfectly
12
Q

Which structure is present at the location of the white arrows?

A

caudal vena cava

How well did you know this?
1
Not at all
2
3
4
5
Perfectly
13
Q

What are the segmental aortic enlargements that accompany cardiac disease?

A

aortic arch: subaortic stenosis
proximal descending aorta: patent ductus arteriosis

How well did you know this?
1
Not at all
2
3
4
5
Perfectly
14
Q

What are the characteristics of the aorta?

A

-generalized enlargement is not usually recognized
-if generalized enlargement, think systemic hypertension
-segmental enlargement is suggestive of specific cardiac congenital diseases

How well did you know this?
1
Not at all
2
3
4
5
Perfectly
15
Q

What are the characteristics of the main pulmonary artery?

A

-enlargement is associated with pulmonary hypertension and specific disorders of pulmonary outflow tract
-mild main pulmonary artery bulge may be normal in some dogs; evaluate w/ other findings

How well did you know this?
1
Not at all
2
3
4
5
Perfectly
16
Q

Which structure is present at the location of the white arrows?

A

main pulmonary artery

How well did you know this?
1
Not at all
2
3
4
5
Perfectly
17
Q

What are the characteristics of pulmonary vessels?

A

-left caudal pulmonary artery lies dorsal to tracheal bifurcation
-right caudal pulmonary artery lies ventral to tracheal bifurcation
-pulmonary arteries and veins are tapering structures that run on either side of corresponding bronchi
-veins are ventral and central

How well did you know this?
1
Not at all
2
3
4
5
Perfectly
18
Q

What is shown in this image?

A

arteries, bronchi, and veins in lateral view
-arteries are dorsal to bronchus
-veins are ventral to bronchus

How well did you know this?
1
Not at all
2
3
4
5
Perfectly
19
Q

What is shown in this image?

A

artery, bronchus, and vein in dorsal view
-artery is lateral to bronchus
-vein is medial/central to bronchus
-pulmonary vessels should be equal in diameter to 9th rib

How well did you know this?
1
Not at all
2
3
4
5
Perfectly
20
Q

What are the normal characteristics of the feline heart in a lateral view?

A

-heart height is ~ 2/3 of the diameter from dorsal to ventral chest (yellow)
-heart is 2 to 2.5 intercostal spaces wide (pink)
-trachea deviates from spine (blue)

How well did you know this?
1
Not at all
2
3
4
5
Perfectly
21
Q

What are the normal characteristics of the feline heart in a VD/DV view?

A

-apex is slightly left of midline (yellow)
-broad convexity in area of right atrium and left ventricle (pink)
-flat left auricle area (blue)
-heart is almond-shaped

How well did you know this?
1
Not at all
2
3
4
5
Perfectly
22
Q

What are the normal characteristics of the geriatric feline heart in lateral view?

A

-cardiac silhouette may incline cranially (yellow)
-altered position results in vertical orientation of aortic arch (blue)

How well did you know this?
1
Not at all
2
3
4
5
Perfectly
23
Q

What are the normal characteristics of the geriatric feline heart in VD/DV view?

A

-altered position gives impression of elongated heart; should still be almond-shaped (yellow)
-vertical orientation of aortic arch appears end-on and can look like a mediastinal/pulmonary nodule (blue)

How well did you know this?
1
Not at all
2
3
4
5
Perfectly
24
Q

What are the normal characteristics of the heart in a deep-chested canine on lateral view?

A

-upright orientation of heart/perpendicular to spine (yellow)
-heart height is 2/3 diameter of dorsal to ventral chest (yellow)
-width is 2.5 intercostal spaces (pink)
-trachea deviates from spine (blue)

How well did you know this?
1
Not at all
2
3
4
5
Perfectly
25
What are the normal characteristics of the heart in a deep-chested canine on VD/DV view?
-circular to ovoid heart shape (pink) -apex slightly left of midline (yellow) -separation between cardiac silhouette and cupula of diaphragm (blue)
26
What are the normal characteristics of the heart in an intermediate-chested canine on lateral view?
-heart angled craniodorsally (yellow) -heart height is 2/3 diameter of dorsal to ventral chest (yellow) -width is 3 intercostal spaces (pink) -trachea deviates from spine (blue)
27
What are the normal characteristics of the heart in an intermediate-chested canine on VD/DV view?
-more elongated shape (pink) -apex to left of midline (yellow) -less separation between cardiac silhouette and diaphragm (blue)
28
What are the normal characteristics of the heart in a shallow-chested canine on lateral view?
-heart is more rounded -heart height is 2/3 or greater of the diameter of the dorsal to ventral chest (yellow) -width is 3 to 3.5 intercostal spaces (pink) -less tracheal deviation from spine (light blue) -greater sternal contact (gray/dark blue)
29
What are the normal characteristics of the heart in a shallow-chested canine on VD/DV view?
-heart round to elongated (pink) -apex left of midline (yellow) -short distance from thoracic inlet to cupula of diaphragm or cardiac silhouette in contact with diaphragm
30
What are the characteristics of angiocardiography?
-non-selective involves contrast injection into peripheral vein -selective involves catheter placement into area of interest -less common today due to echocardiography -very important when performing interventional cardiac procedures
31
What are the characteristics of echocardiography?
-ultrasound examination of the heart -gold standard for diagnosis of most cardiac disorders
32
What are the characteristics of cardiomegaly?
-most consistent radiographic indicator of heart disease -especially helpful in moderate to severe cases and in monitoring progression of heart disease -wide range of normal -mensuration techniques of questionable value
33
What are the characteristics of vertebral heart score?
-start at cranial endplate of fourth thoracic vertebra -length and width of cardiac silhouette are measured in number of thoracic vertebrae and added -normal score for dogs is 9.7 +/- 0.5 -normal score for cats is 7.5 +/- 0.3
34
What are the components of cardiomegaly?
-left heart enlargement, right heart enlargement, or both -atrial and ventricular enlargement of affected side usually go together
35
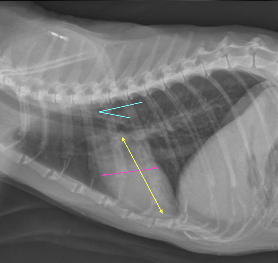
What are the signs of left atrial enlargement in lateral view?
-dorsal displacement of mainstem bronchi -increased size of caudal dorsal cardiac border -loss of caudal cardiac waist; straightening of caudal cardiac margin
36
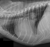
What is shown in this image?
left atrial enlargement (humpback appearance)
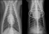
37
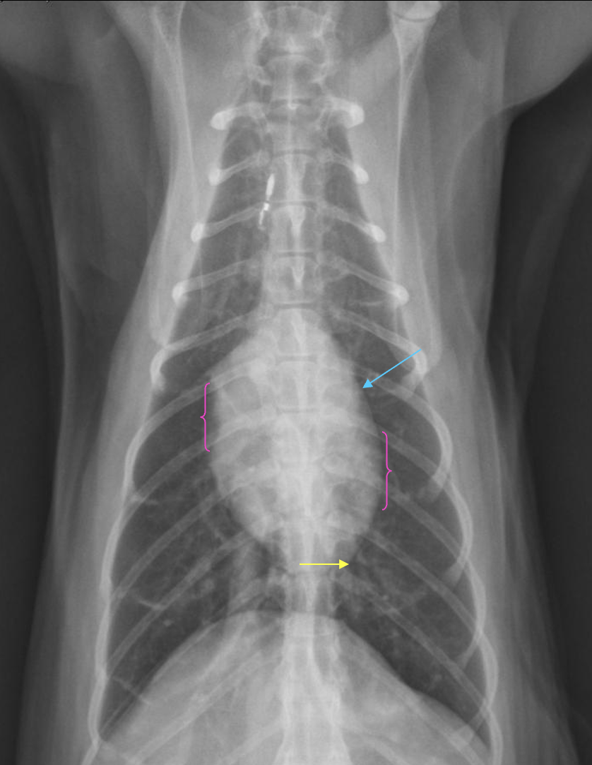
What are the signs of left atrial enlargement in VD view?
-double opacity sign -separation of mainstem bronchi -left auricular enlargement seen as a bulge at 2:30 to 3:00 o'clock
38
What is shown in this image?
left atrial enlargement
39
What are the signs of left ventricular enlargement in lateral view?
*heart is "too tall" -dorsal displacement of trachea -decreasing angle of tracheal separation from thoracic spine -increase in proportion of dorsoventral diameter of thorax occupied by heart (90% in image) *straightening of caudal border of heart
40
What are the signs of left ventricular enlargement in VD view?
-elongation of cardiac silhouette -deviation of cardiac apex to the left -increased prominence/bulge in the 3:00 to 5:00 o'clock region
41
What are the signs of right atrial enlargement in lateral view?
-dorsal bowing/J shape of trachea over cranial heart base -loss of cranial cardiac waist
42
What is the sign of right atrial enlargement in VD view?
increased prominence/bulge in 9:00 to 11:00 region
43
What are the signs of right ventricular enlargement in lateral view?
-increased width of cardiac silhouette -increased convexity of cranial margin of heart -increased sternal contact
44
What are the signs of right ventricular enlargement in VD view?
-increased prominence/bulge in the 5:00 to 9:00 o'clock region -reverse D shape of the cardiac silhouette (unreliable)
45
What are the signs of generalized cardiomegaly?
combination of signs involving both left and right cardiac chambers -right and left heart enlargement
46
What is shown in these images?
generalized cardiomegaly
47
What sign of left atrial enlargement in cats is shown in this image?
left: normal right: widening of cranial aspect of heart due to "baggy" left atrium
48
What are the characteristics of microcardia?
-cardiac silhouette is smaller than normal -most commonly due to dehydration, shock, or hypoadrenocorticism -signs include pulmonary hypoperfusion and consistently small caudal vena cava
49
What is shown in these images?
microcardia
50
What is the definition of congestive heart failure?
radiographic evidence of inability of heart to adequately handle volume of returning blood
51
What is NOT an indicator of heart failure?
cardiomegaly as the only abnormality
52
What is left heart failure?
inability of heart to handle volume of blood returning from pulmonary circulation
53
What are the roentgen signs of left heart failure that pertain to the vessels?
-pulmonary venous congestion -pulmonary veins larger than pulmonary arteries -both arteries and veins are increased in size -vascular changes not always seen
54
What is shown in these images?
left heart failure in a dog
55
What is shown in these images?
left heart failure in a cat
56
What are the roentgen signs of left heart failure that pertain to pulmonary edema?
-unstructured interstitial or alveolar pulmonary infiltrates predominantly in the perihilar/caudal dorsal lung fields -multifocal patchy distribution in cats, doberman pinschers, and dogs with acute rupture of chordae tendinae -peribronchial cuffing in cats; can cause bronchial pattern
57
What is shown in this image?
left heart failure in a dog
58
What is shown in these images?
left heart failure in a cat: -left: before treatment -right: after treatment
59
What is shown in this image?
pleural effusion: -indicator of left heart failure in cats
60
What is right heart failure?
inability of heart to handle the volume of blood returning from systemic circulation
61
What are the roentgen signs of right heart failure?
-systemic venous congestion/enlargement of caudal vena cava -visceral congestion/hepatomegaly -ascites
62
What is shown in these images?
right heart failure -enlarged caudal vena cava -hepatomegaly -ascites