Lecture 3 Flashcards

(72 cards)

1
Q

What are the two layers of periosteum?

A

-inner cambium layer (bone producing)
-outer fibrous layer

How well did you know this?
1
Not at all
2
3
4
5
Perfectly
2
Q

How is periosteum attached to the cortex?

A

Sharpey’s fibers

How well did you know this?
1
Not at all
2
3
4
5
Perfectly
3
Q

How is periosteal reaction classified?

A

in terms of:
-aggressiveness
-activity
-duration

How well did you know this?
1
Not at all
2
3
4
5
Perfectly
4
Q

How is periosteal reaction aggressiveness determined?

A

-based on organization of new bone
-the more disorganized the new bone formation, the more aggressive the lesion

How well did you know this?
1
Not at all
2
3
4
5
Perfectly
5
Q

What are the patterns of periosteal reaction, least to most aggressive?

A

-solid, smooth bone
-lamellated
-columnar/palisading
-spiculated/sunburst
-amorphous

How well did you know this?
1
Not at all
2
3
4
5
Perfectly
6
Q

What are the characteristics of solid periosteal reaction?

A

-bone completely fills the area under the reaction
-surface can be smooth or undulating
-usually non-aggressive
-ex. is callus

How well did you know this?
1
Not at all
2
3
4
5
Perfectly
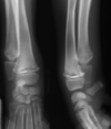
7
Q

What is seen in these radiographs?

A

solid periosteal reaction

How well did you know this?
1
Not at all
2
3
4
5
Perfectly
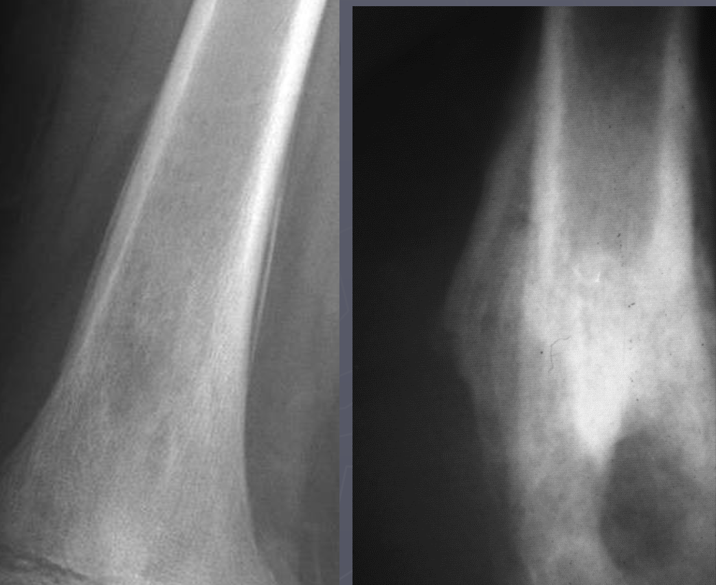
8
Q

What are the characteristics of lamellated periosteal reaction?

A

-layered or “onion skin” appearance
-indicates cyclic or intermittent process
-more aggressive than solid/smooth new bone
-occurs with stress fracture, osteomyelitis, or hypertrophic osteopathy
-transient feature of normal growth

How well did you know this?
1
Not at all
2
3
4
5
Perfectly
9
Q

What is shown in these radiographs?

A

lamellated periosteal reaction

How well did you know this?
1
Not at all
2
3
4
5
Perfectly
10
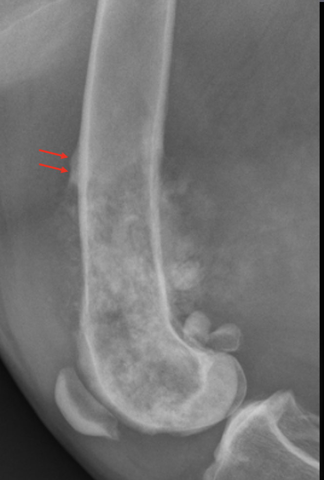
Q

What are the characteristics of columnar to spiculated periosteal reaction?

A

-can appear like columns or bone (palisading) to spiculated (star burst)
-columnar seen with hypertrophic osteopathy
-spiculated seen with primary bone neoplasia
-bone incompletely fills the area under periosteum
-more aggressive than lamellated
-spiculated more aggressive than columnar

How well did you know this?
1
Not at all
2
3
4
5
Perfectly
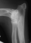
11
Q

What is shown in this radiograph?

A

columnar periosteal reaction

How well did you know this?
1
Not at all
2
3
4
5
Perfectly
12
Q

What is shown in these radiographs?

A

spiculated periosteal reaction

How well did you know this?
1
Not at all
2
3
4
5
Perfectly
13
Q

What are the characteristics of amorphous periosteal reaction?

A

-bone is formed in a disorganized manner
-process may destroy spicules of bone as they are formed
-most aggressive; typically neoplastic

How well did you know this?
1
Not at all
2
3
4
5
Perfectly
14
Q

What is shown in these radiographs?

A

amorphous periosteal reaction

How well did you know this?
1
Not at all
2
3
4
5
Perfectly
15
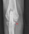
Q

What is Codman’s triangle?

A

-solid periosteal reaction seen at the edge of an aggressive reaction
-not pathognomonic for tumors

How well did you know this?
1
Not at all
2
3
4
5
Perfectly
16
Q

What is shown in this radiograph at the arrows?

A

Codman’s triangle

How well did you know this?
1
Not at all
2
3
4
5
Perfectly
17
Q

How is periosteal reaction classified based on activity?

A

inactive: smooth, well-defined margins
active: fuzzy, less-sharp margins

How well did you know this?
1
Not at all
2
3
4
5
Perfectly
18
Q

Which radiographs show an active vs. inactive pattern of periosteal reaction?

A

Left 2 radiographs: inactive; smooth, well defined margins
Right 2 radiographs: active; fuzzy, less sharp margins

How well did you know this?
1
Not at all
2
3
4
5
Perfectly
19
Q

How is a lesion classified when it has some active areas and some inactive areas of periosteal reaction?

A

active lesion

How well did you know this?
1
Not at all
2
3
4
5
Perfectly
20
Q

What is shown in this radiograph?

A

active periosteal reaction on the cranial aspect of elbow; inactive periosteal reaction on caudal aspect of humerus

How well did you know this?
1
Not at all
2
3
4
5
Perfectly
21
Q

How can duration of periosteal reaction be determined?

A

-opacity of the reaction
-immature reactions are more faint
-mature, chronic reactions are more opaque

How well did you know this?
1
Not at all
2
3
4
5
Perfectly
22
Q

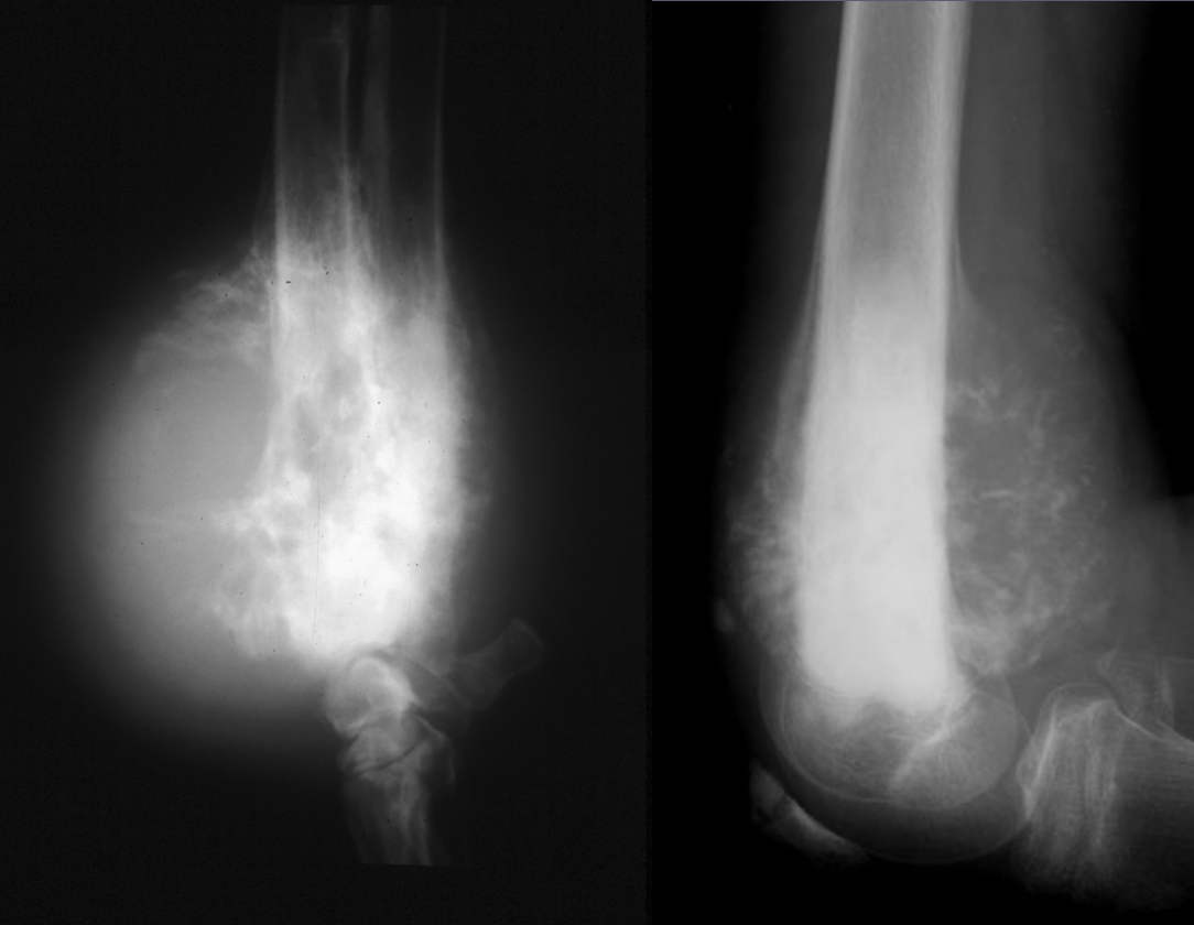
What is the duration of periosteal reaction in each radiograph?

A

Left: immature; more faint
Right: mature; more opaque

How well did you know this?
1
Not at all
2
3
4
5
Perfectly
23
Q

What are the characteristics of cortical disruption?

A

-aggressive processes cause cortical disruption
-benign processes allow cortex to remodel or conform to enlarging mass

How well did you know this?
1
Not at all
2
3
4
5
Perfectly
24
Q

How do these two radiographs evaluate in terms of cortical disruption?

A

Left: intact cortex; less aggressive
Right: disrupted cortex; more aggressive

How well did you know this?
1
Not at all
2
3
4
5
Perfectly
25
How does transition zone correlate with aggressiveness?
*long transition zone: -demarcation between lesion and normal bone is ill-defined -more aggressive lesions *short transition zone: -abrupt, well-defined demarcation between normal and abnormal bone -less aggressive lesions
26
How do these two radiographs evaluate in terms of transition zone?
Left: long transition zone; more aggressive Right: short transition zone; less aggressive
27
What are the characteristics of rate of change in lesions?
-aggressive lesions will change rapidly in radiographic appearance compared to non-aggressive lesions -aggressive lesions can show changes as quickly as 10-14 days after initial films -non-aggressive lesions will appear relatively the same after 10-14 days
28
How is a lesion classified if it has a mixture of aggressive and non-aggressive characteristics?
based on the most aggressive feature
29
What are the characteristics of osteochondrosis?
-failure of endochondral ossification -leads to increased thickness of articular cartilage -appears as a subchondral defect
30
What are the characteristics of osteochondritis dissecans?
-more advanced form of osteochondrosis in which a flap forms and separates from subchondral bone -only seen radiographically when a) mineralized or b) with arthrography
31
What is the occurrence of osteochondrosis?
-young, rapidly growing, large to giant breed dogs -signs at 6 to 9 months of age
32
Where does osteochondrosis typically occur?
-caudal aspect of humeral head (best prognosis) -medial aspect of humeral condyle -femoral condyles (usually lateral) -trochlear ridges of talus (usually medial)(worst prognosis)
33
What are the Roentgen signs of shoulder osteochondrosis?
-subchondral defect and sclerosis of caudal/caudolateral aspect of humeral head -secondary osteoarthrosis/DJD -osteophytes in the intertubercular groove -calcified flap of articular cartilage if OCD
34
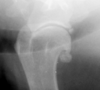
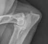
What does this radiograph show?
shoulder osteochondrosis
35
What does this radiograph show?
shoulder osteochondrosis with pieces that floated and remineralized
36
What does this radiograph show?
shoulder OCD (faint flap)
37
What are the Roentgen signs of elbow osteochondrosis?
-subchondral defect and sclerosis of the medial aspect of humeral condyle -secondary osteoarthrosis
38
Which radiographic view is most helpful in elbow osteochondrosis cases?
Cr25deg.L-CdMO
39
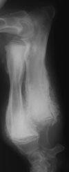
What do these radiographs show?
elbow osteochondrosis
40
What are the Roentgen signs of stifle osteochondrosis?
-subchondral defect and sclerosis of distal aspect of lateral femoral condyle -joint effusion and DJD
41
What do these radiographs show?
stifle osteochondrosis
42
What are the arrows depicting in the left radiograph vs right radiograph?
Left: OC lesion Right: extensor fossa (normal anatomy)
43
Which structure is often confused for stifle osteochondrosis?
extensor fossa of the long digital extensor muscle
44
What are the Roentgen signs of tarsal osteochondrosis?
-flattening of the medial trochlear ridge of the talus -widening of the joint space -intracapsular swelling and DJD -plantar aspect of tibiotarsal joint can be seen on lateral view
45
What is shown in these two radiographs?
Left: normal tarsus Right: tarsal osteochondrosis
46
Which conditions contribute to elbow dysplasia?
-fragmented medial coronoid process -ununited anconeal process -osteochondrosis of medial aspect of humeral condyle -ununited medial epicondyle of the humerus -asynchronous growth of radius and ulna
47
What is the occurrence of fragmented medial coronoid process?
-most common developmental abnormality of elbow -medium and large breed dogs -5 to 12 months of age -higher incidence in males
48
What are the Roentgen signs of fragmented medial coronoid process?
-medial coronoid is blunted/misshapen on lateral views -no fragment in most cases -sclerosis of trochlear notch of ulna -osteophytes on anconeal process -osteophytes on medial coronoid on craniocaudal view
49
What is shown in these radiographs?
fragmented medial coronoid process -bone formation on radial head -sclerosis on ulna -abnormal crest/mineral opacity
50
What is shown in this radiograph?
fragmented medial coronoid process -sclerosis on trochlear notch of ulna -osteophytes on anconeal process
51
What is shown on this radiograph?
fragmented medial coronoid process -osteophytes on medial coronoid at the arrow -OC lesion or kissing lesion at dashed line
52
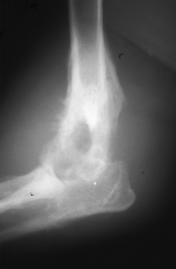
What is the occurrence of ununited anconeal process?
-forms from separate center of ossification and normally fuses to proximal ulna by 5 months of age -failure to fuse leads to UAP -GSD predisposed; also large breeds and bassett hounds
53
What are the Roentgen signs of UAP?
-irregular lucent line crossing the anconeal process with adjacent sclerosis -secondary DJD
54
What do these radiographs show?
ununited anconeal process
55
What is the occurrence of ununited medial humeral epicondyle?
-forms from separate center of ossification and normally fuses to distal humeral epiphysis by 6 months of age -can be seen with DJD -most common in labradors; also GSD and english setters
56
What are other possible causes for bone to appear like ununited medial humeral epicondyle (differentials)?
-dystrophic mineralization of flexor tendon origins -traumatic flexor tendon avulsion -medial humeral condylar OCD -aberrant ossification center
57
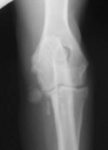
What is shown in this radiograph?
ununited medial humeral epicondyle
58
What is the presentation of panosteitis?
-typically 5 to 18 months of age; reported up to 7 years -large to giant breed dogs -self-limiting with unknown etiology -patients present with shifting leg lameness and pain on palpation of long bones with NO histologic evidence of inflammation
59
What are the early Roentgen signs of panosteitis?
-increased medullary opacity (cigarette smoke) -blurring of trabecular pattern -located in diaphysis around nutrient foramen
60
What is shown in this radiograph?
early panosteitis
61
What are the late Roentgen signs of panosteitis?
-medullary opacities become better delineated; patchy appearance of medullary cavity -adjacent opacities may coalesce -rough endosteal surface -solid, mild periostal reaction
62
What is shown in this radiograph?
late panosteitis
63
What is the presentation of metaphyseal osteopathy?
-2 to 7 months of age -large to giant breed dogs -unknown etiology -systemically ill: reluctant to move, painful walking, fever, swollen and painful distal radius/ulna and distal tibia
64
What are the early Roentgen signs of metaphyseal osteopathy?
-bilaterally symmetrical lesions involving metaphysis of long bones -thin, radiolucent band in the metaphysis just proximal to physis -sclerosis adjacent to radiolucent line in the metaphysis
65
What is shown in this radiograph?
early metaphyseal osteopathy
66
What are the late Roentgen signs of metaphyseal osteopathy?
*formation of a cuff of new periosteal bone adjacent to metaphysis -separated from cortex by thin, lucent zone -represents subperiosteal hemorrhage *periosteal reaction becomes more solid and confluent with cortex later -marked bony enlargement over metaphysis
67
What is shown in this radiograph?
late metaphyseal osteopathy
68
What is shown in this radiograph?
late metaphyseal osteopathy
69
What is the presentation of retained cartilaginous core?
-unknown etiology -form of OC of distal ulnar metaphysis/physis -often bilateral -large to giant breeds; esp. saint bernard -often incidental finding -clinical signs around 6 to 12 months
70
What are the Roentgen signs of retained cartilaginous core?
-conical, radiolucent zone extending from distal ulnar physis proximally into distal ulnar metaphysis -smoothly marginated or irregular lesion -asynchronous growth of radius and ulna/angular limb deformity -DJD of elbow and carpus
71
What is shown in these radiographs?
retained cartilaginous core
72
What is shown in these radiographs?
angular deformity of radius and ulna due to retained cartilaginous core