Lecture 2 Flashcards

(53 cards)

1
Q

What is a good general approach to orthopedic radiograph interpretation?

A

-check physeal closures in relation to patient age
-evaluate soft tissues
-evaluate periosteal margins and all cortices
-evaluate periarticular margins and subchondral bone
-evaluate joint capsular attachments
-evaluate joint spaces
-evaluate medullary cavities
-evaluate overall alignment and relationship of bones

How well did you know this?
1
Not at all
2
3
4
5
Perfectly
2
Q

What are the Roentgen signs that will apply to each orthopedic dz?

A

-number
-size
-shape
-opacity
-location/position
-margination/contour

How well did you know this?
1
Not at all
2
3
4
5
Perfectly
3
Q

What are the characteristics of soft tissue abnormalities?

A

-edema, hemorrhage, inflammation, or tumor infiltration causes loss of fascial plane visualization
-gas, swelling, or mineralizing causes change in opacity

How well did you know this?
1
Not at all
2
3
4
5
Perfectly
4
Q

Which is normal and which is abnormal?

A

-top is normal; can see the fascial plane
-bottom is abnormal; fascial plane is no longer visible

How well did you know this?
1
Not at all
2
3
4
5
Perfectly
5
Q

What can cause gas in soft tissues?

A

-open wound
-gas-producing organisms
-iatrogenic (needle puncture, post-op)

How well did you know this?
1
Not at all
2
3
4
5
Perfectly
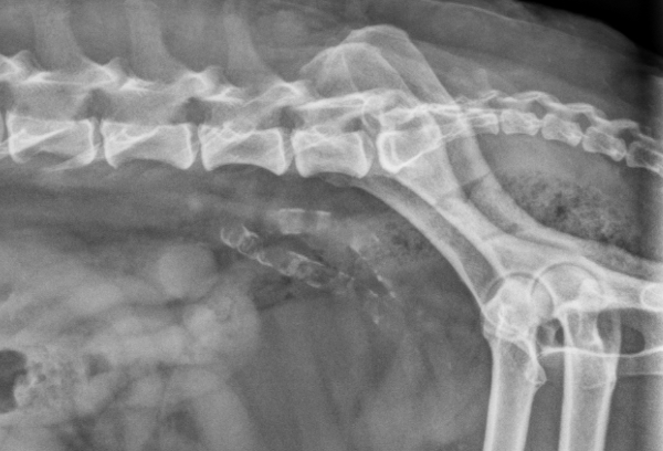
6
Q

What is abnormal in this radiograph?

A

areas of gas at the proximal aspect of the central bone and at the caudal margin of the central bone

How well did you know this?
1
Not at all
2
3
4
5
Perfectly
7
Q

What are the common causes of soft tissue mineralization?

A

-metastatic mineralization
-dystrophic mineralization
-idiopathic
-neoplastic

How well did you know this?
1
Not at all
2
3
4
5
Perfectly
8
Q

What is metastatic mineralization?

A

mineralization of normal tissue due to elevated serum calcium and/or phosphorus levels

How well did you know this?
1
Not at all
2
3
4
5
Perfectly
9
Q

Where is metastatic mineralization seen?

A

in the walls of large blood vessels

How well did you know this?
1
Not at all
2
3
4
5
Perfectly
10
Q

What is shown in this radiograph?

A

metastatic mineralization of the abdominal aorta and iliac arteries

How well did you know this?
1
Not at all
2
3
4
5
Perfectly
11
Q

What is shown in this radiograph?

A

metastatic mineralization of the iliac vessels

How well did you know this?
1
Not at all
2
3
4
5
Perfectly
12
Q

What is dystrophic mineralization?

A

mineralization of dead, degenerative, or devitalized tissues

How well did you know this?
1
Not at all
2
3
4
5
Perfectly
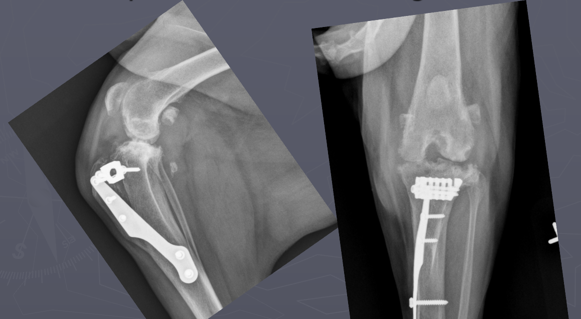
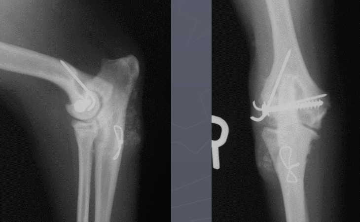
13
Q

What is shown in these radiographs?

A

dystrophic mineralization at the level of an elbow joint repair

How well did you know this?
1
Not at all
2
3
4
5
Perfectly
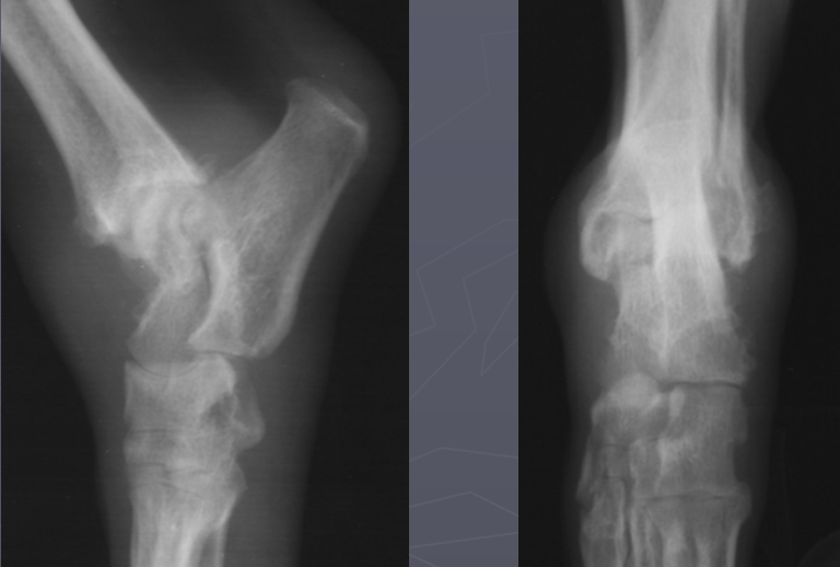
14
Q

What is shown in these radiographs?

A

dystrophic mineralization at the site of previous injection

How well did you know this?
1
Not at all
2
3
4
5
Perfectly
15
Q

What is idiopathic mineralization?

A

mineralization of soft tissues not due to dystrophic or metastatic etiologies

How well did you know this?
1
Not at all
2
3
4
5
Perfectly
16
Q

What is neoplastic mineralization?

A

mineral or bone production by a tumor; need histopath to confirm neoplastic vs dystrophic

How well did you know this?
1
Not at all
2
3
4
5
Perfectly
17
Q

What is shown in this radiograph?

A

extra-skeletal osteosarcoma producing bone

How well did you know this?
1
Not at all
2
3
4
5
Perfectly
18
Q

Which two types of swelling can be seen around or near a joint?

A

-intracapsular swelling
-extracapsular swelling

How well did you know this?
1
Not at all
2
3
4
5
Perfectly
19
Q

What are the characteristics of intracapsular soft tissue swelling?

A

-enlargement of soft tissues within confines of the joint capsule
-swelling conforms to joint margins
-can occur with effusion or soft tissue proliferation

How well did you know this?
1
Not at all
2
3
4
5
Perfectly
20
Q

What is shown in these radiographs?

A

intracapsular soft tissue swelling

How well did you know this?
1
Not at all
2
3
4
5
Perfectly
21
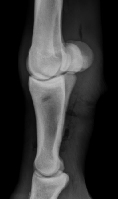
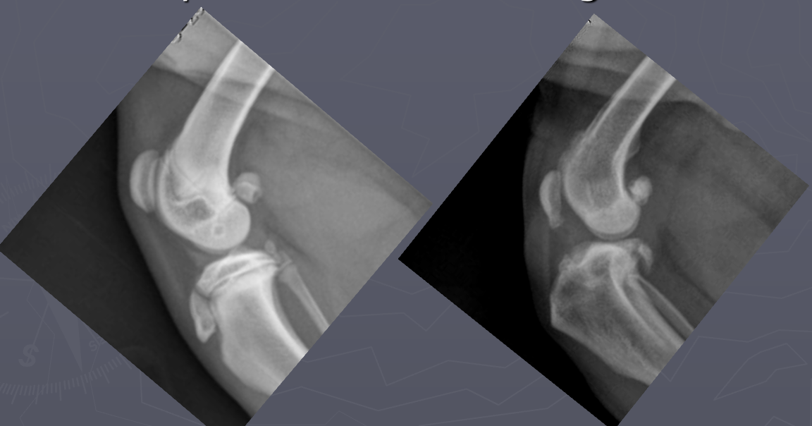
Q

Which radiograph is normal and which is abnormal? Why?

A

Left: normal; infrapatellar fat pad is of normal size and placement
Right: abnormal; infrapatellar fat pad is displaced and compressed due to intracapsular swelling

How well did you know this?
1
Not at all
2
3
4
5
Perfectly
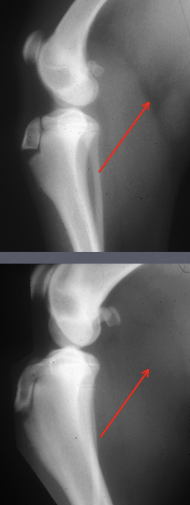
22
Q

Which radiograph is normal and which is abnormal? Why?

A

Left: normal; deep fat caudal to the joint is in normal position
Right: abnormal; displacement of fascial planes caudal to joint due to intracapsular swelling; joint pouch buldges

23
Q

What is shown in these radiographs?

A

severe intracapsular swelling

24
Q

What are the characteristics of extracapsular soft tissue swelling?

A

-enlargement of soft tissues outside the joint
-may be diffuse or focal
-can occur with edema, hemorrhage, or inflammation
-can occur with ligament or tendon pathology
-can occur with neoplasia

25
Which radiograph is normal and which is abnormal? Why?
Left: normal; thin patellar ligament, normal infrapatellar fat pad Right: abnormal; patella ligament desmopathy; ligament is enlarged and fat pat is compressed
26
What are the potential responses of bone to injury/disease?
-new bone formation -lysis or reabsorption
27
What are the different characteristics that should be assessed regarding osseous lesions?
-aggressive vs. non-aggressive -active vs. inactive -duration
28
Why is it important to consider that radiographic changes lag behind clinical abnormalities?
-lytic changes take 5 to 7 days to be seen radiographically -productive changes take 10 to 14 days to be seen radiographically -extensive bone loss (30 to 60%) is required before detection on survey radiographs is possible
29
What are the steps to evaluating osseous lesions?
-generalized vs focal -location and number of lesions -pattern of lysis -pattern of new bone production/periosteal reaction -cortical disruption -transition zone to normal bone -change in lesion appearance over time
30
What is osteosclerosis?
increased bone opacity
31
What is osteopenia?
generalized decreased bone opacity
32
What is osteoporosis?
-loss of bone mass -quantity of bone is decreased -existent bone is of normal composition
33
What is osteomalacia?
-loss of mineralization of bone matrix -quality of bone is decreased -increased percentage of non-calcified osteoid and/or insufficient mineralization of osteoid matrix
34
What are the causes of generalized osteosclerosis?
-osteopetrosis -myelofibrosis -FeLV -dietary imbalances -idiopathic
35
What are the causes of generalized osteopenia?
-congenital disease -metabolic disease -nutritional disease -disuse
36
What is shown in this radiograph?
generalized osteosclerosis
37
What is shown in this radiograph?
generalized osteopenia
38
What are the Roentgen signs for generalized osteopenia?
-decreased bone opacity -cortical thinning -coarse trabeculation due to endosteal resorption -relative increase in opacity of cortical bone and vertebral endplates -intracortical bone loss/double cortical line -loss of lamina dura around teeth
39
What is shown in these radiographs?
progression of generalized osteopenia after disuse
40
Which radiograph is normal vs. abnormal? Why?
Top: abnormal; generalized osteopenia; relative increase in opacity of vertebral endplates Bottom: normal
41
What is shown at the arrows in this radiograph?
double cortical line associated with generalized osteopenia
42
What is lysis?
-focal/multifocal bone loss -typically due to trauma, infection, or tumor
43
Which criteria are used to determine aggressive vs non-aggressive?
-location and number of lesions -pattern of lysis -pattern of new bone production -cortical disruption -transition zone to normal bone -change in lesion appearance over time
44
How does axial vs appendicular skeleton location help predict type of lesion?
-primary bone tumors are most often appendicular -metastatic bone tumors often involve axial skeleton
45
What are the differences between monostotic and polyostotic lesions?
*monostotic: -affect one bone -often primary bone tumors *polyostotic: -affect multiple bones -metastatic tumors -fungal osteomyelitis -juvenile/hematogenous osteomyelitis
46
How does the location within the bone affect likely diagnosis?
-primary bone tumors are typically metaphyseal -metastatic tumors can be diphyseal or metaphyseal -fungal osteomyelitis is generally metaphyseal -juvenile bacterial osteomyelitis can be epiphyseal or metaphyseal
47
What are the three patterns of lysis?
-geographic -moth-eaten -permeative
48
What are the characteristics of geographic lysis?
-large, focal area -may appear expansile -well-defined; short transition to normal bone -least aggressive form of lysis
49
What is shown in these radiographs?
geographic lysis
50
What are the characteristics of moth-eaten lysis?
-multiple smaller areas of lysis -may become confluent to form a larger area -indistinct margins/long transition to normal bone -usually aggressive
51
What is shown in these radiographs?
moth-eaten lysis
52
What are the characteristics of permeative lysis?
-numerous small/pinpoint areas of lysis -can be in the medulla or cortex -margins are indistinct/long transition to normal bone -most aggressive pattern of lysis
53
What is shown in these radiographs?
permeative lysis