Lecture 4 Flashcards

(50 cards)

1
Q

What are the characteristics of a normal hip joint?

A

-at least 50% of femoral head is covered by dorsal acetabular rim
-femoral neck narrower than head
-femoral neck has smooth margin
-parallel margin between acetabulum and femoral head

How well did you know this?
1
Not at all
2
3
4
5
Perfectly
2
Q

What are the characteristics of hip dysplasia?

A

-abnormal hip laxity which results in DJD
-mainly in large breed dogs
-bilateral laxity; DJD may be unilateral or bilateral
-inherited condition

How well did you know this?
1
Not at all
2
3
4
5
Perfectly
3
Q

What are the characteristics of a standard VD view for hip dysplasia assessment?

A

-pull legs straight back and rotate inward
-open collimation to include entire pelvis and both femurs through to the stifles

How well did you know this?
1
Not at all
2
3
4
5
Perfectly
4
Q

How does rotation affect the apparent degree of acetabular coverage?

A

Rotated Right:
-decreased right acetabular coverage and increased left acetabular coverage
-right acetabulum looks small, left acetabulum looks large

Rotated Left:
-decreased left acetabular coverage and increased right acetabular coverage
-left acetabulum looks small, right acetabulum looks large

How well did you know this?
1
Not at all
2
3
4
5
Perfectly
5
Q

What are the Roentgen signs of hip dysplasia?

A

-shallow, flattened acetabulum
-inadequate femoral head coverage: wedging, subluxation, luxation
-periarticular osteophyte production along cranial and dorsal acetabular rims and around femoral head and neck
-Morgan’s line

How well did you know this?
1
Not at all
2
3
4
5
Perfectly
6
Q

What are the characteristics of Morgan’s line?

A

-aka caudal curvilinear osteophyte
-sign of joint laxity
-osteophyte formation along caudal femoral neck and enthesophytes at attachment of joint capsule

How well did you know this?
1
Not at all
2
3
4
5
Perfectly
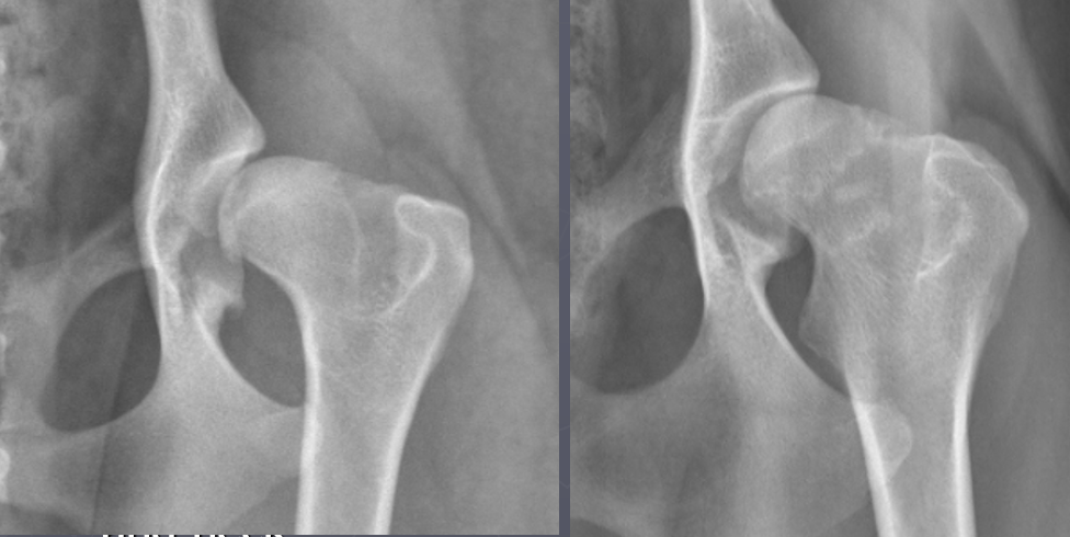
7
Q

What is shown in these radiographs?

A

hip dysplasia
-minimal coverage of femoral head
-flattened, sclerotic femoral head
-no femoral neck present
-osteophyte formation and sclerosis

How well did you know this?
1
Not at all
2
3
4
5
Perfectly
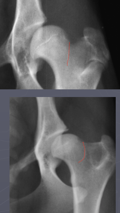
8
Q

What is outlined in these radiographs?

A

Morgan’s line

How well did you know this?
1
Not at all
2
3
4
5
Perfectly
9
Q

What are the characteristics of OFA hip evaluation?

A

-based on extended leg VD view only
-dog must be > 24 months for final grading
-does not require chemical restraint

How well did you know this?
1
Not at all
2
3
4
5
Perfectly
10
Q

What are the grades for OFA hip evaluation?

A

-excellent
-good
-fair
-borderline
-mild dysplasia
-moderate dysplasia
-severe dysplasia

How well did you know this?
1
Not at all
2
3
4
5
Perfectly
11
Q

What are the characteristics of PennHIP?

A

-gives a quantitative evaluation of joint laxity
-compares to breed medians
-does not tell you if there is hip dysplasia unless dog has DJD
-examiners must be certified
-requires extended leg VD, compression VD, and distraction VD with distraction apparatus

How well did you know this?
1
Not at all
2
3
4
5
Perfectly
12
Q

What is shown in this image?

A

extended leg VD, compression VD, and distraction VD required for PennHIP evaluation

How well did you know this?
1
Not at all
2
3
4
5
Perfectly
13
Q

What is the distraction index for hip dysplasia?

A

-0 indicates tightest hip, 1 indicates completely luxated hip
-measures displacement of femoral head on distraction view
-0.3 is the normal DI
-the higher the DI, the higher the probability of developing DJD
-DI standards will vary by breed

How well did you know this?
1
Not at all
2
3
4
5
Perfectly
14
Q

What are the characteristics of aseptic necrosis of femoral head (Legg-Calve-Perthes dz)?

A

-seen in immature toy and small breed dogs
-bilateral less than 15% of the time
-compromised blood supply to proximal femoral epiphysis leads to necrosis of subchondral bone

How well did you know this?
1
Not at all
2
3
4
5
Perfectly
15
Q

What is the normal blood supply to the femoral head?

A

-synovial membrane (sole supply in puppies)
-arteries in round ligament of head of femur
-nutrient vessels through metaphysis

How well did you know this?
1
Not at all
2
3
4
5
Perfectly
16
Q

What are the Roentgen signs of aseptic necrosis of femoral head?

A

-increased width of joint space; articular cartilage thickens
-irregular opacity of femoral head
-patchy regions of osteolysis in femoral head
-deformity and flattening of femoral head
-DJD due to abnormal articulation and osteophyte formation

How well did you know this?
1
Not at all
2
3
4
5
Perfectly
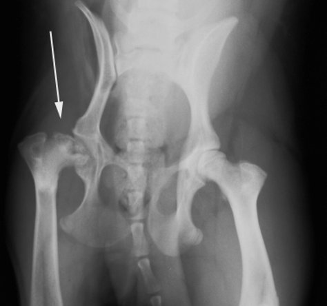
17
Q

What is shown in this radiograph?

A

-normal right hip
-aseptic necrosis of femoral head in left hip

How well did you know this?
1
Not at all
2
3
4
5
Perfectly
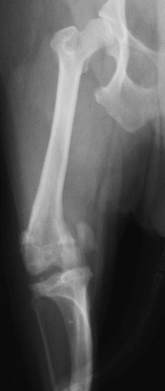
18
Q

What is shown in this radiograph?

A

deformity and flattening of right femoral head due to aseptic necrosis of femoral head

How well did you know this?
1
Not at all
2
3
4
5
Perfectly
19
Q

What is shown in this radiograph?

A

osteophyte formation on acetabular rim due to aseptic necrosis of femoral head

How well did you know this?
1
Not at all
2
3
4
5
Perfectly
20
Q

What are the characteristics of patellar luxation?

A

typically young, small breed dogs but also in large breeds
-medial luxation in small breeds
-lateral luxations in large breeds
-typically congenital/developmental but can be traumatic
-associated with malalignment of quadriceps due to rotation and/or deformity of femur and/or tibia

How well did you know this?
1
Not at all
2
3
4
5
Perfectly
21
Q

What are the Roentgen signs of medial patellar loxation?

A

-patella medial to trochlear groove
-lateral bowing of distal femur
-medial bowing of proximal tibia
-medially located tibial tuberosity and quadriceps
-shallow trochlear groove
-secondary DJD

22
Q

What is shown in this radiograph?

A

lateral bowing of distal femur and medial bowing of proximal tibia consistent with MPL

23
Q

What is shown in this radiograph?

A

MPL; patella overlapping with femur rather than sitting in trochlear groove

24
Q

What are the characteristics of hypertrophic osteopathy?

A

-middle aged to older dogs
-secondary to concurrent thoracic or abdominal dz; often pulmonary neoplasia
-gradual or occasional acute onset of lameness
-animal reluctant to move
-symmetric, non-edematous, firm swelling of the distal limbs

25
What are the Roentgen signs of hypertrophic osteopathy?
-solid, irregularly marginated periosteal reaction (palisading/columnar) -never confined to a single location; bilateral or generalized -begins on abaxial surface of 2nd and 5th metacarpal/metatarsal bones and progresses proximally -spares small bones of carpus and tarsus -periosteal reaction located at diaphysis of tubular bones
26
What is shown in this radiograph?
hypertrophic osteopathy
27
What is shown in this radiograph?
hypertrophic osteopathy
28
What are the characteristics of fungal osteomyelitis?
-young to middle-aged dogs -any breed; more common in large working or sporting breeds -usually hematogenous in origin -usually systemically ill
29
What are the Roentgen signs of fungal osteomyelitis?
-combination of lysis and production -active and aggressive or semi-aggressive changes -cortical lysis possible -sclerosis in adjacent medullary region -occurs in metaphysis of long bones -joint involvement with extensive bone destruction -often polyostotic but can be monostotic
30
What is shown in these radiographs?
fungal osteomyelities
31
What are the characteristics of bacterial osteomyelitis?
-often secondary to direct inoculation or an extension from soft tissue injury -can be hematogenous in young or immunocompromised animals
32
What are the Roentgen signs of bacterial osteomyelitis?
-severe soft tissue swelling -periosteal reaction extending along shaft of diaphysis; lamellar, columnar, or solid depending on age
33
Where is bacterial osteomyelitis located based on origin?
*Non-Hematogenous: -based on affected area -may affect multiple bones in same limb -lucencies around surgical implants -draining tracts *Hematogenous: -metaphyseal due to extensive capillary network -often polyostotic
34
What are the differential diagnoses for bacterial osteomyelitis?
-healing fracture -primary or metastatic bone tumor -fungal osteomyelitis
35
What is shown in these radiographs?
bacterial osteomyelitis
36
What are the characteristics of primary bone tumors?
-more common in large and giant breeds -mean age of 7 years; bimodal distribution with another peak at young ages -slightly more common in male dogs -causes lung metastases most commonly -can metastasize to other bones
37
What are the Roentgen signs of primary bone tumors?
-can be osteoblastic, osteolytic, or both -aggressive -monostotic -metaphyseal region of long bones -do not usually cross the joint
38
Which bone tumors are most commonly seen?
-osteosarcoma (>85%) -chondrosarcoma -fibrosarcoma -hemangiosarcoma
39
What is shown in these radiographs?
primary bone tumors
40
What are the characteristics of radiographs for fracture evaluation?
-need two orthogonal views (90 deg. to one another) -want to include joint proximal and distal to fracture -consider special views to determine full extent of fracture
41
How can fractures be recognized on radiographs?
-most present as abnormal radiolucent lines -compression fractures may lead to alterations in size or opacity
42
What are the characteristics of non-displaced fracture recognition?
-may only be seen days later when resorption occurs at fracture margins -others are not seen until bony callus starts to form -nuclear medicine/bone scan may pick up what radiographs cannot
43
What are the fracture types?
-open vs closed -incomplete vs complete -simple vs complex/comminuted -transverse, oblique, or spiral -extra-articular, articular, compression, avulsion -displaced vs non-displaced
44
What are the characteristics of primary bone healing?
-occurs with rigid internal fixation -results in bony union through direct growth of haversian system across fracture -minimal to no bony callus -cannot occur across a fracture gap -usually occurs with compression plate reduction
45
What are the radiographic signs of primary bone union?
-lack of callus -gradual loss in opacity of fracture ends -progressive disappearance of fracture line
46
What is shown in these radiographs?
progression of primary bone union
47
What are the characteristics of secondary bone healing?
-lack of rigid internal fixation and excellent anatomic reduction -reaction stage consists of hematoma formation, inflammation, and granulation tissue -repair consists of cartilaginous callus formation and lamellar bone deposition -bone eventually remodels -most common type of fracture healing in small animals
48
What is shown in these radiographs?
progression of secondary bone healing
49
What factors can affect bone healing?
-fracture location -vascular integrity -degree of immobilization -fracture type -degree of anatomic reduction -degree of soft tissue trauma -degree of bone loss -type of bone involved -presence of infection -local malignancy -metabolic factors
50
What should be evaluated on post-op fracture radiographs?
-alignment of fracture fragments -apposition of fracture fragments -apparatus used for reduction and stability -activity/callus formation