Lecture 27 Flashcards

(33 cards)

1
Q

What can cause gastric displacement?

A

-abnormalities in adjacent organs
-hiatal hernia
-acute dilatation +/- volvulus

How well did you know this?
1
Not at all
2
3
4
5
Perfectly
2
Q

What is a hiatal hernia?

A

-varying degrees of herniation of stomach into thorax
-can be sliding or fixed

How well did you know this?
1
Not at all
2
3
4
5
Perfectly
3
Q

What are the imaging findings in a hiatal hernia?

A

*caudal mediastinal structure in area of esophagus
-at margin of diaphragm
-soft tissue opacity +/- gas

*may appear continuous with the stomach
*may disappear if sliding

How well did you know this?
1
Not at all
2
3
4
5
Perfectly
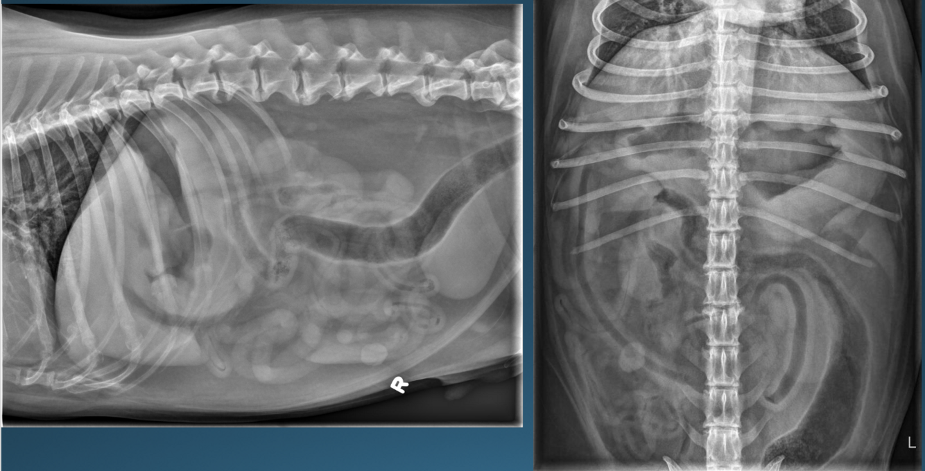
4
Q

What is shown in this image?

A

hiatal hernia (feline)

How well did you know this?
1
Not at all
2
3
4
5
Perfectly
5
Q

What are the imaging findings in acute gastric dilation?

A

-stomach is primarily gas distended
-stomach remains in normal position
-must recognize location of pylorus via right and left lateral views to evaluate

How well did you know this?
1
Not at all
2
3
4
5
Perfectly
6
Q

What is shown in these images?

A

canine acute gastric dilation
-pylorus is still in the normal place; right and more ventral

How well did you know this?
1
Not at all
2
3
4
5
Perfectly
7
Q

What are the imaging findings in acute gastric dilatation and volvulus?

A

*pylorus moves dorsally, cranially, and to the left
-greater curvature moves to right body wall
-may be accompanied by the spleen

*compartmentalization
-soft tissue band projected across lumen of the stomach; represents folding of distended organ
-can occur with GD or GDV

*small intestinal and esophageal dilation

How well did you know this?
1
Not at all
2
3
4
5
Perfectly
8
Q

What is shown in these images?

A

gastric dilatation and volvulus
-“popeye arm” or “smurf hat”
-pylorus has moved dorsally and cranially; not seen well on VD view
-compartmentalization band seen
-pylorus is gas-filled on right lateral view

How well did you know this?
1
Not at all
2
3
4
5
Perfectly
9
Q

What are the imaging findings in the case of gastric foreign body?

A

*opacity:
-soft tissue opaque foreign body vs other opacities
-can be difficult to differentiate from other ingesta if not fasted

*shape/texture:
-margins or pattern may suggest type of FB

*positional:
-can use existing gas in stomach as “contrast” to see if potential FB moves

*contrast study findings:
-filling defects
-residue
-mobile FB

How well did you know this?
1
Not at all
2
3
4
5
Perfectly
10
Q

What is shown in these images?

A

canine gastric foreign body
-rock
-within fundus; can move and block pylorus

How well did you know this?
1
Not at all
2
3
4
5
Perfectly
11
Q

What is shown in these images?

A

canine gastric foreign body
-rubber duck

How well did you know this?
1
Not at all
2
3
4
5
Perfectly
12
Q

What are the possible etiologies of pyloric (gastric) outflow obstruction?

A

*acute:
-foreign body
-GDV

*chronic:
-pylorospasm (functional)
-narrowing

How well did you know this?
1
Not at all
2
3
4
5
Perfectly
13
Q

What can cause narrowing of the pylorus?

A

-muscular hypertrophy
-inflammation, fibrosis, or scarring
-neoplasia

How well did you know this?
1
Not at all
2
3
4
5
Perfectly
14
Q

What are the imaging findings in pyloric outflow obstruction?

A

-gastric distention with fluid and/or gas
-possible radiopaque foreign body or mass
-gravel sign possible if chronic

How well did you know this?
1
Not at all
2
3
4
5
Perfectly
15
Q

What are the ultrasound findings in pyloric outflow obstruction?

A

-possible mural thickening
-possible mass

How well did you know this?
1
Not at all
2
3
4
5
Perfectly
16
Q

What are the contrast study findings in pyloric outflow obstruction?

A

-delayed gastric emptying
-possible narrowing or filling defect in pyloric outflow tract

17
Q

What is shown in these images?

A

canine acute gastric outflow obstruction:
-stomach slightly distended with fluid and gas
-hard to see stomach margins

18
Q

What is shown in this image?

A

canine acute gastric outflow obstruction:
-can see object/mass within the pylorus

19
Q

What is shown in these images?

A

canine chronic gastric outflow obstruction:
-stomach distended with gas and fluid
-nothing sitting in/blocking pylorus
-gravel sign

20
Q

What is shown in the image on the left?

A

canine chronic pyloric obstruction due to hypertrophic stenosis

21
Q

What are the imaging findings in the event of gastric neoplasia?

A

-mass extending into the lumen
-wall thickening
-defects seen on multiple radiograph views

22
Q

What are the ultrasound findings in gastric neoplasia?

A

-mass
-altered wall layering or loss of wall layering

23
Q

What are the contrast study findings in gastric neoplasia?

A

-filling defect
-mass
-focal wall thickening

24
Q

What is shown in these images?

A

canine gastric lymphoma
-infiltrative lesion throughout entire stomach and small intestinal wall

25
What is shown in these images?
canine gastric lymphoma -very thick gastric wall with very little in the lumen -dark appearance, but not anechoic like gas
26
What is shown in these images?
canine gastric lymphoma -large mass within stomach
27
What is shown in these images?
canine gastric leiomyoma -contrast not filling in region of the stomach
28
What are the possible etiologies of gastrointestinal perforation?
-gastric neoplasia -NSAIDs -foreign body
29
What are the imaging findings of GI perforation?
-peritoneal free gas -loss of detail/peritonitis -ulcer often present; may not see on rads
30
What are the ultrasound findings of GI perforation?
*may see an ulcer -focal wall thickening with gas extending into wall -not seeing an ulcer does not rule it out *free gas that may or may not be evident on rads *surrounding free fluid or hyperechoic fat
31
What are the potential pitfalls to using ultrasound to diagnosed GI perforation/ulcers?
-gas between rugal folds in stomach -normal peyer's patches in dudoenum
32
What is shown in this image?
perforated gastric ulcer -free gas (especially over liver) -fluid streaking
33
What is shown in this image?
gastric ulcer that is not yet perforated -can see small bubbles of gas going into the gastric wall