Lecture 15 Flashcards

(49 cards)

1
Q

What are the possible primary bone neoplasms seen in the skull?

A

*malignant:
-osteosarcoma
-multi-lobular tumor of bone

*benign:
-osteoma

How well did you know this?
1
Not at all
2
3
4
5
Perfectly
2
Q

What are the characteristics of osteosarcoma?

A

-most common primary bone tumor
-can be primarily destructive or primarily proliferative
-often accompanied by periosteal reaction
-large degree of soft tissue swelling/mass

How well did you know this?
1
Not at all
2
3
4
5
Perfectly
3
Q

What is shown in this image?

A

osteosarcoma:
-ill-defined periosteal reaction
-soft tissue swelling

How well did you know this?
1
Not at all
2
3
4
5
Perfectly
4
Q

what are the characteristics of multi-lobular tumor of bone?

A

-characteristic stippled mineral appearance
-soft tissue mass containing stippled mineralization
-occipital is most common location
-locally invasive; can cause brain compression

How well did you know this?
1
Not at all
2
3
4
5
Perfectly
5
Q

What is shown in this image?

A

multi-lobular tumor of bone:
-stippled expansion

How well did you know this?
1
Not at all
2
3
4
5
Perfectly
6
Q

What are the charactersitics of osteoma?

A

-opaque, circumscribed, solid mass
-smooth bony proliferation
-little or no adjacent reaction

How well did you know this?
1
Not at all
2
3
4
5
Perfectly
7
Q

What is shown in this image?

A

osteoma:
-well circumscribed
-smooth
-no reaction

How well did you know this?
1
Not at all
2
3
4
5
Perfectly
8
Q

What are the characteristics of soft tissue neoplasia in the skull?

A

-malignant soft tissue tumors can invade adjacent bone
-soft tissue mass
-causes variable amount of destruction
-commonly squamous cell carcinoma, esp. in cats

How well did you know this?
1
Not at all
2
3
4
5
Perfectly
9
Q

What is shown in these images?

A

soft tissue neoplasia invading the skull:
-loss of left hemimandible seen on VD
-large associated soft tissue mass seen on oblique view

How well did you know this?
1
Not at all
2
3
4
5
Perfectly
10
Q

What is shown in this image?

A

soft tissue neoplasia invading the skull:
-loss of left hemimandible
-large soft tissue mass in area of left hemimandible

How well did you know this?
1
Not at all
2
3
4
5
Perfectly
11
Q

What are the characteristics of oral neoplasia?

A

-originate in oral cavity
-can be malignant or benign
-even benign neoplasms can destroy adjacent bone via pressure necrosis or local invasion
-malignant examples include melanoma or squamous cell carcinoma

How well did you know this?
1
Not at all
2
3
4
5
Perfectly
12
Q

What is shown in these images?

A

oral neoplasia in the left maxilla:
-missing I3 tooth
-displacement of I1 and I2 teeth
-large area of lysis surrounding left upper canine and extending rostrally

How well did you know this?
1
Not at all
2
3
4
5
Perfectly
13
Q

What are the characteristics of ameloblastoma?

A

-seen in young animals
-originates from dental laminar epithelium
-expansile, lace-like, multi-lobulated lesion
-resorption of adjacent tooth roots

How well did you know this?
1
Not at all
2
3
4
5
Perfectly
14
Q

What is shown in this image?

A

ameloblastoma:
-expansile
-lucent
-lobulated/lace-like
-tooth roots within/being resorbed

How well did you know this?
1
Not at all
2
3
4
5
Perfectly
15
Q

What is shown in these images?

A

ameloblastoma:
-lytic, expansile lesion
-lace-like appearance
-displacement of canine tooth

How well did you know this?
1
Not at all
2
3
4
5
Perfectly
16
Q

What are the characteristics of odontoma?

A

-tumor-like masses near or on the crown of a tooth
-contain multiple elements of teeth within the mass

How well did you know this?
1
Not at all
2
3
4
5
Perfectly
17
Q

What is shown in this image?

A

odontoma:
-round, mineral-opaque foci

How well did you know this?
1
Not at all
2
3
4
5
Perfectly
18
Q

What are the characteristics of hydrocephalus?

A

-dome-headedness in miniature and brachycephalic breeds
-can be congenital or acquired
-abnormal accumulation of CSF
-most severe radiographic signs seen when hydrocephalus develops before complete ossification of calvarium

How well did you know this?
1
Not at all
2
3
4
5
Perfectly
19
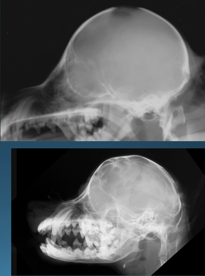
Q

What is shown in these images?

A

Top Left and Right:
-hydrocephalus with doming of cranial vault

Bottom Left:
-normal

How well did you know this?
1
Not at all
2
3
4
5
Perfectly
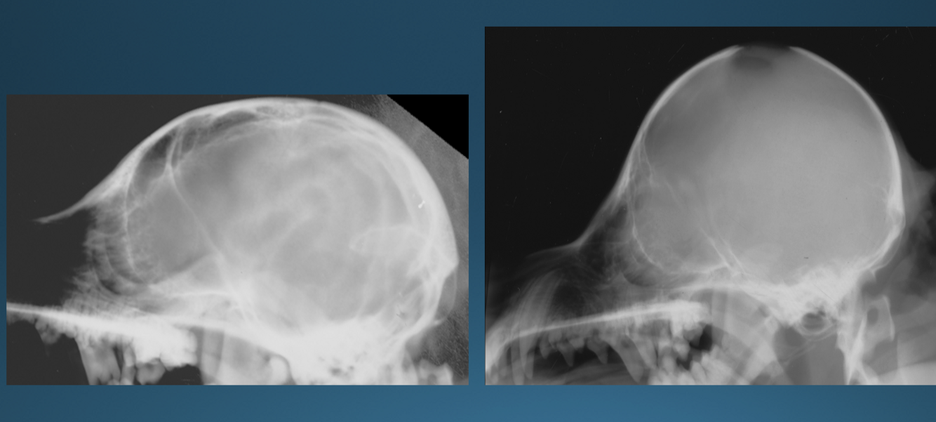
20
Q

What is shown in these images?

A

thinning of calvarium due to hydrocephalus

21
Q

What is shown in these images?

A

Left:
-decreased prominence of internal convolution marks on calvarium due to hydrocephalus

Right:
-normal

22
Q

What is shown in these images?

A

Top:
-open fontanelle due to hydrocephalus

Bottom:
-open cranial suture due to hydrocephalus

23
Q

What is shown in these images?

A

Left:
-normal

Right:
-caudal displacement of tentorium osseum cerebelli due to hydrocephalus

24
Q

What are the characteristics of craniomandibular osteopathy?

A

-seen in westies and other terriers
-unknown cause
-onset at 3 to 10 months
-difficulty and pain with opening mouth and chewing food
-bilateral swelling along the jaw

25
What are the radiographic/physical findings in craniomandibular osteopathy?
-periosteal new bone proliferation at mandible, osseous bullae, and petrous temporal bone -solid, non-aggressive, chronic appearance to new bone -thickening of calvarium -atrophy of temporal and masseter muscles
26
What is shown in this image?
craniomandibular osteopathy
27
What is shown in this image?
craniomandibular osteopathy
28
What is shown in these images?
craniomandibular osteopathy -bone proliferation caudal and lateral to TMJs, but not ON the TMJ joints themselves
29
What are the types of hyperparathyroidism and their characteristics?
*primary -rare -PTH-secreting parathyroid adenoma *secondary nutritional -young animals -diet high in phosphorus or low in calcium *secondary renal -known as "rubber jaw,", renal osteodystrophy, or renal fibrous osteodystrophy -older animals with chronic renal dz -changes in skull predominate
30
What is the early radiographic sign of secondary renal hyperparathyroidism?
loss of lamina dura around the teeth
31
What are the later radiographic signs of secondary renal hyperparathyroidism?
-osteopenia of skull with cortical thinning -impression of radiopaque teeth "floating" in soft tissue -mandible very thin or absent -bone demineralization -vertebral osteopenia with prominent endplates
32
What is shown in these images?
Top: -normal Bottom: -secondary renal hyperparathyroidism -illusion of teeth "floating" in soft tissue
33
What is shown in these images?
secondary renal hyperparathyroidism: -teeth floating in space
34
What is shown in this image?
secondary renal hyperparathyroidism: -extremely radiolucent vertebral bodies with prominent endplates
35
Identify the normal nasal passage structures.
Green Arrows: palatine fissure Top Red Arrow: maxillary turbinates Bottom Red Arrow: ethmoid turbinates Blue Arrow: vomer bone
36
What is the distinction between non-destructive and destructive processes affecting the nasal passages?
*non-destructive rhinitis: -no bony destruction -affected area is more opaque *destructive rhinitis and nasal neoplasia: -osteolysis -affected area can be more or less opaque
37
What are the potential causes of non-destructive rhinitis?
-allergic -viral -acute foreign bodies -bacterial -granulomatous -secondary to pneumonia, esophagitis, bronchitis -parasitic -Kartegener's syndrome
38
What are the potential causes of destructive rhinitis?
-Aspergillus fumigatus -Cryptococcus -chronic foreign bodies -Actinomyces spp. -chronic inflammation -Penicillum spp.
39
What are the radiographic signs of non-destructive rhinitis?
-may be radiographically normal if acute -increased opacity of affected nasal passage(s); often bilateral -blurring of bony details of turbinates -intact vomer bone with no deviation of nasal septum -NO destruction of maxilla or hard palate
40
What is shown in these images?
Left: -normal Right: -non-destructive rhinitis -bilateral disease -increased opacity
41
What are the radiographic signs of destructive rhinitis?
-areas of increased and decreased opacity within nasal passages -loss of normal trabecular detail of bony turbinates -punctuate lytic lesions -destruction of nasal septum -extension into frontal sinuses
42
What is shown in these images?
destructive rhinitis: -unilateral disease -soft tissue opacity in right frontal sinus -soft tissue opacity with lysis of turbinates in right nasal passage
43
What is shown in these images?
destructive rhinitis: -unilateral disease -soft tissue opacity with bony lysis on left side
44
What is shown in these images?
destructive rhinitis: -bilateral lysis -soft tissue nodular opacities; fungal granulomas
45
What is shown in this image?
destructive rhinitis: -increased opacity of right frontal sinus -bony proliferation of affected frontal bone with increased thickness (hyperostosis)
46
What are the characteristics of nasal neoplasia?
-typically soft tissue tumors with secondary bony invasion -mostly carcinomas; adenocarcinoma most common -squamous cell carcinoma and lymphoma seen in cats
47
What are the radiographic signs of nasal neoplasia?
-soft tissue opacity in nasal passage; starts unilateral -frequent erosion/displacement of nasal septum -possible crossing of nasal septum by the mass -bony turbinate destruction -frequent invasion of adjacent bones with periosteal reaction -erosion/invasion of frontal sinuses -intracranial invasion -facial deformity
48
What is shown in these images?
nasal neoplasia: -left-sided -erosion of nasal septum -multifocal lysis -soft tissue nodule
49
What is shown in these images?
nasal neoplasia: -soft tissue mass causing facial deformity -marked maxillary osteolysis -complete loss of turbinates; left more than right