Lecture 5 Flashcards

(49 cards)

1
Q

What are the characteristics of Salter-Harris fractures?

A

-occur in skeletally immature animals less than one year
-usually caused by trauma
-can occur with severe metaphyseal osteopathy or retained cartilaginous core
-types 1 and 2 have a good prognosis
-types 3 and 4 have a poorer prognosis
-type 5 has a guarded prognosis; worst type

How well did you know this?
1
Not at all
2
3
4
5
Perfectly
2
Q

What are the Roentgen signs of growth plate injuries?

A

-can be unilateral or bilateral
-affected physis may appear normal initially but then close prematurely
-causes skeletal deformities
-distal ulnar physis commonly affected due to shape

How well did you know this?
1
Not at all
2
3
4
5
Perfectly
3
Q

What are the Roentgen signs of premature distal ulnar physis closure?

A

-affected ulna is measurably shorter than other side (unless bilateral)
-styloid process of ulna may be separated from carpus
-cranial and/or medial bowing of radius
-cortical thickening on concave side of radius
-distal radius subluxated craniomedially from radial carpal bone
-manus deviates laterally; carpus valgus
-humero-ulnar joint spaces widens
-radial head luxates laterally (if severe)
-DJD of elbow
-secondary UAP

How well did you know this?
1
Not at all
2
3
4
5
Perfectly
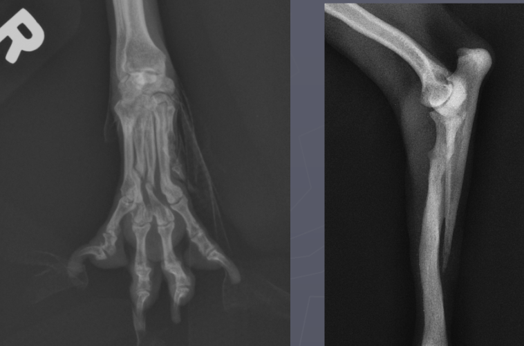
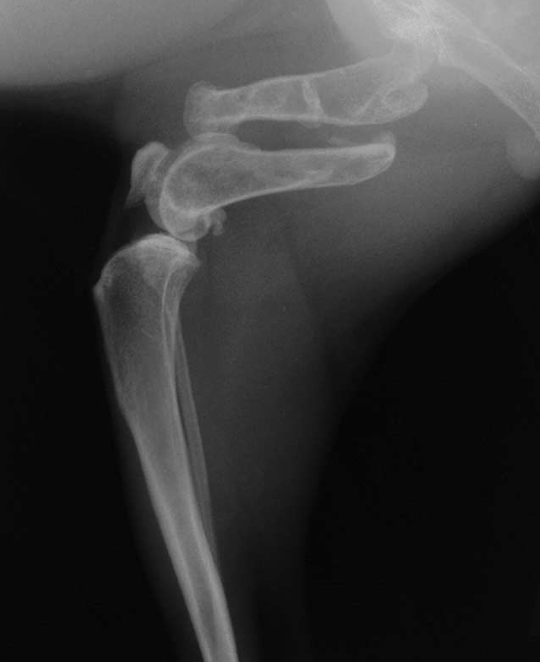
4
Q

What is shown in this radiograph?

A

premature distal ulnar physis closure
-bowing of radius

How well did you know this?
1
Not at all
2
3
4
5
Perfectly
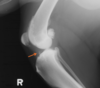
5
Q

What is shown in this radiograph?

A

widening of humero-ulnar joint space due to premature distal ulnar physis closure

How well did you know this?
1
Not at all
2
3
4
5
Perfectly
6
Q

What is shown in this radiograph?

A

widening of humero-ulnar joint and secondary UAP due to premature distal ulnar physis closure

How well did you know this?
1
Not at all
2
3
4
5
Perfectly
7
Q

What are the Roentgen signs of premature distal radial physis closure?

A

-shortened length of radius compared to other side (unless bilateral)
-increased radiocarpal joint space
-increased humero-radial joint space
-ulna typically remains straight

How well did you know this?
1
Not at all
2
3
4
5
Perfectly
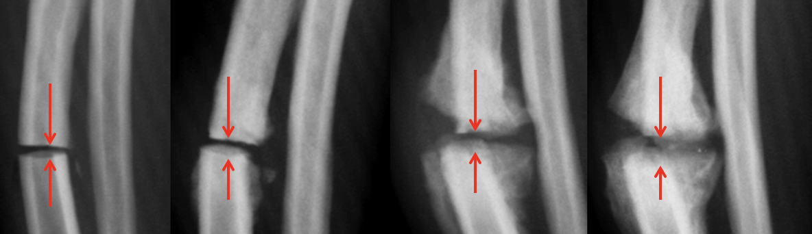
8
Q

What is shown in these radiographs?

A

premature distal radial physis closure
-increased radiocarpal joint space
-increased humero-radial joint space

How well did you know this?
1
Not at all
2
3
4
5
Perfectly
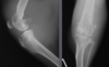
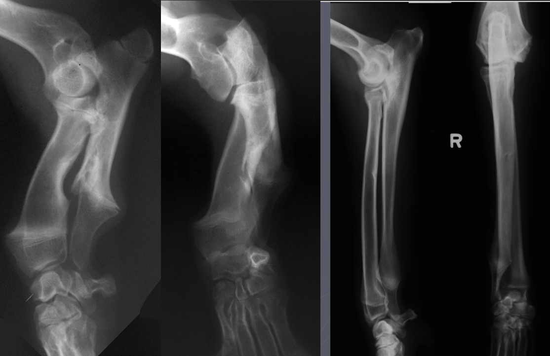
9
Q

Which physis has closed prematurely in each set of radiographs?

A

Left: distal ulnar physis
Right: distal radial physis

How well did you know this?
1
Not at all
2
3
4
5
Perfectly
10
Q

What are the complications of fracture healing?

A

-malunion
-delayed union
-nonunion; viable or nonviable

How well did you know this?
1
Not at all
2
3
4
5
Perfectly
11
Q

What are the characteristics of malunion?

A

-healed but in abnormal anatomic position
-can lead to osteoarthrosis if involving joints
-can be difficult to recognize if they occur in young dogs; bones will undergo extensive remodeling

How well did you know this?
1
Not at all
2
3
4
5
Perfectly
12
Q

What is shown in this radiograph?

A

fracture malunion complication

How well did you know this?
1
Not at all
2
3
4
5
Perfectly
13
Q

What are the characteristics of delayed union?

A

-fracture is healing but not as quickly as expected
-duration compared to similar fractures and fixation
-subjective assessment since healing depends on many different factors

How well did you know this?
1
Not at all
2
3
4
5
Perfectly
14
Q

What are the causes of delayed union?

A

-severe soft tissue damage/poor blood supply
-distracted or overriding fragments
-improper/inadequate reduction or fixation
-significant periosteal stripping
-removal of large bone fragments
-obstruction or destruction of blood supply by implant

How well did you know this?
1
Not at all
2
3
4
5
Perfectly
15
Q

What are the characteristics of nonunion?

A

-fracture that has not healed with no evidence of progression to bony union
-healing will not proceed without intervention
-often causes muscle atrophy and lameness
-fragment motion can cause pseudoarthrosis
-distal radius and ulna of small breeds is common site

How well did you know this?
1
Not at all
2
3
4
5
Perfectly
16
Q

What are the viable types of nonunion?

A

-hypertrophic
-oligotrophic

How well did you know this?
1
Not at all
2
3
4
5
Perfectly
17
Q

What are the nonviable types of nonunion?

A

-dystrophic
-necrotic
-defect
-atrophic

How well did you know this?
1
Not at all
2
3
4
5
Perfectly
18
Q

What are the characteristics of hypertrophic nonunion?

A

-excessive lysis at fracture site
-excessive, non-bridging callus formation
-sclerosis of bone fragments
-can have angular limb deformity

How well did you know this?
1
Not at all
2
3
4
5
Perfectly
19
Q

What are the characteristics of oligotrophic nonunion?

A

-little to no callus
-bridging of fracture fragments with fibrous tissue
-difficult to differentiate from nonviable nonunions, especially atrophic

How well did you know this?
1
Not at all
2
3
4
5
Perfectly
20
Q

What is shown in these radiographs?

A

hypertrophic nonunion
-widening of fracture gap
-excessive, non-bridging callus
-sclerotic fracture ends

21
Q

What is shown in this radiograph?

A

oligotrophic nonunion
-rounded fracture ends
-sealed medullary cavity of distal fragment
-minimal callus formation

22
Q

What is shown in this radiograph?

A

defect nonunion
-large fracture gap; callus cannot bridge

23
Q

What is shown in these radiographs?

A

atrophic nonunion

24
Q

What are the characteristics of degenerative joint disease?

A

-also known as osteoarthrosis
-degenerative disorder of synovial joints
-slowly progressive condition
-most frequently seen in weight bearing joints

25
What are the Roentgen signs of DJD?
-intracapsular soft tissue swelling -periarticular osteophytes -decreased size of joint space -subchondral sclerosis -subchondral osteolysis -subchondral bone cysts -joint mice; mineralized, intra-articular osseous bodies
26
What is shown in these radiographs?
DJD
27
What is shown in this radiograph?
subchondral osteosclerosis consistent with DJD
28
What is shown in this radiograph?
non-aggressive subchondral osteolysis consistent with DJD
29
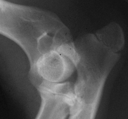
What is shown in this radiograph?
joint mouse consistent with DJD
30
What are the characteristics of the cranial cruciate ligament?
-runs from medial aspect of lateral femoral condyle to intercondylar area of tibia -prevents cranial displacement of tibia -limits internal rotation of tibia -prevents hyperextension of stifle
31
What are the characteristics of cranial cruciate ligament rupture?
-more common in females than males -seen in young, athletic dogs and middle age, overweight dogs -causes acute, non-weight bearing lameness
32
What are the Roentgen signs of CCL rupture?
-tibia may be displaced cranially -intracapsular swelling -avulsion fracture in cranial joint space -secondary DJD with osteophytes on patella, adjacent to trochlear groove of femur, and on margins of tibial plateau and fabellae
33
What is shown in this radiograph?
CCL rupture -intracapsular swelling -displacement of infrapatellar fat pat -displacement of fascial planes caudal to joint
34
What is shown in this radiograph?
avulsion fracture secondary to CCL rupture
35
What is shown in this radiograph?
DJD secondary to CCL rupture -osteophytes on patella, near trochlear groove, and on margins of tibial plateau and fabellae
36
What are the characteristics of septic arthritis?
-origins include direct inoculation, extension from soft tissue, or hematogenous -occurs in conjunction with other systemic infections
37
What are the Roentgen signs of septic arthritis?
-severe swelling early in infection -osteolysis and rough/irregular articular margins -multiple joint surfaces involved -severe subchondral erosion -periosteal reaction and osteophytes if chronic
38
What is shown in these radiographs?
septic arthritis
39
What are the possible etiologies of erosive polyarthritis?
-rheumatoid arthritis (most common in dogs) -polyarthritis of greyhounds -periosteal proliferative polyarthropathy (cats)
40
What are the Roentgen signs of erosive polyarthritis?
-intracapsular soft tissue swelling -cyst-like lucencies in subchondral bone -destruction of joint surfaces -narrow joint spaces -subluxation/luxation of joints
41
What is shown in these radiographs?
erosive polyarthritis
42
What are potential etiologies of non-erosive polyarthritis?
-systemic lupus erythematous/SLE (most common) -idiopathic polyarthritis -feline non-erosive polyarthritis -arthritis associated with chronic infection -polyarthritis/polymyositis syndrome -polyarthritis/meningitis syndrome -plasmacytic-lymphocytic synovitis
43
What are the Roentgen signs of non-erosive polyarthritis?
-intracapsular swelling -no osteolysis noted -multiple joints involved -often involves carpus, tarsus, and stifle
44
What is shown in these radiographs?
non-erosive polyarthritis
45
What are the characteristics of joint-associated neoplasia?
-middle aged to older medium to large breed dogs -rare in cats -arise from undifferentiated mesenchymal cells of synovium -commonly in stifle and elbow
46
What are the most common joint-associated neoplasias?
-histiocytic sarcoma -synovial mixoma/mixosarcoma
47
What are the Roentgen signs of joint-associated neoplasia?
-intracapsular and/or extracapsular swelling early on -osteolysis later on which can affect both sides of joint due to bony invasion -metastasis to regional lymph nodes and lungs
48
Which other tumors can affect joints?
-fibrosarcoma -rhabdomyosarcoma -malignant fibrous histiocytoma -poorly differentiated sarcoma
49
What is shown in these radiographs?
joint-associated neoplasia