Lecture 22 Flashcards

(42 cards)

1
Q

What are the basics regarding abdominal radiographs?

A

-minimum of one lateral and one VD view
-left and right lateral radiographs will redistribute GI gas
-collimate from just cranial to diaphragm to just caudal to hips

How well did you know this?
1
Not at all
2
3
4
5
Perfectly
2
Q

Which horizontal beam radiographs can be taken of the abdomen?

A

-lateral recumbency VD view
-dorsal recumbency lateral view

How well did you know this?
1
Not at all
2
3
4
5
Perfectly
3
Q

What is shown in these images?

A

normal abdomen and normal body wall in a dog

How well did you know this?
1
Not at all
2
3
4
5
Perfectly
4
Q

What is shown in this image?

A

normal abdomen in an obese cat

How well did you know this?
1
Not at all
2
3
4
5
Perfectly
5
Q

What are the characteristics of abdominal wall hernia/rupture?

A

*disruption of abdominal body wall
*can be congenital or acquired
*imaging findings include:
-disruption of abdominal wall
-displacement of fat or abdominal organs

How well did you know this?
1
Not at all
2
3
4
5
Perfectly
6
Q

What is shown in these images?

A

abdominal wall hernia/rupture

How well did you know this?
1
Not at all
2
3
4
5
Perfectly
7
Q

What is shown in this image?

A

abdominal wall hernia/rupture
-should not see intestines/GI gas in inguinal region

How well did you know this?
1
Not at all
2
3
4
5
Perfectly
8
Q

What are the causes of decreased serosal detail?

A

*young animal
*lack of abdominal fat
-emaciated
*silhouette effect
-increased fluid or soft tissue in abdomen
-compression of abdominal contents/visceral crowding
*artifact

How well did you know this?
1
Not at all
2
3
4
5
Perfectly
9
Q

What is shown in this image?

A

loss of serosal detail
-young dog

How well did you know this?
1
Not at all
2
3
4
5
Perfectly
10
Q

What is shown in this image?

A

loss of serosal detail
-adult dog with lack of fat

How well did you know this?
1
Not at all
2
3
4
5
Perfectly
11
Q

What is shown in these images?

A

normal abdomen with visceral crowding

How well did you know this?
1
Not at all
2
3
4
5
Perfectly
12
Q

What is shown in this image?

A

silhouette effect
-peritoneal effusion

How well did you know this?
1
Not at all
2
3
4
5
Perfectly
13
Q

What is shown in this image?

A

wet hair artifact

How well did you know this?
1
Not at all
2
3
4
5
Perfectly
14
Q

What are the characteristics of abdominal effusion?

A

-can be peritoneal, retroperitoneal, or both
-possible effusions are transudates, exudates, blood, urine, bile, and chyle
-CANNOT tell the type of effusion via radiographs

How well did you know this?
1
Not at all
2
3
4
5
Perfectly
15
Q

What are the radiographic findings in abdominal effusion?

A

-decreased or absent serosal margin detail
-fluid streaking in fat
-mottled appearance

How well did you know this?
1
Not at all
2
3
4
5
Perfectly
16
Q

What are the ultrasound findings in abdominal effusion?

A

-anechoic to echogenic
-usually moves with gravity

How well did you know this?
1
Not at all
2
3
4
5
Perfectly
17
Q

What is shown in this image?

A

large volume of peritoneal effusion
-can still see kidney; not retroperitoneal

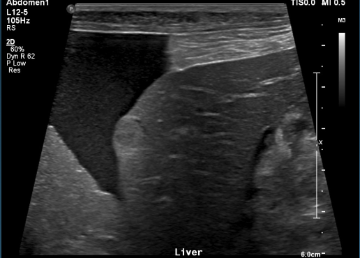
18
Q

What is shown in this image?

A

small volume of peritoneal effusion
-fluid streaking in ventral aspect

19
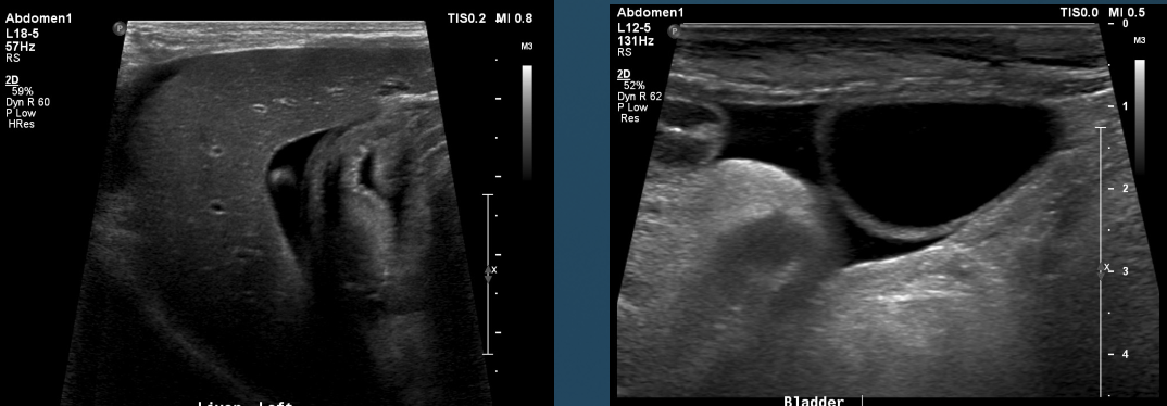
Q

What is shown in these images?

A

anechoic effusion around liver (left) and bladder (right)

20
Q

What is shown in this image?

A

echogenic effusion

21
Q

What is shown in this image?

A

refraction artifact; NOT effusion

22
Q

What are some possible etiologies of peritonitis?

A

-perforation of abdominal viscera
-visceral extension of infection
-systemic infection
-pancreatitis
-surgical complications
-external penetrating injury

23
Q

What are the radiographic findings of peritonitis?

A

-loss of detail; regional or diffuse
-mottled appearance
-GI ileus
-possible free gas

24
Q

What are the ultrasound findings of peritonitis?

A

-variable amount of effusion; anechoic to echogenic
-hyperechogenicity and hyperattenuation of abdominal fat

25
What is shown in these images?
peritonitis
26
What is shown in these images?
peritonitis
27
What is carcinomatosis?
peritoneal seeding of neoplastic process
28
What are the radiographic findings of carcinomatosis?
-loss of serosal detail -ill-defined nodular or mottled pattern -may see mass effect of primary tumor
29
What are the ultrasound findings of carcinomatosis?
-effusion -nodules along peritoneum, fat, or mesentery -nodules that are hypoechoic to fat -possible primary mass
30
What is shown in these images?
carcinomatosis
31
What is shown in these images?
carcinomatosis
32
What is (retro)pneumoperitoneum?
free peritoneal or retroperitoneal gas
33
What are possible etiologies of (retro)pneumoperitoneum?
-recent abdominal injury -traumatic injury to abdominal wall -perforation of GI tract -rupture of an abscess
34
What are the radiographic findings of (retro)pneumoperitoneum?
-free intra-abdominal gas foci not in the GI tract -increased visceral/serosal margin detail if large amount of free gas
35
What is shown in this image?
pneumoperitoneum
36
What is shown in this image?
pneumoperitoneum
37
What is shown in this image?
pneumoperitoneum
38
What are the findings of pneumoperitoneum on horizontal beam radiographs?
*VD in left lat. recumbency: -free gas accumulates under ribs away from gastric fundus *lat. in dorsal recumbency: -free gas accumulates in area of liver, diaphragm, and ventral wall
39
What is shown in this image?
free peritoneal air; seen on horizontal beam VD
40
What is shown in this image?
free peritoneal air; seen on horizontal beam lat. view
41
What are the ultrasound findings of pneumoperitoneum?
-echogenic foci or lines with reverberation artifacts -large amount hampers visualization of deep structures
42
What is shown in this image?
pneumoperitoneum -free gas