Lecture 23 Flashcards

(54 cards)

1
Q

What are the characteristics of the normal liver on radiographs?

A

-in the cranial abdomen mostly under the costal arch
-cranial to stomach
-size assessed using the gastric axis

How well did you know this?
1
Not at all
2
3
4
5
Perfectly
2
Q

How is the gastric axis used to assess liver size?

A

-normal gastric axis is parallel to the ribs
-a large liver will push the stomach caudal and change the gastric axis

How well did you know this?
1
Not at all
2
3
4
5
Perfectly
3
Q

What is shown in these images?

A

normal liver; normal gastric axis

How well did you know this?
1
Not at all
2
3
4
5
Perfectly
4
Q

What are the characteristics of normal liver on ultrasound?

A

-smooth, sharp margins
-coarse echotexture
-portal vein walls are hyperechoic
-hypoechoic to the spleen

How well did you know this?
1
Not at all
2
3
4
5
Perfectly
5
Q

What are the characteristics of the biliary tree on ultrasound?

A

-gall bladder typically contains anechoic bile
-presence of sludge is normal in dogs
-normally do not see intrahepatic bile ducts
-common bile duct is small; normally seen in cats

How well did you know this?
1
Not at all
2
3
4
5
Perfectly
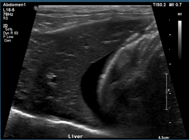
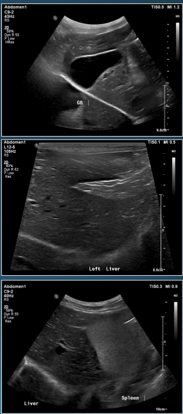
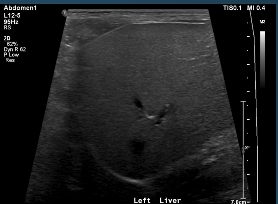
6
Q

What is shown in these images?

A

normal ultrasound of the liver

How well did you know this?
1
Not at all
2
3
4
5
Perfectly
7
Q

What is shown in these images?

A

ultrasound of the gall bladder:
-top: anechoic bile
-bottom: sludge (normal in dogs)

How well did you know this?
1
Not at all
2
3
4
5
Perfectly
8
Q

How does generalized liver enlargement differ from focal liver enlargement?

A

*generalized:
-enlargement of the whole liver with maintenance of normal shape

*focal:
-enlargement of a portion of the liver
-alters liver shape in area of enlargement
-due to a nodule or mass
-can be singular or multiple; focal or multifocal

How well did you know this?
1
Not at all
2
3
4
5
Perfectly
9
Q

What are the differentials for generalized liver enlargement?

A

*metabolic:
-diabetes mellitus
-hyperadrenocorticism
-hepatic lipidosis

*infectious/inflammatory:
-hepatitis/cholangiohepatitis

*infiltrative neoplasia:
-round cell

*vascular congestion:
-right heart failure
-caval syndrome

How well did you know this?
1
Not at all
2
3
4
5
Perfectly
10
Q

What are the differentials for focal liver enlargement?

A

*nodular regeneration (most common in dogs)

*neoplasia
-primary or metastatic
-benign or malignant

*abscess/granuloma

*cyst

How well did you know this?
1
Not at all
2
3
4
5
Perfectly
11
Q

What are the radiograph findings in generalized hepatomegaly?

A

-enlarged liver with maintained shape
-extends beyond costal arch
-displacement of stomach caudally
-rounded margins

How well did you know this?
1
Not at all
2
3
4
5
Perfectly
12
Q

What are the ultrasound findings in generalized hepatomegaly?

A

-may appear normal aside from size
-diffusely hypo- or hyper-echoic
-may see nodules
-may see distended hepatic veins in cases of congestion

How well did you know this?
1
Not at all
2
3
4
5
Perfectly
13
Q

What is shown in these images?

A

*generalized hepatomegaly:
-extends past costal arch
-gastric axis no longer parallel with ribs; pylorus pushed caudal

How well did you know this?
1
Not at all
2
3
4
5
Perfectly
14
Q

What can cause generalized hepatomegaly to appear diffusely hyperechoic on ultrasound?

A

*metabolic/endocrine:
-steroid hepatopathy/hyperadrenocorticism
-endocrine disease/diabetes mellitus
-hepatic lipidosis
-vacuolar hepatopathy

*fibrosis
*chronic hepatitis
*infiltrative disease/round cell neoplasia

How well did you know this?
1
Not at all
2
3
4
5
Perfectly
15
Q

What is shown in this image?

A

diffusely hyperechoic liver

How well did you know this?
1
Not at all
2
3
4
5
Perfectly
16
Q

What can cause generalized hepatomegaly to appear diffusely hypoechoic on ultrasound?

A

*acute hepatitis
*congestion
-right heart failure
-caval syndrome

*infiltrative disease/round cell neoplasia

How well did you know this?
1
Not at all
2
3
4
5
Perfectly
17
Q

What is shown in this image?

A

diffusely hypoechoic liver

How well did you know this?
1
Not at all
2
3
4
5
Perfectly
18
Q

What is shown in these images?

A

generalized hepatomegaly:
-pendulous abdomen with no fluid accumulation
-likely hyperadrenocorticism/cushing’s

How well did you know this?
1
Not at all
2
3
4
5
Perfectly
19
Q

What is shown in this image?

A

generalized hepatomegaly

How well did you know this?
1
Not at all
2
3
4
5
Perfectly
20
Q

What is shown in these images?

A

*generalized hepatomegaly:
-hepatic congestion and ascites
-enlargement of hepatic vein and caudal vena cava

How well did you know this?
1
Not at all
2
3
4
5
Perfectly
21
Q

What are the imaging findings in the event of a liver mass/nodule?

A

-nodule or mass affecting the liver
-change in shape of liver margins
-possible peritoneal effusion
-mass effect; soft tissue opaque structure displacing the stomach/gastric axis

How well did you know this?
1
Not at all
2
3
4
5
Perfectly
22
Q

How is a hepatic mass differentiated from a splenic mass on radiographs?

A

-hepatic masses tend to be cranial to the stomach; exception is a pedunculated liver mass
-may see fat-opaque fascial plane between liver lobe and spleen

23
Q

What is shown in these images?

A

*focal hepatomegaly:
-stomach displaced to the left on VD view
-right kidney is deviated

24
Q

What is shown in these images?

A

Left: normal; normal margin
Middle: diffuse infiltrate; rounded margin
Right: focal mass; enlarged, lumpy margin

25
What is shown in these images?
hepatic mass
26
What is shown in this image?
hepatic mass -heterogenous appearance to liver
27
What is shown in this image?
hepatic mass
28
What is shown in this image?
isoechoic liver nodule (at indicated markers)
29
What is shown in this image?
hyperechoic liver nodule (at indicated markers)
30
What is shown in this image?
hypoechoic liver nodules
31
What is shown in this image?
cavitated liver mass
32
What is shown in this image?
numerous liver nodules
33
What is shown in this image?
targetoid nodule -more likely to be malignant
34
What is shown in these images?
hepatic abscess -gall bladder would be on the right on a VD view; not seen
35
What are the characteristics of hepatic cysts/cystadenomas?
-focal or multifocal -cystadenoma is commonly multilocular -well-defined -anechoic, fluid-filled structures -may see distal enhancement
36
What is shown in these images?
hepatic cysts/cystadenomas
37
What are the possible etiologies of microhepatia?
-incidental variation -porto-systemic shunt -cirrhosis
38
What are the imaging findings in microhepatia?
-small liver volume -cranial deviation of stomach/cranial deviation of gastric axis -irregular margins in cases of cirrhosis
39
What are the ultrasound findings in microhepatia?
-small liver volume (hard to image, GB looks bigger) -irregular margins or nodules if cirrhosis -abnormal vessel if PSS
40
What is shown in these images?
microhepatia -cranial axis deviated cranially at pylorus
41
What is shown in these images?
microhepatia
42
What is shown in these images?
microhepatia -generalized loss of detail -cranial deviation of gastric axis
43
What is shown in these images?
microhepatia: -abnormal margins due to cirrhosis
44
What are the characteristics of choleliths?
-mineralized foci in lumen of biliary tree -cholecystoliths in gall bladder -choledocholiths in bile ducts -can be incidental in dogs -can be associated with inflammation/infection -can cause biliary obstruction and rupture
45
What are the imaging findings in choleliths?
*cholecystoliths: -focal mineral structures in area of gallbladder *choledocholiths: -linear or branching trails of mineral in area of liver
46
What is shown in these images?
cholecystoliths
47
What are the ultrasound findings of choleliths?
-defined structure with hyperechoic margin and distal shadow -may see biliary distention in cases of inflammation, infection, or obstruction
48
What is shown in this image?
choleliths -hyperechoic margin -distal shadow
49
What are the possible etiologies of biliary distention?
-anorexia/hyporexia/fasting -secondary to pancreatitis -inflammation/infection -gall bladder mucocele -obstruction due to cholelith -obstruction due to mass of the biliary tree, pancreas, or duodenum
50
What are the imaging findings in biliary distention?
-may see choleliths -may see focal gas in area of gall bladder (emphysematous cholecystitis) -may see peritoneal effusion/peritonitis if ruptured *typically an ultrasound diagnosis
51
What are the ultrasound findings in biliary distention?
-variable distention of GB or common bile duct -may see intrahepatic bile ducts if distended -may see cause of obstruction -may see thickened, hyperechoic wall in cases of inflammation -gall bladder mucocele characteristic appearance
52
What is shown in this image?
biliary distention: -wall starting to thicken -sludge present that is starting to mineralize
53
What are the ultrasound findings in the case of gall bladder mucocele?
-echogenic sediment in the center of the lumen that becomes progressively immobile -surrounded by hypoechoic material -has a stellate or kiwi-fruit appearance when mature -can cause rupture and bile peritonitis
54
What is shown in these images?
gall bladder mucocele