Lecture 32 Flashcards

(55 cards)

1
Q

Which radiographic imaging procedures are used to evaluate the prostate gland?

A

*survey rads that include pelvic canal:
-right lateral
-VD

*contrast urethrography

How well did you know this?
1
Not at all
2
3
4
5
Perfectly
2
Q

What is the normal position of the prostate gland?

A

-immediately caudal to the neck of the urinary bladder
-ventral to the rectum
-can be completely within pelvic canal, partially within pelvic canal, or cranial to the pubis

How well did you know this?
1
Not at all
2
3
4
5
Perfectly
3
Q

What are the characteristics of prostate gland localization on a lateral view?

A

*presence of triangular fat pad
-between ventral-caudal aspect of urinary bladder, cranio-ventral portion of prostate gland, and caudo-ventral abdominal wall

How well did you know this?
1
Not at all
2
3
4
5
Perfectly
4
Q

How does a cat’s prostate differ from a dog’s in terms of radiographic assessment?

A

cats do not have a radiographically observable prostate gland

How well did you know this?
1
Not at all
2
3
4
5
Perfectly
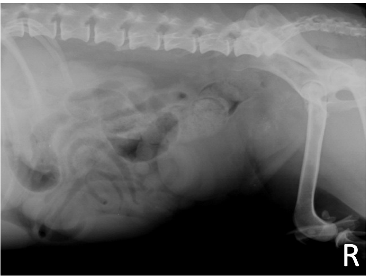
5
Q

What is shown in this image?

A

normal prostate gland
-triangular fat pad present between bladder and prostate

How well did you know this?
1
Not at all
2
3
4
5
Perfectly
6
Q

What are the characteristics of prostate size?

A

*varies with age, body size, repro. status, and breed

*in intact males:
-should not occupy greater than 70% of the distance between sacral promontory and pubis on lateral view
-should not occupy more than 50% of the pelvic canal on VD view

How well did you know this?
1
Not at all
2
3
4
5
Perfectly
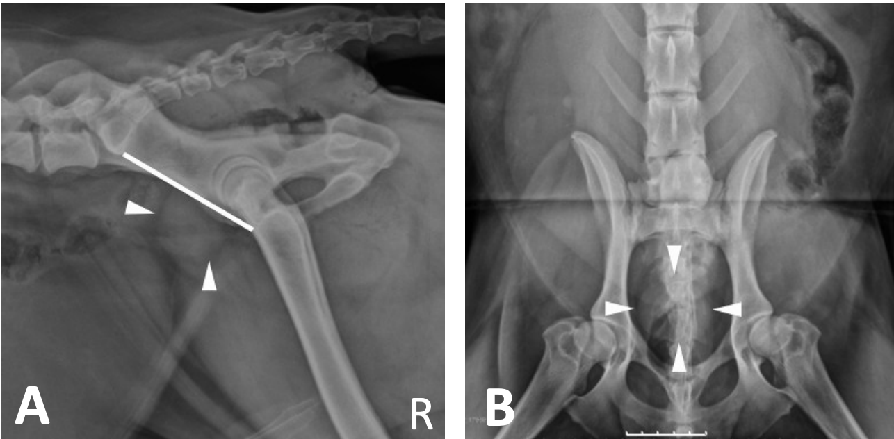
7
Q

What is shown in these images?

A

normal prostate in an intact dog
-arrow heads indicate the prostate
-white line represents distance between sacral promontory and pubis

How well did you know this?
1
Not at all
2
3
4
5
Perfectly
8
Q

What are the characteristics of normal prostate gland appearance?

A

-ovoid, bilobed, bilaterally symmetrical shape
-smoothly marginated
-soft tissue opacity

How well did you know this?
1
Not at all
2
3
4
5
Perfectly
9
Q

What is the most common cause of a lack of observable prostate in dogs?

A

castration that leads to decreased size

How well did you know this?
1
Not at all
2
3
4
5
Perfectly
10
Q

What can cause abnormal positioning of the prostate?

A

-prostatic enlargement; prostate entirely within abdomen
-herniation of urinary bladder

How well did you know this?
1
Not at all
2
3
4
5
Perfectly
11
Q

What is shown in this image?

A

caudal displacement of prostate
-caudal displacement of urinary bladder
-tortuous urethra

How well did you know this?
1
Not at all
2
3
4
5
Perfectly
12
Q

What are the possible causes of prostatomegaly?

A

-benign hypertrophy
-prostatic cysts
-prostatitis/abscess
-paraprostatic cyst
-neoplasia

How well did you know this?
1
Not at all
2
3
4
5
Perfectly
13
Q

What are the criteria for prostatic enlargement in intact vs neutered dogs?

A

*intact:
-70% or greater of the distance between sacral promontory and pubis is occupied

*neutered:
-any visibility of prostate

How well did you know this?
1
Not at all
2
3
4
5
Perfectly
14
Q

What is shown in this image?

A

prostatomegaly
-occupies ~ 90% of pelvic inlet diameter
-irregular, ill-defined margins

How well did you know this?
1
Not at all
2
3
4
5
Perfectly
15
Q

What causes irregular shape and margination of the prostate gland?

A

prostatic disease

How well did you know this?
1
Not at all
2
3
4
5
Perfectly
16
Q

What are the characteristics of increased prostate gland opacity?

A

-usually indicates dystrophic mineralization
-occurs with neoplasia most commonly
-can be caused by chronic infection

How well did you know this?
1
Not at all
2
3
4
5
Perfectly
17
Q

What can cause gas opacity in the prostate?

A

-iatrogenic causes
-gas-producing bacterial infections

How well did you know this?
1
Not at all
2
3
4
5
Perfectly
18
Q

What is shown in this image?

A

prostatic adenocarcinoma
-enlarged prostate
-ill-defined areas of mineral opacity

How well did you know this?
1
Not at all
2
3
4
5
Perfectly
19
Q

Which radiographic findings are used to differentiate prostatic disease?

A

-smooth vs irregular margins
-asymmetrical vs symmetrical enlargement
-calcification
-prostatic gas
-ulceration and stricture of urethra
-prostatic reflux
-lymphadenopathy and aggressive lumbar vertebral lesions
-prostatomegaly in a neutered dog

How well did you know this?
1
Not at all
2
3
4
5
Perfectly
20
Q

Which radiographic findings are most commonly associated with prostatic neoplasia?

A

-calcification
-lymphadenopathy and aggressive lumbar vertebral lesions
-prostatomegaly in a neutered dog

How well did you know this?
1
Not at all
2
3
4
5
Perfectly
21
Q

What are the potential etiologies of prostate parenchymal changes?

A

-benign prostatic hyperplasia
-prostatitis
-neoplasia; adenocarcinoma

How well did you know this?
1
Not at all
2
3
4
5
Perfectly
22
Q

What are the ultrasound findings in benign prostatic hyperplasia?

A

-symmetric, diffuse enlargement
-normal to increased echogenicity
-homogenous or heterogenous echotexture
-possible cysts

How well did you know this?
1
Not at all
2
3
4
5
Perfectly
23
Q

What is shown in this image?

A

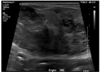
benign prostatic hyperplasia
-presence of cysts

24
Q

What are the ultrasound findings in prostatitis?

A

-often difficult to differentiate from BPH
-normal size or diffuse enlargement
-variable echogenicity and echotexture
-possible hyperechoic fat and scant effusion if acute
-possible abscesses
-dystrophic mineralization possible if chronic (rare)

25
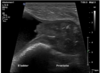
What is shown in these images?
prostatitis -cysts present -fluid/effusion present at caudal aspect in right image
26
What are the ultrasound findings in prostatic neoplasia?
-asymmetric enlargement -hypoechoic, heterogenous echotexture -mineralization -medial iliac lymphadenomegaly -possible "spondylitis" -possible signs of obstruction -extension of tumor from urinary bladder or urethra (if appliable)
27
What is shown in this image?
prostatic neoplasia -areas of mineralization -invading the neck of the bladder
28
What are the ultrasound findings in cases of paraprostatic cysts?
-adjacent to prostate -variable size; large ones can look like urinary bladder -may communicate with intraparenchymal cysts -variable wall thickness -anechoic to echogenic content -possible septation and/or mineralization
29
What is shown in these images?
paraprostatic cyst
30
What are the characteristics of benign prostatic hyperplasia?
-very common diagnosis -based on finding of enlarged prostate in intact dog with no evidence of other disease -main radiographic sign is prostatomegaly
31
What is shown in these images?
benign prostatic hyperplasia
32
What are the ultrasound findings in benign prostatic hyperplasia?
-symmetric, diffuse enlargement -normal to increased echogenicity -homogenous or heterogenous echotexture -possible cysts
33
What is the ultrasound finding that indicates prostatic cysts?
circular to irregularly shaped anechoic areas of variable size
34
Where do paraprostatic cysts originate from?
remnants of the muellerian duct system (female repro. tract)
35
What are the radiographic signs of paraprostatic cysts?
*survey: -usually fluid opaque structure in caudal abdomen -can give the appearance of two bladders *cystogram: -determines which structure is the urinary bladder vs. cyst
36
What is shown in these images?
paraprostatic cyst -very large -cystogram performed in right image to show true urinary bladder vs cyst
37
What are the radiographic findings in prostatitis cases?
-usually enlarged -smooth margin in early or mild cases -indistinct or irregular margin in severe or acute cases
38
What is shown in this image?
prostatitis -prostatomegaly -indistinct margins due to focal peritonitis -presence of prostatic abscess
39
What is the ultrasound appearance of prostatic abscesses?
-may appear similar to cysts -may have thicker wall and echogenic content
40
What are the radiographic signs of prostatic neoplasia?
-prostatomegaly, especially in a neutered dog -irregular, ill-defined margins -mineralization
41
What is shown in these images?
prostatic neoplasia -enlarged prostate -indistinct mineral foci associated with prostatic parenchyma
42
What are the radiographic signs of prostatic neoplasia metastasis?
-sublumbar lymph node enlargement -"spondylitis" of caudal lumbar vertebrae -irregular new bone formation at the sacrum and pelvis
43
What is shown in these images?
prostatic gland metastasis -prostatomegaly -severe enlargement of sublumbar lymph nodes -"spondylitis" of L3 to L6 -mineralization in soft tissues ventral to first caudal vertebra
44
When are the testes and penis evaluated radiographically (asides from evaluating penile urethra)?
-cryptorchid animals -penile trauma or masses
45
What is the appearance of the penis on radiographs?
*lateral: -prepuce visible ventral to abdominal wall as elongated soft tissue opacity -contains mineral opaque os penis *VD: -prepuce superimposed with spine or slightly to one side -can be mistaken for soft tissue mass
46
What is shown in these images?
normal canine penis
47
What are the characteristics of cryptorchidism?
-relatively common -often undergo neoplastic transformation -seen as masses in caudoventral abdomen on survey rads if large enough
48
What is shown in these images?
cryptorchidism -one cryptorchid testicle in inguinal area -prostatic enlargement
49
What is shown in this image?
cryptorchidism -presence of two round to ovoid soft tissue opacities dorsal to urinary bladder
50
What are the ultrasound findings in cryptorchidism?
-small -hypoechoic -presence of mediastinum testis -possible neoplastic transformation and torsion; leads to variable size and echogenicity
51
What is shown in this image?
intra-abdominal cryptorchid testicle
52
What is shown in this image?
inguinal cryptorchid testicle with neoplastic transformation
53
What are the types of testicular tumors?
*interstitial cell -usually benign and incidental -seen in descended testicles *seminomas and sertoli cell tumors -seen in cryptorchid and descended testicles -can produce hormones and metastasize
54
What are the ultrasound findings in cases of testicular tumors?
-range from small, circumscribed nodules to large complex masses -possible benign prostatic hyperplasia -possible medial iliac lymphadenopathy
55
What is shown in this image?
fractured os penis