Lecture 26 Flashcards

(44 cards)

1
Q

What are the characteristics of a normal stomach position on radiographs?

A

-fundus is left and dorsal
-pylorus is right and ventral
-body of the stomach is in between

How well did you know this?
1
Not at all
2
3
4
5
Perfectly
2
Q

What is shown in this image?

A

normal stomach

How well did you know this?
1
Not at all
2
3
4
5
Perfectly
3
Q

How does the appearance of the stomach differ between a right lateral radiograph and a left lateral radiograph?

A

-right lateral: fluid in pylorus, gas in fundus
-left lateral: gas in pylorus, fluid in fundus

How well did you know this?
1
Not at all
2
3
4
5
Perfectly
4
Q

What is shown in this image?

A

normal right lateral view in the dog

How well did you know this?
1
Not at all
2
3
4
5
Perfectly
5
Q

What is shown in this image?

A

normal left lateral view in the dog

How well did you know this?
1
Not at all
2
3
4
5
Perfectly
6
Q

How does the position and shape of the stomach differ between dogs and cats?

A

*dogs:
-extends from left body wall to right body wall

*cats:
-predominantly within left cranial quadrant
-pylorus on midline
-“J” shaped

How well did you know this?
1
Not at all
2
3
4
5
Perfectly
7
Q

What is shown in these images?

A

left: normal canine stomach

right: normal feline stomach

How well did you know this?
1
Not at all
2
3
4
5
Perfectly
8
Q

What is shown in these images?

A

normal feline stomach

How well did you know this?
1
Not at all
2
3
4
5
Perfectly
9
Q

What can affect the position and shape of the stomach?

A

-deep vs shallow chested animal
-effects of other organs

How well did you know this?
1
Not at all
2
3
4
5
Perfectly
10
Q

Why is it important to fast an animal when taking radiographs of the stomach?

A

food can distend the stomach and cause it to appear larger than normal/when empty

How well did you know this?
1
Not at all
2
3
4
5
Perfectly
11
Q

What is shown in this image?

A

normal post-prandial canine stomach

How well did you know this?
1
Not at all
2
3
4
5
Perfectly
12
Q

What is shown in this image?

A

rugal folds within the fundus of the stomach

How well did you know this?
1
Not at all
2
3
4
5
Perfectly
13
Q

What are the normal findings of the stomach on ultrasound?

A

-rugal folds
-thin wall that is distention dependent
-wall thickness around 2 to 5 mm
-wall layering present

How well did you know this?
1
Not at all
2
3
4
5
Perfectly
14
Q

What is shown in these images?

A

normal stomach
-presence of rugal folds
-ability to assess gastric wall

How well did you know this?
1
Not at all
2
3
4
5
Perfectly
15
Q

What are the characteristics of the small intestines?

A

-duodenum is in right cranial abdomen along body wall
-jejunum and ileum have smooth curves and are relatively mobile
-smooth margins
-diameter is variable; want to measure from serosa to serosa

How well did you know this?
1
Not at all
2
3
4
5
Perfectly
16
Q

What is the average diameter of the intestines in dogs and cats?

A

dogs: less than 1.5x the height of the L5 vertebral body

cats: less than 12 mm

How well did you know this?
1
Not at all
2
3
4
5
Perfectly
17
Q

What is shown in this image?

A

normal small intestines

How well did you know this?
1
Not at all
2
3
4
5
Perfectly
18
Q

What are the normal imaging findings with regards to small intestinal lumen contents?

A

-should be relatively homogenous
-can contain gas or fluid/soft tissue opaque material
-fluid and gas separated by gravity may form a meniscus; looks similar to a thickened wall

19
Q

What is shown in this image?

A

fluid-opaque small intestinal contents
-NOT thickened wall

20
Q

What are the characteristics of the small intestinal wall on ultrasound?

A

-thin wall; around 4 to 6 mm thick
-mucosa and muscularis layers will be hypoechoic; lumen, submucosa, and serosa will be hyperechoic

21
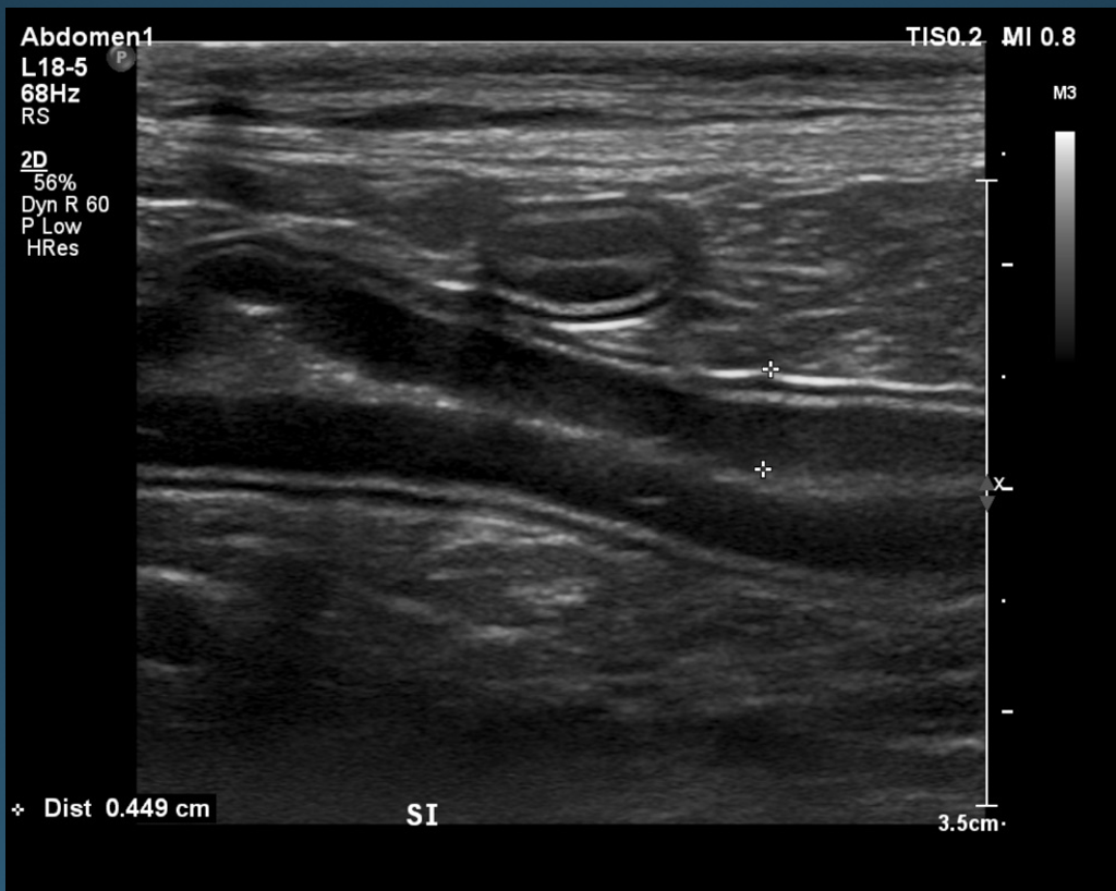
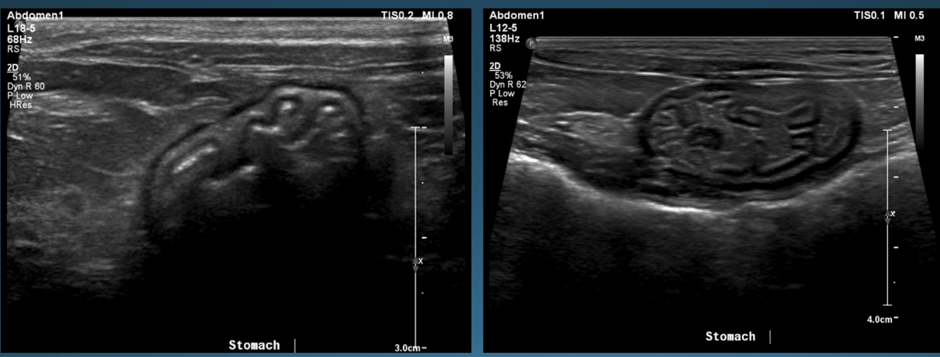
Q

What is shown in these images?

A

normal small intestine on ultrasound
-can identify all layers on ultrasound

22
Q

What is indicated by the star-shaped icons in this image?

A

thickness of the small intestinal wall from lumen to serosa; approx. 4 mm

23
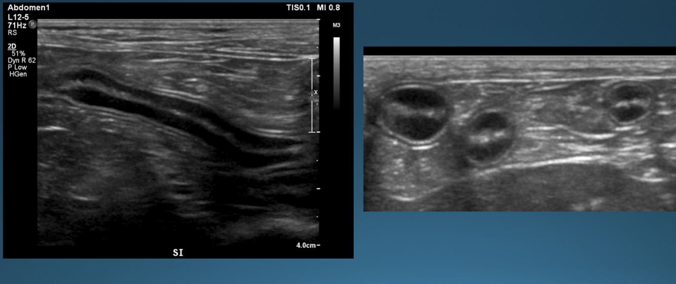
Q

What is the “string of pearls” or “pseudo-string sign” in cats?

A

-strong circular smooth muscle contractions and linear mucosal folds in duodenum and proximal jejunum
-causes small intestine to have a “string of pearls” appearance normally

24
Q

What is shown in this image?

A

“string of pearls” small intestinal appearance in cats

25
What are the characteristics of canine peyer's patches?
-lymphoid aggregates in descending duodenum -can appear as "pseudo-ulcers" on imaging and cause a rough mucosal appearance
26
What is shown in these images?
canine peyer's patch; normal
27
What are the components of the large intestine?
*cecum -ileocecocolic junction *colon -ascending, transverse, and descending -descending colon usually along left abdominal wall *rectum -from entrance of pelvic canal to anal sphincter
28
What are the characteristics of colon size?
-thin-walled, distensible tube -diameter less than 1.5x the length of the L7 vertebral body -wall thickness up to 2mm; may not see individual layers
29
What is shown in these images?
normal large intestine in the dog
30
What is shown in this image?
normal colon
31
What is the preparation for GI contrast studies?
-start with routine radiographs -fast the patient -avoid sedation; can interfere with GI movement
32
What are the indications for GI contrast studies?
-ultrasound not available -determine position -evaluate motility/function -further detail of survey radiographic abnormalities -abnormality suspected but not seen on survey rads
33
What are the characteristics of liquid barium sulfate suspension as a GI contrast medium?
-relatively benign if aspirated -DO NOT USE if perforation is suspected -do not use before an endoscopy or ultrasound
34
What is shown in this image?
aspiration of liquid barium sulfate suspension
35
What are the characteristics of iodinated GI contrast medium?
-indicated if perforation is suspected -can be used prior to endoscopy -can cause acute pulmonary edema if aspirated -draws water into GI tract; can cause dehydration
36
What are the characteristics of an upper GI study?
-typically using liquid barium -inadequate volume of contrast is the most common error in study -orogastric tubes permit more reliable delivery of contrast into the stomach -want a minimum of 3 views for the stomach and 2 views for intestines -suspected lesions should be seen on more than 1 radiograph -study ends when all contrast reaches the colon
37
What are the characteristics of gastric emptying time?
-begins within 15 minutes of ingestion -complete within 1 to 4 hours
38
What are the characteristics of small intestine transit time?
-contrast should be completely through the small intestine within 5 hours in the dog and 3 hours in the cat -no minimum for transit time
39
Which factors can affect GI transit time?
-drugs -mental status -stress -insufficient volume of contrast media
40
What is shown in these images?
normal upper GI contrast study in a dog
41
What is shown in these images?
normal upper GI contrast study in a cat
42
What are the characteristics of a pneumocolonogram?
-colonic contrast study -injection of gas into rectum to fill colon -main indication is to help identify colon location -low cost; can use room air
43
What is shown in these images?
top: survey radiograph bottom: normal pneumocolonogram in a dog (lateral)
44
What is shown in these images?
left: survey radiograph right: normal pneumocolonogram in a dog