What determines Thoracic Situs

Norwood procedure

Where should the tip of an Intraaortic Balloon Pump (IABP) be?

Intraaortic Balloon Pump (IABP)
Tip should be located just distal to the takeoff of the left subclavian artery (LSA) and be 2–4 cm below aortic knob. Inflation may be seen during diastole.
The balloon should be located in the proximal descending aorta, just below the origin of the left subclavian artery. On a chest radiograph, it should be at the level of the AP window. This ideally results in the balloon terminating just above the splanchnic vessels 3.
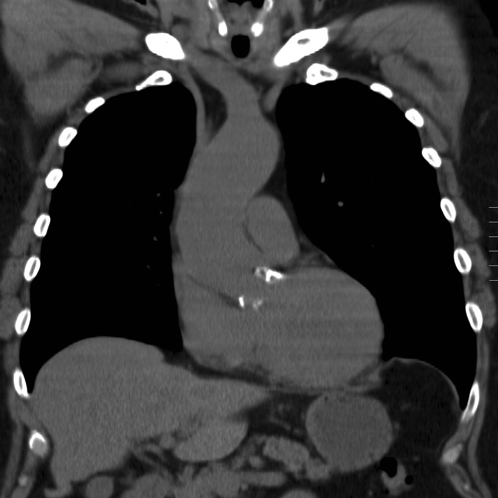
Case courtesy of Assoc Prof Craig Hacking, Radiopaedia.org, rID: 66474
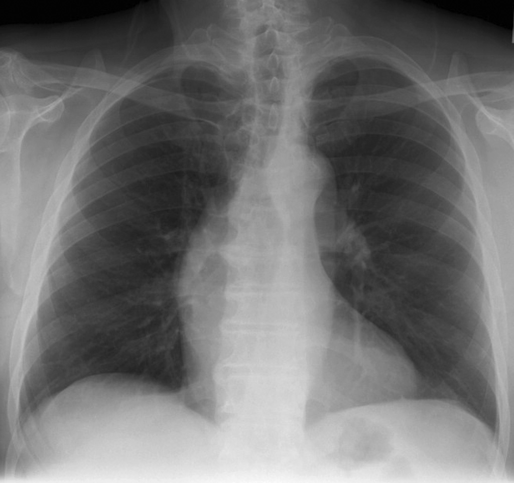
Case courtesy of Assoc Prof Frank Gaillard, Radiopaedia.org, rID: 19299

Pre cardiology workup for systolic murmur.
Patient Data
Age:60 years
Gender:Female
what is the dx?
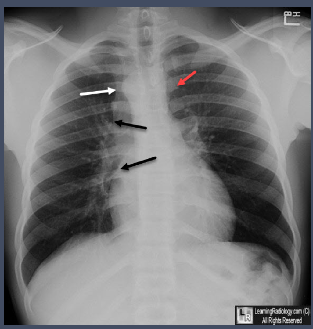
what sign is demonstrated

Chen sign is described as the prominence of left basal pulmonary vasculature compared to the right base due to the asymmetric increase in pulmonary blood flow to the left lung. It is secondary to preferential blood flow into the left pulmonary artery after passing through the stenosed pulmonary valve during systole.
Enlargement of the left pulmonary artery is secondary to the same effect, causing post stenotic dilatation.
DDx of Boot shaped heart

3 ddx of mesocardial Delayed Myocardial Enhancement (MRI)
Mesocardial Delayed Myocardial Enhancement (MRI)

What are the three segments of the right cardiac margin?

5 Ddx T1 Bright Cardiac Lesions
T1 Bright Cardiac Lesions
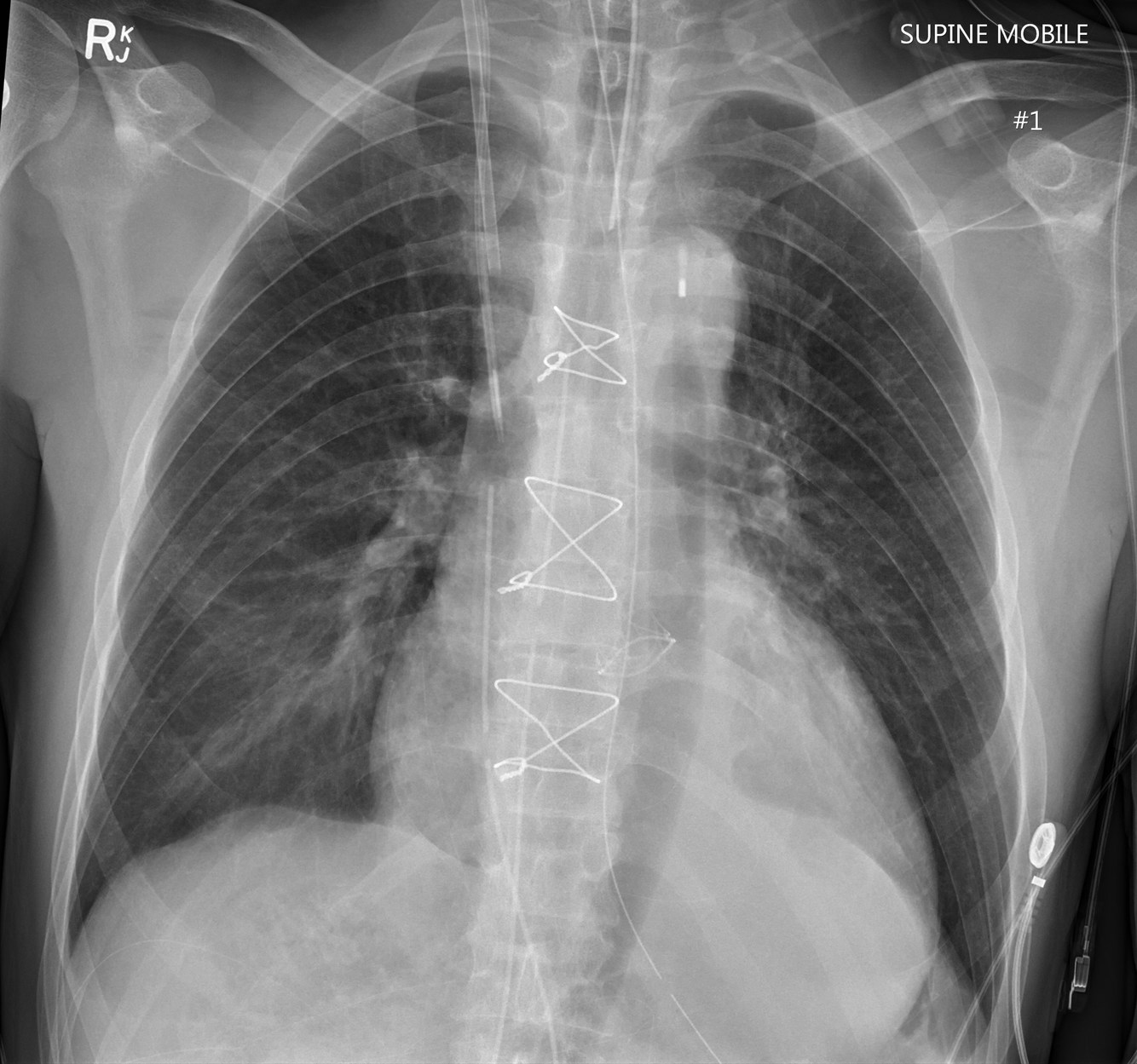
Fontan
Glenn + closure of ASD + shunt between right atrium to left PA

What are the causes of post capilary hypertension?
3
3

Congestive Heart Failure by age
Congestive Heart Failure by age
aortic regurg has which of the following on Xray
aortic regurg has which of the following on Xray

What are the causes of Abnormal Left Heart Contour?
Re:
ET tube placement
Endotracheal Tube (ET)
Inflated cuff should not bulge tracheal wall.
Tip of ET should be above the carina and below thoracic inlet:
Neutral neck: 4–6 cm above carina
Flexed neck: moves tip inferiorly by 2 cm
Extended neck: moves tip superiorly by 2 cm
DDx for Atoll (Reverse halo)
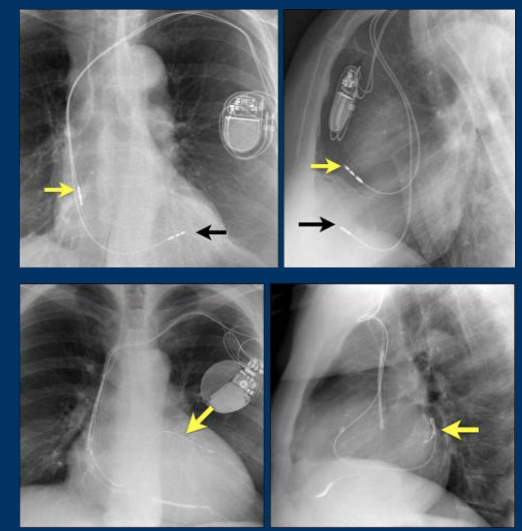
What devices are imaged?
Where are the leads placed?

1 PPM
2: Implantable cardioverter-defibrillator (ICD)

How often is a right sided Aortic arch a/w Congenital heart disease?
What are the top 5 associatied Congenital Heart diseases?

DDx of Pulmonary Edema in NewBorns
what does coronary dominance mean?
Dominance
4 Complications of Swan Ganz Catheter placement
Complications
https://litfl.com/pulmonary-artery-catheter/

most common location for bronchial atresia
apico-posterior segment of left upper lobe
Aortic Stenosis has which of the following on Xray

Aortic Stenosis has which of the following on Xray

ddx for small heart
Bentall procedure
composite graft replacement of aortic valve, aortic root, and ascending aorta with re-implantation of coronary arteries into graft
- used to treat combined aortic valve and ascending aorta disease, including Marfans
