
Epidemiology
Giant cell arteritis is the most common primary systemic vasculitis. It has an incidence of 200 per million persons per year 6. Typically affects older individuals with patients usually being older than 50, with a peak incidence between the ages of 70 and 80 3. There is a recognised female predilection.
Clinical presentation
There are many possible clinical features that present in a subacute fashion 10:
headache (most common) with or without scalp tenderness
systemic symptoms (e.g. fever, fatigue, weight loss)
jaw claudication
transient vision loss (amaurosis fugax)
permanent vision loss (e.g. due to anterior ischaemic optic neuropathy, central retinal artery occlusion, ischaemic stroke, etc.)
in such cases, there may be accompanying Charles-Bonnet syndrome
weak pulse over the affected arteries
bruits on auscultation over the affected arteries
clinical features of an aortic aneurysm or dissection if the aorta is involved
Pathology
It is histologically similar to other large vessel vasculitides (such as Takayasu arteritis) showing granulomatous inflammation of arteries with infiltration predominantly by histiocytes, lymphocytes, and multinucleated giant cells. The characteristic multinucleated giant cells are only found in ~50% of cases 1.
Areas of normal superficial temporal artery interspersed within inflamed sections of artery, known as skip lesions, results in false negatives in up to 8-28% of cases 12,13,15.
In a study of 285 patients with biopsy-proven giant cell arteritis there were 4 main histological patterns 12:
Adventitial pattern: inflammatory cells restricted to the adventitia.
Adventitial invasive pattern: local invasion of the media with preservation of the intima.
Concentric bilayer pattern: inflammatory infiltration of adventitia and intima with preservation of the media.
Panarteritic pattern: inflammatory infiltrates in the three arterial layers.
Location
Can potentially affect any medium to large-sized vessels, affecting the aorta (~20% of cases 7) and its major branches, particularly the extracranial branches of the carotid artery 6.
Markers
serum erythrocyte sedimentation rate (ESR): markedly raised
serum C-reactive protein (CRP): often markedly raised
Associations
polymyalgia rheumatica: seen in ~50% of cases
Complications
thoracic aortic aneurysms (more commonly ascending aorta) 7
aortic dissection (more commonly ascending aorta) 7
Radiographic features
Ultrasound
increased diameter of the superficial temporal artery and hypoechoic wall thickening (halo sign)
with duplex ultrasound, sensitivity is 87% and specificity is 96% 9
more specific for giant cell arteritis if bilateral 8
reversible under corticosteroid treatment; this is reflected in the normalisation of the sonographic features
stenosis may be present but is not a specific sign for giant cell arteritis 8
CT
Findings on CT include:
wall thickening of affected segments
calcification
mural thrombi
Arterial phase CT (angiography) is useful for assessing luminal abnormalities:
stenoses
occlusions
dilatations
aneurysm formation
MRI
T1 C+ (Gd)
the best sequence for assessment
shows mural inflammation very well 2,4
mean wall thickness increased in the affected region
luminal diameter correspondingly decreased in the affected region
reported approximate sensitivity and specificity is 80% and 97%, respectively 2
Treatment and prognosis
Treatment is with corticosteroid therapy and aspirin 11. Methotrexate may be used in combination with corticosteroid therapy initially, or as a corticosteroid-sparing drug 14.
Differential diagnosis
Imaging differential considerations include:
Takayasu arteritis: affects younger patients (<50 years) and affects more proximal vessels
atherosclerotic disease
Hickman line position?

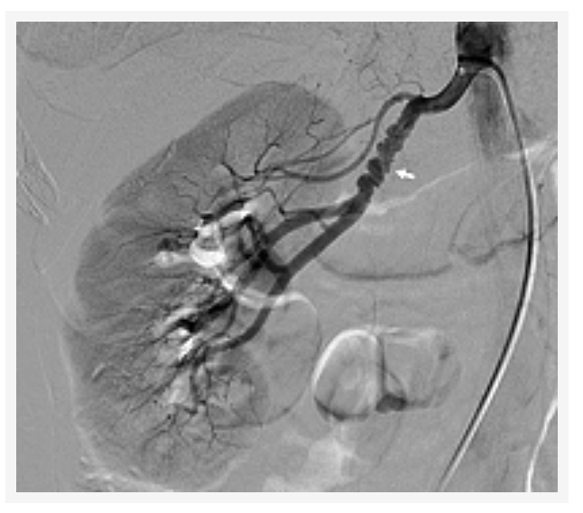
Most likely cause for RAS in Young female?
a. FMD
b. SLE
c. PAN
d. GCA
e. NF
Figure 1: Fibromuscular dysplasia of the right renal artery. The classic “beads on a string” appearance is typical of multifocal fibromuscular dysplasia, the most common type of FMD.
https://my.clevelandclinic.org/health/diseases/17001-fibromuscular-dysplasia-fmd
Renal Artery Stenosis
Maria R. Bokhari; Syed Rizwan A. Bokhari.
Author Information
Last Update: July 21, 2020.
Go to:
Introduction
Renal artery stenosis is narrowing of the one or both of renal arteries. It is the major cause of hypertension and according to some reports is the cause of hypertension in 1% to 10% of the 50 million people in the United States.[1] Atherosclerosis or fibromuscular dysplasia most often cause it. [2]Other associated complications of renal artery stenosis are chronic kidney disease and end-stage renal disease.[3]
Go to:
Etiology
There are two major causes of unilateral renal artery stenosis (RAS):
Atherosclerosis (60% to 90%): Atherosclerosis primarily affects patients (men over the age of 45 years) and usually involves the aortic orifice or the proximal 2 cm of the main renal artery. This disorder is particularly common in patients who have atherosclerosis, however, can also occur as a relatively isolated renal lesion. Any of the multiple renal arteries (occurring in 14% to 28%) may be affected. Risk factors for atherosclerosis include dyslipidemia, cigarette smoking, viral infection, immune injury, and increased homocysteine levels.
Fibromuscular dysplasia (10% to 30%): In contrast to atherosclerosis, fibromuscular dysplasia most often affects women younger than the age of 50 years and typically involves the middle and distal main renal artery or the intrarenal branches.
Other less common causes (less than 10%) include thromboembolic disease, arterial dissection, infrarenal aortic aneurysm, vasculitis (Takayasu arteritis, Buerger disease, polyarteritis nodosa, post radiation), neurofibromatosis type 1, retroperitoneal fibrosis.
Imaging Studies
Testing for the renovascular disease is warranted who fulfill following criteria:
The clinical findings suggest a cause of secondary hypertension rather than primary hypertension. There are a variety of clinical and laboratory findings that suggest renovascular disease as a cause of secondary hypertension as mentioned earlier
Other causes of secondary hypertension such as primary kidney disease, primary aldosteronism, or pheochromocytoma have been excluded before investigating for renal artery stenosis
A corrective intervention is planned if a clinically significant stenotic lesion is found.
The gold standard for diagnosing renal artery stenosis is renal arteriography. However, a variety of less invasive tests are being employed for evaluation for testing purposes. The choice of test should be based upon institutional expertise and patient factors. If the noninvasive test is inconclusive and the clinical suspicion remains high, conventional renal arteriography is recommended.
Duplex Doppler ultrasonography
Computed tomographic angiography (CTA)
Magnetic resonance angiography (MRA)[11]
Duplex Doppler Ultrasonography
Duplex ultrasonographic scanning is a noninvasive, relatively inexpensive technique that can be used in patients with any level of renal function. However, it is operator dependent and has variable sensitivity. Two approaches are used to detect RAS with Doppler Ultrasound.
Direct Visualization of the Renal Arteries: The first approach involves direct scanning of the main renal arteries with color or power Doppler US followed by spectral analysis of renal artery flow using an anterior or anterolateral approach. Owing to various factors essentially as gas interposition and the anatomy of the left renal artery, a complete examination of both renal arteries can be achieved in only 50%–90% of cases. Signal enhancement can be achieved by administering contrast agents that facilitate visualization of the renal arteries. Four criteria are currently used to diagnose significant proximal stenosis:
An increase in peak systolic velocity in the renal artery (the post-stenotic threshold for significant RAS is 100 cm/sec to 200 cm/sec is reported)
A renal-to-aortic peak systolic velocity ratio of greater than 3.5
Turbulent post-stenotic site
Visualization of the renal artery without any detectable Doppler signal, an observation that signals occlusion.
Analysis of Intra-renal Doppler Waveforms: The different segments of kidneys are scanned via trans lumbar approach systematically to detect a stenosis of a segmental or accessory renal artery. Quantitative criteria proposed for detection of significant RAS:
Acceleration of less than 370 cm/sec to 470 cm/sec. The early systolic acceleration seems to be the best predictor of renal artery narrowing
Acceleration time greater than 0.05 sec to 0.08 sec
Change in the resistive index (RI) of greater than 5% between the right and left kidneys. This value should be measured along the initial portion of the systolic rise and avoid including the late compliance peak
A dampened presentation (pulsus tardus) of an intrarenal Doppler waveform indicates stenosis
The presence of an early systolic peak can be interpreted as a sign of normality; however, the absence of an early systolic peak is not necessarily indicative of stenosis.[12]
Pathophysiology of RAS
RAS is best defined as the “narrowing of the renal arteries caused by heterogenous group of conditions including atherosclerosis, FMD, vasculitis, neurofibromatosis, congenital bands, and extrinsic compression and radiation”.1 Atherosclerosis is the most common cause accounting for 90% of the lesions causing obstruction to the arteries. The prevalence of Atherosclerotic Renal Artery Stenosis (ARAS) rises with age as well as with concomitant conventional cardiovascular risk factors. It is associated with hypertension and chronic kidney disease and seen in more than 40% of patients with peripheral vascular disease as well as 10%–14% of patients undergoing cardiac catheterization with renal angiography. In addition, “oxidative stress has been implicated in ischemic and hypertensive parenchymal renal injury related to ARAS”.1 “Historical data show that up to 27% of patients with ARAS will develop chronic renal failure within 6 years; additionally, studies have revealed that it is a cause of end-stage renal disease in 14% of patients in whom dialysis was newly initiated”.1
Moreover, the pathophysiology of the renin-dependent hypertension in patients with RAS due to fibromuscular dysplasia was first outlined by Goldblatt in the 1930s. His work has been expanded on to propose three distinct phases of renovascular hypertension that have previously been established in animal models. The stages include stage I (acute occlusion), stage II (occlusion for days/weeks), and stage III (occlusion prolonged for months). Elevated levels of both renin and angiotensin II characterize stages I and II. These elevated levels lead to elimination of obstruction and therefore in turn lead to normalization of both blood pressure and plasma renin/angiotensin II levels.1 In contrast, in stage III, plasma renin/angiotensin levels are no longer elevated and elimination of the obstruction does not lead to normalization of blood pressure”.1
Fibromuscular dysplasia
FMD is characterized by abnormal cell growth in the walls of arteries of the body. The majority of patients diagnosed with FMD are females with data from the United States FMD patient registry, suggesting that patients are typically diagnosed in their early 50s.2 FMD most commonly affects the renal, carotid, and vertebral arteries, and it is classified according to the layer of artery wall most involved.2 The most common is medial fibroplasia. A number of theories have been proposed regarding its cause including environmental factors, such as smoking, estrogen, as well as genetic factors; however, it continues to be an area of investigation.2 Signs and symptoms of FMD in the renal vasculature include high blood pressure, abdominal bruits, renal artery aneurysm, and renal artery dissection. Catheter-based angiography is the most accurate imaging technique, and angioplasty is recommended for patients with renal artery FMD who have uncontrollable blood pressure, intolerance to medications, or declining kidney function.2
Atherosclerotic renal artery stenosis
ARAS most commonly contains the ostium and the proximal third of the renal artery, as well as the adjoining aorta.1 However, segmental and diffuse intrarenal atherosclerosis may also be appreciated, especially in severe cases. On the basis of the American Heart Association, there are several clinical clues that help diagnose ARAS. These include the following:
Onset of hypertension before 30 years old or severe hypertension after 55 years old (Class I, level of evidence [LOE] B);
Accelerated, resistant, or malignant hypertension (Class I, LOE C);
Development of new azotemia or worsening renal function after administration of an angiotensin-converting enzyme inhibitor or angiotensin receptor blocker (Class I, LOB B);
Unexplained atrophic kidney or size discrepancy >1.5 cm between kidneys (Class I, LOE B);
Sudden, unexplained pulmonary edema (Class I, LOE B);
Unexplained renal dysfunction, including patients starting renal replacement treatment (Class IIA, LOE B);
Multivessel coronary artery disease or peripheral arterial disease (Class IIB, LOE B); and
Unexplained congestive heart failure or refractory angina (Class IIB, LOE C).
Caues of Renal Artery Aneurysms

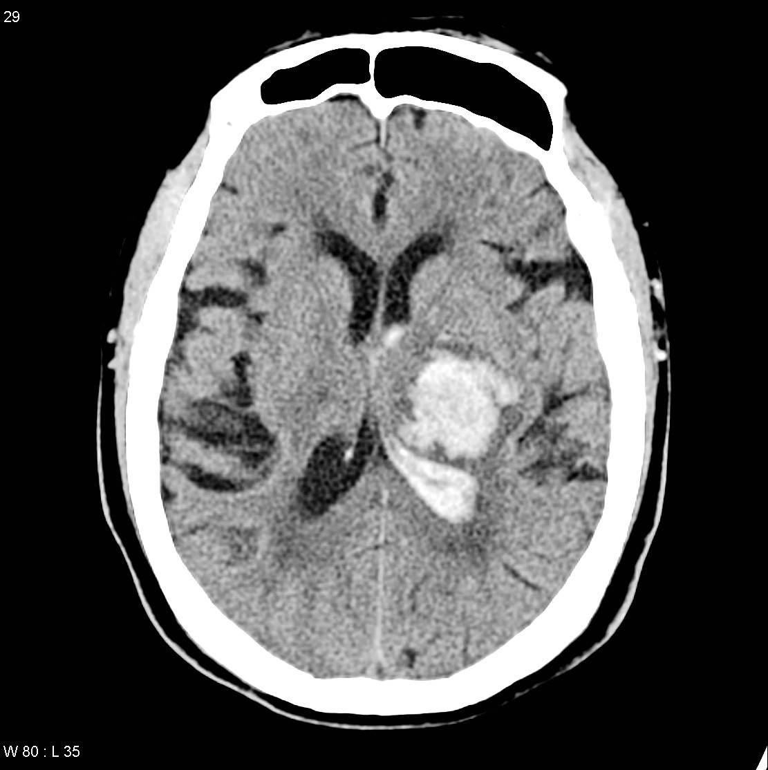
Case Non contrast CT of the brain demonstrates an acute intracerebral haemorrhage centred in the basal ganglia of the left hemisphere. There is extension into the ventricle (intraventricular haemorrhage), with blood forming a cast of the lateral ventricle, and passing into the third ventricle. There is no hydrocephalus at this stage.
This diagram depicts the Charcot Bouchard microaneurysms arising from perforating lenticulostriate arteries. These aneurysms typically arise from arteries no larger than 300 micrometres in diameter.
Brain section photo credit:
Charcot–Bouchard aneurysms are aneurysms of the brain vasculature which occur in small blood vessels (less than 300 micrometre diameter). Charcot–Bouchard aneurysms are most often located in the lenticulostriate vessels of the basal ganglia and are associated with chronic hypertension.
Charcot-Bouchard aneurysm
Dr Ammar Haouimi◉ and Dr Christina Loh et al.
Charcot-Bouchard aneurysms are thought to be minute aneurysms which develop along perforating arteries as a result of chronic hypertension, most commonly in the basal ganglia and other areas such as the thalamus, pons and cerebellum. They are believed to be the source of hypertensive haemorrhages.
Pathology
Charcot-Bouchard aneurysms are thought to be the result of lipohyalinosis as of small penetrating vessels (diameter <300 micrometres) secondary to chronic poorly controlled hypertension 1-3. This results in vessels with a defect in the muscular coat and only a thin intimal layer with some surrounding gliosis 3. Thus, Charcot-Bouchard aneurysms are prone to rupture, with the inability to control bleeding by vasomotor spasm 3.
They have, however, proven difficult to fully characterise and some authors have even cast doubt upon their very existence suggesting, instead, that they represent artifacts due to vessel tortuosity 6,7. Still others have suggested that they represent pseudoaneurysms which sometimes have been referred to as haemostatic globes, fibrin globes or bleeding globes 8.
Not only is there controversy over the nature and very existence of Charcot-Bouchard aneurysms but their incidence and whether or not they actually are the cause of haemorrhage is also disputed 8.
In any event, they should not be confused with saccular aneurysms found in larger intracranial vessels in the subarachnoid space 1,4.
History and etymology
These small parenchymal microaneurysms were first described in 1868 by Jean-Martin Charcot (1825-1893) and Charles-Joseph Bouchard (1837–1915) both French pathologists 5.

abdominal aortic aneurysm
Dr Sonam Vadera◉ and Associate Professor Donna D’Souza◉ et al.
Abdominal aortic aneurysms (AAA) are focal dilatations of the abdominal aorta measuring 50% greater than the proximal normal segment, or >3 cm in maximum diameter.
Epidemiology
represent the tenth most common cause of death in the Western world
prevalence increases with age
~10% patients older than 65 years have an AAA
males are much more commonly affected than females (4:1 male/female ratio)
Clinical presentation
Since most AAAs are asymptomatic unless they leak or rupture, they are commonly diagnosed incidentally during imaging for other indications.
Uncommonly, unruptured aneurysms may present with abdominal or back pain. Large aneurysms may present as a pulsatile abdominal mass.
Complications
The most significant complication is abdominal aortic rupture, which presents with severe abdominal or back pain, hypotension, and shock.
the mortality rate from a ruptured AAA is high
~70% (range 59-83%) of patients die before hospitalisation or surgery
for those who undergo operative repair, the mortality rate is ~40%
for comparison, mortality from elective surgical repair is 4-6%
ruptured abdominal aortic aneurysms are discussed in more detail separately
Other complications include:
pseudoaneurysm from chronic contained leak/rupture
aortic fistulas
aortocaval fistula
aortoenteric fistula
aorto-left renal vein fistula (very rare)
distal thromboembolism
thrombotic occlusion of a branch vessel
infection/mycotic aneurysm (actually a pseudoaneurysm)
compression of adjacent structures from large aneurysms (rare)
anterior vertebral scalloping
Pathology
Aetiology
atherosclerosis (most common)
inflammatory abdominal aortic aneurysm
chronic aortic dissection
vasculitis, e.g. Takayasu arteritis
connective tissue disorders
Marfan syndrome
Ehlers-Danlos syndrome
mycotic aneurysm
traumatic pseudoaneurysm
anastomotic pseudoaneurysm
Associations
common iliac artery (CIA) aneurysm
AAA extends into the common iliac arteries in 25% of cases 14
the vast majority of patients with CIA aneurysms have an AAA
isolated CIA aneurysms are rare 15
popliteal artery aneurysm
4% of patients with an AAA have a peripheral femoral or popliteal artery aneurysm 16
30-50% of patients with a popliteal artery aneurysm have an AAA
intracranial cerebral aneurysm
prevalence of ~10%, higher in females 13
Radiographic features
Role of imaging includes
detection of AAA
monitoring of growth rate
preoperative planning
postoperative follow-up
Plain radiograph
An aneurysm may be visible as an area of curvilinear calcification in the paravertebral region on either abdominal or lumbar spine radiographs. Although not adequate for AAA detection or follow-up, an x-ray may be sufficient for initial detection and diagnosis.
Ultrasound
Ultrasound is optimal for general AAA screening and surveillance, because it is fast, spares the use of ionising radiation and intravenous contrast, and is relatively inexpensive. The sensitivity and specificity approach 100% 19; however, it should be noted that visualisation is poor in 1% to 3% of patients due to patient habitus or overlying bowel gas 19.
Although excellent for following lesions, ultrasound does not provide sufficient detail for procedural planning or more complex lesions. Given a reported range in the measurement error of 4 mm 12, ultrasound cannot be reliably used in evaluation for endovascular treatments and assessment of regional branch vessels.
CT
CT angiography (CTA) is considered the gold standard for evaluation but exposes the patients to high radiation doses. It is excellent for pre-operative planning as it accurately delineates the size and shape of the AAA and its relationship to branch arteries and the aortic bifurcation. Oblique reformations enable accurate measurements in non-orthogonal planes. CTA is superior to ultrasound in detecting and measuring common iliac artery aneurysms.
Signs of frank rupture include:
retroperitoneal haematoma
para-aortic fat stranding
contrast extravasation from the aorta into the retroperitoneum
Signs of impending rupture or contained leakage:
draped aorta sign (contained rupture)
high-attenuation crescent sign
thrombus fissuration
focal discontinuity of intimal calcification
tangential calcium sign
An increasing diameter of the aneurysmal sac of 5 mm over a 6-month interval or a diameter of 7 cm are also considered to be at high risk for rupture and warrant urgent repair.
Dual-energy CT
Imaging of aortic aneurysms with dual-energy CT can be used to discern the difference between iodinated contrast, calcified atheroma, and previous grafts or surgical materials. Post-processing techniques can create virtual non-calcium or non-enhanced images. Dual-energy CT has several advantages over single-energy CT including delivering lower radiation doses, lower volumes of contrast, removing calcified plaques from the image to allow assessment of the degree of stenosis, and allows better assessment of endoleak 22.
Angiography (DSA)
Catheter-based angiography alone is inadequate for the pre-procedural evaluation of AAA. While digital subtraction angiography (DSA) is superb for delineating regional branch vessels, it can be misleading and mask true aneurysm size in the setting of mural thrombus.
MRI
MR angiography offers a lack of ionising radiation but is more costly, less widely available, and the examination is substantially lengthier.
Radiology report
Certain features and relevant negatives regarding AAA should be included in the radiology report - especially if this is a new or undocumented finding:
morphologymaximum transverse diameter of the aneurysmal sac
must be measured perpendicular to the longitudinal aortic axis
keep in mind that an aneurysm never decreases in size!
longitudinal length
shape (saccular/fusiform/eccentric)
any major kink
upper extent, relative to the renal arteries
lower extent, including extension into any branches
any side or visceral branches arising from the aneurysm
complications
signs of impending rupture
branch-vessel dissection
end vessel infarct (e.g. renal or splenic infarct)
relevant anatomy
diameters of the common femoral artery (CFA) and external iliac artery (EIA) for the planning of endovascular treatment
presence of aberrant renal veins (e.g. retroaortic or circumaortic left renal vein)
presence of accessory renal arteries
Also see: reporting tips for aortic aneurysms
Treatment and prognosis
The natural history of abdominal aortic aneurysms is variable; some small aneurysms do not appear to change, while others slowly expand and become at risk for eventual rupture 19,21. A number of clinical factors (e.g. smoking, gender, blood pressure) are known to contribute. Ultimately, the primary clinical question is whether and when to intervene to avoid aortic rupture.
In terms of imaging, there remains debate about the best criteria for predicting AAA rupture and therefore indications for operative intervention. Prognostic imaging criteria include:
maximum transverse diameter
most widely used and validated method 19,20
2018 Society of Vascular Surgery recommendations generally recommend intervention for AAA ≥5.4 cm, and surveillance for smaller diameter lesions 19
young, healthy (especially female) patients may benefit from intervention for lesions between 5.0 - 5.4 cm 19
most study data is based on fusiform aneurysms; it is debated whether the more uncommon saccular aneurysm is at higher risk for rupture at smaller transverse diameter 19
rate of aneurysm growth
enlargement in transverse diameter ≥5 mm in 6 months may be an indication for intervention 17
symptomatic lesions 19
In patients with a connective tissue disorder (e.g. Marfan syndrome), especially those with a bicuspid aortic valve, surgical treatment may be considered even with a diameter smaller than 5.0 cm.
Follow-up intervals for imaging an enlarged infrarenal abdominal aorta from initial detection 11:
<2.5 cm: follow-up not needed
>5.5 cm: treatment
Management options include:
surveillance (see above)
endovascular aneurysm repair (EVAR)
if the anatomy permits, EVAR is preferred vs open surgical repair
aneurysm-related mortality has been shown to be much lower with EVAR vs open surgical repair
resection (open surgical repair)

Draped aorta sign
Draped aorta sign
Dr Mohamed Saber and Dr Saeed Soltany Hosn et al.
The draped aorta sign is an important imaging feature that can be seen in contained rupture of an abdominal aortic aneurysm. It is highly indicative of aortic wall deficiency.
This sign is considered present when the posterior wall of an aortic aneurysm drapes or moulds to the anterior surface of the vertebra. Usually, the fat planes between the aneurysm and vertebra are lost 1-3.
Chronic contained rupture of an abdominal aortic aneurysm may cause vertebral erosions in up to 30% of cases 4,5.

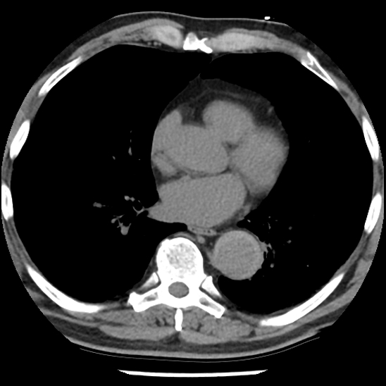
Aortic intramural haematoma (type B)
Case contributed by Assoc Prof Craig Hacking◉◈
Diagnosis certain
Presentation
Acute tearing intrascapular chest pain.
Hyperdense crescent sign of the aortic arch and descending aorta on non contrast imaging indicating intramural haematoma, which starts distal to the left subclavian artery origin. No dissection on the arterial phase. Minor enhancement of the descending aortic intramural haematoma anteriorly. Ascending aorta and arch vessels are normal.
Bilobed infrarenal AAA with mural thrombus terminates at the bifurcation. No features of complication.
No end organ infarction.
Early enhancement of the IVC and hepatic veins due to contrast reflux from the right atrium into IVC (passive hepatic congestion).
Case Discussion
Features indicate a type B aortic intramural haematoma (IMH) which is part of the acute aortic syndrome.
The patient’s BP was 180/120 mmHg.
Aortic intramural haematoma
Dr Mohamed Saber and Assoc Prof Frank Gaillard◉◈ et al.
Aortic intramural haematoma (IMH) is an atypical form of aortic dissection due to haemorrhage into the wall from the vasa vasorum without an intimal tear. It is part of the acute aortic syndrome spectrum.
Epidemiology
Typically aortic intramural haematomas are seen in older hypertensive patients. The same condition may also develop as a result of blunt chest trauma with aortic wall injury or a penetrating atherosclerotic ulcer 1,2.
Clinical presentation
The clinical features of IMH are those of the acute aortic syndromes, namely chest pain radiating to the back and hypertension.
Pathology
This condition is thought to begin with spontaneous rupture of the vasa vasorum, the blood vessels that penetrate the outer half of the aortic media from the adventitia and arborize within the media to supply the aortic wall 2.
The haematoma propagates along the medial layer of the aorta.
Consequently, intramural haematoma weakens the aorta and may progress either to outward rupture of the aortic wall or to inward disruption of the intima, the latter leading to a communicating aortic dissection 2.
Classification
Similar to aortic dissections, intramural haematomas are classified according to the Stanford classification 4:
type A: involves the ascending aorta, with or without descending aortic involvement
type B: confined to the descending aorta, distal to the origin of the left subclavian artery
The DeBakey classification can also be used 5.
Radiographic features
CT
Acute intramural haematomas appear as focal, crescentic, high-attenuating (60-70 HU) regions of eccentrically thickened aortic wall on non-contrast CT (high-attenuation crescent sign). Narrow window width is essential for identifying subtle lesions 6. Intimal calcification may be displaced inwards, best appreciated on the non-contrast phase.
The lesions exhibit low attenuation in relation to the aortic lumen on post-contrast CT and can be far more subtle, hence a non-contrast phase before CTA is often done in an acute aortic syndrome protocol. Unlike aortic dissection, no intimal flap is present on the CTA.
Echocardiography
An intramural haematoma (IMH) may be readily visualised with transoesophageal echocardiography, which offers superior visualisation of the aorta than is usually available via transthoracic examinations. Defining features include 10:
crescentic thickening of the aortic wall
normal aortic wall thickness < 3 mm
wall thickness must exceed 7 mm to diagnose IMH
wall demonstrates mixed echogenicity
predominantly echodense with scattered internal echolucencies
no internal flow detectablecolour flow Doppler interrogation important to differentiate from aortic dissection
the true lumen of a dissection will demonstrate systolic flow
variable flow patterns may be present in a false lumen, which tends to expand in size during diastole
lack of an intimal (dissection) flap
the luminal surface in IMH tends to be smooth and continuous
Other modalities
MRI may also detect the abnormality but conventional angiography will not.
Treatment and prognosis
If an intramural haematoma involves the ascending aorta (Stanford A), treatment is surgical to prevent rupture and progression to a classic aortic dissection.
Conservative management is indicated for an intramural haematoma of the descending aorta (Stanford B).
77% of intramural haematomas regress at 3 years
survival of >90% at 5 years 7
Untreated, an intramural haematoma can be life-threatening as it can lead to:
aortic rupture
aortic dissection
aortic aneurysm
Differential diagnosis
The main differential diagnoses are:
thrombosed false lumen in classic aortic dissection: typically spirals longitudinally around the aorta whereas an intramural haematoma usually maintains a constant circumferential relationship with the aortic wall
aortitis: typically shows concentric uniform thickening of the aortic wall with or without peri-aortic inflammatory stranding, whereas an intramural haematoma is often eccentric in configuration

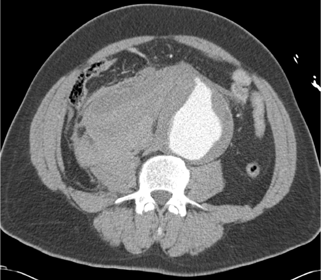
CT angiogram demonstrates an irregular lobulated saccular aneurysm arrising from the posterior aspect of the abdominal aorta at the level of the renal vessels. There is an incomplete rim of peripheral calcification and adjacent collections within the right diaphragmatic crus and adrenal gland. A second smaller aneurysm of the anterior aspect of the aorta is seen more inferiorly. There is a wedge-shaped region of hypoattenuation in the left renal upper pole.
Interpretation: Findings are consistent with mycotic aneurysm of the abdominal aorta with adjacent abscesses and left renal embolic infarct.
Case Discussion
Findings are consistent with mycotic aneurysm of the abdominal aorta with adjacent abscesses and left renal embolic infarct.
Staph. aureus was confirmed as the causative organism.