
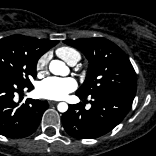
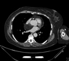
Anomalous origin of both coronary arteries from left sinus of Valsalva
RCA is ectopic
Anomalies of course:
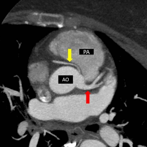
Axial MIP image shows common origin of RCA and left main coronary artery from left aortic sinus. Anomalous inter-arterial course of RCA between aorta (AO) and pulmonary artery (PA).

Anomalous origin from opposite coronary sinus
https: //www.jbsr.be/articles/872/print/
3a: Coronary CT angiography showing the origin of left main coronary artery (black arrow) from the right coronary sinus with prepulmonic course; 3b:Coronary CT angiography showing the anterior interventricular vein (black arrow) draining directly to the left atrium.
The illustration in the left upper corner is the most common and clinically significant anomaly.
There is an anomalous origin of the LCA from the right sinus of Valsalva and the LCA courses between the aorta and pulmonary artery.
This interarterial course can lead to compression of the LCA (yellow arrows) resulting in myocardial ischemia.
The other anomalies in the figure on the left are not hemodynamically significant.
https://radiologyassistant.nl/cardiovascular/anatomy/coronary-anatomy-and-anomalies

What are the most common forms of Congenital heart disease?
The most common structural defects are:
most of which are asymptomatic.

2 Anomalies of coronary artery termination
What is 3 on this diagram?

Variant anatomy
Kugel artery: collateral that connects the SA nodal artery and the AV nodal artery (anastomotic artery magnum)

What is labeled ‘1’ on this diagram?

Vieussens ring: collateral branches from right conus artery to LAD.

What are the 3 stages of Atherosclerotic CAD?
Atherosclerotic CAD ( Fig. 2.78 )
Now recognized as an inflammatory condition with established cascade of events. Three stages:

What are the 7 main risk factors for coronary artery disease?
What is the treatment for coronary artery disease?
Treatment
What is the annual mortality of:
What two factors double mortality?
Annual Mortality
What are the radiographic features of Coronary Artery disease?

Radiographic Features

Stenosis of ___ is considered significant in all coronary arteries except ___ in which threshold is ___.
Stenosis of >70% (CAD-RADS ≥4) is considered significant in all coronary arteries except left main, in which threshold is 50%.
Stenosis occurs primarily in which arteries?
Coronary angiography
Stenosis occurs primarily in:
Proximal portions of major arteries
LAD > RCA > LCx
Collaterals develop if____ of the coronary diameter is obstructed;
two types of anastomosis:
Collaterals develop if >90% of the coronary diameter is obstructed; two types of anastomosis:
What are the 6 common pathways of intercoronary anastomoses?
Common pathways of intercoronary anastomoses ( Fig. 2.79 ) in descending order of frequency are:

In left ventriculography, which view is the most helpful?
What can you evaluate?
Left ventriculography

What is CAD RADS
what are the different scores?

Presentation
Anterior ischaemia on ECG.
Patient Data
Age: 25 years
Gender: Female

Kawasaki Disease (Mucocutaneous Lymph Node Syndrome)
Case courtesy of Assoc Prof Craig Hacking, Radiopaedia.org, rID: 35218
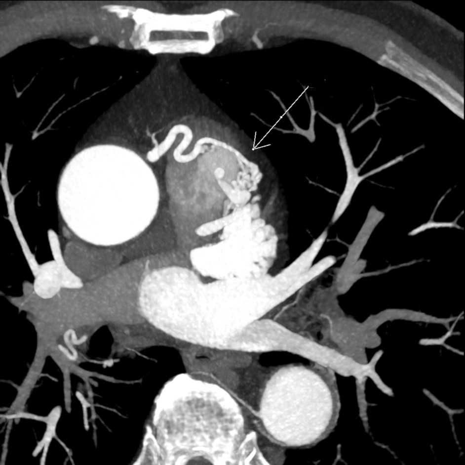
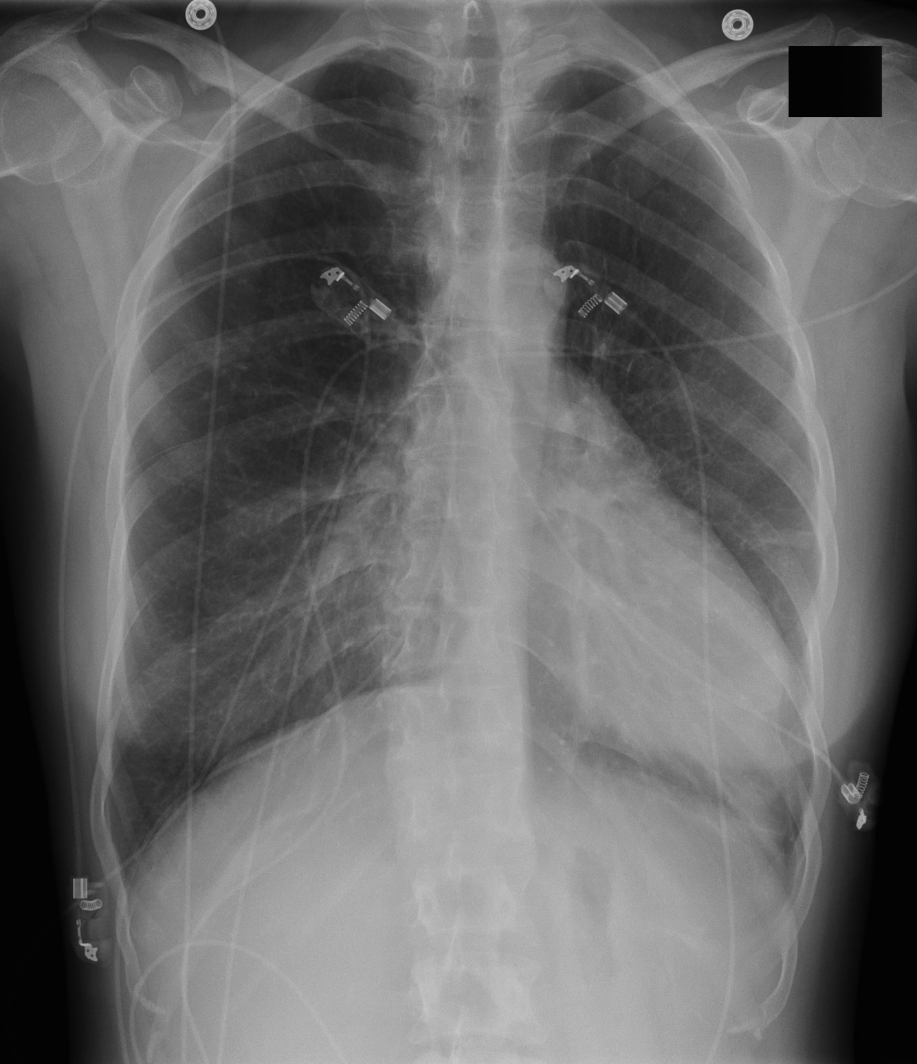
25F hx of Kawasaki and AMI at 8months old.
Right Coronary Artery (RCA): 2 fusiform aneurysms without thrombosis- 1) proximal segment 15 mm long and 8 mm in diameter with mural calcification and 2) mid segment 7 mm long and 6.5 mm in diameter at the origin of a small AM branch.

What are the rad features of Kawasaki Disease?
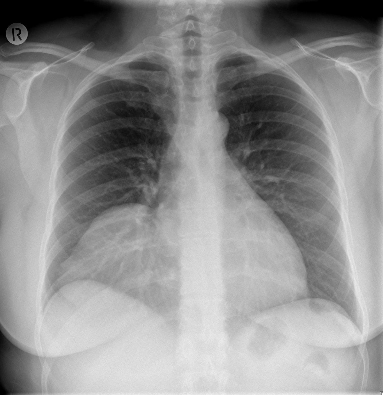
What sign is this?
What is the anatomy of the structure associated with this sign?

Pericardium Normal Anatomy


Congenital Absence of the Pericardium
Pericardial agenesis (partial) is a rare cardiac defect. Radiologically, it presents with the following :
levoposition of the heart
prominent pulmonary artery
air interface in the aorto-pulmonary window or between the base of the heart and the diapgragm
CT-scan is better than MRI for this diagnosis, since it has better spatial resolution. The pericardial defect will be seen. A complete pericardial defect is a benign condition, while patients with partial agenesis may have cardiac herniation through the defect. They should be managed surgically.
* **Case courtesy of Dr Maxime St-Amant, Radiopaedia.org, rID: 20695**

What is the dx?
What is the underlying pathology?
% that are asymptomatic
Case Discussion
The patient underwent excision of this mass via a VATS procedure. Histology demonstrated a pericardial (mesothelial) cyst.
What are the 6 broad categories of causes of Pericardial effusion?
16 causes


What is the dx?
What volume of fluid is required to be detectable?
what sign is this?

Radiographic Features ( Fig. 2.80 )
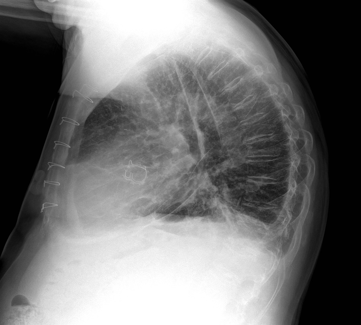
67-year-old male with history of prosthetic aortic valve stenosis, now with dyspnea on exertion and lower extremity swelling
Vertical retrosternal opaque stripes representative of possible pericardial effusion (“oreo cookie sign”).
https://www.auntminnie.com/index.aspx?sec=olce&sub=mlib&pag=cpages&ce_id=12564&pno=1
