What has similar pattern as ATN but occurs later in the posttransplant period.
Cyclosporine toxicity has similar pattern as ATN but occurs later in the posttransplant period.
What are the imaging features of chronic Cystitis?
What is this condition?

Imaging Features
https://www.liebertpub.com/doi/10.1089/cren.2017.0010
Describe the staging of bladder cancer
Staging
T1: mucosal and submucosal tumors
T2: superficial muscle layer is involved
T3a: deep muscular wall involved
T3b: perivesicular fat involved
T4: other organs invaded
N: the presence and distribution of malignant adenopathy affects the prognosis.
https://pubs.rsna.org/doi/10.1148/rg.322115125


Malacoplakia
Rare inflammatory condition that most commonly affects the bladder.
Yellow-brown subepithelial plaques consist of mononuclear histiocytes that contain Michaelis-Gutmann bodies.
On IVP, multiple mural filling defects with flat or convex border are seen, giving a cobblestone appearance.
Obstruction is a rare complication.
Mimics Malignancy.
How often do perirenal fluid collections occur in renal transplants?
What % persist?

Perirenal Fluid Collections
Perirenal fluid collections occur in 40% of transplants.
The collections persist in 15%.
Lymphocele with pressure effect on Tx Kidney

What are 4 causes of this condition?
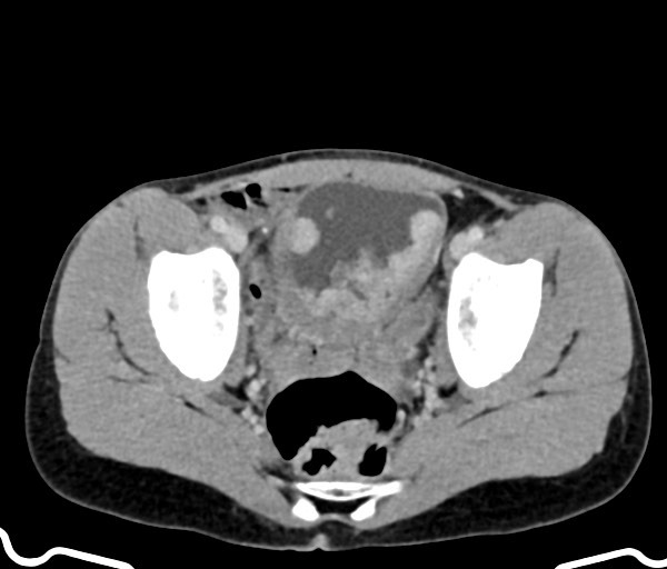
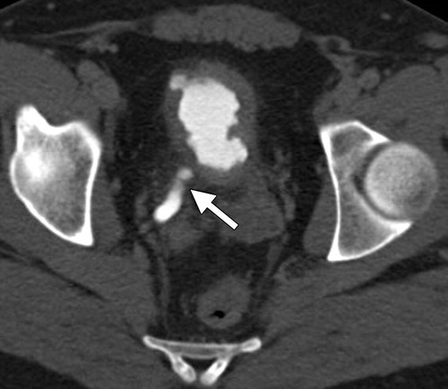
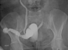
Vesicovaginal fistula:
Case courtesy of Dr Ian Bickle, Radiopaedia.org, rID: 48793
What are the imaging features of ATN?
on US
on MAG3
on Urogram

Imaging Features
Striated Nephrogram:
Case courtesy of Dr David Cuete, Radiopaedia.org, rID: 28077
Radiographic features
Imaging demonstrates preserved renal parenchyma perfusion, but with minimal or absent excretion into the urinary collecting system.
Fluoroscopy / CT urography
Imaging with iodinated contrast typically demonstrates an immediate or mildly delayed nephrogram, but without excretion into the collecting system. Delayed 24 hour imaging would also demonstrate persistent nephrogram or striated nephrogram due to stasis of contrast within the renal tubules 3,4.
Ultrasound
Ultrasound is usually performed in this setting to assess the renal parenchyma and exclude other causes of obstruction. In acute tubular necrosis, the kidneys usually have a normal appearance on ultrasound, but may be enlarged and increased echogenicity 5.
What are 3 causes of Bladder adenocarcinoma?
Adenocarcinoma, 2%
What are 5 causes of bladder outlet obstruction in children?
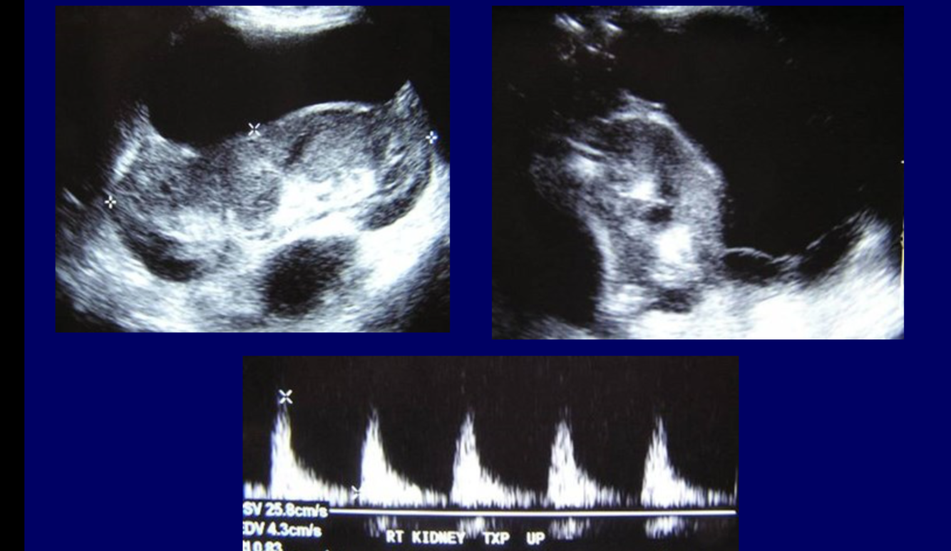
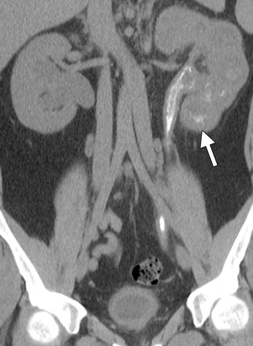
What are the signs of renal vein thrombosis in the kidneys on USS?
Early and late phases

Kidneys
https://www.eurorad.org/case/4596

What are the imaging features of this?

Schistosomiasis
Imaging Features
Figure 2 Photomicrograph (original magnification, ×200; hematoxylin-eosin stain) shows a fresh ovum from S haematobium, floating in a human urine specimen. Note the terminal spine at one end of the ovum.
Adult schistosomes do not usually cause an inflammatory reaction in the venous system. In fact, their presence there is associated with increased protection of the host against reinfection by cercariae. In general, dead eggs and dead flukes cause a more severe inflammatory reaction than living ones do (22).
Pathologic changes in the urinary tract due to schistosomiasis are far more common in chronic infections than in acute ones. Such changes result from the deposition of eggs (not adult flukes) in and around vessels, which leads to chronic inflammatory lesions and induces an immune response with granuloma formation and associated fibrotic changes (23).
https://pubs.rsna.org/doi/10.1148/rg.324115162

What are the four types of
Congenital urachal anomalies?
The majority of patients with urachal abnormalities (except those with a patent urachus) are asymptomatic.
However, these patients may become symptomatic if these abnormalities are associated with infection.

What are the 7 causes of Acute Tubular Necrosis?
2 categories
which category is more common?
What are the imaging features of Leukoplakia?
What is the significance of Leukoplakia?
What are the signs of RVT on IVP?
What sign is this?

Delayed nephrogram
IVP:
https://pubs.rsna.org/doi/pdf/10.1148/radiographics.6.6.3685518

What is Bladder Leukoplakia a/w?
What is the underlying pathological process
Leukoplakia
Squamous metaplasia of transitional cell epithelium (keratinization).
Associated with:
Bladder > renal pelvis > ureter
r. Premalignant? Clinical findings include hematuria in 30% and passage of desquamated keratinized epithelial layers.
What are the findings of FLOW and Excretion with the following?
(NUCLEAR SCANS, INTRAVENOUS PYELOGRAM)



Paroxysmal Nocturnal Hemoglobinuria
Rare acquired hemolytic disorder. The renal cortex appears hypointense on T2/T2* because of hemosiderin deposition.
Case courtesy of Dr Hani Makky Al Salam, Radiopaedia.org, rID: 14460
Radiopedia:
Pathology
https://www.youtube.com/watch?v=6OwlmIMU7L4

What are 6 vascular complications RE renal Transplant?
For each what are the causes/treatment options?
Vascular Complications
What rarely occurs after 1 month post renal transplant?
ATN rarely occurs beyond 1 month after transplant.
What are the imaging features of bladder cancer?
What is the preferred modality for local staging?
Imaging Features
SIGN
What sign is seen here?

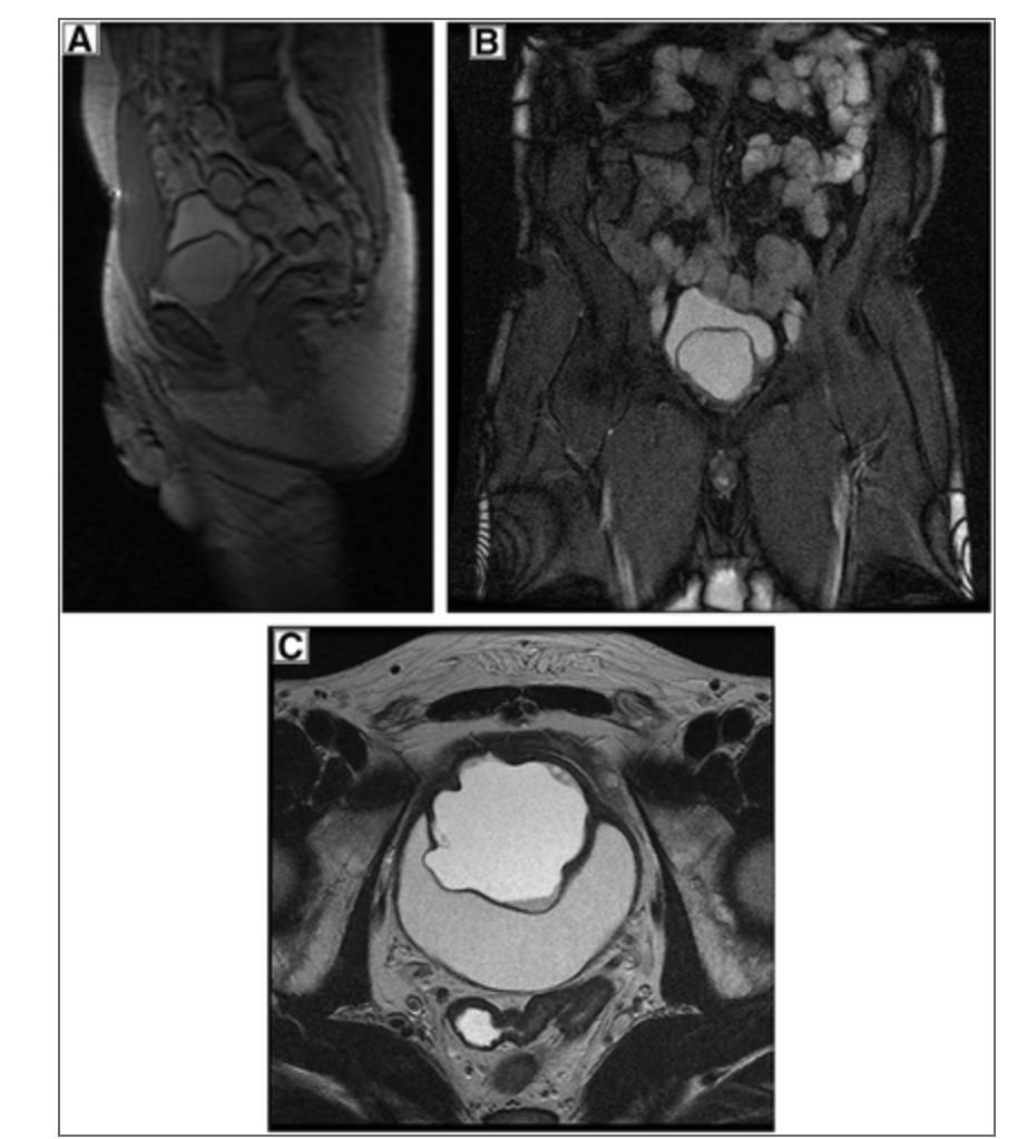
Tuberculosis
https: //www.researchgate.net/figure/Thimble-bladder-Axial-image-A-and-curved-MPR-in-the-coronal-plane-B-of-the_fig5_315832565
https: //pubs.rsna.org/doi/10.1148/rg.323115004


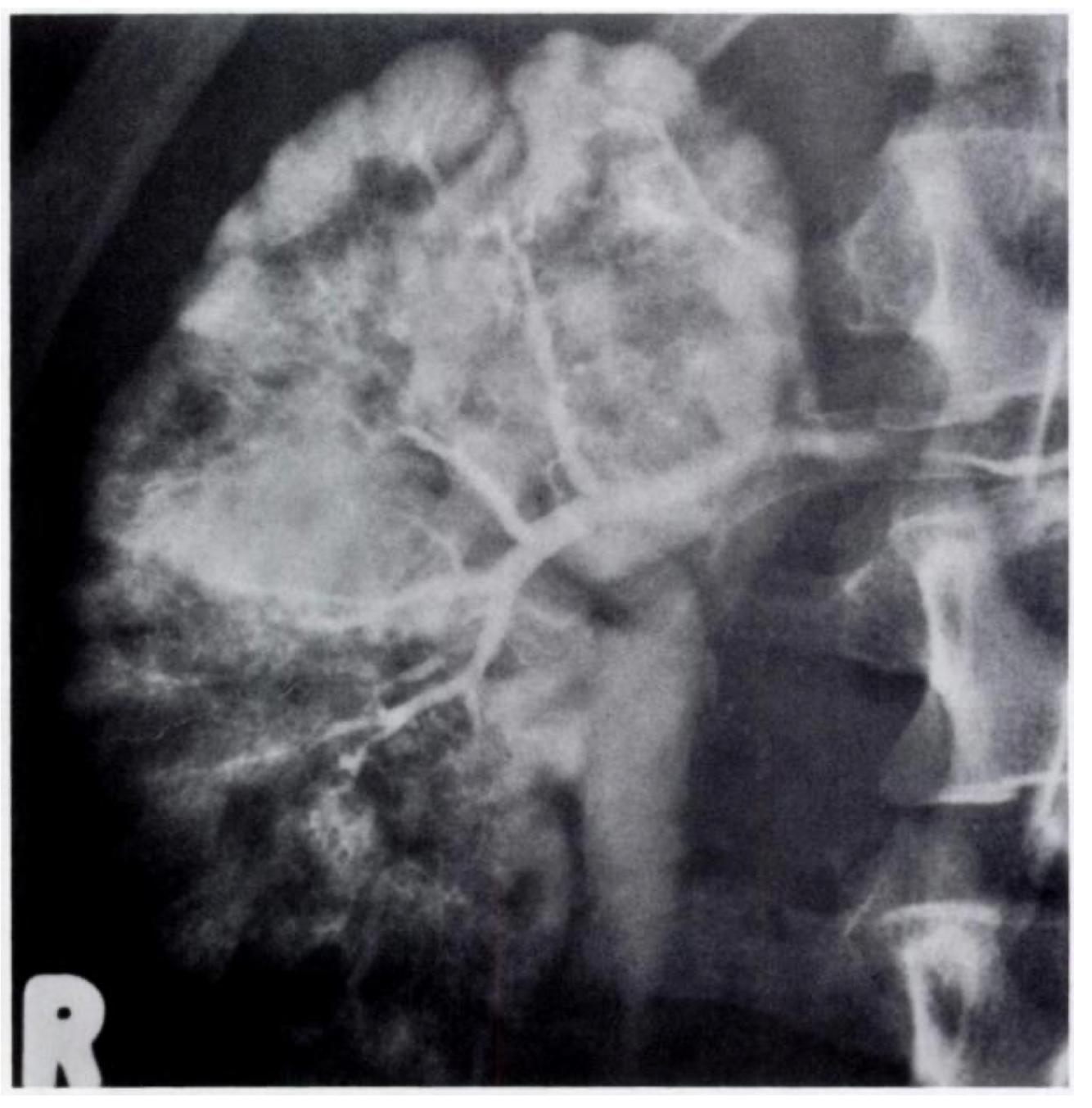
SPOTTED NEPHROGRAM
Figure 5A
A late arterial phase from an aorto- gram shows bilateral spotted neph- rognams in a patient with polyartenitis nodosa.
Figure 5B
This is a late phase from a selective renal arteniogram in the same patient; it demonstrates occlusion of multiple peripheral vessels with cortical irregu- lanity.
https://pubs.rsna.org/doi/pdf/10.1148/radiographics.6.6.3685518

What is the only renal process with normal renal flow but reduced excretion.
ATN is the only renal process with normal renal flow but reduced excretion.