RE USS and Renal Tract Obstruction
What is the sensitivitiy for dectection of chronic obstruction?
What is the sensitivity for acute obstruction?
US
What are 6 indications of partial nephrectomy in patients with RCC?
Indications for Partial Nephrectomy in Patients With RCC
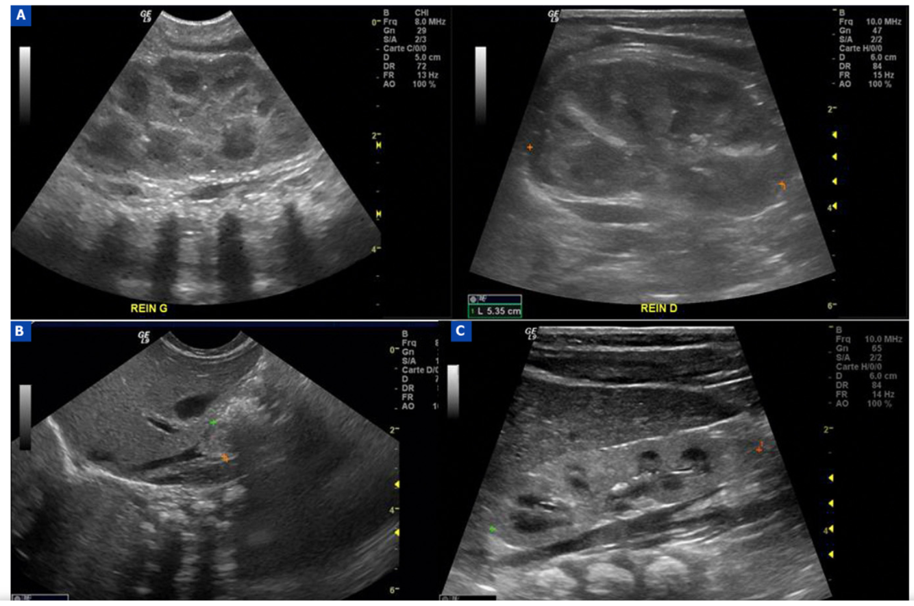
2 Common causes of false-negatives on USS examinations for Renal tract obstruction
Common causes of false-negative examinations:
Prostate abnormalities a/w AIDS
2
Prostate Abnormalities
What are 3 causes of this condition?
What are 4 underlying disease?

Renal Abscess
Usually caused by gram-negative bacteria, less commonly by Staphylococcus or fungus (candidiasis). Underlying disease: calculi, obstruction, diabetes, AIDS.
7 Testicular abnormalities A/W AIDS
Testicular Abnormalities
What is the pathophysiology of this conditoin?
What does this condition never effect?

Renal Papillary Necrosis (RPN)
RPN represents an ischemic coagulative necrosis involving variable amounts of pyramids and medullary papillae.
RPN never extends to the renal cortex.
This picture shows the “Ball on tree” appearance of Medullary type RPN
https://www.ctisus.com/responsive/learning/exhibit/genitourinary/311982

CT findings of Renal stones
CT

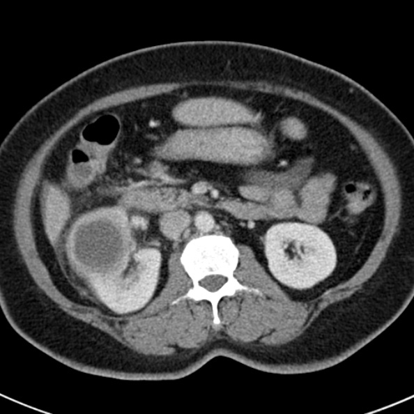
Pyelorenal Backflow
Backflow of contrast material from collecting system into renal or perirenal spaces. Usually caused by increased pressure in collecting system from retrograde pyelography or ureteral obstruction.
(lymphatic type)
https://www.tandfonline.com/doi/pdf/10.3109/00016925309175821

What are the 5 causes of RVT in Adults?
RVT may be caused by many conditions:
PATHOLOGY Specimen
What is this condition?
What is the cell type involved
What are the 2 forms?
What is the underlying condition a/w this?

Xanthogranulomatous Pyelonephritis (XGP)
Case courtesy of Assoc Prof Frank Gaillard, Radiopaedia.org, rID: 9949
What are the indications for angiography in Renal Trauma?

Indications for angiography:
This case is not of trauma, Spont haematoma renal IGA but it does show non-opacification of the kidney on an IVP as an example.
https://www.researchgate.net/publication/6852479_Spontaneous_renal_pelvic_haematoma_mimicking_cancer_in_IgA_nephropathy/download
What is this?
What are the types?
Symptoms?

PyeloCalyceal Diverticulum
A 47-year-old male with right flank pain. (a) A magnified view from a control film of an intravenous urogram (IVU) demonstrates a 2 cm opacity in the right upper quadrant (arrow). This image clearly shows that the opacity is made up of multiple tiny calculi rather than a single large calculus, which should raise the suspicion that they lie within a calyceal diverticulum. (b) An oblique radiograph from a retrograde pyelogram study elegantly depicts the short, narrow infundibulum of a calyceal diverticulum arising from a mid-pole calyx (arrow).
https://www.birpublications.org/doi/10.1259/bjr/22591022
MNEMONIC
What are the causes of Cortical Nephrocalcinosis?
GOAT
Mnemonic
What are the 3 categories of radio-opaque calculi?
4 types/contents
Which is most common?
Which is associated with infection?
Which is a/w stag horn calculi?
What is the following disease?
who does it happen do?
What are the imaging findings?

Candidiasis

What are the progressive stages of RPN?
two types

What are 4 complications of UTI?
Complications
Re renal trauma, what are the most common mechanisms?
Mechanism
SIGN
What are TB findings in the renal collecting system?
What sign is this?

Collecting system
https://www.slideshare.net/muhammadbinzulfiqar5/18-filling-defects-in-the-ureter

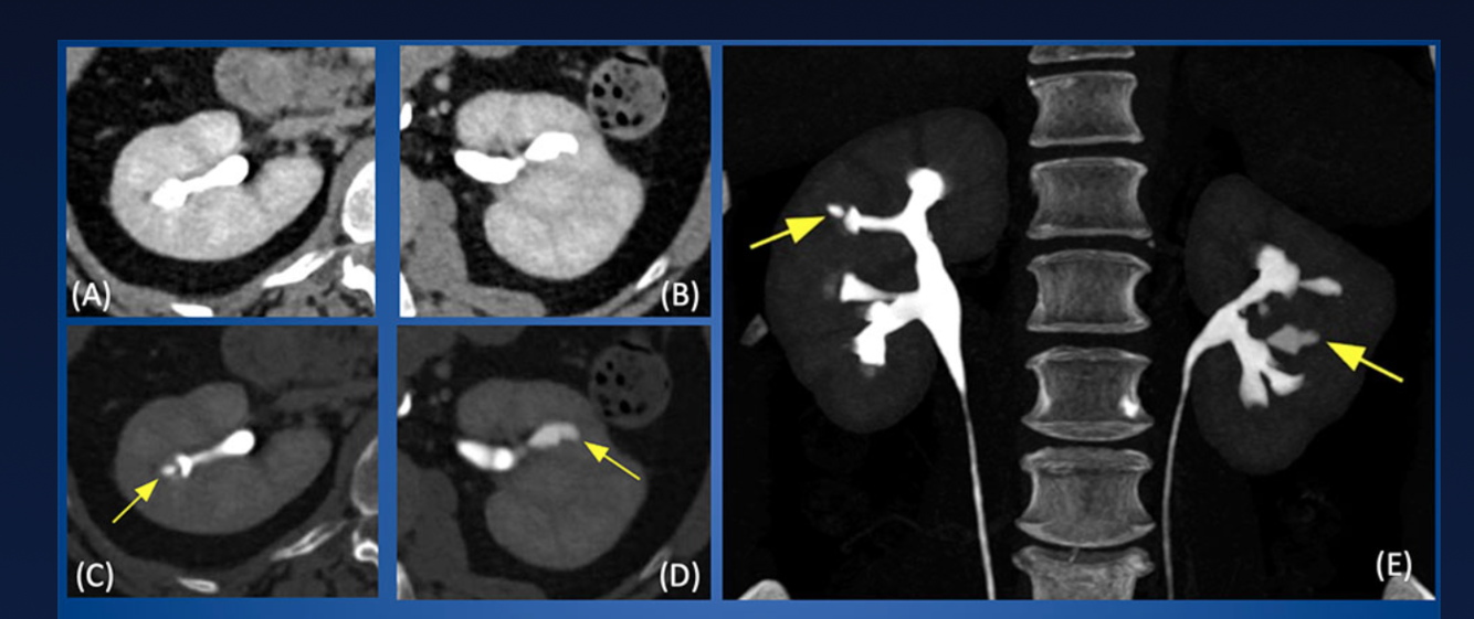
What are the imaging features of renal vein thrombosis
(in the renal vein)

Imaging Features
https://www.semanticscholar.org/paper/[Neonatal-renal-venous-thrombosis%3A-the-recent-of-Michot-Garnier/fcb8c065ed07786bcdc0810a6561e52259f55535
What is this?
What are the imaging features?

Imaging Features of Calyceal Diverticulum
https://www.birpublications.org/doi/10.1259/bjr/22591022
Figure 4
A 50-year-old female with left flank pain. (a) Two radiographs from an intravenous urogram (IVU) study: 20 min (left) and post-micturition (right). The images demonstrate contrast opacifying a lower pole calyceal diverticulum containing numerous calculi (arrow). Further opacification of the diverticulum is evident on the later film (right-hand image; arrow), highlighting the need for delayed images. Note that the infundibulum cannot be seen on either radiograph. (b) Coronal and transverse images from an MR urogram identify the lower pole calyceal diverticulum on the left side (arrow). Multiple areas of low signal are identified within the diverticulum and correspond to calculi (arrow).
RE renal stones, what are 6 indications for percutaneous Nephrostomy?
Indications for Percutaneous Nephrostomy
Where does this tumour arise from?
What is the unique growth pattern?

Collecting Duct Carcinoma
