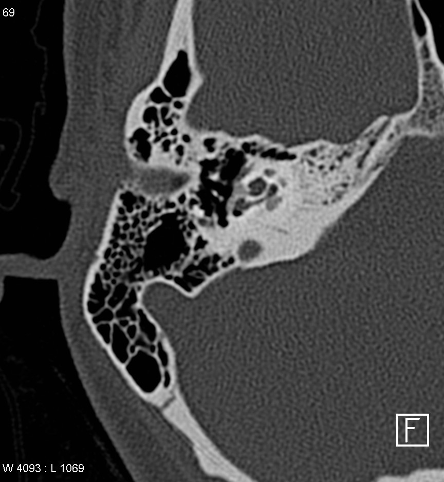
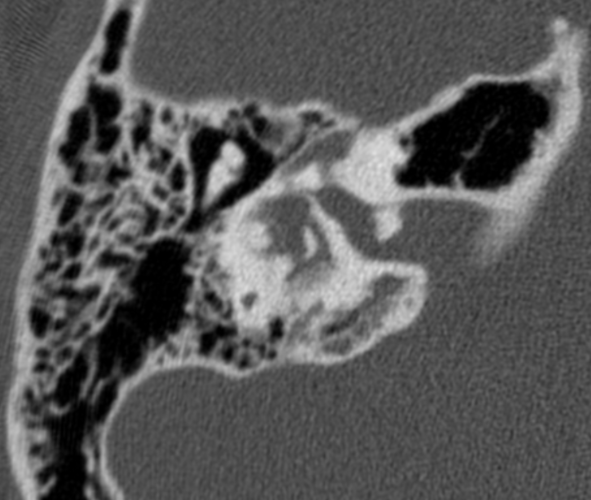
cochlear aplasia
The labyrinth is abnormal with the cochlear absent (cochlear aplasia). The vestibule, semicircular canals and ossicles are present.
Cochlear aplasia, or complete absence of the cochlea is a rare anomaly which accounts for only 3% of cochlear malformations.
Radiographic features
Which benign H+N tumour is comprised of Epithelial and lymphoid cells.
Warthins Tumour

what is this?


rad features of this tumour
Typical location

Glomus vagale tumours are paragangliomas that occur along the path of the vagus nerve (CN X). They are a subset of extra-adrenal neuroendocrine tumours that are derived from the nonchromaffin paraganglion cells.
Clinical presentation
Typically presents as a painless mass behind the carotid artery. Vocal cord paralysis is a relatively frequent finding (~47%) 3.
Location
Although they could occur at a similar position to carotid body tumours they tend to be more rostral in location and do not widen the carotid bifurcation. They displace the internal and external carotid arteries anteriorly, and the internal jugular vein posteriorly 1.
Case courtesy of Dr Ashwin M Polnaya, Radiopaedia.org, rID: 5926

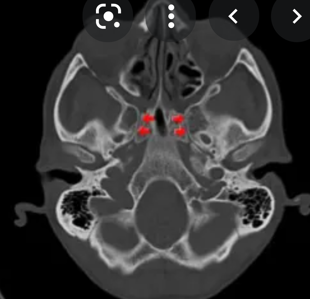
Contents of Foramen Ovale
V3
accessory meningeal artery
Otic ganglion
Contents of Foramen Rotundum
V2
artery of foramen rotundum
emissary veins
What are Glomus tumours?
AKA
What do they arise from?

The scala tympani of the basal turn of the cochlea is the most commonly affected site 10.
CT
High-density bone deposition within the membranous labyrinth:
mild disease: hazy increase in density within fluid spaces of the membranous labyrinth
moderate disease: focal areas of bony encroachment on fluid spaces of the membranous labyrinth
severe disease: membranous labyrinth completely obliterated by bone replacing fluid spaces
MRI
loss of normal high signal of fluid within the membranous labyrinth is seen on heavily T2 weighted images (as low signal intensity foci in the labyrinth)

What is this?
Case courtesy of Dr Mohammad A. ElBeialy, Radiopaedia.org, rID: 23924
what does the anterior skull base consist of?
Broadly consists of floor of the anterior cranial foss and the roof of thenose, ethmoid air cells and orbits.
what is the pterygopalatine fossa
Contents of the Optic Canal
3
What are the different types of Glomus tumours?
4
types

what does the central skull base consist of?
what are the 2 types of fractures of the temporal bone?
which is more common?
Typically involves?
Which one involves the ossicles?
Which one involves the TM?
which is more likely to cause facial paralysis?



Terminology
The term otosclerosis is somewhat of a misnomer. Much of the clinical course is characterised by lucent rather than sclerotic bony changes and hence it is more appropriately known as otospongiosis which is a term preferred by many head and neck radiologists.
Contents of the vidian canal
Petrous malformations a/w recurrent meningitis

Craniodiaphyseal Dysplasia
Craniodiaphyseal dysplasia is a very rare autosomal recessive disorder which is typically presented in infancy and characterised by severe form of bone dysplasia, massive bone sclerosis and hyperostosis. This process of bone changes characteristically affects the facial bones resulting in severe facial deformity.
https://www.sciencedirect.com/science/article/pii/S2214541919300392

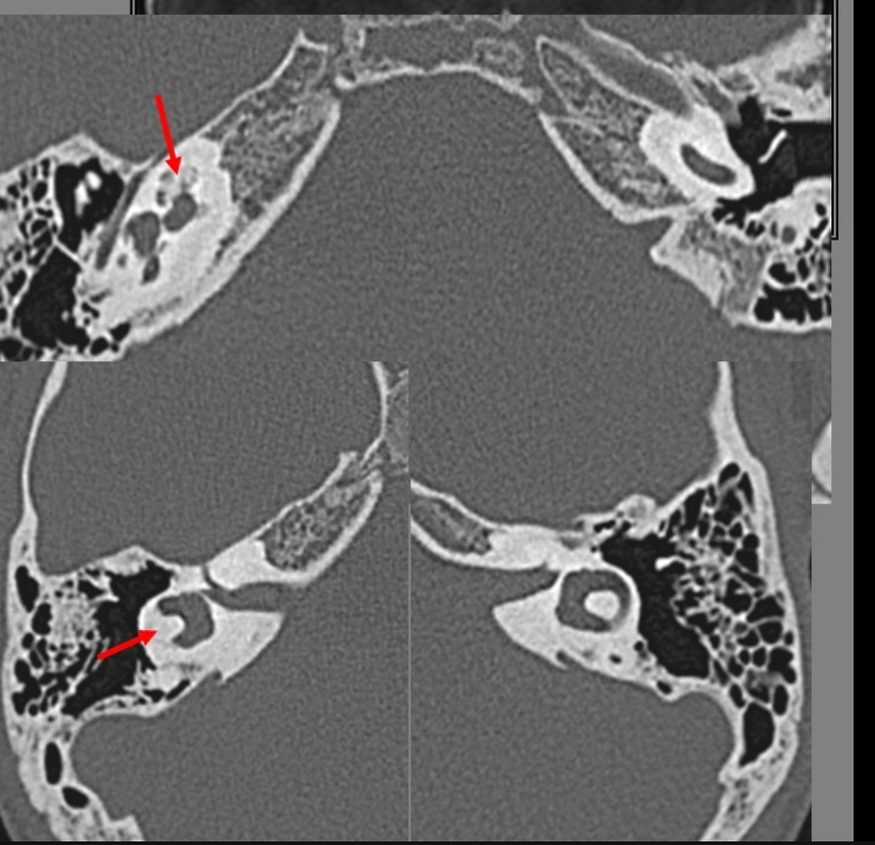
What are the complications of Acquired Cholesteatoma?
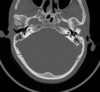
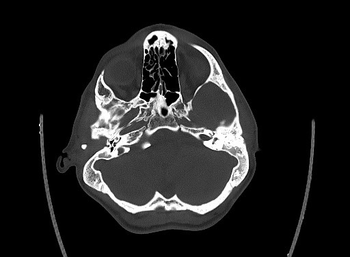
What complication/s are demonstrated here?

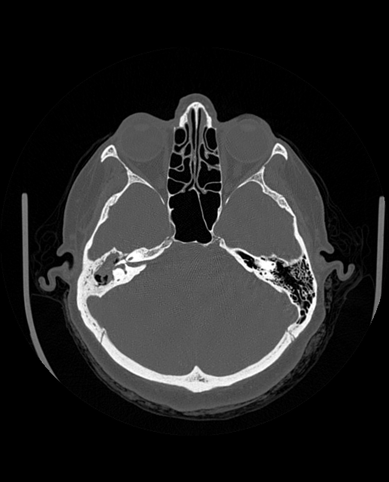
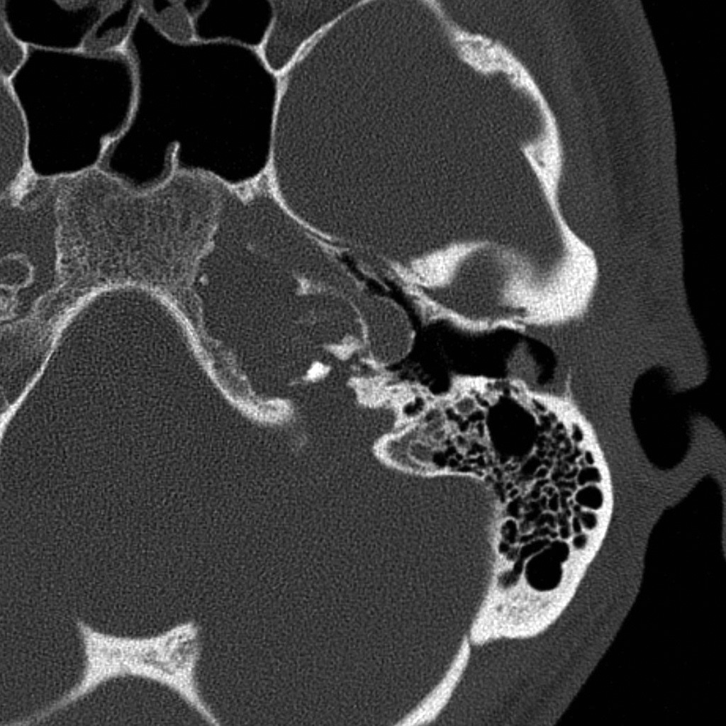
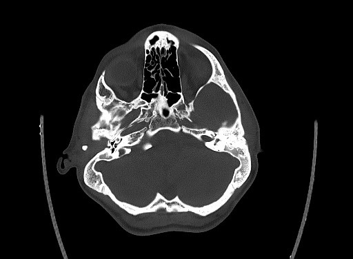
Automastoidectomy denotes extensive bone destruction of the mastoid mimicking the appearance of surgery (mastoidectomy), most often caused by cholesteatoma.
Spontaneous evacuation of cholesteatoma can be seen with automastoidectomy 1. In these circumstances, it is often referred to as mural cholesteatoma or unusual cholesteatoma shell, as there is no residual soft tissue mass 2.
Automastoidectomy has also been reported with keratosis obturans 3.
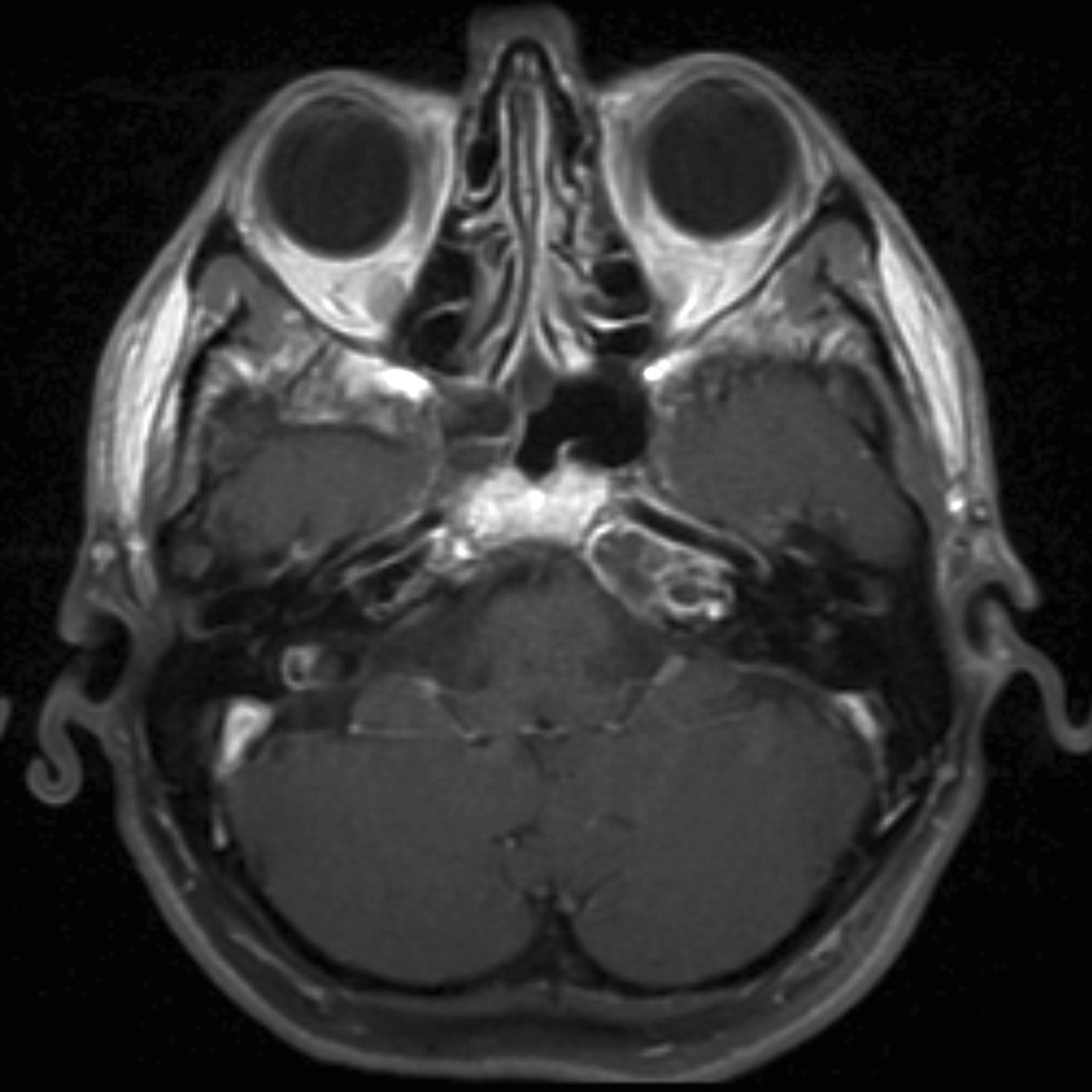
https://radiopaedia.org/cases/automastoidectomy-with-labyrinthine-fistula
Automastoidectomy refers to extensive bony destruction of the mastoid forming one cavity resembling operative mastoidectomy. Cholesteatoma is the most common cause and this subtype is known as “mural cholesteatoma”.
Labyrinthine fistula refers to abnormal communication between inner ear perilymph and middle ear cavity on top of erosion or fracture of the bony labyrinth.
Treacher Collins syndrome
1 case question available
Case Discussion
In Treacher Collins syndrome, 1st and 2nd branchial arch structures are affected but the inner ear structures are normal.
Treacher colins Syndrome
1 case question available
Case Discussion
In Treacher Collins syndrome, 1st and 2nd branchial arch structures are affected but the inner ear structures are normal.

Gradenigo syndrome consists of the triad of:
petrous apicitis
abducens nerve palsy, secondary to involvement of the nerve as it passes through Dorello canal
retro-orbital pain, or pain in the cutaneous distribution of the frontal and maxillary divisions of the trigeminal nerve, due to extension of inflammation into Meckel cave
Pathology
Common pathogens are Pseudomonas and Enterococcus spp.
History and etymology
It was first described in 1907 by Giuseppe Conte Gradenigo (1859-1926), Italian otolaryngologist 2,3.

3 Places where lesions of the anterior skull base can arise from
localisation of the lesion centre can help with the differential