KIDNEY ANATOMY
Does US over or under estimate renal length?
Ultrasound (US) often underestimates the true renal length because of technical difficulties in imaging the entire kidney.
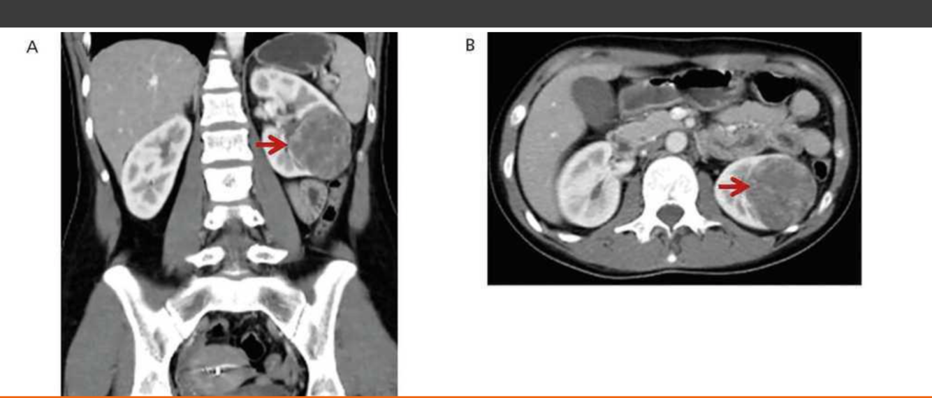
19F Hypertensive
kypokalaemia
elevated aldosterone

Juxtaglomerular Tumor (Reninoma)
Reninoma is a tumour of the cells of the juxtaglomerular apparatus that produces excessive amounts of renin, resulting in a secondary form of hyperaldosteronism, manifesting clinically with hypertension (HT) and hypokalaemia1. This renal tumour is predominant in females, with a peak incidence between the second and third decade of life and, although uncommon, it is a treatable cause of HT2. It should be suspected in any patient with refractory HT associated with hypokalaemia and high levels of aldosterone.
We present the first case of reninoma reported in Argentina in a young woman with refractory HT and hypokalaemia.
In 1967, Robertson et al.6 reported the first renin-producing tumour. Kihara et al. later called them “juxtaglomerular cell tumours”7. These tumours are very uncommon, with their incidence peaking between the second and third decade of life and they are predominantly found in females, originating in the myoendocrine cells of the renal juxtaglomerular apparatus, although the production of renin by different tumours has also been demonstrated, such as Wilms tumours, carcinoid tumours, renal oncocytoma and renal cell carcinoma8,9. In accordance with the presence or absence of symptoms, JCT may occur as: a “typical” variant in the majority of cases and manifests with HT, hypokalaemia, high plasma renin and secondary hyperaldosteronism; an “atypical” variant, in which HT is not accompanied by hypokalaemia; and a third “non-functioning” variant, which occurs without HT and with normal levels of potassium10,11.
Plasma renin activity (PRA) and plasma aldosterone (PA)
https://www.revistanefrologia.com/en-juxtaglomerular-cell-tumour-as-curable-articulo-X2013251415054971

SIGN
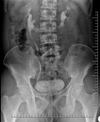
What sign is this and what does it indicate?

Case Discussion
Left sided duplicated collecting system with the upper moiety obstruction, and non-functioning. It displaces the lower pole moiety inferiorly, mimicking the appearance of a drooping lily.
The drooping lily sign refers to the inferolateral displacement of the opacified lower pole moiety due to an obstructed (and unopacified) upper pole moiety in duplicated collecting system.
Case courtesy of Dr Mohammad Taghi Niknejad, Radiopaedia.org, rID: 54354
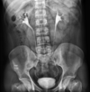
What are the 6 radiographic features of uretal duplication?
What sign is this?

Radiographic Features (Lebowitz) ( Fig. 11.39 )
Case courtesy of Dr Mohammad Taghi Niknejad, Radiopaedia.org, rID: 54354

What is a renal Adenoma?
Adenoma
Best described as adenocarcinoma with no metastatic potential. Usually detected at autopsy.

Peripelvic Cyst

PATHOLOGICAL SPECIMEN

Adult Polycystic Kidney Disease (Apkd) ( Fig. 4.5 )

What are the complications of RF Ablation (re RCC)?
Complications
What are the 6 associations of this condition?
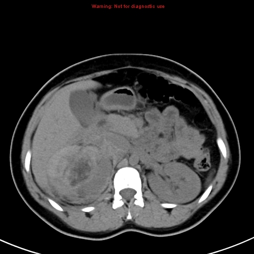
Horseshoe Kidney
Case courtesy of Dr Aditya Shetty, Radiopaedia.org. From the case rID: 27958
What is the staging for this condition?
Renal pelvis TCC
Staging
Medullary Cystic Disease
What is the cause of this disease?

Medullary Cystic Disease (MCD) ( Fig. 4.4 )
Spectrum of diseases characterized by tubulointerstitial fibrosis.
Patients usually present with azotemia and anemia and subsequently progress to end-stage failure.
Azotemia: Elevated levels of urea and other nitrogen compounds in the blood.
SYNDROMES
What syndromes/diseases are a/w renal Cysts?
What are the differences in the morphology of the cysts?

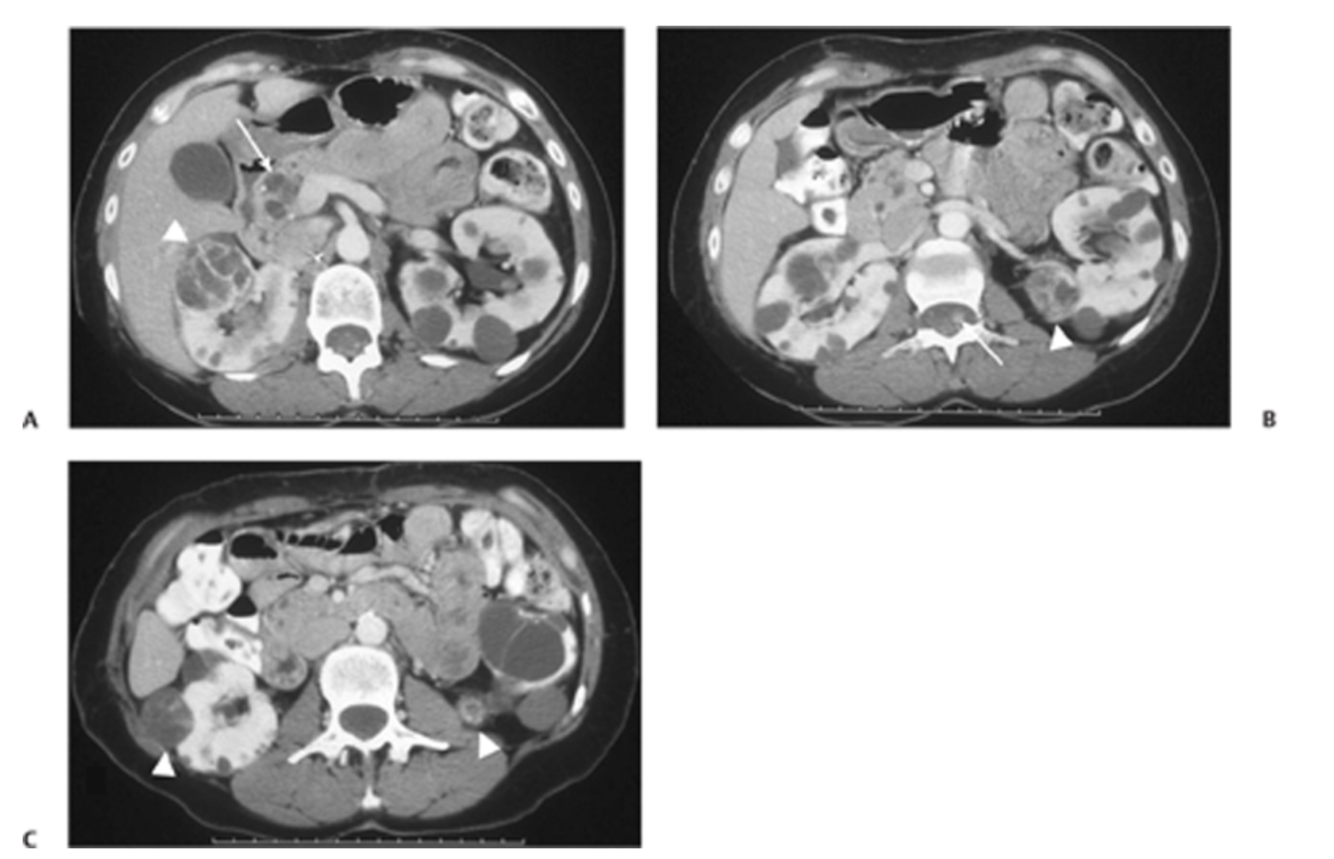
Fig. 63.1 (A) Postcontrast CT image shows bilateral renal cysts. There is a large cyst within the right kidney with thick enhancing septations (arrowhead). Note the multiple pancreatic cysts (arrow). (B) Axial image shows a mixed solid and cystic lesion in the left kidney (arrowhead), along with an enhancing nodule in the chord (arrow). (C)An additional complex cyst with enhancing septation is seen in the right kidney (arrowhead), along with a small enhancing lesion in the left kidney (arrowhead).

SYNDROMES
Re ADPCKD describe the following:
Type of inheritance?
Genes?
Renal findings?
Associated findings?
AD
PKD1, PKD2
(ciliopathy)
Multiple bilateral variably sized renal cortical and medul-
lary cysts; number and size
of cysts increase with time; nephrolithiasis; chronic kidney disease typically occurs in late adulthood
Ductal plate malformations (eg, congenital hepatic fibrosis); extrarenal cysts (eg, liver, pancreas, seminal vesicles); intracranial aneu- rysms (typically in adult- hood)
Describe the staging system of RCC
Staging

Complicated Cysts
Case courtesy of Dr Ian Bickle, Radiopaedia.org, rID: 24244

KIDNEY ANATOMY
L and R kidneys should be within x cm of eachother?
Left and right kidney size should not vary more than 1cm.
What is the prognosis of RCC?
5 yr survival
Stage 1, 2, 3, 4?
What are the unual behaviours of RCC?
Prognosis
5-year survival:

Dromedary hump: parenchymal prominence in left kidney; results from compression of adjacent spleen
Case courtesy of Assoc Prof Craig Hacking, Radiopaedia.org, rID: 53697

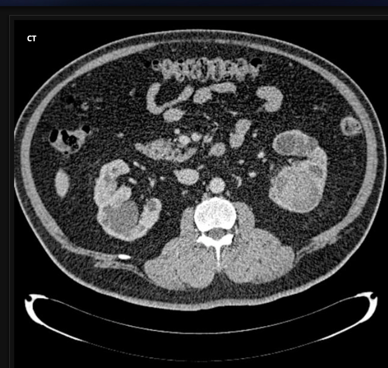
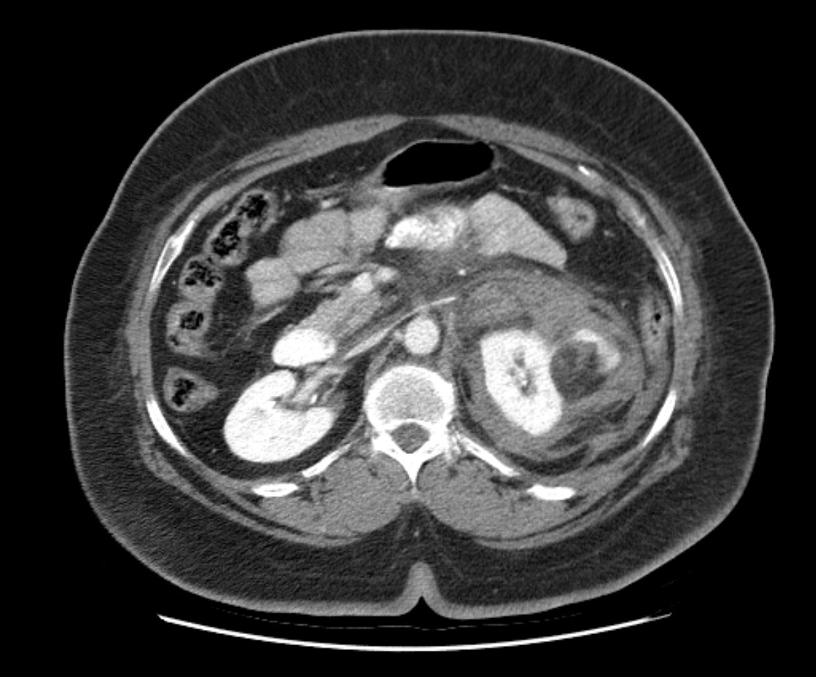
Angiomyolipoma (Aml)
Case courtesy of Dr Behrang Amini, Radiopaedia.org, rID: 35925
Axial CT through the kidneys shows a fat-attenuation lesion in the left kidney with a perirenal collection, most likely blood. This is consistent with a bleeding angiomyolipoma.
What are the 4 types of this condition?

Medullary cystic disease
Types
Radiopedia
What is RF Ablation
Re RCC?
What are the 5 indications?
Radiofrequency Ablation of RCC
Indications
What are the imaging features of AML?

Imaging Features
Case Discussion

what is this condition
who does it happen to?

Case courtesy of Dr Roberto Schubert, Radiopaedia.org, rID: 17489
What are are the risk factors for RCC?
What is a/w bilateral tumours?
Risk Factors