what is this?
age group?
Assocaitions

pancreaticoblastoma

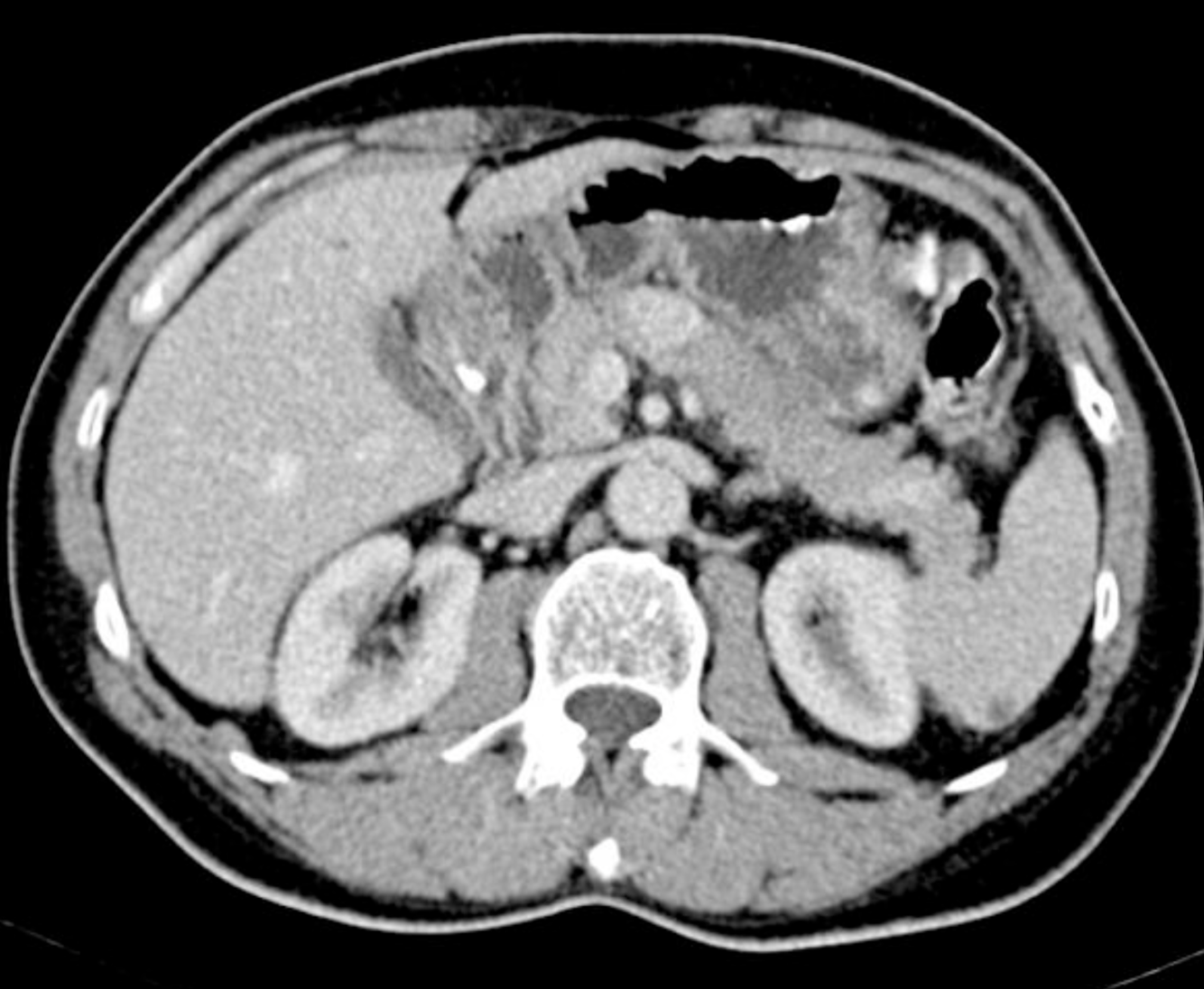
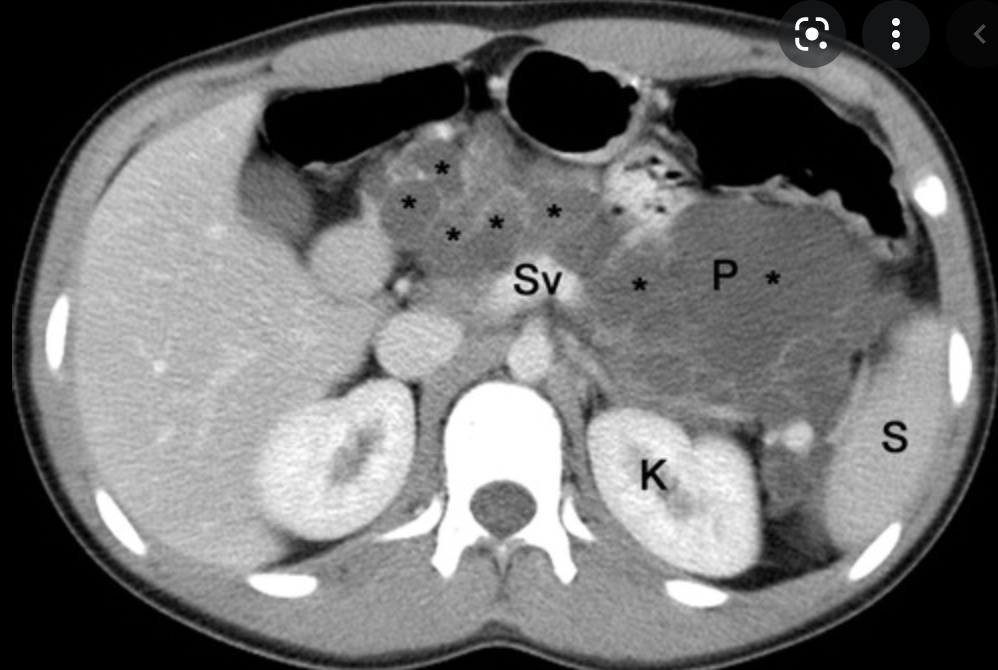
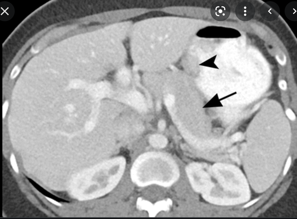
Radiology Findings of Autoimmune Pancreatitis

Single phase CT scan (multiphase scans not performed due to age of patient) demonstrates a diffusely enlarged pancreas with a “halo” like rim of hypoattenuating tissue which is smoothly marginated. Minimal peripancreatic fat stranding.
Associated splenic vein thrombosis, splenomegaly and cavernous transformation of the portal vein.
what is this tumour?
who does it occur in?

Terminology
The tumour has been referred to with multiple different names, including:
solid pseudopapillary tumour (SPT) of the pancreas
solid pseudopapillary neoplasm (SPN)
solid pseudopapillary epithelial neoplasm (SPEN)
papillary cystic neoplasm of the pancreas
Hamoudi tumour
Gruber-Frantz tumour (or just Frantz tumour)
Epidemiology
They are rare and thought to account for 1-2% of exocrine pancreatic tumours. They tend to present in young non-Caucasian females around the 2nd and 3rd decades of life (the ‘daughter’ tumour) 10.
Associations
pancreatic dorsal agenesis: possible association 5
Clinical presentation
Most patients are asymptomatic at diagnosis. They may occasionally present with a gradually enlarging abdominal mass or vague abdominal pain.
Pathology
The tumours frequently contain varying amounts of necrosis, haemorrhage, and cystic change. Lesions can be large at time of diagnosis (median size ~8 cm) 2.
Location
There is a greater predilection to occur at pancreatic tail.
Imaging features of Chronic Pancreatitis

Multiple variable size GB stones are also noted.

Intraductal Papillary Mucinous Neoplasms of the pancreas
Types 2
associations 3

Complications of Chronic Pancreatitis

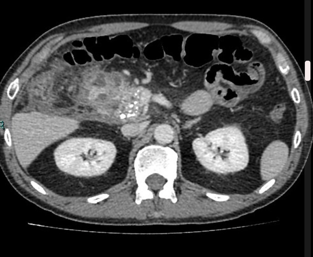
Generalised atrophy of body and tail of the pancreas. Diffuse parenchymal calcification with main pancreatic duct dilated throughout its course with a beaded appearance reaching up to 10mm in diameter. Multiple intraductal calculi are present, the largest measuring 10 mm in the pancreatic head. This stone is obstructing the main pancreatic duct resulting in ductal dilatation. No hypoenhancing pancreatic parenchymal lesions. No peripancreatic fat stranding or localised collections. No radio-opaque stones in the gallbladder, cystic duct, or common bile duct. No intrahepatic biliary duct dilatation.
Case Discussion
When presenting with an episode of abdominal pain, this patient underwent an ultrasound of the abdomen which revealed features of chronic calcific pancreatitis. However, due to the suboptimal acoustic window, a CT scan was recommended to rule out any pancreatic inflammation or neoplasm. The chronic inflammatory changes result in reduction in volume of pancreatic parenchyma with only a ghost of the gland remaining in the latter stages. These patients are more prone for neoplasms and have to be watched closely.
https://radiopaedia.org/cases/chronic-calcific-pancreatitis-with-obstructing-stone
what is this?
Increased risk of what

Tropical Pancreatitis
What is this sign and condition?



Replaced right hepatic artery (RHA) arising from the superior mesenteric artery (SMA).
Case Discussion
The right hepatic artery arises from the superior mesenteric artery (SMA), also referred to as “replaced to the SMA”, in 9 to 15% of the population. It is the most common variant in hepatic arterial anatomy.
Core tip: Appreciation and study of hepatic arterial anatomical variability is essential to the successful performance of complex pancreaticobiliary procedures. An aberrant right hepatic artery (aRHA) represents the vascular anomaly encountered most frequently during pancreatoduodenectomy (PD) and, because of its course, is most susceptible to intraoperative damage and tumor involvement. When an aRHA is present, the challenge in peripancreatic malignant disease is to balance its preservation and the need to achieve oncological clearance. In this study, we analyzed the incidence of aRHA and its relationship with the operative complexity, occurrence of complications and oncological clearance in a large cohort of patients undergoing PD.
An aRHA represents the vascular anomaly encountered most frequently during PD. It may have a suprapancreatic, intrapancreatic or rarely transpancreatic course, and, because of its course, it is most susceptible to intraoperative damage and tumor involvement[4,5]. The incidence of an aRHA identified in patients undergoing PD varies from 11%-26.5%[1,6]. When an aRHA is present, the challenge in peripancreatic malignant disease is to balance between its preservation and the need to achieve oncological clearance, which represents the only chance for prolonged survival[1,5,7]. The presence of an aRHA leads not only to an alteration in the surgical approach, but may also adversely affect the outcomes of the surgical procedure[5,8]. In this study, we analyzed the incidence of aRHA and its relationship with the operative complexity, occurrence of complications and oncological clearance in a large cohort of patients undergoing PD.

Where does the duct of Wirsung enter into?
what is the upper size limit of the PD


Mucinous cystadenomas (MCN) of the pancreas are a type of mucinous cystic neoplasm of the pancreas.
Epidemiology
Previously believed to occur exclusively in middle age females 5, it has occasionally been described in males 6,7.
Pathology
It is a large uni/multilocular cystic pancreatic neoplasm lined by columnar mucinous epithelium. While mucinous cystadenomas very infrequently communicate with the pancreatic duct 13, they can cause partial pancreatic ductal obstruction 11. They are considered premalignant or malignant lesions with usually elevated CEA and CA 19-9 serum levels.
Location
Largely (~80%) occur in the body or tail of the pancreas, and less commonly in the head of the pancreas (~20%) 11.
Radiographic features
CT
the tumour contour tends to be rounded or ovoid although this is not an absolutely specific feature 2
associated calcification when present tends to be more peripheral 1,11
contents of the lesion may be heterogenous in attenuation 2
internal septations may be present and tend to be linear or curvilinear 2
Differential diagnosis
On ultrasound or CT consider:
mucinous cystadenocarcinoma of the pancreas: at times almost impossible to differentiate on ultrasound or CT from a mucinous cystadenoma 8
pancreatic pseudocyst
oligocystic variant of serous cystadenoma of the pancreas
pancreatic hydatid cyst 14
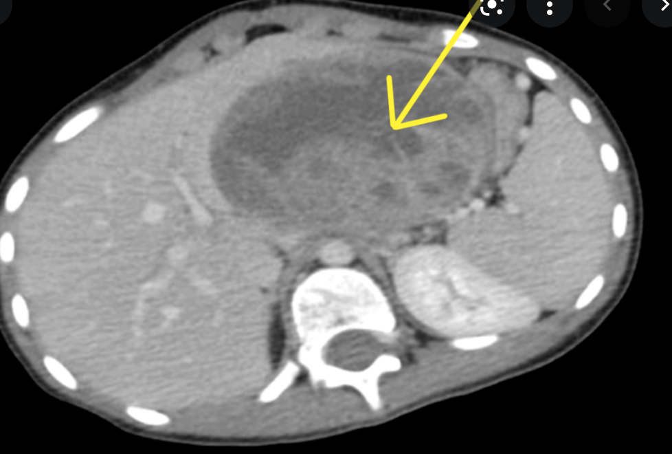
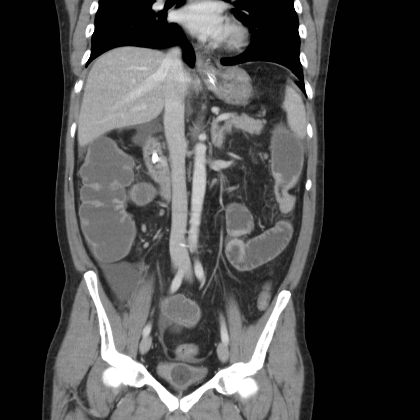
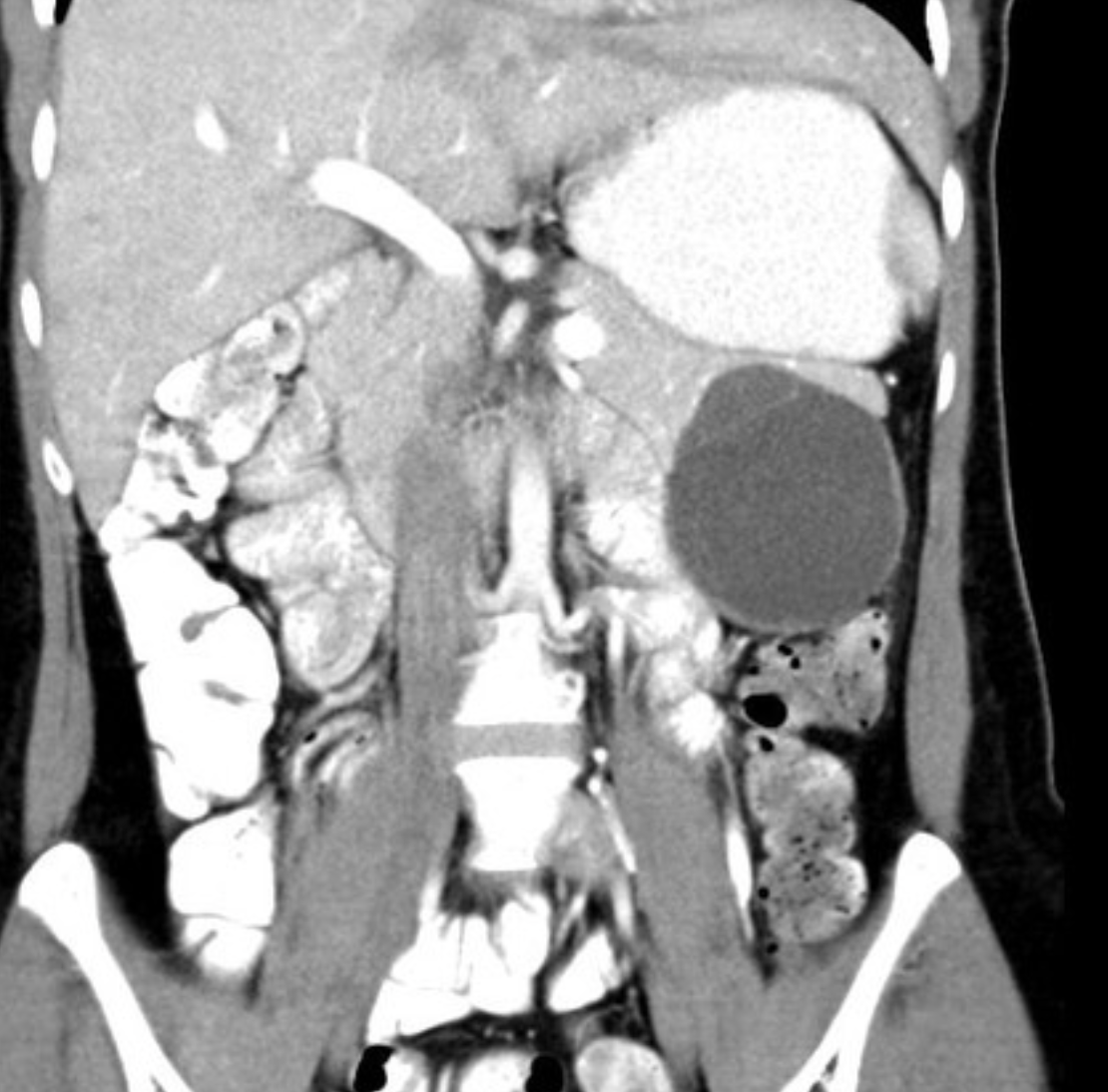
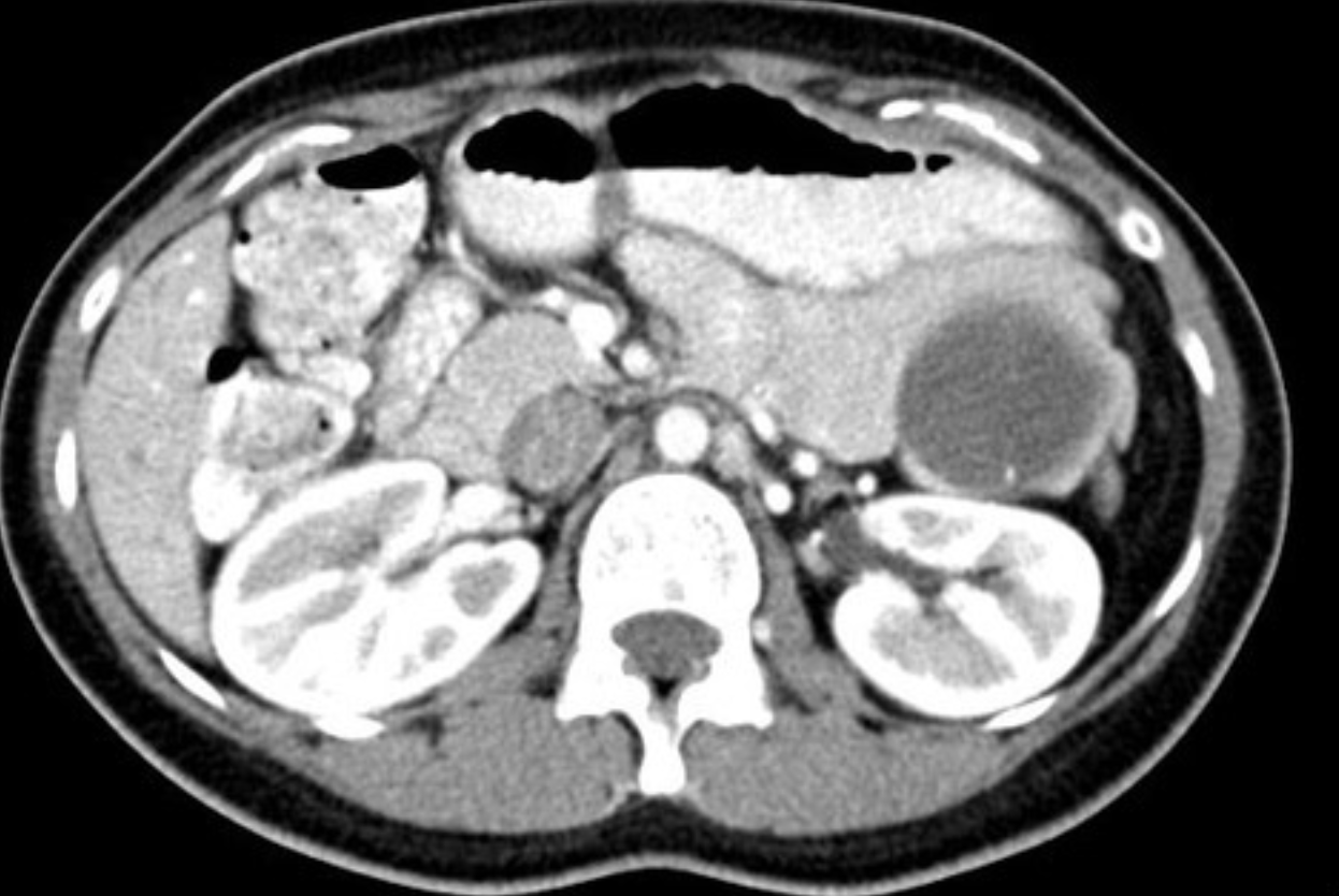
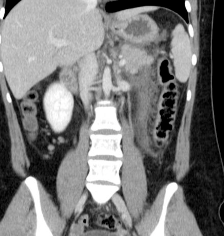
Findings: A well-defined rounded exophytic cystic lesion measuring 6.3 x 7 x 7 cm is seen originating from the tail of the pancreas. It has an average density of 8 HU and shows mild peripheral enhancement on post contrast study. A few thin septations and a tiny mural calcification are seen in it. No solid component is seen in it. Morphology of the remaining pancreas is unremarkable.
Impression: Well-defined rounded exophytic cystic lesion originating from the tail of the pancreas, which is likely, a mucinous cystadenoma of the pancreas (mucinous cystic neoplasm of the pancreas) with possible differential diagnosis of pancreatic pseudocyst (if there is a past history of pancreatitis). Another possible differential can be a hydatid cyst which is however, very unlikely.
https://radiopaedia.org/cases/mucinous-cystadenoma-of-the-pancreas-4

Infected fluid collections
Islet cell Neoplasm
AKA
Which cells do they arise from?
Types?
Classification

Islet cell Neoplasm/AKA neuroendocrine Tumours
What are the Cystic neoplasms of the pancreas?
What is this?

Fatty infiltration of the pancreas
diagnosis?
A/w which disease?


Imaging features of IPMN


Acinar cell carcinoma
Case Discussion
Ultrasound-guided biopsy of the spleen was performed leading to the rare diagnosis of pancreas acinar cell carcinoma.
Pancreas acinar cell carcinoma highlights:
very rare <1%
exocrine tumour
larger size at diagnosis and often better prognosis than adenocarcinoma
some have paraneoplastic syndrome with hypersecretion of lipase (as in this case), which can lead to fat necrosis of subcutaneous nodules and polyarthralgia
On physical exam, this patient did have subcutaneous nodules in the lower extremities which would be clinically consistent with fat necrosis related to hyperlipasaemia.
which nuclear imaging studies can be useful in looking for insulinomas and why?
Ga-68 DOTATATE PET-CT
About 80% of insulinomas express the somatostatin receptors 2, and the Ga-68 DOTATATE scans have a high affinity for these receptors and, therefore, have high sensitivity in the detection of these tumours, particularly for low-grade and well-differentiated ones 8-10. The sensitivity of this study has been reported in up to 90% 8, when assessing insulinomas specifically, and ranging between 90-100% for pancreatic neuroendocrine tumours as whole 9.
PET-CT is also useful in excluding additional pancreatic neuroendocrine tumours eventually not detected on CT or MRI, particularly, in inherited syndromes such as MEN1 8.
F-18 FDG PET-CT
Neuroendocrine tumours are slow-growing tumours that usually have slow metabolic activity in their initial stages and, therefore, are not notably avid on F-18 FDG PET-CT 9. Tumours with a higher grade or poorly differentiated tend to show marked uptake 8-10.
Acute peripancreatic fluid collections
APFC
APFCs result from pancreatic/peripancreatic inflammation and/or rupture of one of the small pancreatic side ducts 1.

describe a whipples proceedure

What is this?

Ectopic/Heteropic pancreatic tissue
definition of this condition.

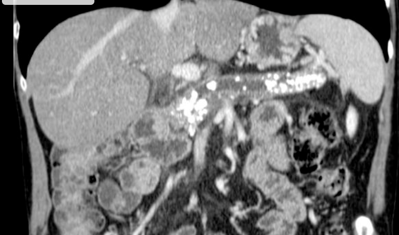
Chronic pancreatitis
progressive, irreversible destruction of pancreatic parenchyma by repeated episodes of mild or subclinical pancreatitis
Thick punctate pancreatic calcifications with dilatation of duct of Wirsung. Distended gallbladder. Decreased liver attenuation coefficient, probably due to fat infiltration.
No focal hepatic lesions are observed. Normal adrenal glands and kidneys. No ascites or retroperitoneal lymphadenopathy are observed.
Case Discussion
This case shows typical findings of chronic pancreatitis with calcification and main duct dilatation. This is most commonly associated with chronic alcohol abuse as was the case for this patient.
https://radiopaedia.org/cases/chronic-pancreatitis-5
Imaging features of Groove Pancreatitis/paraduodenal pancreatitis

The walls of the second part of the duodenum are thickened with a small volume of free fluid; there are recognizable ectopic pancreatic islands with a similar degree of enhancement to the rest of the pancreas. The adjacent fat tissue is hyperdense due to inflammation. There are multiple foci of calcification in the pancreas. Normal biliary tree.
Case Discussion
Paraduodenal pancreatitis is characterised by a history of excess alcohol and tobacco use in male patients, and a painful symptomatology. Histology analysis demonstrates granulomatous tissue, stromal proliferation, and ectopic pancreatic tissue within the duodenal wall. The epicentre of the inflammation is typically located between the duodenum, common bile duct and pancreas. The presence of cysts inside the inflamed duodenal wall allows distinguishing between a “cystic” (75%) and a “solid” variant of paraduodenal pancreatitis.
https://radiopaedia.org/cases/paraduodenal-pancreatitis-3
