most common cause of ventral cord syndrome?
Symptoms?
How much of the cord?

Ventral cord syndrome
Assoc Prof Frank Gaillard◉◈ and Dr Prashant Mudgal et al.
Ventral cord syndrome (also known as anterior cord syndrome) is one of the incomplete cord syndromes and affects the anterior parts of the cord resulting in a pattern of neurological dysfunction dominated by:
Anterior spinal artery ischaemia is the most common cause.
Terminology
Ventral cord syndrome encompasses all causes of damage to the anterior spinal cord regardless of aetiology (see below).
In contrast, anterior spinal artery syndrome, also known as Beck’s syndrome, denotes a ventral cord syndrome specifically due to ischaemia/infarction of the anterior two-thirds of the spinal cord due to involvement of the anterior spinal artery.
Clinical presentation
Involvement of the anterior half to two-thirds of the spinal cord results in a predictable pattern of neurological impairment consisting of:
Importantly 2-point discrimination, proprioception and vibratory senses are normal due to intact posterior columns and posterior grey matter.
Pathology
Ventral cord syndrome is caused by a variety of processes, the most common one being ischaemia due to occlusion of anterior spinal artery, which in turn is the result of a number of underlying processes. As such, the list of causative pathologies is very similar to that of acute spinal cord ischaemia syndrome.
Causes of ventral cord syndrome include 1-5:
ischaemia/infarction (anterior spinal artery syndrome)
atherosclerotic thromboembolism
aortic pathology
aortic aneurysm
aortic thrombosis
aortic dissection
aortic surgery/intervention
anterior spinal artery pathology
penetrating trauma (e.g. stabbing)
arterial dissection (e.g. catheter angiography)
fibrocartilaginous embolism
external compression/damage of the anterior spinal cord
herniated disc
spinal tumour (e.g. intrathecal extramedullary)
epidural collections (e.g. epidural haematoma and epidural abscess)
kyphoscoliosis
trauma
vertebral body fractures
direct stab injuries
Radiographic features
For a description of the imaging features please refer to acute spinal cord ischaemia syndrome.
Treatment and prognosis
Prognosis of anterior cord syndrome is worst among all other spinal cord injury syndromes 5. It is associated with high mortality and poor functional outcome in terms of poor recovery of motor power and coordination.
Treatment is focussed on treating the primary cause of anterior spinal artery insufficiency and general supportive treatment and care.
History and etymology
The anterior cord syndrome is thought to have been initially described Schneider in 1955 in the English literature ref although there are reports of this being described by K Beck in German literature in 1952 4.

Most common CNS infection in HIV patients.
Caused by Toxoplasma gondii.
Reservoir in CATS.
3 Manifesations:
Congenital: meningitis, encephalitis, calcifcation, chorioretinitis, atrophy.
Immunocompetent: Systemic disease with LAD, fever, no CNS involvement.
Immunocomprimised : Fulminant CNS disease. Basal ganglia, Corticomedullary junction. solitary or multiple ring enhancing lesions with marked surrounding edema. Eccentric target appearance. After treatment lesions may calcify or haemorrage.
CNS FUNGAL INFECTIONS
2 presentations
Helpful features of
4 types of CNS fungal infections.



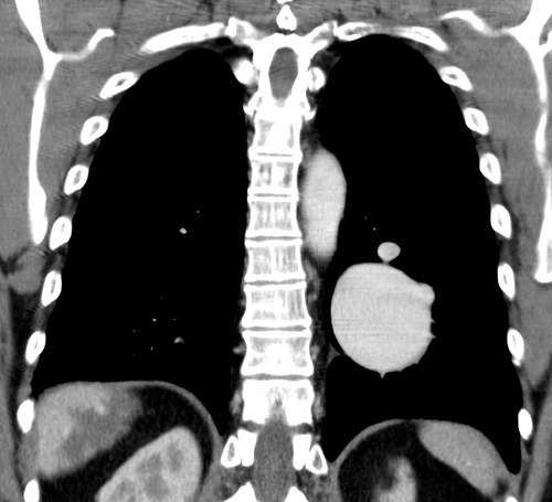
There is a well defined, brilliantly enhancing round lesion is noted in the left lung suggestive of pulmonary arteriovenous malformation.
Incidentally noted a large haemangioma is the superior segments of liver.
Imaging features are most likely suggestive of Osler-Weber-Rendu syndrome.
Hereditary haemorrhagic telangiectasia
Dr James Harvey and Associate Professor Donna D’Souza◉ et al.
Hereditary haemorrhagic telangiectasia (HHT), also known as Osler-Weber-Rendu syndrome, is a rare inherited disorder characterised by abnormal blood vessel formation in the skin, mucous membranes, and organs including the lungs, liver, and central nervous system.
Epidemiology
Worldwide prevalence ~1.5 per 100,000. Wide geographic variability with a much higher incidence in certain regions, e.g. 1 in 200 in Dutch Antilles, 1 in 3500 in France.
Clinical presentation
Although the disease has a broad clinical spectrum, the classic clinical triad at presentation is epistaxis, multiple telangiectasias, and positive family history.
The diagnosis is a clinical diagnosis (Curacao criteria) based on the presence of 3 out of 4 of the following 8,9:
recurrent spontaneous epistaxis
multiple mucocutaneous telangiectasias
characteristic sites include: oral cavity, lips, fingers and nose
visceral AVMs
first degree relative with HHT
Pathology
It is an autosomal dominant multi-organ vascular dysplasia, characterised by multiple arteriovenous malformations (AVMs) that lack an intervening capillary network. Telangiectasias (small superficial AVMs) are particularly common. Mutations have been found in one of several genes (three known so far). De novo mutations are rare, almost all have a first-degree relative affected.
Hereditary haemorrhagic telangiectasia can involve multiple organ systems. The spectrum includes:
nasal: 90%
telangiectasias of nasal mucosa
complications: recurrent epistaxis
skin and mucosal membranes: 90%
telangiectasias of skin, oral cavity, conjunctivae
complications: recurrent bleeding
liver: 71-79% 5,7
symptomatic liver involvement in HHT is uncommon but does occur; it has been attributed to three distinct clinical subtypes and is believed to be a consequence of the predominant hepatic shunt pattern 2
high-output cardiac failure
shunting that increases cardiac preload
typically arteriovenous or portovenous shunts
portal hypertension
increased flow into the portal system (arterioportal shunt)
hepatic anatomic abnormalities leading to increased intrahepatic resistance
biliary disease
shunting of the blood away from the peribiliary plexus (arteriovenous or arterioportal shunting)
extensive arteriovenous shunting lead to biliary necrosis and bile leak
complications: hepatomegaly, right upper quadrant pain, high-output cardiac failure, portal hypertension, mesenteric angina from steal phenomenon
gastrointestinal tract: 20-40%
AVMs or angiodysplasia in the stomach, small bowel or large bowel
complications: recurrent GI bleeding
pulmonary: 20%pulmonary arterio-venous malformations (AVMs)
36% of patients with solitary pulmonary AVM have HHT
57% of patients with multiple pulmonary AVMs have HHT
complications
pulmonary haemorrhage, haemoptysis (less common)
complications of shunting (more common): paradoxical emboli (due to right to left shunt, e.g. stroke), septic emboli (e.g. cerebral abscess), hypoxaemia, high-output cardiac failure 9
CNS: 5-10%
cerebral AVMs, spinal AVMs or cerebral aneurysms
complications: headache, seizures, paraparesis, haemorrhage
one-third of cerebral complications in HHT are due to cerebral AVMs or aneurysms, and two-thirds are due to paradoxical emboli from pulmonary AVMs
increased incidence of capillary telangiectasia and developmental venous anomalies
Radiographic features
Imaging of visceral arteriovenous malformations
lung
chest x-ray: well-circumscribed mass (may be lobulated) with enlarged draining vein
CT: well-circumscribed vascular mass with enhancing feeding artery and draining vein
contrast echocardiography
presence of contrast bubbles in the left atrium confirms the presence of a shunt
characteristically, this occurs late (after several cardiac cycles), indicating a pulmonary shunt rather than intracardiac shunt
CNS
MR: cerebral and cerebellar AVMs typically in superficial locations
gastrointestinal tract
CT/CTA
conventional angiography
endoscopy
capsule endoscopy
nuclear medicine GI bleed study for active bleeding
liver
CT/CTA
MRI
conventional angiography
ultrasound
Treatment and prognosis
Treatment of visceral lesions
lung
embolisation; recanalisation occurs in up to 20% post embolisation
surgical resection
CNS
embolisation
surgical resection
stereotactic radiosurgery
gastrointestinal tract
embolisation
surgical resection
endoscopic ablation/electrocautery
liver
embolisation
surgical resection
liver transplantation
Prognosis
most patients have a normal life expectancy
10% die of complications: usually stroke, cerebral abscess or massive haemorrhage


Variant Cruetzfeldt-Jakob Disease
Meningiomas


Wernicke’s


CNS capillary telangiectasia
Dr Daniel J Bell◉ and Dr Yuranga Weerakkody◉ et al.
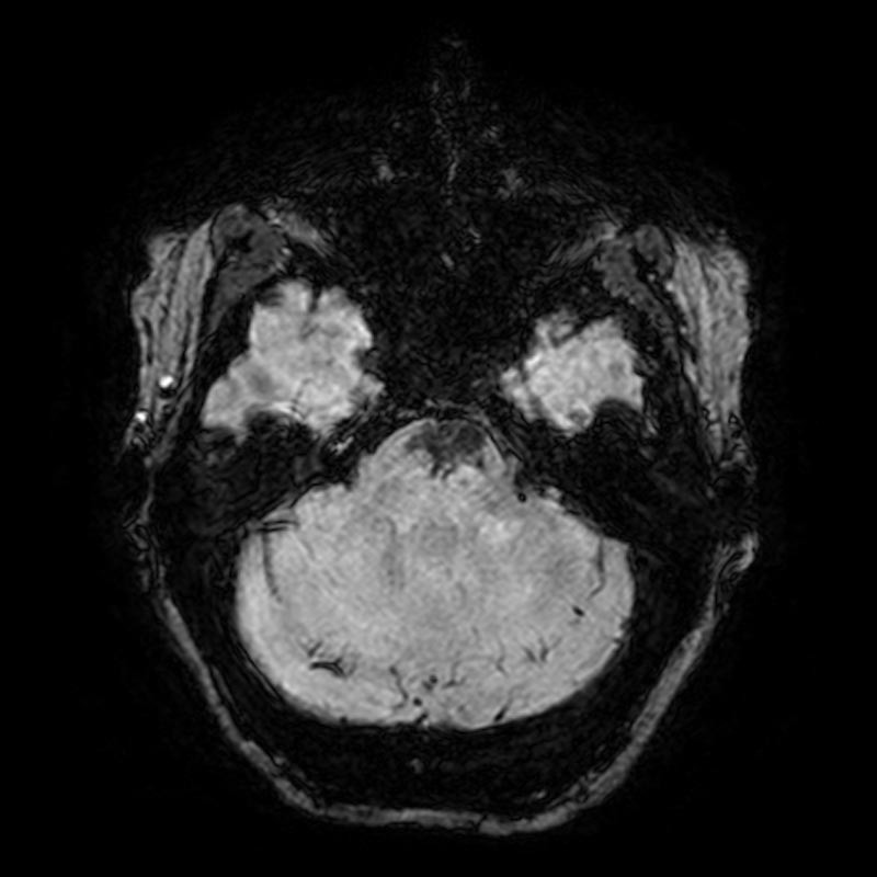
CNS capillary telangiectasiae(s) are small, asymptomatic low flow vascular lesions of the brain.
Epidemiology
As these lesions are asymptomatic, diagnosis usually matches the age of first imaging with MRI, and as such are most frequently found in middle-aged and elderly adults. Their incidence varies according to the series. They can account for up to ~20% of all intracerebral vascular malformations on autopsy studies 2 and are considered the second most common vascular anomaly after venous angiomas (developmental venous anomaly) on imaging 5.
Clinical presentation
The vast majority of capillary telangiectasias are completely asymptomatic and discovered incidentally on MRI when the brain is imaged for other reasons.
Occasionally there may be associated intracerebral haemorrhage, although a direct causative relationship has not been established beyond a doubt. This may be more common with cases of mixed histology.
Pathology
They are comprised of dilated capillaries and are interspersed with normal brain parenchyma with a thin endothelial lining but no vascular smooth muscle of elastic fibre lining. This is in contrast to cavernous malformations (CM) which have no normal brain within their confines. Histology can be mixed with a component of CM.
Location
most occur in the pons, cerebellum and spinal cord
Associations
Osler-Weber-Rendu syndrome
Radiographic features
Capillary telangiectasias are mostly located in the brainstem (especially the pons). They are more often solitary, but sometimes can be multiple. They have only become widely recognised in the radiology community following the introduction of MRI, as they are usually not seen on CT and DSA 2-5.
MRI
They appear as subtle lesions with no mass effect.
T1: typically iso to low signal compared with brain parenchyma
T2: normal or slightly increased signal intensity
FLAIR: normal or slightly increased signal intensity
T2*: low signal intensity
thought to be due to deoxyhaemoglobin from sluggish flow, not haemorrhage 2
T1 C+:
may demonstrate stippled enhancement
if large, can show branching/linear draining veins
Treatment and prognosis
These lesions are almost always asymptomatic, have interspersed normal brain tissue and are most frequently located in the pons, making treatment impractical and unwarranted. Thus, no follow-up is required if the imaging appearances are characteristic.
Differential diagnoses
In the majority of cases, no differential needs to be entertained. When appearances are atypical then depending on the actual appearance, one could consider:
enhancing mass (usually mass effect present)
glioma
metastasis
resolving infarct
demyelination
cerebritis
vascular malformation
cavernous malformation
arteriovenous malformation (AVM)
developmental venous anomaly (DVA)
See also
radiation-induced vasculopath

WHAT IS THIS?



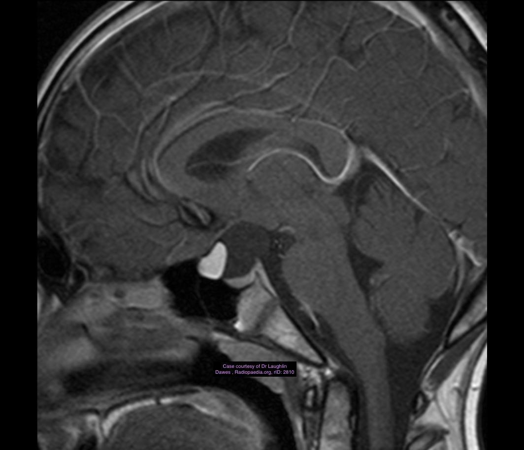
This sagittal T1-weighted MR image shows a suprasellar lesion in a 12 year-old boy. There is a fat-containing area and a cystic area. There was minimal soft tissue component. The lesion expanded and remodelled the sella, without bone erosion. There is elevation of the optic chiasm, and the pituitary can be seen compressed into the base of its fossa.
Case Discussion
The lesion was biopsied. There were epithelial elements, underlying connective tissue with sebaceous glands, and fat, consistent with a mature teratoma. There were no immature or malignant components.
Intracranial teratomas are midline tumours which may contain calcium, soft tissue, cysts and fat. They occur from the optic chiasm to pineal regions. They may be mature, immature or malignant, depending on the degree of differentiation. Differential diagnoses include craniopharyngioma, dermoid and non-germinoma germ cell tumour.

OLIGODENDROGLIOMA


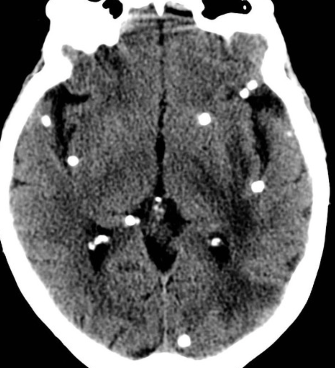
Cerebral fat embolism
Cerebral fat embolism

Note the multiple sites of oedema and haemorrhage, involving the brain stem and corpus callosum as well as subcortical white matter and left cerebral peduncle. High FLAIR signal is also seen in the dorsal midbrain. EVD insitu.
Case Discussion
Diffuse axonal injury can be subtle on CT but have devastating consequences for the patient. This is a case of grade III injury (involvement of brainstem) and carries a poor prognosis.
Diffuse axonal injury
Dr Jay Gajera◉ and Assoc Prof Frank Gaillard◉◈ et al.
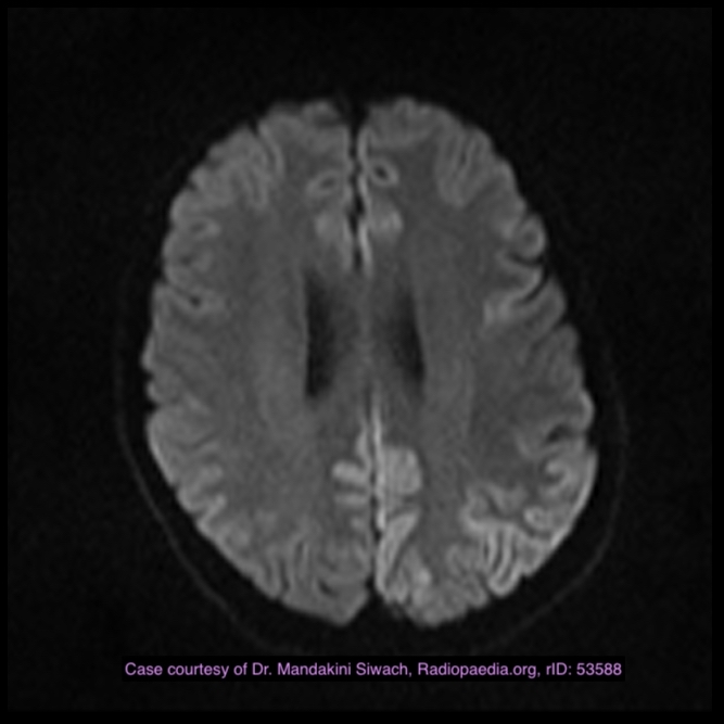
Diffuse axonal injury (DAI), also known as traumatic axonal injury (TAI), is a severe form of traumatic brain injury due to shearing forces. It is a potentially difficult diagnosis to make on imaging alone, especially on CT as the finding can be subtle, however, it has the potential to result in severe neurological impairment.
The diagnosis is best made on MRI where it is characterised by several small regions of susceptibility artifact at the grey-white matter junction, in the corpus callosum, and in more severe cases in the brainstem, surrounded by FLAIR hyperintensity.
Epidemiology
The patients at risk of diffuse axonal injury belong to the same cohort as those who suffer traumatic brain injury and as such young men are very much over-represented.
Clinical presentation
Typically, patients who are shown to have diffuse axonal injury have loss of consciousness at the time of the accident. Post-traumatic coma may last a considerable time and is often attributed to coexistent more visible injury (e.g. cerebral contusions). As such the diagnosis is often not suspected until later when patients fail to recover neurologically as expected.
Pathology
Diffuse axonal injury is the result of shearing forces, typically from rotational acceleration (most often a deceleration). Due to the slightly different specific gravities (relative mass per unit volume) of white and grey matter, shearing due to change in velocity has a predilection for axons at the grey-white matter junction, as the name implies. In the majority of cases, these forces result in damage to the cells and result in oedema. Actual complete tearing of the axons is only seen in severe cases. It is also known that some neurones may undergo degeneration in the weeks or months after trauma, it is called secondary axonotmesis.
Associations
intermediary injuries
Radiographic features
Diffuse axonal injury is characterised by multiple focal lesions with a characteristic distribution: typically located at the grey-white matter junction, in the corpus callosum and in more severe cases in the brainstem (see: grading of diffuse axonal injury).
CT
Non-contrast CT of the brain is routine in patients presenting with head injuries. Unfortunately, it is not sensitive to subtle diffuse axonal injury and as such, some patients with relatively normal CT scans may have significant unexplained neurological deficit 4,5.
The appearance depends on whether or not the lesions are overtly haemorrhagic. Haemorrhagic lesions will be hyperdense and range in size from a few millimetres to a few centimetres in diameter. Non-haemorrhagic lesions are hypodense. They typically become more evident over the first few days as oedema develops around them. They may be associated with significant and disproportionate cerebral swelling.
CT is particularly insensitive to non-haemorrhagic lesions (as defined by CT) only able to detect 19% of such lesions, compared to 92% using T2 weighted imaging 4. When lesions are haemorrhagic, and especially when they are large, then CT is quite sensitive. As such, it is usually a safe assumption that if a couple of small haemorrhagic lesions are visible on CT, the degree of damage is much greater.
MRI
MRI is the modality of choice for assessing suspected diffuse axonal injury even in patients with entirely normal CT of the brain 5,6. MRI, especially SWI or GRE sequences, exquisitely sensitive to paramagnetic blood products may demonstrate small regions of susceptibility artefact at the grey-white matter junction, in the corpus callosum or the brain stem. Some lesions may be entirely non-haemorrhagic (even using high field strength SWI sequences). These will, however, be visible as regions of high FLAIR signal.
Over the first few days, the degree of surrounding oedema will typically increase, although by 3-months post-injury FLAIR changes will have largely resolved 7. In contrast, SWI changes will usually take longer to resolve, although by 12-months post-injury there will have been substantial resolution 7. This is to be expected as oedema is faster to resolve than haemorrhage.
In the months that follow the trauma, there is accelerated brain volume reduction, which can sometimes be detected by visual inspection, but sometimes only by volumetric studies8.
Importantly, it should be noted, that even with high field strength modern scanners, the absence of findings does not categorically exclude the presence of axonal injury.
MR spectroscopy
MRS can be of benefit in identifying patients with grade I injury which may be inapparent on other sequences. Features typically demonstrate elevation of choline peak and reduction of NAA 3.
Treatment and prognosis
Unfortunately little can be done for patients with diffuse axonal injury other than providing supportive care trying to minimise secondary damage caused by cerebral oedema, hypoxia, seizures, etc. Management involves the early recognition and treatment of neurosurgical complications such as herniation and hydrocephalus.
Depending on the severity and distribution of injury (see: grading of diffuse axonal injury) patients can vary from minimally affected to be in a persistent vegetative state 1,2. The amount of axonal injury in the brainstem is predictive of long-term vegetative state, whereas supratentorial injury can result in focal neurological or neuropsychiatric deficits 1.
Differential diagnosis
On imaging consider:
cortical contusions
the main differential in patients with head injuries
typically located superficially, involving the cortex (rather than at the grey-white matter junction) and are usually associated with variable amounts of extra-axial blood (subarachnoid and subdural)
diffuse vascular injuries
particularly on T2* sequences
amyloid angiopathy
chronic hypertensive encephalopathy
cavernoma type IV

Pilocytic Astrocytoma


Order of progression of brain myelination pattern?

NEUROSARCOID


High T1 foci along brain sulci (subarachnoid space) notably along adjacent left Sylvian fissure, consistent with rupture.
Mild communicating hydrocephalus is also noted.
Mild communicating hydrocephalus is noted.
Case Discussion
Features are consistent with ruptured intracranial dermoid cyst.

MRI Appearance of ICH
hyper Acute
acute
Early sub acute
late subacute
chronic

Haemorrhage on MRI
Dr Yuranga Weerakkody◉ and Assoc Prof Frank Gaillard◉◈ et al.
Haemorrhage on MRI has highly variable imaging characteristics that depend on both the age of the blood, the type of haemoglobin present (oxy- deoxy- or met-), on whether or not the red blood cell walls are intact and the specifics of the MRI sequence. Although MRI is often thought of as not being sensitive to acute haemorrhage, this is not, in fact, true particularly with more modern sequences 5,7.
The appearance of haemorrhage will, however, be different at different times and is not perfectly stereotyped, as such caution should be exercised in precisely ageing haemorrhages.
On this page:
Article:
Physiology
Stages
Practical points
References
Images:
Cases and figures
Physiology
The factors that affect the appearance of haemorrhage on MRI vary according to the sequence. The oxygenation state of haemoglobin and the location of either contained within red blood cells or diffused in the extracellular space have a tremendous effect on the imaging effects of blood. The three haemoglobin states to be considered are oxyhaemoglobin, deoxyhaemoglobin and methaemoglobin.
Oxyhaemoglobin, accounting for 95% of haemoglobin in arterial blood and 70% in venous blood, is only weakly diamagnetic, having little T2* and only mildly shortening T1 relaxation time 2,6. This is the result of haem iron is in ferrous form (Fe2+) and has no unpaired electrons 2.
Deoxyhaemoglobin, in contrast, having lost oxygen has four unpaired electrons and is strongly paramagnetic and results in substantial signal loss on T2* weighted sequences, such as susceptibility weighted imaging, and blooming artefact 2.
Methaemoglobin results from oxidative denaturation of the haem molecule to the ferric (Fe3+) form has five unpaired electrons is also strongly paramagnetic 2.
T1 weighted sequences
Oxyhaemoglobin and deoxyhaemoglobin produce little effect on T1 signal. The presence of blood proteins results in intermediate T1 signal in hyperacute and acute haemorrhages.
T2* weighted sequences
T2* weighted sequences, such as susceptibility weighted imaging and gradient echo are primarily affected by the haemoglobin oxygenation state and whether or not cell lysis has occurred 2.
While contained within red blood cells, resulting in uneven distribution of paramagnetic effects, both deoxyhaemoglobin and methaemoglobin result in signal loss. Once the cells lyse and methaemoglobin is distributed evenly throughout the clot, the local magnetic field distortion is also lost and T2 signal loss fades 2.
Eventually, haemosiderin and ferritin (both paramagnetic) are then ingested by monocytes and macrophages and results once more in unevenly distributed paramagnetic effects and signal loss 2.
Diffusion-weighted imaging
Apparent diffusion coefficient (ADC) maps demonstrate fairly stable values substantially lower than normal white matter in all stages except for chronic (see below), whereas isotropic/trace DWI images, due to them combining T2 and diffusion effects, demonstrated high signal only on hyperacute and late subacute phases 8.
Stages
In general, five stages of haematoma evolution are recognised:
hyperacute (<1day)
intracellular oxyhaemoglobin
isointense on T1
isointense to hyperintense on T2
high signal on isotropic DWI and reduced ADC values 8
acute (1 to 3 days)
intracellular deoxyhaemoglobin
T2 signal intensity drops (T2 shortening)
T1 remains intermediate-to-low
low signal on isotropic DWI and reduced ADC values 8
early subacute (3 to 7 days)
intracellular methaemoglobin
T1 signal gradually increases (T1 shortening) to become hyperintense
low signal on isotropic DWI and reduced ADC values 8
late subacute (7 to 14-28 days)
extracellular methaemoglobin: over the next few weeks, as cells break down, extracellular methaemoglobin leads to an increase in T2 signal
high signal on isotropic DWI and reduced ADC values 8
chronic (>14-28 days)periphery
intracellular haemosiderin
low on both T1 and T2
centre
extracellular haemichromes
isointense on T1, hyperintense on T2
low signal on isotropic DWI and increased ADC values 8
Remembering these may be facilitated by this ageing blood on MRI mnemonic.
Practical points
extracranial blood products age differently from intracranial blood products, and extracranial haematomas often have a heterogeneous appearance, confounding attempts at reliably dating the age of an extracranial haemorrhage 3,4
subacute and chronic blood appears hypointense and blooms on MRI T2* weighted sequences (e.g. susceptibility weighted imaging (SWI))
presence of blood products in a cavity will result in low ADC values and therefore make use of diffusion restriction to diagnose pus in an abscess useless

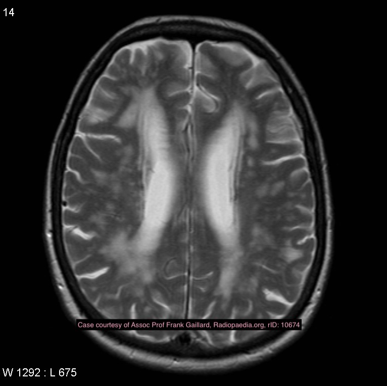
Presentation
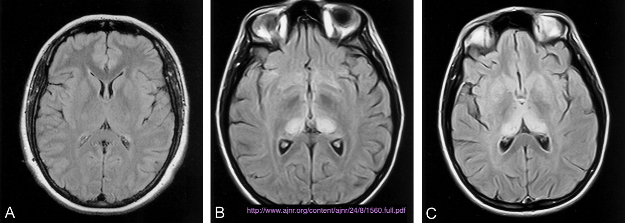
75 year old woman with dementia.

Case courtesy of Assoc Prof Frank Gaillard, Radiopaedia.org. From the case rID: 10674
Vascular dementia
Case Discussion
MRI demonstrates prominent deep white matter T2 hyperintensity with resultant central volume loss. There is no lobar atrophy, suggesting the dementia is likely due to multiple white matter infarcts.
Intra Vs Extra-axial tumours
Cause
epid
source
Presentation
Rx

4 localized Astrocytic tumors


13 groups of
Types of primary brain tumors based on cell type/location