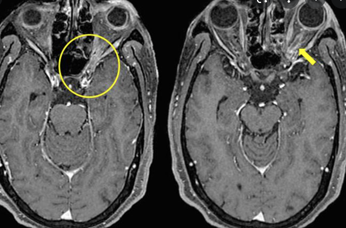
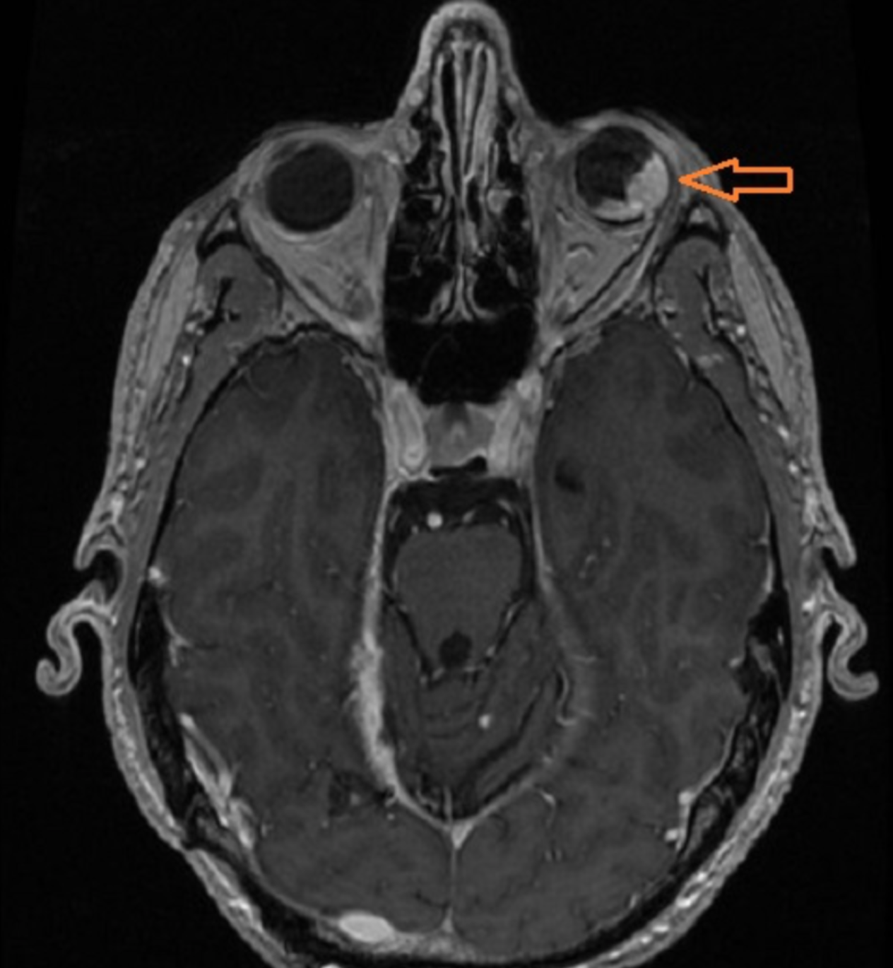
What is Orbital Apex syndrome?


What is the pathology behind this condition?

What are the clinical signs of Thyroid ophthalmopathy?
Functional classification of Thyroid Ophthalmopathy
ie Clinical Severity and risk
Functional classification (clinical severity and risk):
Treatment of Thyroid ophthalmopathy
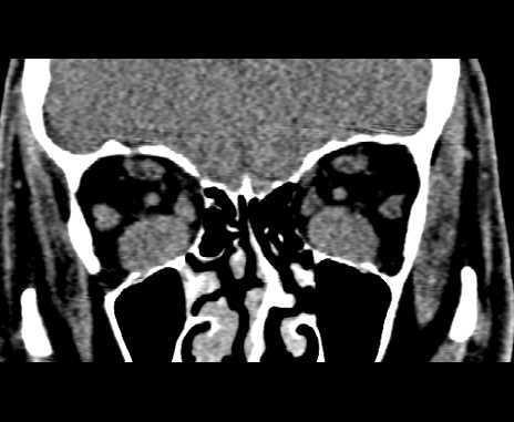
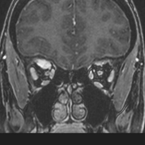
Radiographic features of Thyroid Ophthalmopathy

Assessment of proptosis on cross-sectional imaging is difficult and dependant on the study being acquired in the correct plane:
the plane of the study must be parallel to the head of the optic nerve and the lens
the patient must have their eyes open and be looking forward with no eye movement
The reference line for measurement of proptosis is the interzygomatic line (a line is drawn at the anterior portions of the zygomatic bones):
the distance from this line to the posterior sclera is normally 9.9 +/- 1.7 mm 2
the distance from this line to the anterior surface of the globe should be <23 mm 4
The thickness of the extraocular muscles can also be used 1.

what is this?

what are the variants of idiopathic orbital inflammation?


Rad features of idiopathic orbital inflammation

Detection of Occular FB
Metal
Glass
Wood

What is the molecular pathophysiology of NF 2?
https://disorders.eyes.arizona.edu/disorders/neurofibromatosis-type-ii

what is Erdeim Chester disease


What are 6 Occular Manifestations of NF 1?

Patterson, Brittany & Barton, Christopher & Lakhotia, Arpita. (2019). Unequaled overgrowth inside and out—an exceptional example of hypertrichosis overlying plexiform neurofibroma. JAAD Case Reports. 5. 670-671. 10.1016/j.jdcr.2019.04.018.

Ocular manifestations of NF 2
Clinical Characteristics
Ocular Features:
It is not uncommon for children to present with visual complaints secondary to cataracts, retinal hamartomas, or optic nerve damage from a schwannoma. The most common eye findings are juvenile cataracts (up to 80% of patients), followed by epiretinal membranes in 12-40%, and retinal tumors in 6-22%. Lens opacities may be located in the posterior subcapsular region or as cortical wedge-shaped opacities in the periphery where they are easily missed if the pupil is not fully dilated. Translucent, grayish epiretinal membranes with white edges are present in a significant number of patients, including children. Elevated retinal hemartomas in the macula are often associated with pigmentary changes. Lisch nodules characteristic of type I neurofibromatosis (162200) are generally not found in type II. Corneal damage may occur as a complication of hypesthesia resulting from damage to the fifth cranial nerve.
CT scans reveal calcification along the optic nerve in a “tram-track” configuration which occurs in 20-30% of patients with NF type II.
Systemic Features:
Type II neurofibromatosis often presents in the third or fourth decade of life as hearing loss accompanied by tinnitus and dizziness.
A significant proportion of children (30%) present with the same symptoms although they are more likely to complain of visual disturbances.
Type II accounts for about 10% of neurofibromatosis cases.
Acoustic neurinomas, usually bilateral, are far more common in type II (95%) and are considered diagnostically distinctive by some.
Such schwannomas also occur in other cranial and peripheral nerves.
Neurofibromas are uncommon but meningiomas, ependymomas, and astrocytomas are seen frequently.
Schwannomas can form anywhere along peripheral nerves and at least a third of patients require surgical excision of one or more of these lesions.
These account for the majority of skin plaques and lumps and are found in more than half of patients.
Café-au-lait spots are uncommon or even absent in many patients with type II.
Patients with type II neurofibromatosis do not have the cognitive problems sometimes seen in those with type I.
Longevity overall is reduced.
The average patient lives about 15 years after diagnosis and the average age of death is 36 years.
Genetics
Type II neurofibromatosis is an autosomal dominant disorder caused by mutations in the NF2 gene (22q12.2) which encodes neurofibromin-2, sometimes called merlin or schwannomin. This protein product, like neurofibromin in type I (162200), functions as a tumor suppressor. New mutations are responsible for approximately half of cases.
Cognitive deficits and Lisch nodules on the iris are more commonly found in neurofibromatosis type I (162200) but acoustic neuromas are less common. Type I results from mutations in NF1.
Treatment
Early surgical treatment of small acoustic and facial schwannomas can preserve nerve function in many cases. This is a progressive disease requiring lifelong monitoring for disease progression. The peripheral lens opacities usually do not progress and therefore cause little visual morbidity.
https://disorders.eyes.arizona.edu/disorders/neurofibromatosis-type-ii

Ocular Manifestations of Sturg-Weber
aka encephalotrigeminal angiomatosis
Sturge-Weber syndrome, or encephalotrigeminal angiomatosis, is a phakomatosis characterised by facial port wine stains and pial angiomas.
Approximately a third of patients have choroidal or scleral angiomatous involvement, which may be complicated with retinal detachment, buphthalmos or glaucoma 1.
Sturge-Weber syndrome is a rare syndrome, with an incidence estimated at 1 case in 20,000-50,000 persons 11.


Ocular Manifesations of Sturg-Weber
https://www.researchgate.net/figure/Bilateral-Sturge-Weber-syndrome-Postcontrast-axial-MR-image-A-shows-gross_fig1_14472655
Bilateral Sturge-Weber syndrome. Postcontrast axial MR image ( A ) shows gross leptomeningeal thickening and enhancement related to the right hemisphere and less extensive abnormality of the left occipital region. Unenhanced axial T1-weighted image ( B ) shows thickening of the posterior globes bilaterally; after administration of contrast material ( C ), marked enhancement is seen in both globes. Abnormal high signal is present in this region on the proton density–weighted image ( D ). Bilateral, diffuse choroidal hemangiomas were found at ophthalmoscopy (not shown).
Ocular manifestations of Tuberous Sclerosis

What is the Ocular manifestation of Von Hipple Lindau?
Retinal Hemangioblastomas

Lymph node level 1a

superiorly:
inferiorly:
anteriorly:
posteriorly:
There are two sublevels:
Submental LNs
superiorly: mylohyoid muscle and mandible
inferiorly: inferior border of the hyoid bone
anteriorly: platysma muscle
posteriorly: posterior border of the submandibular gland
There are two sublevels:
level Ia (submental nodes): anteromedial between the anterior bellies of both digastric muscles
level Ib (submandibular nodes): posterolateral to the anterior belly of the digastric muscles

Level II lymph nodes
Boundaries
superiorly:
inferiorly:
anteriorly:
posterolaterally:
medially:
There are two sublevels:
Level II: upper internal jugular (deep cervical) chain
superiorly: base of the skull at the jugular fossa
inferiorly: inferior border of the hyoid bone
anteriorly: posterior border of the submandibular gland
posterolaterally: posterior border of the sternocleidomastoid muscle
medially: medial border of the internal carotid artery
There are two sublevels:
level IIa: inseparable from or anterior to the posterior edge of the internal jugular vein; includes jugulodigastric nodal group
level IIb: posterior to and separable by a fat plane from the internal jugular vein

Level III lymph nodes
Boundaries
superiorly:
inferiorly:
anteriorly:
posterolaterally:
medially:
There are two sublevels:

Level IV lymph nodes Boundaries
superiorly:
inferiorly:
anteriorly:
posterolaterally:
medially
Level IV: lower internal jugular (deep cervical) chain
superiorly: inferior border of the cricoid cartilage
inferiorly: level of the clavicle/manubrium
anteriorly: anterior border of the sternocleidomastoid muscle
posterolaterally: oblique line drawn through the posterolateral edge of the sternocleidomastoid muscle and the lateral edge of the anterior scalene muscle 2
medially: medial border of the common carotid artery
includes medial supraclavicular nodes including Virchow node 1

Level V lymph nodes
Boundaries
superiorly:
inferiorly:
anteriorly:
posterolaterally:
medially
There are two sublevels:
Level V: posterior triangle

superiorly: skull base at the apex of the convergence of sternocleidomastoid and trapezius muscles
inferiorly: level of the clavicle
anteromedially: posterior border of the sternocleidomastoid muscle
posterolaterally: anterior border of the trapezius muscle
There are two sublevels:
level Va: superior half, superior to inferior border of the cricoid cartilage (posterior to levels II and III); includes spinal accessory nodes
level Vb: inferior half, inferior to inferior border of the cricoid cartilage (posterior to level IV); includes lateral supraclavicular nodes 1
Level VI lymph nodes
Boundaries
Level VI lymph nodes
Boundaries
Level VI: central (anterior) compartment
superiorly: inferior border of hyoid bone
inferiorly: superior border of manubrium (suprasternal notch)
anteriorly: platysma muscle 8
posteriorly: trachea (medially) and prevertebral space (laterally) 8
laterally: medial borders of both common carotid arteries (medial to levels III and IV)
includes anterior jugular, pretracheal, paratracheal, prelaryngeal/precricoid (Delphian), and perithyroidal nodes
