What is the RMP/RMS?

retrorenal posterior interfascial space

What is the Anterior interfascial retromesenteric plane.

Anterior interfascial retromesenteric plane.
Potentially expansile plane between the anterior pararenal space and perinephric space ; continuous across the midline.
It is an important potential route of contralateral spread of retroperitoneal collections.
What is the posterior interfascial retrorenal plane?
Posterior interfascial retrorenal plane.

What is the Lateroconal interfascial plane.
What does it communicate with?

What is the
Combined interfascial plane.
Combined interfascial plane.
Fig. 2: Sagittal CT image shows inferior fusion of retromesenteric plane (RMP) with retrorenal plane (RRP) to form the combined interfascial plane (CIP). This point creates a route for spread of diseases between the abdominal and pelvic retroperitoneal spaces

What does ‘c’ lable?

Combined interfascial plane.
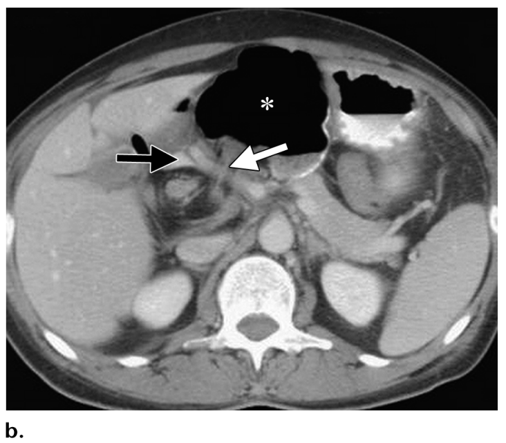
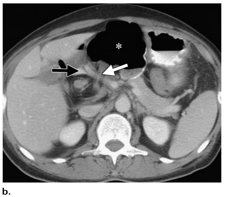
Figure 13. Interfascial spread. (a) Diagram drawn in the sagittal plane shows the inferior fusion of the Gerota (GF) and Zuckerkandl (ZF) fascias, which form the combined interfascial plane (CIP). Although the perirenal space is cut off by the fusion of Gerota and Zuckerkandl fascias inferiorly, it is possible for disease to extend along the combined interfascial plane. (b) Coronal reformatted CT image obtained in a 75-year-old man with nonHodgkin lymphoma shows involvement of the left kidney (*) and perinephric space (black arrow) by tumor and thickening of Gerota fascia (white arrows). (c) Coronal CT image, obtained in the same patient, shows a nodule (arrow) in the combined interfascial plane (arrowhead), a finding indicative of interfascial spread of lymphoma.
https://pubs.rsna.org/doi/pdf/10.1148/rg.322115032

What is Happening here?
What is the anatomy involved?

Foramen of Winslow Hernia
Axial CT image obtained in a 48-year-old woman shows the cecum (*) adjacent to the stomach, an unusual position, and passage of the right colic vessels (white arrow) across the foramen of Winslow, findings indicative of a foramen of Winslow hernia.
The foramen is marked posteriorly by the hepatic vessels (black arrow).
The presence of a foramen of Winslow hernia was confirmed at surgery.
https://pubs.rsna.org/doi/pdf/10.1148/rg.322115032

What separates the superior and inferior lesser sac?

A schematic diagram showing the lesser sac following the removal of the stomach and the transverse colon. The line of attachment of the transverse mesocolon and the mesentery is shown. The left gastric artery and common hepatic artery project into the lesser sac, raising the left and right gastropancreatic folds, which divide the lesser sac into the superior and inferior recesses. The splenic recess of the lesser sac is seen extending toward the splenic hilum
https://www.researchgate.net/figure/A-schematic-diagram-showing-the-lesser-sac-following-the-removal-of-the-stomach-and-the_fig3_316332115
Sharma, Malay & Madambath, JayanGopinath & Somani, Piyush & Pathak, Amit & Babu, Ramesh & Bansal, Raghav & Ramasamy, Kovil & Patil, Amol. (2017). Endoscopic ultrasound of peritoneal spaces. Endoscopic Ultrasound. 6. 90. 10.4103/2303-9027.204816.

Describe the retroperitoneal spaces and their relation ships

What is the Fascial trifurcation.
Fascial trifurcation. Site at which the LCF emerges from Gerota fascia; anterior, posterior, and lateroconal interfascial planes communicate at the fascial trifurcation, usually located laterally to the kidney.
What does the anterior pararenal space contain?
Anterior pararenal space
Between parietal peritoneum and anterior renal fascia ; contains pancreas and bowel
What are the contents of the posterior pararenal space
What does it lie between?
What does it continue as?

What does the perirenal space contain?
What is it between?
Perirenal space.
Between anterior renal fascia and posterior renal fascia
Contains kidney, adrenal gland, proximal collecting systems, renal vessels, and a variable amount of fat

Are the perinephric spaces are closed ________.
The retromesenteric space is _______.
The perinephric spaces are closed medially.
The retromesenteric space is continuous across midline.
What are the contents of the perirenal space?
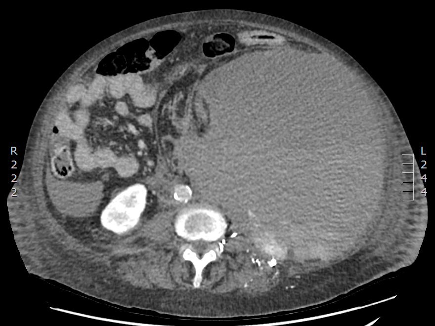
What are 5 causes of Retroperitoneal Hematoma?

Retroperitoneal Hematoma
Causes
Interventional angiogram identified her primary bleeding source from the left circumflex iliac artery a branch of the external iliac artery and also to a lesser degree from the left L4 and L5 lumbar arteries.
Case Discussion
The patient was emergently transferred to a tertiary center for endovascular embolization. Endovascular angiography revealed the above primary bleeding sources. Each artery received Onyx embolization. Immediate post embolization images showed satisfactory control however her time in ICU continued to be turbulent with dependency on vasoactive medications and continued transfusion of blood products. Repeat abdominal CT angiogram confirmed an increase in the size of her retroperitoneal hematoma. The patient continued to deteriorate falling into multiorgan dysfunction syndrome thought to be contributed by abdominal compartment syndrome. An emergency midline laparotomy was performed. The massive hematoma was evacuated with a rough calculated volume of 10 L. No active arterial bleeding was identified, perhaps from the massive hematoma achieving tamponade. Fortunately, the patient made a full recovery.
Case courtesy of Dr Paul Clarke, Radiopaedia.org, rID: 69556
What are the imaging features of Retroperitoneal Haemorrage?
What are the HU for Acute hemorrhage?
Imaging Features
Abscess in x = y cause
Abscess
Location and Causes
What are 3 causes of Retroperitoneal Air?
Retroperitoneal Air
Causes
8 Causes of retroperitoneal fibrosis

Retroperitoneal Fibrosis
Fibrotic retroperitoneal process that can lead to ureteral and vascular obstruction.
Causes
Which is most likely to cause a desmoplastic reaction and retroperitoneal fibrosis?
NHL, Mets, HL, Anaplastic Ca?
Desmoplastic reaction to tumors:
What medications cause retroperitoneal fibrosis?
What are the imaging features of Retroperitoneal Fibrosis?

Imaging Features
Case courtesy of Dr Luke Danaher, Radiopaedia.org, rID: 17435