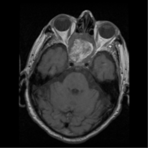
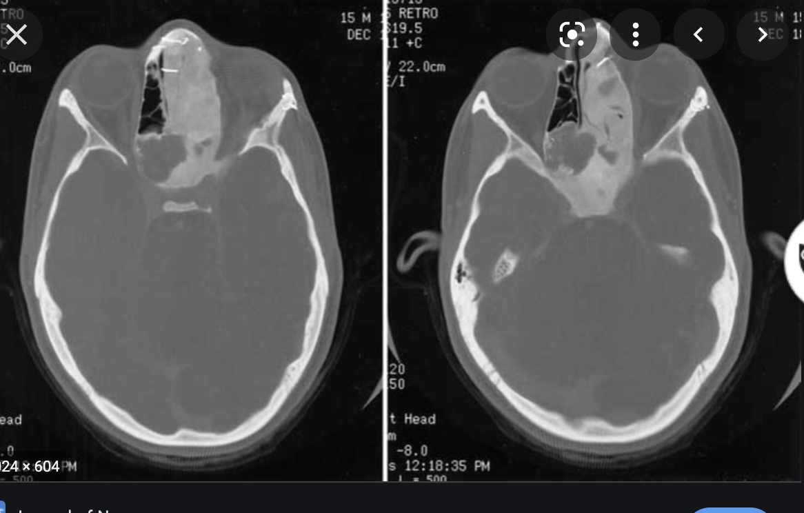
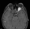
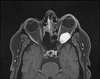
Anterior skull base Mucocele
PNS can be antegrade and retrograde
True or false?
true.
What is PHPV associated with?
Rad Features of Optic Nerve Meningioma
Clinical symptoms of Optic nerve glioma
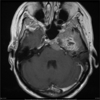
Orbital hemangiopericytoma

Orbital hemangiopericytoma
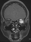
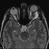
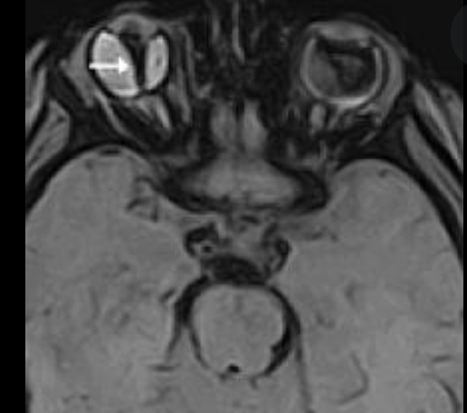
Buphthalmos
Buphthalmos
Buphthalmos:
Causes of Optic Neuritis
what does ocular melanoma arise from?
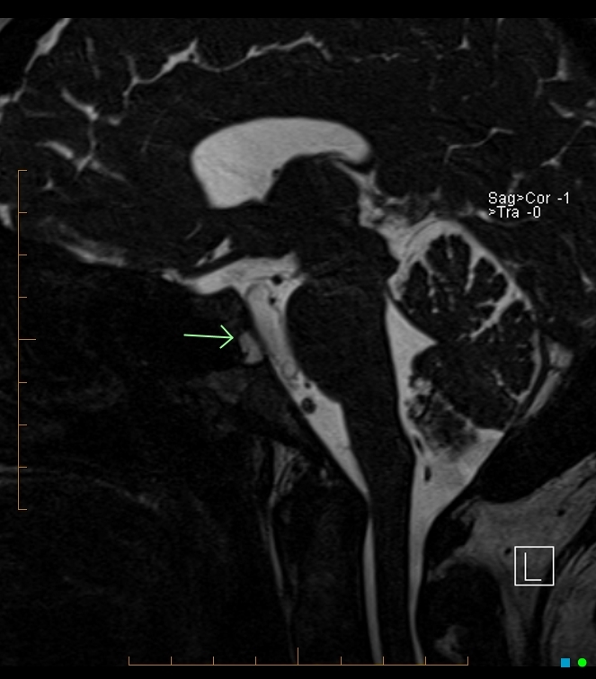
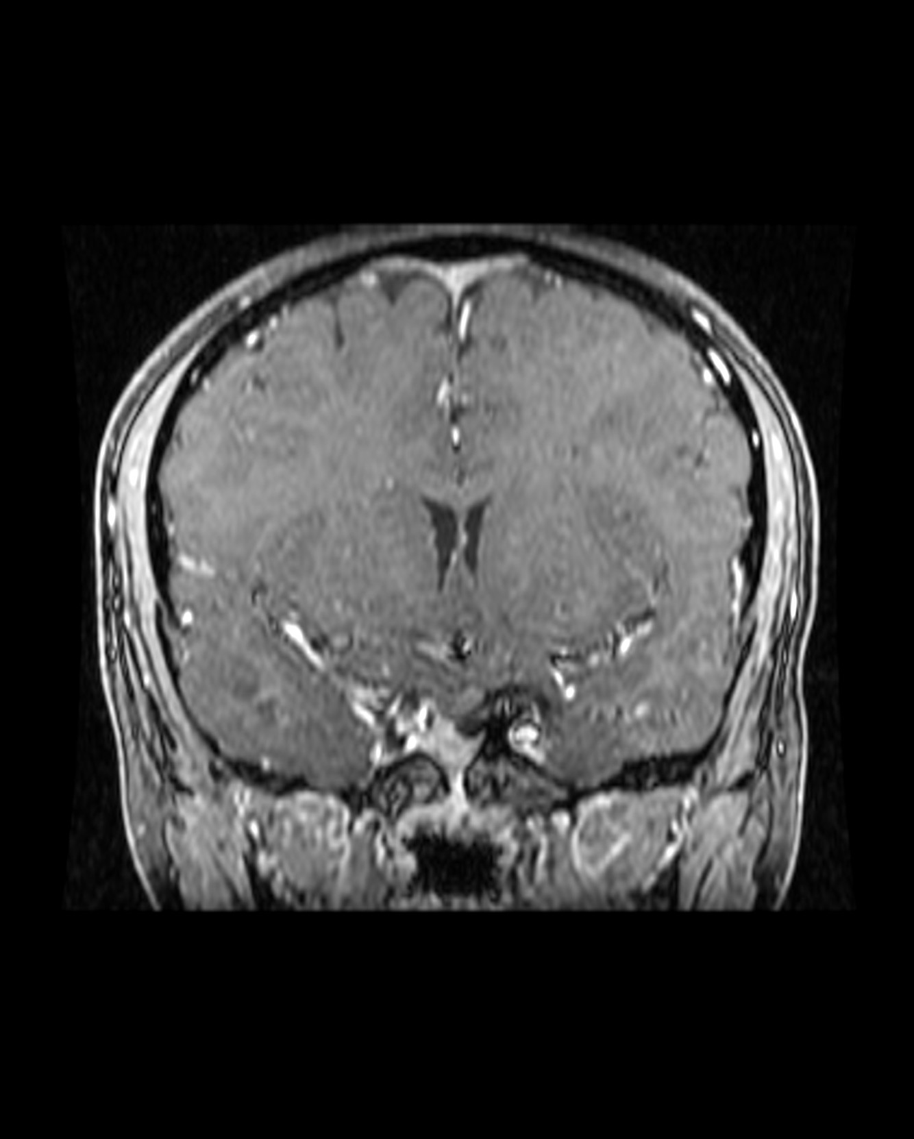
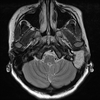
Ecchordosis Physaliphora
Ecchordosis Physaliphora
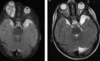
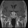
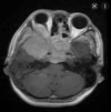
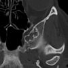
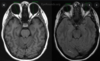
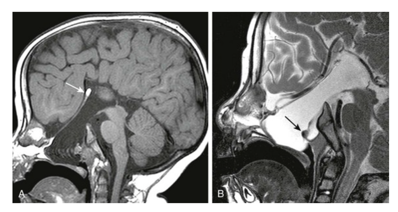
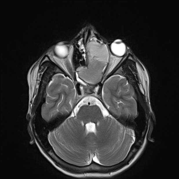
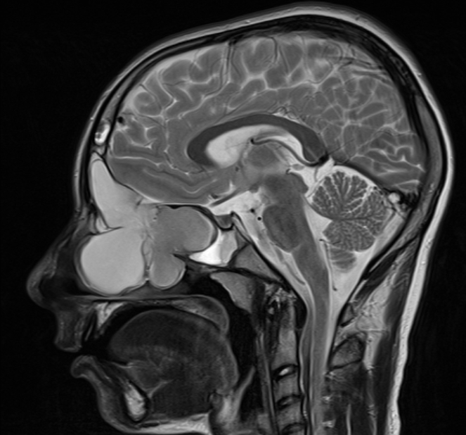
Cystic lesion in the prepontine cistern without enhancement or restricted diffusion extending into bone.
Absence of enhancement or restricted diffusion together with non-aggressive bony margins in this location is typical of a retroclival ecchordosis physaliphora, a notochord remnant.
Ecchordosis physaliphora is a congenital benign hamartomatous lesion derived from notochord remnants, usually located in the retroclival prepontine region, but can be found anywhere from the skull base to the sacrum.
Terminology
There has been some controversy as to whether intradural chordoma and large ecchordosis physaliphora are different entities. Some authors (such as Wolfe et al.) proposed the name ‘intradural chordoma’ for all intradural notochordal remnant lesions 8. Others (such as Rodriguez et al.) proposed that all intradural notochordal remnant lesions should be called ecchordosis physaliphora, until chordoma are pathologically proven to arise from the intradural compartment 9. However, they are currently considered distinct pathologies with a common origin.
Clinical presentation
Unlike chordomas which are often symptomatic due to brainstem or cranial nerve compression, patients with ecchordosis physaliphora are usually asymptomatic. They are found in ~2% of autopsies 1.
Pathology
Ecchordosis physaliphora arise from remaining notochord cells along the axis of the spine after embryogenesis. Unfortunately, ecchordosis physaliphora and chordoma are histologically indistinguishable, other than by examining the margins, the latter demonstrating infiltrative growth.
Central skull base Aneurysms
Central skull base Aneurysms
Rhabdomyosarcoma

Rhabdomyosarcoma
What are the radiographic findings of ocular melanoma?
WHICH nerves does PNS most often occur?
PNS (perineural Spread) most commonly occurs along CN V and VIII branches
Complications of Optic Neuritis
40-60% of patients ultimately develop MS
70-90% of MS patients develop optic neuritis
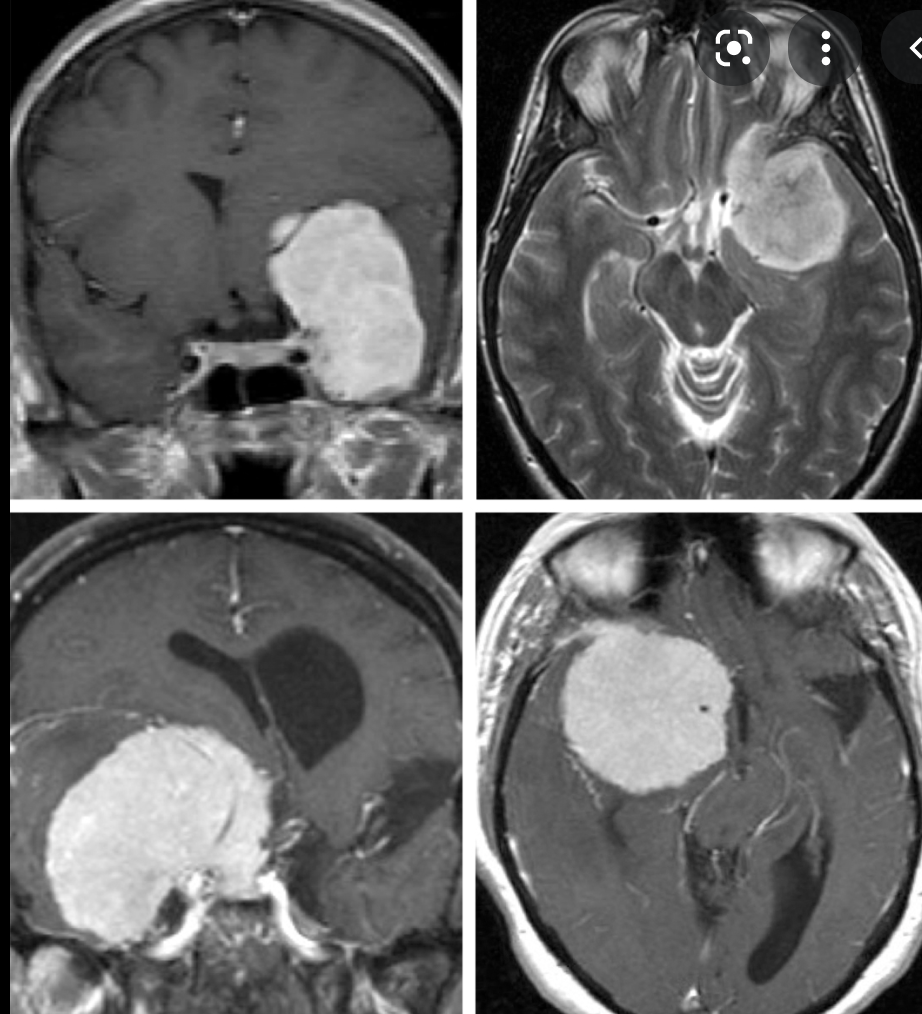
Figure 2: Medial sphenoid wing meningiomas can present different set of technical challenges based on their involvement of the medial neurovascular structures and the encasement of the carotid artery’s perforating vessels. A medial sphenoid wing meningioma with minimal medial extension is shown (upper images). The Sylvian middle cerebral artery branches drape over the superior pole of the tumor. A more true medial sphenoid wing/clinoidal meningioma with significant medial extension and encasement of the ICA is also included (lower images).
Orbital Infantile Hemangioma Associated syndrome
PHACES syndrome
Posterior fossa malformation
Hemangioma
Arterial anomalies
coarct/cardiac anomalies
Eye anomalies
Sternal clefting/supraumbilical raphe
Sinonasal melanoma
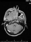
Central skull base Basal cephalocele
Central skull base Basal cephalocele
FIGURE 31-5 Basal encephalocele.A, A sagittal T1-weighted image shows callosal agenesis with a tiny lipoma (arrow). A large defect in the basisphenoid is seen. Note the apparent absence of the pituitary, floor of the third ventricle, and optic pathways. B, A high-resolution sagittal T2-weighted image shows the pituitary-hypothalamic structures (arrow) and optic pathways are contained within the encephalocele.
Anterior skull base Fibrous dysplasia
Anterior skull base Fibrous dysplasia
Central skull base Persistent craniopharyngeal canal
Central skull base Persistent craniopharyngeal canal
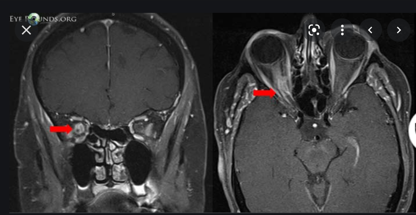
Hemangiopericytoma of the anterior skull base