CHEST IMAGING 1 Flashcards

(100 cards)

1
Q

NOCARDIA PNEUMONINA

A
  • Nocardia asteroides
  • worldwide distribution
  • common opportunistic invader
    • lymphoma
    • steroid treatment/Transplant patients
    • Pulmonary alveolar proteinosis
  • Focal consolidation
  • cavitation
  • irregular nodules
How well did you know this?
1
Not at all
2
3
4
5
Perfectly
2
Q

MEDIASTINAL HISTOPLASMOSIS

What does it follow?

Two entities

Rad Features?

A
  • Mediastinal histoplasmosis may follow pulmonary histoplasmosis
  • There are two distinct entities that may not always be separable from each other.
    • mediastinal granuloma
      • results from the spread of H Capsulatum to lymph nodes
      • Granulomas usually calcified
      • displacement of the superior vena cava or esophagus
    • Mediastinal fibrosis (fibrosing or sclerosing mediastinitis
      • May cause superior vena cava syndrome, airway compression, PA occlusion, pericarditis.
      • Diffuse infiltration of the mediastinum
      • Multiple densely calcified nodes.
How well did you know this?
1
Not at all
2
3
4
5
Perfectly
3
Q

Radiological findigs suggestive of Vasculitis

7

A
  1. ulcerating deforming upper a/w lesions
  2. palpable purpura
  3. peripherla neuropathy
  4. rapidly progressive GN
  5. Pulmonary renal syndrome
  6. Nodules or cavities
  7. diffuse alverolar haemorrage
How well did you know this?
1
Not at all
2
3
4
5
Perfectly
4
Q

What?

Pulm findings

how to dx

Associations

Types

A
  • INTRO
    • Extracellular depositions of protein derived from light chains of monoclonal immunoglobulin
  • Classification
    • primary
      • heart, lung (70%), skin, tongue, nerves
    • secondary
      • liver, spleen, kidney
      • seen in infection, inflammation, neoplasm
    • familial
      • Mediterranean fever
    • localized
      • isolated organs
    • Aging-associated
  • Xray non-specific
    • +/- nodules
    • diffuse linear patterns
    • Pulmonary involvement can be diffuse or focal
    • Bx to dx.
  • Case Discussion
    • This case illustrates a histologically confirmed focal amyloidosis causing right bronchial encasement. There are also multiple pulmonary nodules, a few of them demonstrating flecks of calcifications, thought to represent nodular pulmonary amyloidosis given the imaging appearances, minimal interval change over time, and confirmed tracheobronchial amyloidosis.
  • ASSOCIATIONS
    • There is a known association between pulmonary amyloidosis AL type and Sjogren syndrome.
How well did you know this?
1
Not at all
2
3
4
5
Perfectly
5
Q

Causes of Calcified Pulmonary metastases

(8)

A
  • Chondrosarcoma
  • Treated choriocarcinoma
  • Breast ca
  • Ovarian ca
  • Colon Ca
  • GCT
  • Synovial Sarcoma
  • Thyroid/meddullary thyroid ca
How well did you know this?
1
Not at all
2
3
4
5
Perfectly
6
Q

BACTERIAL INFECTIONS

Common pathogens

A
  • S pneumoniae
    • Lobar or segmental pneumonia pattern
    • bronchopneumonia
    • round pneumonia
  • myocplasma
  • Aerobes
  • G-neg bact
  • staphyloccus
    • bronchopnumonia
    • bilateral >60%
    • Abscess cavities 25-75%
    • Pleural effusion, empyema 50%
    • Pneumatoceles (particularly in kids, check valve obstruction)
    • Central lines
    • signs of endocarditis.
  • haemophilus (infants andCOPD)
  • pseuodmonas pneumonia
    • Hospital acquired infection
    • VEntilated patient
    • Reduced host resistance
    • CF
    • 3 main presentations
      • extensive bilateral parenchymal consolidation (predilection for lower lobes)
      • abscess formation
      • diffuse nodule disease. Bacteraemia with hematogenous spread (rare).
    • Legionnaires
      • Severe pulmonary infection caused by legionella hemophilia, 35% of patients require ventilation, 20% mortality. Most infections are community-acquired. Hyponatremia. Seroconversion takes 2 weeks.
        • initial presentation off peripheral patchy consolidation
        • bilateral severe disease
        • rapidly progressive
        • pleural effusions <50%
        • LL predilection
    • H. Influenzae.
      • occurs in kids, immunocomp adults or patients with COPD
      • Concominant meningitis, epiglotitis and bronchitis.
      • Bronchopneumonia pattern
      • LL predilection, often difuse
      • Empyema
    • Mycoplasma pneumonia
      • Most common nonbacterial pneumonia (atypical pneumonia). Mild course 5-20 years. Positive for cold agglutinins, 60%
      • LL predilection, often diffuse
      • reticular
      • consolidation 50%.
      • Complications
        • Autoimmune Haemolytic anaemia
        • Erthema nodosum, erythema miltiforme
        • SJS
        • Meningoencephalitis.
    • Klebsiella Pneumonia
      • Gram neg organism
      • debilitated patients or alcholism
      • consolidation appears similar to that of s. pneumoniae
      • Lobar expansion
      • cavitation, 30-50%. typically multiple
      • Massive necrosis (pulmonary gangrene)
      • Pleural effusion uncommon.
    • TB
      • usually requires constant or repeated contact with sputum positive patients because the tubercle does not easily grow in the immunocompetent human host.
        • Homelessness
        • alcoholics
        • Immigrants
        • elderly
        • AIDS
        • Prisoners
      • Primary infection
        • Usually heals without complications. The sequence of events includes
          • Pulmonary consolidation (1-7cm)
          • invitation Is rare
          • LL 60%, >UL
        • caseous necrosis 2-10 weeks after infection
        • LAD (hilar and paratracheal) 95%.
        • Pleural effusion 10%
        • Spread of primary focus occurs primarily in kids or immunosuppressed.
      • Secondary infection
        • active disease in adults most commonly represents reactivation of primary focus. However primary disease is now also common in adults in developed countries because there is no exposure in child hood.
        • Typically limited to apical and posterior segments of ULs or superior sets of LLs
        • Rarely in anterior segments of ULs (in contradistinction to histoplasmosis).
      • Exudative TB
        • Patchy or confluent air space disease. Adenopathy uncommon.
      • Fibrocalcific TB
        • Sharply circumscribed linear densities radiating to hilum
      • Cavitations
    • Complications
      • Milary TB (may occur after primary or secondary haematogenous spread.
      • Bronchogenic spread occurs after communication of the nectrotic area with a brocnhus, it produces an acinar pattern, irregular nodules approximately 5mm in diameter.
      • Tuberculmoa 1-7cm nodule during primary or secondary TB. May contain calcificaiton
      • EFFUSIONS are often loculated
      • Bronchopleural fistula
      • Pneumothorax
How well did you know this?
1
Not at all
2
3
4
5
Perfectly
7
Q

Collagen vascular disease in the lungs

intro

pathogenesis

A
  • INTRO
    • common pathogenesis in the lung
      • immune response
      • inflammation (interstitial pattern/granuloma)
      • vasculitis
      • obstruction
        • respiratory insufficiency
        • pulmomary artery HTN
How well did you know this?
1
Not at all
2
3
4
5
Perfectly
8
Q

Definition, Rx

ediemiology

prognosis

associations (2)

A
  • Definition
    • Multisystem granulomatous disease of unknown cause most commonly effecting the lungs
  • Rx
    • steroids
  • Epid
    • more common in blacks
  • Prog
    • 20% progress to Pulmonary fibrosis
  • Associations
    • Lofgren syndrome (fever LAD and errythema nodosum)
    • Heerfordt sundrome (parotid gland enlargement, fever, uveitis, cranial nerve palsies. )
      *
How well did you know this?
1
Not at all
2
3
4
5
Perfectly
9
Q

Plain radiograph anatomic Landmarks 2 - Posterior Junction line

A

four layers of pleura. extends above clavicles and can often be seen on a frontal radiograph ass verticle line traversing the tracheal air column.

How well did you know this?
1
Not at all
2
3
4
5
Perfectly
10
Q

What is this condition?

PHASES with HRCT FINDINGS

A

ACUTE INTERSTITAL PNEUMONIA

  • Appears similar to ARDS but often with a symmetric Lower Lobe distribution
  • EXUDATIVE PHASE (shown in pic one case)
    • GGO
    • Consolidation
  • ORGANISING PHASE (pic two)
    • architectural distortion
    • traction bronchiectasis
    • Honey combing
How well did you know this?
1
Not at all
2
3
4
5
Perfectly
11
Q

TB

PRimary and secondary

complications

A
  • TB usually requires constant or repeated contact with sputum positive patients because the tubercle does not easily grow in the immunocompetent human host.
    • Homelessness
    • alcoholics
    • Immigrants
    • elderly
    • AIDS
    • Prisoners
  • Primary infection
    • Usually heals without complications. The sequence of events includes
    • Pulmonary consolidation (1-7cm)
    • cavitation Is rare
    • LL 60%, >UL
    • caseous necrosis 2-10 weeks after infection
    • LAD (hilar and paratracheal) 95%.
    • Pleural effusion 10%
    • The spread of primary focus occurs primarily in kids or immunosuppressed.
  • Secondary infection
    • active disease in adults most commonly represents reactivation of primary focus. However the primary disease is now also common in adults in developed countries because there is no exposure in childhood.
    • Typically limited to apical and posterior segments of ULs or superior segs of LLs
    • Rarely in anterior segments of ULs (in contradistinction to histoplasmosis).
  • Exudative TB
    • Patchy or confluent air space disease. Adenopathy uncommon.
  • Fibrocalcific TB
    • Sharply circumscribed linear densities radiating to hilum
  • Cavitations
  • Complications
    • Millary TB (may occur after primary or secondary hematogenous spread.
    • Bronchogenic spread occurs after the communication of the necrotic area with a bronchus, it produces an acinar pattern, irregular nodules approximately 5mm in diameter.
    • Tuberculmoa 1-7cm nodule during primary or secondary TB. May contain calcification
    • EFFUSIONS are often loculated
    • Bronchopleural fistula
    • Pneumothorax
How well did you know this?
1
Not at all
2
3
4
5
Perfectly
12
Q

Lymphomatoid Granulomatosis

A

Now considered a B-Cell lymphoma

M>F

Multiple small nodules are similar to those of wege4ners

nodules are not numerous and tend to cavitate.

How well did you know this?
1
Not at all
2
3
4
5
Perfectly
13
Q

INFECTIOUS CAVITATING LESIONS

A
  • Abscess: necrosis of lung parenchyma +/- bronchial communication
  • fungal ball (air crescen/Monad sign)
  • Postprimary TB (favour apical and superior segs). Pneumatoceles Causes by air leak into pulmonary interstitium.
  • anerobic bacteria
  • aspergillus
  • m. tubercylosis
  • S aureus
How well did you know this?
1
Not at all
2
3
4
5
Perfectly
14
Q

S. AUREUS PNEUMONIA

A

bronchopnumonia

bilateral >60%

Abscess cavities 25-75%

Pleural effusion, empyema 50%

Pneumatoceles (particularly in kids, check valve obstruction)

Central lines

signs of endocarditis.

How well did you know this?
1
Not at all
2
3
4
5
Perfectly
15
Q

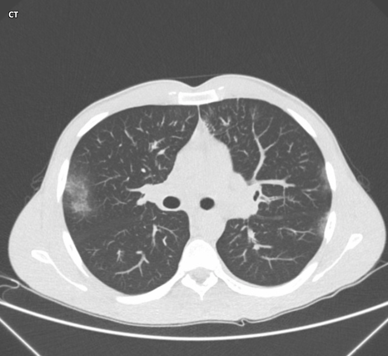
Upper lobe predominant Conditions

(9)

CASE:

M25 Low-grade fever, cough, shortness of breath with a history of bronchial asthma, eczema at hands and feet, nasal polyposis, and past episode of pericarditis.

A
  • BREASTS
  • Beryilosis
  • Radiation fibrosis
  • Eosinophilic pneumonia, Extrinsic allergic Alveolitis
  • Allergic Bronchopulmonary aspergiolosis. Ankylosing Spondylosis
  • Sacroid
  • TB
  • Silicosis

Picture: Typical symtpoms of eosinophilic granulomatosis with polyangiitis are present (e.g. chronic nasal polyposis, past pericarditis and onset respiratory symptoms). Imaging illustrates a ground glass pattern compatible with eosinophilic pneumonia and, in addition to this, laboratory findings (peripheric eosinophilia, BAL with high count of eosinophils) confirm the diagnosis.

How well did you know this?
1
Not at all
2
3
4
5
Perfectly
16
Q

Diffuse opacities

A
  • Reticulonodular pattern
    • interstitial peribronchial areas of inflammation (viral)
    • Alveolar location (PCP)
    • Miliary Pattern (TB)
  • Viral, Mycoplasma, PCP
How well did you know this?
1
Not at all
2
3
4
5
Perfectly
17
Q

Klebsiella Pneumonia

A
  • Klebsiella Pneumonia
    • Gram neg organism

debilitated patients or alcholism

* consolidation appears similar to that of s. pneumoniae
* Lobar expansion
* cavitation, 30-50%. typically multiple
* Massive necrosis (pulmonary gangrene)

Pleural effusion uncommon.

How well did you know this?
1
Not at all
2
3
4
5
Perfectly
18
Q

What are the

AKA (1),

CLinical presentation (4)

HRCT features (7) and

Histopatholgy (4)

of this condition?

A

Cryptogenic Organising Pneumonia

  • ALSO KNOWN AS
    • bronchiolits obliterans organising pneumonia (BOOP)
  • CLINICAL PRESENTATION
    • Cough
    • SOB (mild)
    • Fever over several months
    • +/- antecedant hx of LRTI/URTI
  • HISTOPATHOLGY
    • intra-alveolar proliferation of granulation tissue
    • temportal uniformity
    • similar patttern may be seen in
    • collagen vascular disease
    • drug exposure/infection
  • HRCT findings
    • Patchy consolidation/GGO
    • Subpleural, peribronchial
    • Lower lung > upper
    • +/- centrilobular nodules
    • +/- large irregularly shaped masses
    • ATTOL sign (1st picture) crescent shaped opacity
    • REVERSE HALO sign (second picture)
      • central GGO with surrouding consolidation.
How well did you know this?
1
Not at all
2
3
4
5
Perfectly
19
Q

Ankylosising Spondylitis

Pulmonary findings

7

A
  • pulm fibrosis in 10%
  • upper lobe
    • scarring
    • infiltration
    • cystic air spaces
  • ossification of spinal ligaments
  • sacroilitis
  • cardiomegally
How well did you know this?
1
Not at all
2
3
4
5
Perfectly
20
Q

VARICELLA ZOSTER PNEUMONIA

A
  • 15% of infected patients have pneumonia
  • 90% are older than 20 years.
  • ACUTE PHASE
    • multiple acinar opacities
    • coalescence of acinar opacities to diffuse patchy sad.
    • 1-2mm calcifications throughout the lungs after healing
    • HRCT usually shows 1-10mm well defined and ill-defined nodules diffusely throughout both lungs
How well did you know this?
1
Not at all
2
3
4
5
Perfectly
21
Q

NON TUBERCULOUS MYCOBACTERIAL INECTIONS

NTMB

A
  • Two most common NTMB inffections are M. Avium intracellulae, and M. kansaii
  • Unlike TB, NTMB infections are not acquired by human to human transmission, but are a direct infection from soil or water. there is also no pattern of primary disease or reactivation. The infection is primary although some infections may become chronic.
How well did you know this?
1
Not at all
2
3
4
5
Perfectly
22
Q

PLASMA CELL GRANULOMA

INTRO

HISTO

EPID

RX

Xray features

A
  • INTRO
    • local cellular proliferation of
      • spindle cells
      • plasma cells
      • lymphocytes
      • histiocytes
    • Most common tumour like pulmonary abnormality in children younger than 15 years
  • RX resection
  • Xray
    • solidaty lung mass 1-12 cm
    • no or very slow growth
How well did you know this?
1
Not at all
2
3
4
5
Perfectly
23
Q

6 forms of pleuropulomonary disease in Rheumatoid Arthitis

A

Rheumatoid Arthitis

  1. Rhematoid lung nodules
    • necrobiotic
    • 20%
    • usually multiple
    • may change in size rapidly or disapear
    • a/w cutaneous nodules
  2. pleural effsuons/pleuritis
    • pleuritis is the most common pulmonary feature of RA
  3. Caplan syndrome
    • nodular rheumatoid lung disease a/w pneumoconiosis fibrosis alveolitis
  4. Constrictive bronchiolitis
  5. Lymphoid hyperplasia
  6. Pulmonary HTN
How well did you know this?
1
Not at all
2
3
4
5
Perfectly
24
Q

BRONCHOPNEUMONIA

A

Primarily affects the bronchi and adjacent alveoli. Volume loss maybe present as bronchi filled with exudates. bronchial spread results in multifocal patchy opacities - S. Aureus - Ve bacteria - Mycoplasma

How well did you know this?
1
Not at all
2
3
4
5
Perfectly
25
Radiographic features of this condition
UIP * CAUSES * Called Idiopathic pulmomnary finbrosis when no cuases identified. * AKA: cryptogenic fibrosising alveolitis * PROG * 4 year mean survival * Dx * lung bx * Mx * Steroids and cytotoxics * Clinical * CLubbing, non-prod cough, SOB, LOW * DISTRIBUTION * Lower zones * Peripheral/subpleural * HRCT Pattern * **early** GGO * **mid** reticular patter in LLs * **late** honey combing and tration bronchiectasis * Reduced lung volumes * Pulmonary HTN * Cardiomegaly. * Alveolar fibrosis, spatiral and temporal heterogeneity * Architectural distorsion.
26
What is the pathology of this condtion?
ACUTE INTERSTITIAL PNEUMONIA (AIP) * Diffuse alveolar damange * 1st picture: EXUDATIVE PHASE * hyaline membranes and alveolar infiltration by LYMPHOCYTES * 2nd picture: 1 year later * ORGANISING PHASE * alveolar wall thickening * fibrosis * traciton bronchiectasis
27
PSEUDOMONAS PNEUMONIA
pseuodmonas pneumonia Hospital acquired infection VEntilated patient Reduced host resistance CF 3 main presentations extensive bilateral parenchymal consolidation (predilection for lower lobes) abscess formation diffuse nodule disease. Bacteraemia with hematogenous spread (rare).
28
Plain radiograph anatomic Landmarks 5 - Left paraspinal line
extends from aortic arch to diaphragm Like the right paraspinal line, the left paraspinal line actually represents a lung-mediastinum interface and is associated with a positive Mach band phenomenon, having the appearance of a line etched in white (,9). Reported on 41% of posteroanterior radiographs, the left paraspinal line is seen more frequently than the right paraspinal line due to the presence of the descending thoracic aorta on the left, which promotes the tangential contact of the left lung necessary to produce the lung-mediastinum interface (,1,,3). As with the right paraspinal line, osteophytes or prominent mediastinal fat can cause an abnormal contour of the left paraspinal line; however, tortuosity of the descending thoracic aorta may also displace it. Abnormal contour or displacement may also suggest additional posterior mediastinal abnormalities such as a mediastinal hematoma, a mass, extramedullary hematopoiesis, or esophageal varices (,Fig 21,) (,1,,4,,5).
29
Pulmonary alveolar microlithiasis * SIGNS * "Sandstorm" of diffuse pulmonary microcalcification in a peripheral distribution * "Lucent mediastinum" sign * "Black pleura" sign * INTRO * rare idiopathic condition characterized by widespread intra-alveolar deposition of spherical calcium phosphate microliths (calcospherites). * Epidemiology * A slight female predilection may be present in the familial form. Most cases are reported in Asia and Europe * Associations * testicular microlithiasis * Clinical presentation * Often discovered incidentally on a chest radiograph. The radiographic features are frequently disproportionate to the clinical symptoms. * Pathology * Pulmonary alveolar microlithiasis is believed to be due to a mutation in the SLC34A2 gene that causes inactivation of a sodium-dependent phosphate cotransporter, which is found mainly in alveolar type II cells. * This cotransporter normally clears phosphate from degraded surfactant, and when inactivated there is accumulation of phosphate in the alveolus, and calcium phosphate microliths are then thought to form. * An autosomal recessive inheritance pattern has been proposed given familial occurrence in a majority of cases. Usually, there is no abnormal calcium metabolism.
30
What are the Pathological processes and HRCT findings (5) of this condition?
* Lymphocytic Interstial Pneumonitis * PATHOLOGY * diffuse interstitial infiltrate composed of lymphocytes, plasma cells and histiocytes * HRCT features * GGO * poorly defined centrilobular nodes * basilar or diffuse distribution * perivascular cysts * late honeycombing * Lymphocytic interstitial pneumonitis is a benign lymphoproliferative disorder characterised by lymphocyte predominant infiltration of the lungs. It is classified as a subtype of interstitial lung disease. It also falls under the umbrella of non-lymphomatous pulmonary lymphoid disorders. Epidemiology Lymphocytic interstitial pneumonitis can occur at any age. However, most of the patients are adults with a mean age of 52-56 years. If a child presents with lymphocytic interstitial pneumonitis, this can be indicative of AIDS. There is a recognised female predilection (by around 2 fold) most likely attributable to the fact that lymphocytic interstitial pneumonitis occurs in patients with autoimmune disease such as Sjögren syndrome, which is by far more common in women 8.
31
LEGIONNARIES PEUMOIA
Legionnaires Severe pulmonary infection caused by legionella hemophilia, 35% of patients require ventilation, 20% mortality. Most infections are community-acquired. Hyponatremia. Seroconversion takes 2 weeks. initial presentation off peripheral patchy consolidation bilateral severe disease rapidly progressive pleural effusions \<50% LL predilection
32
7 features of this disease on lymphangiography
* Lymphangioleimyomatosis * obstructed lymphatic flow * dilated lymphatics * increase number of lymphatics * renal angiomyolipomas * chylous ascities * uterine leimyomas * abdo and pelvic lymph angioleimyomas
33
Pulmonary collagen vascular diseases Pearls of wisdom 3
* lower parts of lungs more commonly affected 2ndary to increased blood lfow * vasculititiedes of large arteries cause P HTN * Most common complication is infeciton secondary to immunosuppretion drugs
34
Mycoplasma pneumonia
* Mycoplasma pneumonia * Most common nonbacterial pneumonia (atypical pneumonia). Mild course 5-20 years. Positive for cold agglutinins, 60% * LL predilection, often diffuse * reticular * consolidation 50%. * Complications * Autoimmune Haemolytic anaemia * Erthema nodosum, erythema miltiforme * SJS * Meningoencephalitis.
35
CRYPTOCOCCOSIS 1. Cause 2. Susceptible patients 3. Rad Features
* Cause * by Cryptococcus neoformans which has a worldwide distribution and is ubiquitous in solid and pigeon poo. Infection occurs through inhalation of contaminated dust. * Susceptible patients * common I patients with lymphoma, diabetes of AIDS, and patients receiving steroid therapy. * RADIOGRAPHIC FEATURES * The most common findings in the lung are **pulmonary mass, multiple modules, or segmental or lobar consolidation.** * cavitation, adenopathy, and effusion are rare * Disseminated form CNS and other organs.
36
NODULES in the setting of infection ddx
* Vairable in size * Indistinct margins * fungal * Histoplasma * aspergillus * Cryptococcus * Coccidioides * Bacterial * Legionella * Norcardia * Septic emboli * S. Auerus
37
Radiographic features of this condition 9
* numerous cystic spaces 5-10mm * thing walled * surrounding by normal lung * recurrent PTX * chylous pleural effusoins * increase inflation * irregular opacities * cysts * micronodules
38
Plain radiograph anatomic Landmarks 1 - Anterior Junction line
2mm linear line that projects over the trachea. Represents the approximation off the visceral and parietal pleural off the right and left lungs anterior to the mediastinum (composed of 4 layers of pleura).
39
HISTOPLASMOSIS PULMONARY AND MEDIASTINAL
* Histoplasma Capsulatum * soil that contains excrement of bats and birds. * Most patients are asymptomatic or have nonspecific reps symptoms, increased complement fixation titer and H capsulatus antigen positivity. * Consolidation (primary histoplasmosis) * parenchymal consolidation * Adenopathy is very common and may calcify heavily later on * Nodular form (chronic histoplasmosis infection): * historplasmonoma: usually solitary, sharply circumscribed nodule, most commonly in LL. * Fibrocavity disease in ULs indistinguishable from post-primary TB. * Cavitary nodules * Disseminated form * Immunocomp patients * milary nodules * Calcs in liver and spleen
40
INFLUENZA PNEUMONIA
* Pneumonia in Influenza is uncommon * involves the upper respiratory tract including the trachea and major bronchi * ACUTE PHASE: * multiple acinar densities * Coalescence of acinar densities to diffuse patchy airspace disease (ASD, bronchopneumonia type)
41
Two most common findings
SLE * PLEURAL * Thickening * recurrent pleural effusions * pleuritis * Glucose level in pleural effsion normal (reduced in RA) * PULM * Acute lupus pneumonitis * vasculitis and haemorrage resultingin in focal opacities in lung bases * Alveolar opacities which may progress to ARDS * Elevating diaphraph with atelectasis. * The patient deteriorated; the haemoptysis became massive and the patient died shortly after ICU admission. A post-mortem was carried out and confirmed massive alveolar haemorrhage, a recognised complication of systemic lupus erythematosus. The central lung cysts are suggestive of lymphocytic interstitial pneumonitis, of which SLE is one of the associations.
42
what is this? INTRO and RAD FINDINGS
* Intro * Chronic multisystem vasculitis * recurrent oral and genital ulcerations * uveitis * effects multiple organ systems * RAD * pulmonary artery aneurysm * bilateral lower lobe or main pulmonary arteries * Thickening of the aorta and SVC * SUbpleural alveolar infiltrates and wedge-shaped rounded areas of density. * Focal vasculitis and thormbosis * Infarction and hemorrhage Epidemiology The mean age at which Behçet disease occurs is 20-30 years. The disease is most prevalent in the Mediterranean region, Middle East and East Asia. The highest incidence has been reported in Turkey. Males are affected 2-5 times more often than females. Clinical presentation The classic clinical triad of Behçet disease consists of: * oral ulceration * genital ulceration * ocular manifestations Additional clinical manifestations include skin, joints, gastrointestinal tract, genitourinary tract, central nervous system, cardiovascular system, and lung involvement. Vascular complications develop in ~30% (20-40%) of patients with Behçet disease.
43
PCP * Atypical fungus * pneumonia in patient with reduced immunity * AIDs, Transplant, long term immuno tx * In HIV patients assocaited with CD4 count \<200/mm * Dx * via bronchoalveolar lavage or sputum * Rad features * bilateral perihila GG/interstitial thickening * Consolidation * 1/3 will have normal CXR * 1/3 with have multiple cysts -\> PTX * UL common * Atypical pattern * unilateral * nodules * masses
44
LAM Intro clinical epid prog similar to
* INTRO * proliferation of smooth muscle cells along lymphatics in the lung, thorax and abdomen. cuase unkn * rare * CLinical/EPID * young women * spontaneous PTX * chylothorax * haemoptysis * slow progreessive SOB * PROGNOSIS * 10 year survival 75% * SIMILAR TO * TUBEROUS SCLEROSIS
45
Approach to diffuse pulmonary nodules
* appearance * millary * millary TB * Silicosis (in picture) * sarcoid * diffuse metastasis * diffuse pan
46
Pulmonary Alveolar microlithiais * INTRO * Autosoma resessice condition of sodium dependant phosphate transporters * Accumilation of spherocytes in the alveoli * Signs * Sandstorm * black pleura sign * Lucent mediastinum sign. * subpleural cysts * Bilateral symmetrical involvement, mid and lower zones * Mimis Pulmonary alveolar proteinosis (distinguished by calcs)
47
ALVEOLAR proteinosis
* INTRO * proteinaceous lipid-rich surfactant from Type II pneumocytes which accumulates in alveoli. * Unknown cause. * Extensive sputum production. ie Litres/day * Dx: * Bx, sputum electron microscopy for alveolar proteinosis/phospholipids * CLINICAL * SOBOE for a lifetime * Cx * Lymphoma * Norcardiosis * Aspergillosis * cryptococcus * Rad features * bilateral symmetrical ASD * butterfly, batwing pattern * Acinar pattern may become confluent ie consolidation * CT multifocal panlobular GGO, ASO with septal thickening * **"crazy paving"** * +/- superimposed infection
48
PPFE INTRO EPID Radiological features
* INTRO * rare benign * 1/2 idiopathic * 1/2 secondary to underlying disease or Transplant * the irdiopathic causeds below to to the group of IIPs * EPID * Bimodal, 3rd and 6th decade * Non smokers * F =nM * Biapical pleural thickening * PTX * Architectural distorsion * reticular abnormalities * LAD * Platythorax
49
VIRAL PNEUMONIA SPECTRUM OF DISEASE
* **acute interstitial pneumonia (AIP):** diffuse or patchy interstitial pattern, thickening of bronchi, thickened interlobular septa. * **Lobular inflammatory reaction:** multiple nodule opacities 5-6mm (varicella, late calcification) * **Hemorrhagic pulmonary edema**: mimics bacterial lobar pneumonia. * **Pleural effusion:** usually absent to small * Ch**ronic interstitial fibrosis** (bronchiolitis obliterans)
50
* Rheumatoid arthritis * Bibasal patching alveolar opacities found early * dense reticulonodule pattern is most frequent * pleural invovlement * End stage honey combing and PAH CT demonstrates extensive UIP pattern pulmonary fibrosis in the mid and lower zones (note the extensive honeycombing) with co-existing severe centrilobular emphysema in the upper zones. The fibrosis is attributable to the patient's known rheumatoid arthritis, and the emphysema to a long history of smoking.
51
LOBAR PNEUMONIA
- Infection primarily involves alveoli. Spreads through the pores of Kohn and canals of lambert throughout a segment and ultimately an entire lobe. - Bronchi are not primarily affected and remain air-filled. Therefore Air bronchograms. No volume loss as airways are open. Nowadays uncommon because off early treatment - Round pneumonia (more common in children). - S pneumonia - K pneumonia - S aureus - H influenze - fungal
52
LCH 3 syndromes
3 syndromes * Letter-siwe syndrome * acute disseminated form * hand Schuller christian syndrome * chronic disseminated form * Eosinophilic Granuloma * Solitary bone lesions * small cystic spaces in lung * 3-10mm Pns * Apical RN pattern * PTX
53
Edpidemiology (1), Associations (4) and complications (1) of this condition?
Lymphocytic interstitial Pneumonia (LIP) * Epidemiology * Females more than males * ie lipstick * ASSOCIATIONS * Sjogrens * SLE * HIV * rarely idiopathic * Paediatric AIDS * COMPLICAITONS * may progress to lymphoma (in 20 %) * Focal LIP -\> "Pseudolymphoma"
54
Pleuroparenchymal Fibroelastosis Histopathology findings
* **Pathophysiology** * is unknown. * **CT** * predominantly upper lobe pleural and subadjacent parenchymal fibrosis. * **HISTOLOGY** * abundance of short curled and randomly orientatied elastic fibres * This leads to elastic fribosis of the pulmonary pleura
55
MEASLES VIRUS PNEUMONIA
* Two forms * primary measles virus pneumonia and secondary bacterial pneumonia * Atypical measles virus pneumonia. * Primary measles virus * mixed reticular opacities and airspace consolidation * lymph node enlargement in the hilum * CT findings include ground-glass attenuation air space consolidation and small centrilobular nodules * atypical measles virus * spherical or segmental consolidation which clears rapidly * hilar lymph node enlargement and pleural effusion are frequently present
56
COMPLICATIONS OF PNEUMONIA
* Parapneumonic effusion * Stage 1: Exudate: free-flowing * Stage 2: Fibropurulent: loculated * Stage 3 Organisation, erosion into lung or chest wall * Empyema * Bronchopleural fistula (BPF, a fistula between a bronchus and pleural space) with eroding pleural based fluid collections * Bronchiectasis * Pulmonary fibrosis, especially after necrotising pneumonia or acute respiratory distress syndrome * Adenopathy
57
How to dx Stages (5) and radigraphic features and Complications (4) of this condition.
**SARCOIDOSIS** * DX * Biopsy * Kveinm test * Staging system Siltzback Classification system (plain film) * Stage 0 * normal * Stage 1 * Hilar LAD +/- calc * Stage 2 * LAD + pulmonary opacities. Reticular nodular pattern. \> 1cm nodules. Acinar Pattern * Stage 3 * Pulmonary opacities w/o LAD * Stage 4 * Pulmonary fibrosis * Upper lobe predominant * Bullae. * Complications * PTX * asperegilis * cardiac arrthmias * Bronchostensosi with lobar/segmemental collapse.
58
Necrobiotic Nodules
* Sterile cavitating lung nodules a/w IBD (UC\>CD) and RA * HISTOLOGY * core of fibrinoid necosis and sterile aggregate of epithelioid histiocytes * infiltrae of lymphocytes, plasma cells and multinucleated giant cells.
59
Types of thoracic lymphproliferative disorders
* INTRO * spectrum of lymphoid abnormalities in the chest * characterised by the abnormal accumilation of lymphocytes and plams cells in the pulmonary interstitial/LNs * Beleieved to be secodnary to stimulation of bronchus assciated lymphoid tissed by antigenes * NODAL * casltemans * infectious mononucleuosis * Angioimmunoblastic LAD * PARENCHYMAL * Plasma cell granuloma * pseudotumour * LIP * Lymphomatoid granulomatosis *
60
INTRO TO THIS DISEASE and PATHOLOGY
* INTRO * the most severe form of the continuum of smoking related ILD * RB \< RB-ILD \< DIP * Patholgoy * histologically characterisesd by alveolar spaces that are fillled by macrophagese *
61
What is this Condition? Pathology HRCT features
* Respiratory Bronchiolitis Intersitial lung disease * Represents a symptomatic form of the often incidentally detected respiratory bronchiolitits * Smoking cessation is key to treatment. * Steroids may be helpful * PATHOLOGY * Histologically chracteries by respiratory bronchiles filled with PIGMENTED MACROPHAGES * HRCT * diffuse centrilobular nodules and GGOs * Bronchial wall thickening * Co-exisitng centrilobular emphysema may be noted.
62
PULMONARY ABSCESS
* The Spectrum of anaerobic pulmonary infections * abscess: single or multiple cavities \>2cm, usually with Air fluid level. * Necrotizing pneumonia, analogous to abscess but more diffuse and cavities \< 2cm * Empyema: supportive infection of the pleural space, most commonly as a result of pneumonia * predisposing features * Apidtation * intubation * bronchiectasis * bronchial obstruciton * Treatment * antibiotics, postural drainage * percut drainage of empyema * drainage/resectionn of lung abscess only if medical therapy fails.
63
Two out patient clinics
As little as 1% of ankylosing spondylitis patients have upper zone fibrosis on chest radiographs. The natural radiographic history is that of reticulonodular opacities becoming confluent. Bullae and cavitation is typical as in this case, therefore mimicking tuberculosis. CT demonstrates upper and mid zone fibrosis bilaterally with extensive bullous change. Syndesmophytes and vertebral body squaring are shown in the thoracic spine. There is some kyphosis.
64
haemoptysis and anaemia
* Idiopathic pulmonary Hemosidderosis * Recurrent pulmonary hx which may result in interstitial fibrosis * Age usually \<10 years * Diffuse air space pattern * similar to Good Pastures syndrome * Hilar adenopathy * Idiopathic pulmonary hemosiderosis (IPH) * is an uncommon form of pulmonary hemosiderosis. It is characterized by the triad of * hemoptysis * iron deficiency anemia * diffuse pulmonary infiltrates, usually represented by diffuse pulmonary hemorrhage * The diagnosis is usually made by exclusion 1. * Epidemiology * It is rare disorder that can occur at any age but typically affects children and young adults. The age of presentation may be bimodal, with frequency peaks in children less than five years of age and in adolescents 11 years or older. There is no definite recognized gender predilection. * Pathology * Hemosiderin-laden macrophages are found in the sputum or at bronchoalveolar lavage. Its exact cause is unknown but may be related to an autoimmune process. Patients have recurrent episodes of diffuse pulmonary hemorrhage without associated glomerulonephritis or serological abnormality. * **Radiographic features** * HRCT chest * Can be variable dependent on the phase and extent of the disease. Can range from showing diffuse pulmonary hemorrhage to fibrotic changes in the context of repeated events. * Treatment and prognosis * It can have a variable natural history 3. Some authors suggest corticosteroid (alone or in combination with other immunosuppressive agents) for exacerbations or maintenance therapy. * History and etymology * It was first described by Ceelen in 1921 2.
65
QUESTIONS WHEN LOOKING AT A HRCT
1. Location in the secondary lobule 2. Upper versus lower zone or Central vs. Peripheral predominance. 3. presence o additional findings (pleural fluid, LAD, traction bronchiectasis) 4. ? Air trapping on expiratory images
66
Plain radiograph anatomic Landmarks 3 - Posterior tracheal stripe
Normally measures \< 4 mm in diameter (picture 2). Thickening for the presence of a focal opacity on the region of the posterior tracheal strip should raise the possibility of esophageal carcinoma. (picture 1 Figure 24a. Abnormal posterior tracheal stripe in a 49-year-old patient with achalasia. (a) Lateral chest radiograph shows widening of the posterior tracheal stripe (arrows). (b) CT scan demonstrates a dilated esophagus (arrow) filled with food and contrast material.
67
SARCOID CT Findings
* Perilymphatic nodules * GGO's * Linear pattern * Subpleural thickening * Pseudoalveolar thickening * Bronchiectatis * LAD Calcified * upper zone predominant * END STAGE: * UL fibrosiss * Bullae * Bronchiectasis
68
Ddx Diffuse PNS
* Infection * TB * NT MB * Fungal * Septic emboli * Neoplastic * Mets * NET Cell hyperplasia * BAC * Kaposi * Inflammatory * Sarcoid * silicosis * amyloidosis * granulomatosis polyarteritis * Wegeners * diffuse panbronchiolitis * alveolar microlithiasis
69
FUNGAL INFECTIONS
* Two broad categories * **endemic human mycoses** (prevalent only in certain geographic areas) * Histoplasmosis * Coccidioidomycosis * Blastomycosis * **Opportunistic mycoses** (world wide distribution, occurs primarily in immunocompromised patients aspergillosis and cruptococosis may also occur in immunocompetent hosts. * aspergillosis * candidiasis * cryptococcosis * Mucormycosis * Radiographic Features * **Acute phase:** pneumonia type of opacity (may be segmental, nonsegmental or patchy); military (hematogenous) distribution in immunosuppressed patients. * **Reparative phase:** nodular lesions with or without cavitations and crescent sign. * **Chronic phase:** calcified lymph nodes or pulmonary focus with fungus (eg Histoplasmosis). * **Disseminated disease** (spread to other organs) occurs primarily in immunocompromised patients.
70
What are the HRCT findings of this Disease?
* DESQUAMATIVE INTERSTITIAL PNEUMONITIS * * Peripheral and Basilar predominance * Septal thicking * diffuce GGO (vs the Centrilobular distribution in RB-ILD) * Occasional small cystic spaces. *
71
CMV PNEUMONIA
* OCCURS MOST commonly in neonates or immunosuppressed patients * predominantly and interstitial infection multiple mall nodules * adenopathy may be present.
72
H. Influenzae Pneumonia
H. Influenzae. occurs in kids, immunocomp adults or patients with COPD Concominant meningitis, epiglotitis and bronchitis. Bronchopneumonia pattern LL predilection, often difuse Empyema
73
systemic granulomatosis process with destructive angiitis involving the lung, upper Resp tract and kidney (necrotizing GN), Type IV immune mechanism URT involved in most patients with lungs and kidneys involved in 90% and 80% respectively Granulomatosis with polyangiitis Dr Bruno Di Muzio◉◈ and Assoc Prof Frank Gaillard◉◈ et al. Granulomatosis with polyangiitis (GPA), previously known as Wegener granulomatosis, is a multisystem necrotizing non-caseating granulomatous c-ANCA positive vasculitis affecting small to medium-sized arteries, capillaries, and veins, with a predilection for the respiratory system and kidneys. This article discusses GPA in general. For organ-specific radiographic features, please refer to individual articles: granulomatosis with polyangiitis: pulmonary manifestations granulomatosis with polyangiitis: renal manifestations granulomatosis with polyangiitis: upper respiratory tract manifestations granulomatosis with polyangiitis: CNS manifestations granulomatosis with polyangiitis: orbital manifestations On this page: Article: Epidemiology Clinical presentation Pathology Treatment and prognosis History and etymology Differential diagnosis References Images: Cases and figures Epidemiology There is a slight male predilection and onset is typically at approximately 50 years of age 8. Clinical presentation Presentation depends on which organ systems are involved: cough and hemoptysis subacute to chronic history of nasal obstruction, rhinitis, and epistaxis proteinuria and hematuria Symptoms related to other organ systems are less frequent, due to a corresponding infrequency of involvement (musculoskeletal symptoms, ocular symptoms, skin changes) 9. Systemic symptoms such as anorexia, malaise and fever are also common 9. Diagnostic criteria The 1990 American College of Rheumatology criteria requires at least two of the four listed below (sensitivity 88.2% and specificity 92%) 21: positive biopsy for granulomatous vasculitis urinary sediment with red blood cells abnormal chest radiograph oral or nasal inflammation Pathology It results from an immune-mediated vascular injury. Histology Histologically necrotizing granulomas with an associated vasculitis are the dominant feature. Markers In 90% of cases, cANCA (PR3) is positive and the levels correlate with disease activity 8. Classification The classic triad of organ involvement consists of: lungs: involved in 95% of cases upper respiratory tract / sinuses: 75-90% kidneys: 80% In terms of extent, granulomatosis with polyangiitis can be classified as: classical: full triad limited: not having the full triad usually respiratory tract involvement only renal only involvement has been described but is uncommon 7 widespread: additional organ involvement 14 skin (50%) eyes (45%) peripheral nervous system (35%) occasionally also other organs, such as the heart and gastrointestinal tract Treatment and prognosis Treatment is typically with cyclophosphamide, methotrexate and/or steroids. More recently agents such as Rituximab are also used. Without treatment, granulomatosis with polyangiitis is rapidly progressive with death usually occurring within a year of diagnosis, with only 10% of patients surviving 2 years 7. Appropriate medical therapy has dramatically increased long term survival 7. History and etymology The former name "Wegener granulomatosis" comes from the German pathologist Friedrich Wegener who first described it in 1936 11. Wegener was a member of the Nazi party and it is suspected that he took part in experiments on concentration camp inmates. Following the discovery of his past history, the current name "granulomatosis with polyangiitis" has been proposed 15. Differential diagnosis General imaging differential considerations include: eosinophilic granulomatosis with polyangiitis (EGPA) lymphomatoid granulomatosis sarcoidosis microscopic polyangiitis Granulomatosis with polyangiitis (thoracic manifestations) Dr Bruno Di Muzio◉◈ and Assoc Prof Frank Gaillard◉◈ et al. Thoracic manifestations of granulomatosis with polyangiitis (GPA), which is a type of pulmonary angiitis and granulomatosis, are common; with lung involvement seen in about 95% of cases. For a general discussion of the condition, please refer to the main article on granulomatosis with polyangiitis (GPA). For other organ-specific radiographic features, please refer to individual articles: granulomatosis with polyangiitis: renal manifestations granulomatosis with polyangiitis: upper respiratory tract manifestations granulomatosis with polyangiitis: CNS manifestations granulomatosis with polyangiitis: orbital manifestations Granulomatosis with polyangiitis (Wegener granulomatosis), is a multi-system systemic necrotizing non-caseating granulomatous vasculitis affecting small to medium-sized arteries, capillaries and veins. On this page: Article: Clinical presentation Radiographic features Treatment and prognosis Differential diagnosis Practical points References Images: Cases and figures Clinical presentation Occasionally hemoptysis due to pulmonary hemorrhage can be the presenting symptom 3. Cough is also reported. Radiographic features Unfortunately, the radiographic appearances of GPA are widely variable, making a diagnosis by imaging alone often difficult. Four patterns are recognized, although the first two are the most common 3,4: nodules +/- cavitation most common radiological presentation multiple nodules of variable size randomly distributed throughout the lungs bronchovascular bundles or subpleural distribution are common 5,15 nodules may demonstrate cavitation pulmonary hemorrhage: both nodules and regions of consolidation can have surrounding hemorrhage, and, in some instances, pulmonary hemorrhage dominates the presentation and radiographic appearance reticulonodular pattern: although a reticulonodular interstitial infiltrates at the bases is often the first manifestation, it is usually asymptomatic peripheral wedge-like consolidation: in some cases, focal and often peripheral regions of alveolar consolidation are seen, which may also cavitate 15 Pleural effusions are seen in 10-25% of cases, usually as a result of cardiac or renal involvement. Tracheal and upper respiratory tract thickening may also be seen (see upper respiratory tract manifestations of GPA). Plain radiograph chest radiographs may show multiple nodules or masses that can be extremely variable in size (from a few millimeters to many centimeters) although cavitation is present in ~ 50% of cases, is seen less frequently on plain film airspace opacities may represent consolidation or pulmonary hemorrhage CT Described CT features include: nodules or masses: variable size but typically ~2-4 cm multiple in 75% 1 no zonal predilection irregularly margined cavitation with irregular / thick-walled cavity margins seen in ~40-50% of cases cavitation may be seen in 25% of nodules \>2 cm 7 can have a peribronchovascular or subpleural distribution 15 waxing and waning even without treatment 8 micronodules: centrilobular tree in bud nodules are usually related to bronchiolar wall involvement or retained blood products in the distal airways, seen in about 10% of cases 15 air space consolidation peripheral wedge-shaped opacities (due to pulmonary infarcts)14 focal peribronchial diffuse interstitial/alveolar opacities are a more common manifestation in children 2 mild bronchiectasis ground glass changes frequently as a consequence of hemorrhages may relate to nodules or regions of consolidation may be the main abnormality focal atelectasis from airway stenoses tracheobronchial wall thickening ​circumferential, can be smooth or nodular posterior wall of trachea is characteristically involved with no calcification pleural effusion non-specific acute or chronic fibrinous pleuritis may be rarely seen adjacent to nodular inflammatory lesions 8 hilar and mediastinal lymphadenopathy: uncommon 8,15 Treatment and prognosis For a general discussion of treatment and prognosis, please refer to granulomatosis with polyangiitis. Complications superimposed pulmonary infection airway stenosis / tracheobronchial stenosis 9-11 subglottic stenosis is the most common with an estimated occurrence of around ~20% (range 16-23%) 9 pulmonary hemorrhage Differential diagnosis The differential depends on the dominant feature. differential of multiple pulmonary nodules differential of a single pulmonary nodule (uncommon presentation) differential of a cavitating lung mass differential of chronic air space consolidation In cases of peripheral consolidation, appearances are very similar to pulmonary infarcts. For tracheal thickening, relapsing polychondritis and tracheobronchopathia osteochondroplastica could be considered although these tend to spare the posterior wall and have calcifications 8. Practical points although the most common manifestation of recurrent/relapsing disease is cavitary nodules, patients may relapse with a different pattern of involvement to their initial presentation 3
74
* Neurofibromatosis * 20% of pts have pulm involvment * progressive pulmonary fibrosis * bullae upper lobes and chest wall * Chest wall and mediastinal NF-omas * Intrathoracic meningoceles * Ribbon deformities
75
HRCT findings
**Non-specific Interstitial pneumonia** * Patchy GGO * reticular opacities * micronodules * subpleural and symmetric withint the basailar prdominence seen in Usual Interstitial Pneumonia * LL peripheral predominent GGO with reticular abnormality * traction bronchiectasis * LL volume lose * Honey combning occasionally seen in firbotic subtype.
76
Types of Pneumoconiosis What is it? Benign types (3) Fibrogenic types (3)
* Caused by inhallation of inorganic dust particles that overwhlem the normal clearance mechanisms of the resp tract * Benign/not fibrogenic * Tin = stannosis * Barium = baritosis * Iron = sidderosis * Fibrogenic (symptomatic) * silica = silicosis, * asbestosis * Coal workers pneumoconiosis
77
SICKLE CELL ANEMIA
* COMMON * SC patienrts are at increased risk of penumonia and infarction. Which are difficult to differentiate between. There fore it is called ACUTE CHEST SYNDROME. * Pneumonias were originally due to pneumocooci but are no due to viruses of mycoplasma. Ddx includes atelectasis and infarct * Infarcts are more common in adults. * Consolidation is seen on CXR resolves more slowly than nin the general population and tends to reoccur
78
ASPERGILLOSIS What is it? 4 types
* Aspergillus is a ubiquitous fungus that, when inhaled lends to significant lung damage. * The fungus grows in solid, water, decaying vegetation, and hospital air vents. * There are four unique forms of pulmonary aspergillosis, each associated with a specific immune status. * ALLERGIC BRONCHOPLMONARY ASPEGILLOSIS (ABPA) * complex type I (IgE-mediated) and type III (IgG-mediated) hypersensitivity reaction to A. Ffumigatus, occurring primarily in individuals with asthma and occasionally in individuals with CF. * The hypersensitivity initially causes broncho spam, mucus production, and bronchial wall edema (IgG-mediated). Ultimately there is bronchial wall damage due to the type III IgGmediated response with resultant cystic bronchiectasis. * CLINICAL FINDINGS ​Elevated levels of specific serum IgE and IgG antibodies to A fumigatus, asthma, peripheral eosinophilia, elevated serum IgE levels, positive skin test for aspergillus antigen. Treatment is with oral corticosteroids, antifungal agents, and omalizumab which is a humanized monoclonal antibody targeted against IgE. * RADIOGRAPHIC FINDINGS ​Fleeting pulmonary parenchymal opacities * central **UL saccular bronchiectasis** (HALLMARK). * High attenuating Mucus plugging (**finger in glove appearance)** and bronchial wall thickening. * **Tree in bud** modularity. * **Cavitation.** (10%) * ASPERGILLOMA, mycetoma * saprophytic infection that occurs in the setting of structural lung disease (ie from TB, sarcoid, emphysema). Commonly in upper lobes, solitary lesions., The fungus grows into the preexisting cavity, creating a fungus ball, consisting of fungus, mucous and inflammatory cells. Individuals with mycetomas are often asymptomatic but may develop recurrent hemoptysis which in rare cases can be massive. In these cases, bronchial artery embolization is required. The other treatment options include surgical resection, intracavity administration of amphotericin B, and systemic antifungal therapy. * RADIOGRAPHIC FEATURES * Focal intracavitary mass 3-6cm typically is UPs. Air may surround the aspergilloma (MONOD SIGN) mimicking the appearance off cavitation seen with invasive aspergillosis. A small area of consolidation around the cavity is typical * adjacent pleural thickening is common. Fungus ball moves with changing position * INVASIVE ASPERGILLOSIS * high mortality rate (70-90%) * occurs mainly in severely immunocompromised patients (bone marrow transplant, leukemia) * The infection starts with endobronchial fungal proliferation and the leads to vascular invasion with thrombosis and infarction of the lung * IE angioinvasive * Additional sites of infection (in 30%) are the brain, liver, kidney, and GI tract. * Treatment is with systemic and or intracavitary administration of amphotericin. * RADIOGRAPHIC FEATURES * multiple pulmonary nodules 40% * nodules have a characteristic halo of ground glass (pulmonary hemorrhage) * within 2 weeks 50% off nodules undergo cavitation which results in the air crescent sign. The appearance of the air creased sign indicates the recover phase (increased granulocytic response). It may also be seen in TB, actinomycosis, mucormycosis, septic emboli, and tumors. * DO NOT confuse the air crescent sigh with the MONOD sign (clinical history helps differentiate the two). * Other manifestations peribronchial opacities, focal areas of consolidation. * SEMIINVASIVE ASPERGILLOSIS * occurs in mildly immunocompromised patients and has pathophysiology similar to that of invasive asp. except that the disease progresses more chronically over months (mortality rate 30%). * RFs: diabetes, alcoholism, pneumoconiosis, malnutrition, COPD. * Treatment is with systemic and or intracavitary administration of amphotericin. * RADIOGRAPHIC APPEARANCES: * similar to that of invasive aspergillosis. Cavitation occurs at 6 months.
79
PATTERNS ON HRCT (4)
Reticular nodular high attenuation (ground glass, consolidation) Low attenuation (emphysema, cystic)
80
RESOLUTION OF PNEUMONIA
* 80-90% of cases resolve in 4 weeks * 5-10% resolve within 4-8 weeks (older diabetic patients). Subequent xrays should always show interval improvement compared with the previous * Non clearance * Antibiotic resistance * Other pathogen * Recurrent infection * Obstruction pneumonitis secondary to tumour.
81
PRESENTATION MORTALITY AND AKA of this condition
* **Acute interstitial pnuemonia** * PRESENTATION * severe SOB * Mechanical ventilation required * Can occur after a viral upper resp infection * Mortality 50% * F = M * AKA * Hamman Rich Syndrome
82
Plain radiograph anatomic Landmarks 6 - Para tracheal stripe
Abnormal if \>4mm. Never extends below right abronchus
83
DEMOGRAPHICS, ASSOCIATIONS HISTOPATHOLOGY AND SUBTYPES OF THIS CONDITION
Non-specific Interstitial Pneumonia * Demographcis * important to distinguish from UIP as NSIP has a better response to steroids * Patients are typically younger than those with UIP * Symptoms are milder. * ASSOCIATIONS * drug exposure hypersensitivity * Collagen vascular disease * HISTO * spatial and temporal homogeniety * interstitial inflammation and * various degrees of fibrosis * CELLULAR NSIP subtype * limited fibrosis * FIBROTIC NSIP subtype * more common
84
Wegeners Granulomatosis Radiographic Features
* AKA * Granulomatosis with Polyangitis * Distinguishing features * Multiple nodules with _cavitation_ * interstitial reticulonodular opacities at the LUNG BASES * Diffuse opacities due to * atelectasis: bronchoconstriction * confluent nodules and masses * Pulmonary haemorrhage * superimposed infection * +/- pleural effusions * +/- adenopathy
85
DDX SPN
* NEOPLASTIC * BENIGN * hamatoma * chondroma * primary pulmonary meningioma * MALIGNANT * bronchogenic ca * solitary met * lymphoma * carcinoid tumor * INFLAMMATORY * granuloma * abscess * rheumatoid nodule * plasma cell granuloma * round pnuemonia * MISC * infarct * intrapulmonary LN * mycoid impaction * hamaematoma * amyloid * CONGENTIAL * avm * lung cyst * bronchial atresia with mucoid impaction
86
what is this?
* Churg-Strauss Syndrome * allergic angiitis and granulomatosis * similar to poly arteritis nodosa but patients have pulmonary disease and asthma * effects skin kidneys lungs and head and CNS * eosinophilia * RAD * pathcy periphal areas of consolidation fleeting opacities * multiple nodules * Eosinophilic granulomatosis with polyangiitis (EGPA), previously known as the Churg-Strauss syndrome (CSS), * refers to a small to medium vessel necrotizing pulmonary vasculitis. It is also classified under the spectrum of eosinophilic lung disease and as a type of pulmonary angiitis and granulomatosis. * Epidemiology * The incidence typically peaks around the 3rd to 4th decade with an annual incidence rate of around 0.24 per 100,000 2. * Clinical presentation * Almost all patients have asthma and eosinophilia. Patients also have extrapulmonary signs and symptoms such as sinusitis, diarrhea, skin purpura, and/or arthralgias. * Diagnostic criteria asthma: present in almost all patients 2 blood eosinophilia ( \>10% of the total white blood cell count): present in almost all patients 2,13 mono/polyneuropathy transient pulmonary infiltrates paranasal sinus abnormalities: pain or radiographic abnormality presence of extravascular eosinophils on a biopsy specimen Pathology Can be histologically identical to classic polyarteritis nodosa or microscopic polyangiitis. Around 25% of patients will have renal disease 12. * **Case Discussion** * Chronic consolidation which does persist after standard antibiotics must raise suspicions for inflammatory disease, or lymphoma or bronchioloalveolar carcinoma. In this patient, the peripheral consolidation/GGO pattern had favored the diagnosis towards chronic eosinophilic lung. However, the additional nodules indicated a likely associated granulomatosis, hence, with all clinical (asthma, sinonasal polyps) and lab elements (peripheral eosinophilia) the most likely diagnosis was eosinophilic granulomatosis with polyangiitis (previously known as Churg-Strauss syndrome). Organized pneumonia was considered unlikely: lack of migratory elements, no reversed halo sign. Granulomatosis with polyangiitis (Wegner granulomatosis) usually features cavitated nodules and the consolidation does not have a peripheral pattern.
87
causes of thickening of the right paratracheal stripe (7)
* Should be 4mm or less * causes of widening * thyroid cancer * parathyroid cancer * lymphadenopathy * lipoma * tracheal cancer * pleural effusion * post-eosophagectoma withstomach pull through.
88
ACTINOMYCOSIS PNEUMONIA
* actinomyces israelii * G +VE normal saprophyte inn the oral cavity * The pulmonary disease develops from aspiration of the organism or from direct penetration into the thorax. * focal consolidation * LAD uncommon * extension into the chest wall and pleural thickening is less common today but still occurs and is an important differential feature.
89
Plain radiograph anatomic Landmarks 4 - Azygoesophageal line:
interface between RLL air and mediatinum
90
Name all the idiopathic interstitial pneumonitis's
All Idiopathic Chronic Lung Diseases aRe Non-specifically Patterned * AIP * IPF/UIP * COP * LIP * DIP * RB-ILD * NSIP * PPFE
91
Describe the features of the Secondary pulmonary lobule
* The basic unit of pulmonary structure and function * visible by HRCT * polyhedral 1.5cm structure surrounded by interlobular septa, * made up off 5-15 acini (which each have 400 alveoli). - * Have a central artery and bronchiole * Peripheral pulmonary veins and lymphatics in the septum
92
Drug-induced lung disease
* Findings are often non-specific * Diffuse interstitial opacities * cytotoxic agents * bleomycin * MTX * Carmustine * Gold salts * pulm nodules * cyclosporine * oil aspiration * Focal ASD * amiodarone accumulates in lysosomes of phagocytes * high iodine content results in an increased density of lung and liver. * Diffuse ASD (ie pulm hx or oedema) * Cytotoxic agents * OKT3 * IL 2 * cytarabine * TC antidepressants * salicylates * penicillamine * Anticoags * LAD * Phenytoin, cyclosporine, MTX * Pleural effusions * Drug induced SLE * bromocriptine * methysergide * ergotamine * tartrate.
93
ZYGOMYCOSES * 3 classes * usually have two major clinical manifestations (2) * Demographic * RADIOGRAPHIC FEATURES
* Group of severe opportunistic mycoses caused by fungi of the zygomycetes class * mucormycosis * Rhizopus * Absidia * usually have two major clinical manifestations * pulmonary mucormycosis * Spinocerebral mucormycosis * Zygomcoses are uncommon infections and occur primarily in immunocompromised patients (leukemia, aids, chronic steroid use, diabetes. * RADIOGRAPHIC FEATURES * similar to those of invasive aspergillosis because of angioinvasive behavior or fungi
94
Pulmonary function Abreviations
* TV: tidal volume, normal respiratory cycle * VC: vital capacity: the amount of air that can be expired with force after maximal inspiration. * FRC: Functional residual capacity, volume remaining in lung after quiet expiration * TLC: Total lung capacity: volume contained in the lung at maximum inspiration * FEV1: forced expiratory Volume: amount of air expired in 1 second
95
DIFFUSE pulmonary nodules
* Sarcoid * silicosis * RB * TB * NT-MB * Fungal * septic embolic * BAC * nodular mets * Kaposi sarcoma * granulomatosis with Poly angitis * Alveolar microlithiasis * DIffuse panbronchilolits * diffuse idiopathyc pulmonary NET hyperplasia * Pulmonary amyloidosis
96
millary nodules
* INTRO * \<2mm * innumerable * Ddx roughtly split into afebrile vs febrile pt * AFEBRILE * TB * Fungal * healed varricella * sarcoid * haemosidderosis * pneumocosis * silicosis (picture) * coal workers * LCH * BCGosis * Millary mets * thyroid * RCC * Br * Panc * Melanoma * Osteosarc * Trophoblastic * FEBRILE * TB * fungal infection * pneumonitis * norcadiosis * Salmonella * Hypersensitivity pneumonitis
97
Tracheopathia Osteoplastica
* Foci of cartilage and bone develop in the submucosa of the tracheobronchial tree. * Benign rare condition * mostly discoved incidentaly at autopsy * CLINICAL * SOB * Hoarse * expiratory wheeze * Hemoptysis, cough * sputum * atelectasis * pneumonia
98
Progressive systemic sclerosis two forms
* PSS with SCLERODERMA * after the oesophagus the lungs are the most commonly effected * interstitial fibrosis * PSS with CREST * usually in older women' * long hs of PSS with swolen fingers. Picture: The combination of basal pulmonary fibrosis and a dilated oesophagus, is certainly suggestive of scleroderma. Although not pathognomonic it should be considered highly likely, especially in a woman. In this case, the patient had clinically established scleroderma.
99
CANDIDIASIS
* Caused by candida albicans more frequently than other candida species. Tpically in patients with lymphoreticular malignancy suspect pulmonary disease if associated with oral disease. Often there is disseminated fungemia * RADIOGRAPHIC FEATURES * CXR is non-specific * Oppacites in the lower lobes \> nodules * nodular disease in disseminated fofrm * Pleural effusion 25% * cavitation and adenopahty are rare
100
What is this disorder? what blood test is postive in 90%? what organs are affected?
* Granulomatosis with Polyangitis * AKA Wegener granulomatosis * Multisystem necrotising, * **necrotising non-caesating** **granulomatous** * c-ANCA +ve in 90% * predilection for the lungs and kidneys * Pathology * Autoimmune vasculitis of small to medium sized arteries, capilaries and veins * Epidemiology * slight male predominance, * \>50yo * Clinical presentation: * Cough * haemoptysis, * proteinuria, * haematuria * Radiology * Lungs: * Interstitial fibrosis at the bases, * pulmonary nodules, * cavitating in 50% of cases. * Pleural effusions and * mediastinal nodes. * Sinus: * mucosal ulceration and granulmonatous * masses within the nasal cavities with * adjacent boney and cartilaginous destruction. * Splenic: * can cause splenic infarct. .