bacterial meningitis causes by age group:
Risk factors
What are the terminal zones of myelination and when do they occur?
The ‘terminal zones’ of myelination occur in the subcortical frontotemporaopariertal regions around 40 months.
Thickened Enhancing pituitary stalk




Imaging features of this entity

Imaging features of Vein of Galen AVM
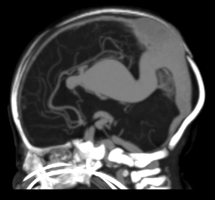
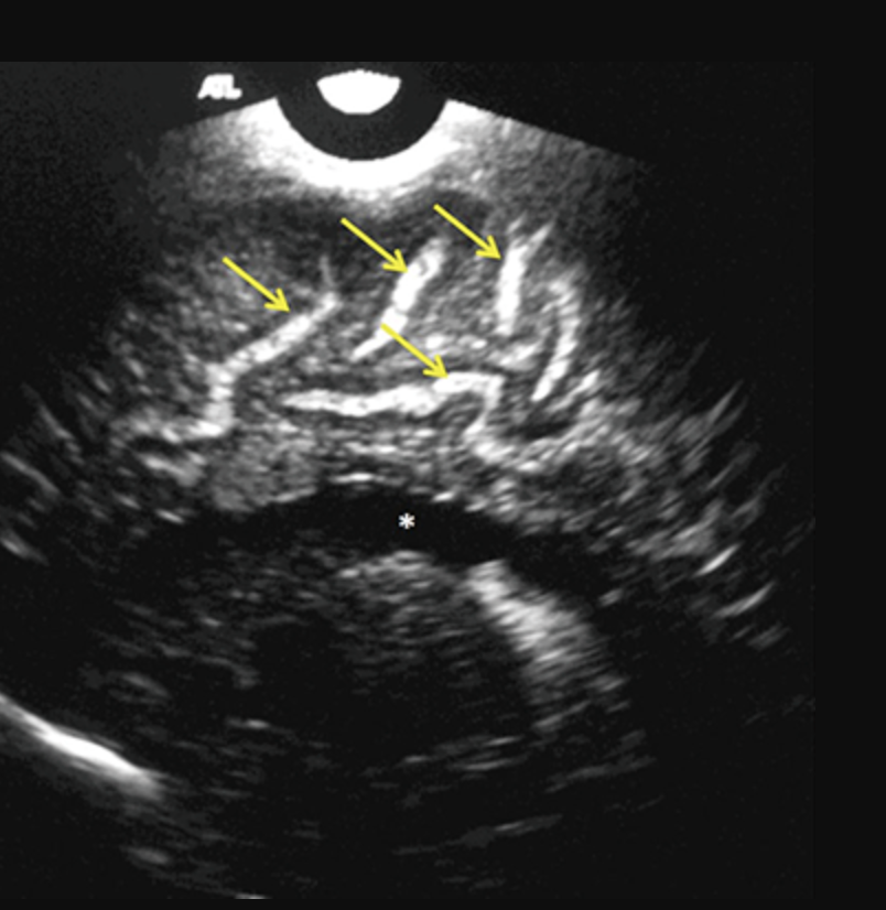
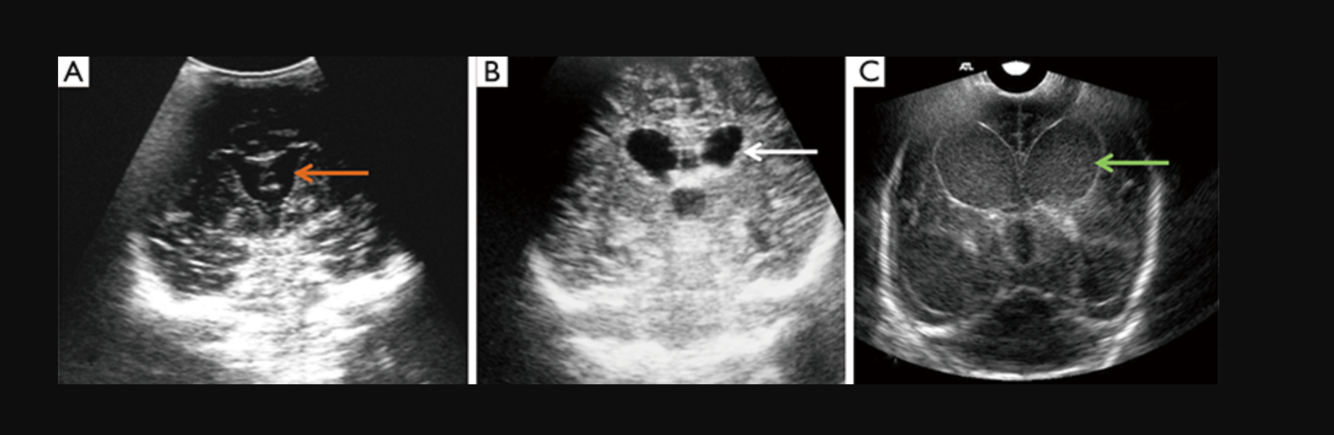
Vein of Galen aneurysmal malformation
Dr Jay Gajera◉ and Associate Professor Donna D’Souza◉ et al.
Vein of Galen aneurysmal malformations (VGAMs), probably better termed as median prosencephalic arteriovenous fistulas, are uncommon intracranial anomalies that tend to present dramatically during early childhood with features of a left-to-right shunt and high-output cardiac failure.
Epidemiology
These malformations account for less than 1-2% of all intracranial vascular malformations but are the cause of 30% of cerebral vascular malformations presenting in the paediatric age group 1-3. It is also the most common antenatally-diagnosed intracranial vascular malformation. There may be an increased male predilection 7.
Clinical presentation
Increasingly the diagnosis is being made antenatally with third-trimester antenatal ultrasound. Presentation is often with high-output cardiac failure in the neonatal period, although low-flow aneurysms may remain undetected into adulthood. As much as 80% of cardiac output may shunt through the fistula. The presentation does, however, vary with the type of malformation, and different types present at different ages:
neonate
usually choroidal type
high output cardiac failure
cranial bruit
infant
usually mural type
hydrocephalus may occur due to venous hypertension or aqueduct stenosis
child
usually mural type
developmental delay
hydrocephalus
Pathology
The anomaly is actually due to a cerebral arteriovenous fistula of the median prosencephalic vein (MPV) (a precursor of the vein of Galen) occurring at 6-11 weeks gestation and not a malformation (no nidus present). The MPV fails to regress and becomes aneurysmal. It drains via the straight sinus (present only in 50%) or a persistent falcine sinus, and the vein of Galen does not form.
Haemodynamically cerebral arteriovenous fistula involving vein of Galen can be subdivided into two groups:
true VGAMs
vein of Galen dilatation secondary to high flow parenchymal AVMs draining into this vessel
Classification
Malformations have been classified in a number of ways starting as early as 1960 when Litvak et al. 8 recognised the need for a classification system in the region of the vein of Galen. Over the years, the most commonly used systems of classification are:
according to clinical presentation (see above)
Yasargil classification: types I to IV
Lasjaunias classification: choroidal and mural types
Mortazavi et al. 9 in 2013 proposed a new classification system (not validated) incorporating two important factors: heart failure and age.
Radiographic features
Antenatal ultrasound
With increased availability and quality of antenatal ultrasound, the diagnosis is increasingly made prior to delivery. Antenatal detection is however mostly reported late in pregnancy (3rd trimester).
The dilated median prosencephalic vein (MPV) appears as an anechoic structure in the midline posteriorly and demonstrates prominent flow on Doppler examination. Shunting may lead to complications such as hydrops fetalis or fetal cardiomegaly.
CT and MRI
Both CT and MRI can be used to delineate the malformation cross-sectionally.
CT angiography
CTA in neonates with high output cardiac failure is technically-challenging due to the small volumes of contrast and very rapid passage of contrast through the circulation.
MR angiography
The dilated feeding and draining vessels appear as flow-voids on T2. MRA may also be performed which would better delineate vascular anatomy.
Angiography
Angiography remains the gold standard in full characterisation of the lesion. It enables to individually catheterise feeding vessels. Morphologically a spherical or ellipsoid varix may be visualised. Venous drainage is via the median prosencephalic vein (MPV), the straight sinus (if present) and then out via the transverse/sigmoid sinuses. By definition, there should be no drainage to other components of the deep venous system 6.
Treatment and prognosis
Prior to endovascular intervention, the prognosis was dismal, with 100% mortality without treatment and 90% mortality following surgical attempts 5.
Ideally, embolisation is deferred until 6 months of age for choroidal VGAM and later for mural types, to allow the cavernous sinus to mature. If cardiac failure is refractory to medical management, embolisation may be performed sooner.
Both venous and arterial embolisation is possible, depending on the number of feeders, and controversy persists in regards to the optimal approach. Options include 5:
arterial feeder and fistula occlusion
transtorcular or transvenous embolisation of the dilated vein
complete or incomplete occlusion
Both coils and acrylic glue can be used in a single procedure or in staged approach 5.
Radiosurgery has been tried but is limited to patients who are not candidates for other treatment modalities 5.
Hydrocephalus is typically not shunted, as this may exacerbate cerebral ischaemia by altering cerebral haemodynamics and due to the increased risk of intraventricular haemorrhage.
The prognosis is determined mainly by the presence or absence of cardiac failure. Thus choroidal types and those presenting in the neonatal period do poorly.
History and etymology
Vein of Galen malformations are named after Galen of Pergamon (gr. Γαληνός, also known as Aelius Galenus or Claudius Galenus) (AD 129-199), a Greek physician and philosopher in the Roman Empire 4.
Differential diagnosis
Once abnormal vessels are identified, there is usually little diagnostic uncertainty, with the only two entities to be considered being:
arteriovenous malformation (AVM)
vascular intracranial tumour

Basilar artery aneurysm
Basilar artery aneurysm
Dr Mohamed Saber and Dr Matt A. Morgan◉ et al.
Basilar artery aneurysms are less common than anterior circulation aneurysms, and rupture less frequently, but their critical location necessitates careful evaluation.
Radiographic features
CT
may present as a lobulated hyperattenuating structure anterior to the mid brain
rupture of a basilar artery aneurysm is typically localised to the interpeduncular cistern, but may extend into the suprasellar cistern
CT angiography (CTA) provides better evaluation of the aneurysm and its relationship to other branches of the basilar artery
basilar artery aneurysms can be both fusiform and saccular 2
Angiography
better than CTA for evaluating the relationship of the basilar aneurysm with branch vessels off the basilar artery, which is critical when considering intervention
Treatment and prognosis
Both unruptured and ruptured basilar artery aneurysms can be considered for clipping or endovascular coiling.
The type of treatment is tailored to the type of aneurysm (fusiform, saccular, branch, etc).
If coiled, they require close follow-up to ensure complete occlusion and may require re-treatment 3.
Berry Aneurysm
George A. Koutsothanasis; Raghuram Sampath.
Author Information
Last Update: October 2, 2020.
Go to:
Introduction
Berry (saccular) aneurysms are the most common type of intracranial aneurysm, representing 90% of cerebral aneurysms. Generally speaking, there is a ballooning arising from a weakened area in the wall of a blood vessel in the brain. Depending on the size of the aneurysm, their symptomatology ranges from asymptomatic to intracerebral hemorrhage (subarachnoid) in the most extreme cases. Berry aneurysm is an older terminology that has mostly been replaced by saccular aneurysm. The new nomenclature goes against the old tradition of likening a pathologic process to a variety of fruit products. Aneurysm is from the Greek word, aneurysma, meaning dilation.
Go to:
Etiology
Genetic Factors
Connective tissue disorders that weaken artery walls
Polycystic kidney disease
Arteriovenous malformations
History of an aneurysm in a two or more fist degree family members
Other Factors
Untreated high blood pressure
Cigarette smoking
Drug abuse, including cocaine and amphetamines, which via their toxidrome, increases blood pressure extremely. Intravenous drug abuse can cause infectious mycotic aneurysms.
Heavy alcohol intake
Heavy caffeine intake
Less Common
Head trauma
Infection in the arterial wall from bacteremia - mycotic aneurysms
Risk Factors for Aneurysm Rupture
Smoking- not only can smoking promote the development of cerebral aneurysms, but it can also lead to their growth and rupture.
High blood pressure- chronic damage to arteries leads to weakness forming aneurysm and making them more likely to rupture.
Size- larger aneurysms rupture with greater frequency than small ones.
Location- posterior circulation including posterior communicating artery (PCOM), posterior cerebral artery (PCA), and vertebrobasilar artery are more common
Growth- if aneurysms grow during a surveillance period, despite a small size, they are at an increased risk of rupture.
Family history- if there is a family history, there is a higher risk of rupture.
Irregular shape, multilobed, daughter sac, blebs
Those with previous ruptures or intracranial bleeds are at the highest risk of cerebral artery aneurysm rupture.[1]
Go to:
Epidemiology
Cerebral aneurysms occur in three to five percent of the general population.
The prevalence is 3.2 percent by radiographic and autopsy series.[2]
0.7 to 1.9 percent rupture, causing subarachnoid hemorrhage (SAH)[3]
The mean age is 50 years.
More common in females
Twenty to thirty percent of patients with aneurysms have multiple aneurysms.
Eighty-five percent of aneurysms are located in the anterior circulation, mostly in the circle of Willis.
Common Sites in the Anterior Circulation
Junction of the anterior communicating artery with the anterior cerebral artery
Junction of the posterior communicating artery with the internal carotid artery
Bifurcation of the middle cerebral artery
Common Sites in the Posterior Circulation
Top of the basilar artery called the basilar apex
Junction of the basilar artery and the superior or anterior inferior cerebellar arteries
Junction of the vertebral artery and the posterior inferior cerebellar artery[4]
Go to:
Pathophysiology
Berry aneurysms are due to outpouchings in the blood vessel wall, which be due to either hereditary factors or acquired disease. Repetitive trauma and shearing forces against the weak point in the blood vessel’s wall cause aneurysms to enlarge.[5]
Older dogma considers berry aneurysms to be passively enlarging vascular structures. More recent evidence suggests that berry aneurysms, along with other forms of aneurysms, are created and enlarged through a continuous process of inflammation and tissue degradation.
Go to:
Histopathology
Some traditional classifications pose this as a model for organizing the types of intracranial aneurysms:
Mycotic
an artery having sustained damage secondary to an infectious process. these aneurysms tend to be located more distally
Luetic
also called syphilitic aneurysms, usually in the aorta and known as syphilitic aortitis, seen in the tertiary stage of syphilis
Arteriosclerotic[6]
these vessel widenings (aneurysms) occur due to arteriosclerosis damaging the vessel wall
Traumatic
vessels may be damaged or disrupted in the setting of trauma both penetrating to the head, and blunt injuries - these are commonly pseudoaneurysms
These types of aneurysms represent less than one percent of cerebral aneurysms. However, they are prone to grow rapidly, leading to increased morbidity and mortality. Vigilance should be implemented to detect and treat these in the setting of trauma.
Congenital
Certain conditions predispose people to be born with aneurysms. One example is ADPKD (autosomal dominant polycystic kidney disease).[7]
Go to:
History and Physical
The clinical picture of berry aneurysms includes the most severe manifestation of a major aneurysmal rupture, such as a subarachnoid hemorrhage to minor hemorrhage, also known as a sentinel bleed, nonhemorrhagic scenarios, or asymptomatic situations in which the aneurysm is found incidentally.[8]
Many of these patients may be brought in in extremis, and as such, ABCs take priority. Assess the patient’s airway, breathing, and establish good IV access. In the setting of trauma, give priority to your primary survey, and do not forget to do a thorough secondary survey. Do not be distracted by dramatic extremity injuries. Give priority to emergent neuroimaging once the patient has been stabilized hemodynamically.
Other patients may present less extreme and warrant a thorough history and physical, even outside the setting of trauma.
Your History should include some key elements as described below:
Headache - WHOML (worst headache of my life), thunderclap headache. The headache need not be the worst of the patient’s life. Even a headache that is different from past headaches should raise one’s suspicion for subarachnoid hemorrhage.
Change in level of consciousness - increased intracranial pressure decreased the perfusion pressures required to oxygenate the brain properly. Patients may appear confused or be less alert than expected.
Seizures present in twenty-five percent of aneurysmal subarachnoid hemorrhage. They may be focal or generalized.
Meningeal signs - Patients may have classic signs of meningeal irritation and complain of neck pain or neck stiffness.
Focal neurologic deficits - change in strength, sensation, change in the ability to speak or express themselves, memory loss.
Visual symptoms- blurry vision, double vision (diplopia), defects in the patient’s visual field
The physical exam should include and not be limited to the following elements:
A complete neurologic exam:
Cranial nerve testing
Strength of upper and lower extremities and face
Sensations of upper and lower extremities and face
Assess speech (dysarthric, disorganized, comprehensible)
Assess for meningismus, Kernig’s and Brudzinski’s signs
HEENTExamine for signs of trauma to the head
obvious signs of injury, including lacerations, abrasions, contusions, skull depressions/fractures
Ears - look for blood behind the tympanic membrane (hemotympanum), assess for CSF otorrhea
Eyes - ensure PERRLA (pupils equal round and reactive to light and accommodation)
look for other signs of eye trauma (iritis, conjunctival hemorrhage, globe rupture) which may indicate a severe mechanism of injury
Nose - assess for nasal fractures, CSF rhinorrhea[9]
Go to:
Evaluation
Imaging
NCCT (non-contrast CT) of the head[10]
With or without CT angiography of the head, especially if NCCT is negative
MRI/MRA are also options, if available
Formal cerebral catheter angiogram
Lumbar Puncture
In cases with negative head CT, strong family history of aneurysms, or ruptured aneurysms
Consider after negative NCCT
may aid in making an alternative diagnosis as the cause of headache (meningitis, idiopathic intracranial hypertension)
looking for xanthochromia and RBC count
Xanthochromia - the CSF will have a yellowish appearance since blood has been broken down enzymatically and leaking bilirubin into the surrounding fluid[11]
Go to:
Treatment / Management
Medical management of these patients should begin in the emergency department. In the first 24 hours, there is a very high risk of rebleeding, and this risk can be reduced markedly by controlling blood pressure. Systolic should be kept less than 140 mmHg.[12]
Labetalol and nicardipine are good first-line agents.
Nitroglycerin and nitroprusside should be avoided as they are associated with an increase in intracranial pressure.
Remember to control the patient’s pain. It is not only the right thing to do; adequate pain control will make it easier to control the blood pressure.
Use antiemetics as needed.
Nimodipine may be added in the first 96 hours to help decrease the degree of vasospasm.[13]
Antiseizure medications should also be initiated.
Go to:
Differential Diagnosis
On the differential for saccular aneurysms exist many of the disease processes that cause headaches:
Headache (tension, migraine, cluster)
Meningitis
Encephalitis
SOL (space-occupying lesions such as tumors)
Pituitary masses (endocrine)
Metabolic disturbances
Cerebral venous thrombosis
Idiopathic intracranial hypertension
Temporal arteritis
Go to:
Prognosis
Many aneurysms will never cause a patient any discomfort or sequelae.
If an aneurysm does rupture, the prognosis depends on several factors including:
Prior neurologic conditions
Age
Comorbidities
Aneurysm location
Time from rupture to first contact with a doctor
Bleeding extent or grade of subarachnoid hemorrhage and (rebleeding)
Aneurysm treatment success
Vasospasm in the ensuing days
Development of hydrocephalus and seizures
Twenty-five percent of patients with ruptured aneurysms will not survive the first 24 hours.
Of those who survive initially, 25 percent will die from other complications in the next six months.[14]
Go to:
Complications
Rebleeding
Hyponatremia
Vasospasm
Hydrocephalus
Seizures
Cardiac stress
Go to:
Deterrence and Patient Education
Patients should know to utilize the emergency medical services (EMS) available to them such as emergency rooms, via EMS when available, to seek the expert advice of an emergency physician if headache develops which is severe or different from baseline headaches.[15]
Go to:
Enhancing Healthcare Team Outcomes
Currently, research is being done in a variety of fields including targeting specific genes and improving the diagnostic accuracy of our neuroimaging such that this diagnosis can be made swiftly and accurately, thereby improving patient outcomes and decreasing the morbidity and mortality associated with saccular aneurysms, especially ones that have burst. Outcomes can be enhanced by an interprofessional team including EMS personnel, emergency department nurses and physicians, radiologists, neurologists, physiatrists, and therapists. [Level 5]
Go to:


acute CN 3 palsy. ? cause
2 options
Clinical presentation

How to find the central sulcus
7 ways

Intrasella and Suprasella masses
+ = most common

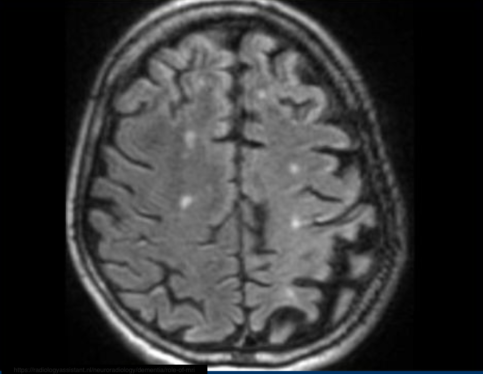
Corticobasal Degeneration (CBD)
CBD is a rare entity which may present with cognitive dysfunction, usually in combination with Parkinson-like symptoms.
The so-called ‘Alien-hand’ syndrome is a typical manifestation.
MRI shows asymmetric parietal cortical atrophy, sometimes with associated hyperintensity of the white matter on T2W images.
Axial FLAIR image shows striking asymmetric cortical parietal atrophy in a patient with CBD

Imaging findings of bacterial meningitis/CNS infection


CMV Encephalitis


Frequency of Tumours CNS
Adults (4) vs Kids (3)

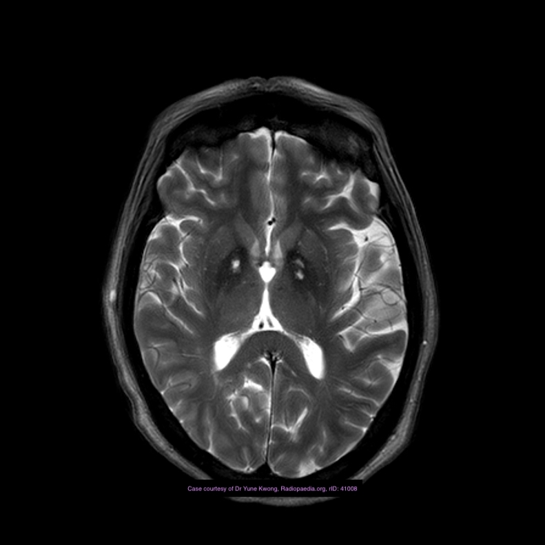
CNS capillary telangiectasia
Dr Daniel J Bell◉ and Dr Yuranga Weerakkody◉ et al.
CNS capillary telangiectasiae(s) are small, asymptomatic low flow vascular lesions of the brain.
Epidemiology
As these lesions are asymptomatic, diagnosis usually matches the age of first imaging with MRI, and as such are most frequently found in middle-aged and elderly adults. Their incidence varies according to the series. They can account for up to ~20% of all intracerebral vascular malformations on autopsy studies 2 and are considered the second most common vascular anomaly after venous angiomas (developmental venous anomaly) on imaging 5.
Clinical presentation
The vast majority of capillary telangiectasias are completely asymptomatic and discovered incidentally on MRI when the brain is imaged for other reasons.
Occasionally there may be associated intracerebral haemorrhage, although a direct causative relationship has not been established beyond a doubt. This may be more common with cases of mixed histology.
Pathology
They are comprised of dilated capillaries and are interspersed with normal brain parenchyma with a thin endothelial lining but no vascular smooth muscle of elastic fibre lining. This is in contrast to cavernous malformations (CM) which have no normal brain within their confines. Histology can be mixed with a component of CM.
Location
most occur in the pons, cerebellum and spinal cord
Associations
Osler-Weber-Rendu syndrome
Radiographic features
Capillary telangiectasias are mostly located in the brainstem (especially the pons). They are more often solitary, but sometimes can be multiple. They have only become widely recognised in the radiology community following the introduction of MRI, as they are usually not seen on CT and DSA 2-5.
MRI
They appear as subtle lesions with no mass effect.
T1: typically iso to low signal compared with brain parenchyma
T2: normal or slightly increased signal intensity
FLAIR: normal or slightly increased signal intensity
T2*: low signal intensity
thought to be due to deoxyhaemoglobin from sluggish flow, not haemorrhage 2
T1 C+:
may demonstrate stippled enhancement
if large, can show branching/linear draining veins
Treatment and prognosis
These lesions are almost always asymptomatic, have interspersed normal brain tissue and are most frequently located in the pons, making treatment impractical and unwarranted. Thus, no follow-up is required if the imaging appearances are characteristic.
Differential diagnoses
In the majority of cases, no differential needs to be entertained. When appearances are atypical then depending on the actual appearance, one could consider:
enhancing mass (usually mass effect present)
glioma
metastasis
resolving infarct
demyelination
cerebritis
vascular malformation
cavernous malformation
arteriovenous malformation (AVM)
developmental venous anomaly (DVA)

The 6 types of neuroglia
Mnemonic: “O A Mess”
1st four = CNS.
Last 2 = PNS
Neuroglia - provide a supportive role to Neurons.
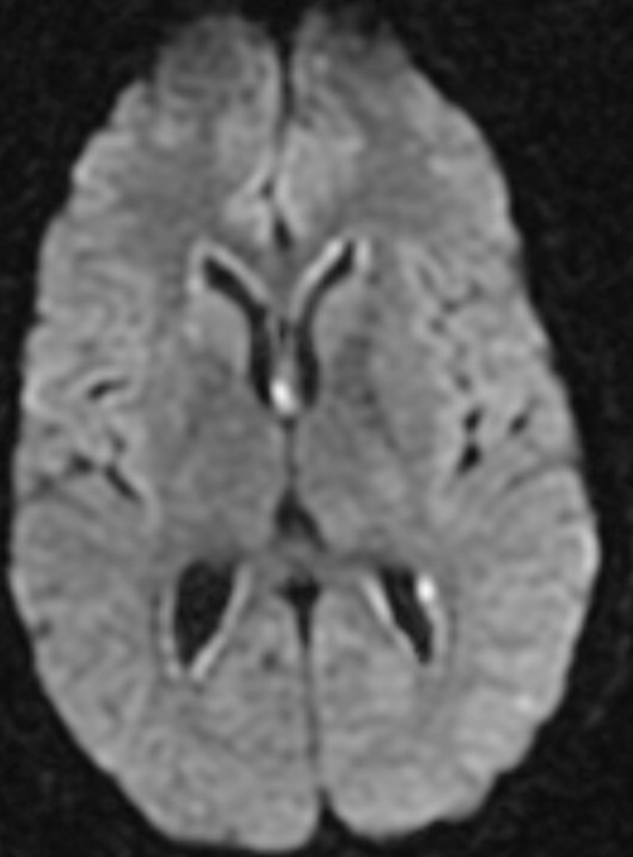
RE CNS Abscesses what are the
DWI, T1, T2 findings of the
central cavity
https://www.asnr.org/education/neurocurriculum-live/

RE CNS Abscesses what are the
DWI, T1, T2 findings of the
Capsule?
What causes the T1 findings?
The abscess capsule is well-defined, smooth and complete.
It shows a layered aspect, hypointense on FLAIR/T2-wi and hyperintense on T1-wi.
The presence of collagen fibres and macrophages releasing free radicals are considered responsible for the short T1 and T2 of the rim due to their paramagnetic effect (Figure 2).7
The external low-signal rims on T2-wi could be useful to distinguish abscess from glioblastomas:
in this case the rims, irregular or incomplete in the majority of cases, result from the store of haemorrhagic products surrounding the outer layer of the necrotic core.8

RE CNS Abscesses what are the
DWI, T1, T2 findings of the
Peripheral vasogenic oedema?
