Darier Flashcards

(28 cards)

1
Q

Mutation Darier

A

AD
Mutation ATP2A2
Encode SERCA2
ATPase Ca2+ du réticulum endoplasmique

How well did you know this?
1
Not at all
2
3
4
5
Perfectly
1
Q

Transmission Darier

A

AD
Pénétrance complète et expressivité variable

Mutation ATP2A2
Encode SERCA2
ATPase Ca2+ du réticulum endoplasmique

How well did you know this?
1
Not at all
2
3
4
5
Perfectly
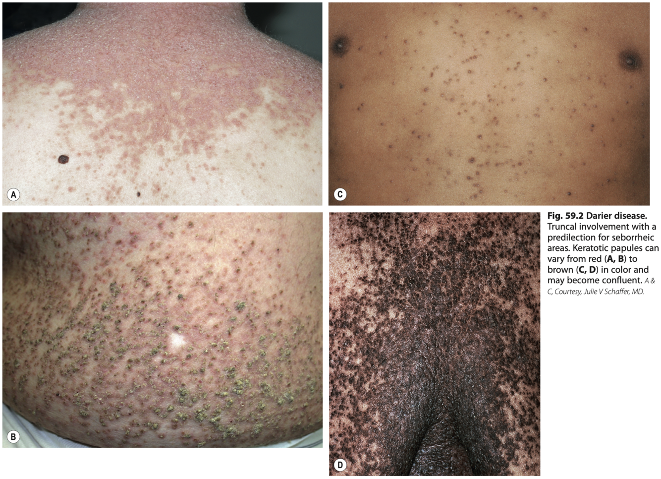
2
Q

Description Darier

A

Entre 6 et 20 ans (70%)
Pic puberté (11-15 ans)

Distribution séborrhéique
Tronc, cuir chevelu, visage, cou latéral
Papules rouge-brun kératosiques croutées
confluence ad masses papillomateuses
Petites macules hypomélanotiques
Vésicules ou bulles rares
infection HSV

Aisselles, aines, infra-mammaire
Masses macérées végétantes parfois (aisselles ou aines)

Dos des mains et pieds > avant-bras ou jambes
Papules planes couleur peau ou brunes évoquant verrues planes
Vésicules acrales hémorragiques

Palmoplantaire
Papules souvent kératosiques
interruption des dermatoglyphes (subtil)
Creux remplis de kératine

Ongles
Fissures longitudinales
Érythronychie ou leuconychie longitudinale
Hyperkératose sous-unguéale en croissant
Fragiles et cassants
indentation en V (notches)

Oral
Palais dur > gencives, muqueuse buccale, langue
Papules blanchâtres indolores ou rugueuses (15-50%)

Prurit modéré
Mauvaise odeur

Neuropsychiatrique
Épilepsie
Déficience intellectuelle
Troubles de l’humeur

Autres
Obstruction des conduits des glandes salivaires (oedème douloureux)
Complications oculaires
ulcérations cornéennes
endophtalmite à staphylocoque
CSC (sites chroniquement affectés)

How well did you know this?
1
Not at all
2
3
4
5
Perfectly
3
Q

Manifestations mucocutanées Darier

A

Cutané
Tronc, cuir chevelu, visage, cou latéral (séborrhéique)
Papules rouge-brun kératosiques croutées
confluence ad masses papillomateuses
Petites macules hypomélanotiques
Vésicules ou bulles rares
infection HSV

Aisselles, aines, infra-mammaire
Masses macérées végétantes parfois (aisselles ou aines)

Dos des mains et pieds > avant-bras ou jambes
Papules planes couleur peau ou brunes évoquant verrues planes
Vésicules acrales hémorragiques

Palmoplantaire
Papules souvent kératosiques
interruption des dermatoglyphes (subtil)
Creux remplis de kératine

Ongles
Fissures longitudinales
Érythronychie ou leuconychie longitudinale
Hyperkératose sous-unguéale en croissant
Fragules et cassants
indentation en V (notches)

Oral
Palais dur > gencives, muqueuse buccale, langue
Papules blanchâtres indolores ou rugueuses (15-50%)

*complications oculaires très rares
ulcérations cornéennes
endophtalmite à staphylocoque

How well did you know this?
1
Not at all
2
3
4
5
Perfectly
4
Q

Manifestations unguéales Darier (4)

A

Fissures longitudinales
Érythronychie ou leuconychie longitudinale
Hyperkératose sous-unguéale en croissant
Fragules et cassants
indentation en V (notches)

How well did you know this?
1
Not at all
2
3
4
5
Perfectly
5
Q

Manifestations orales Darier (2)

A

Palais dur > gencives, muqueuse buccale, langue
Papules blanchâtres indolores ou rugueuses (15-50%)

Érosions muqueuse orale

How well did you know this?
1
Not at all
2
3
4
5
Perfectly
6
Q

Histologie Darier

A

Acantholyse et dyskératose

Épiderme épaissi
papillomatose
hyperkératose
Infiltrat périvasculaire léger à modéré

Acantholyse
Perte des desmosomes et détachement des filaments de kératine
Perturbation de l’adhésion cellulaire
Fente suprabasilaire

Dyskératose
Condensation nucléaire et clumping de kératine périnucléaire
Apoptose de kératinocytes

Cellules dyskératotiques
Corps ronds
Kératinocytes de grande taille dans l’épiderme
noyau foncé partiellement fragmenté
cytoplasme clair
encerclé par anneau brillant de paquets de kératine collapsed
Grains
Petites cellules ovales dans la couche cornée
cytoplasme intensément éosinophilique de paquets de kératine collapsed
contient résidus parakératosiques nucléaires

How well did you know this?
1
Not at all
2
3
4
5
Perfectly
7
Q

Traitement Darier

A

Symptomatique

Général
Nettoyants antimicrobiens
Émollients kératolytiques
Vêtements légers
Protection solaire
Éviter facteurs pouvant exacerber
chaleur
transpiration
exposition UVR

Topiques
Rétinoïdes topiques
CS topiques (avec rétinoïdes)
seuls moins efficaces que rétinoïdes
Inhibiteurs de la calcineurine topique
Analogues de vitamine D
moins efficaces que rétinoïdes
Émollients
Utilisation intermittente d’antibiotiques topiques et antimicrobiens (odeur)
diminue colonisation et infections secondaires légères

5-FU topique (1 ou 5%)
Diclofenac sodium 3% gel

Systémiques
Maladie sévère résistante
Rétinoïdes (amélioration de 90% des patients, mais récidive à l’arrêt)
isotrétinoïne
acitrétine
alitrétinoïne

CO si exacerbations prémenstruelles
CSA

Chirurgicaux
Lésions focales résistantes (flexion, fesses)
Exérèse puis greffe
Dermabrasion
Laser CO2 ou Er:YAG
(PDL, PDT)

*destruction doit atteindre infundibulum folliculaire pour prévenir récidives

How well did you know this?
1
Not at all
2
3
4
5
Perfectly
8
Q

Distribution Darier

A

Séborrhéique

Tronc
Cuir chevelu (bordures)
Visage
Cou latéral

How well did you know this?
1
Not at all
2
3
4
5
Perfectly
9
Q

Distinction distribution Darier et Hailey-Hailey

A

Darier
Tronc
Cuir chevelu
>
Intertrigineux
Palmo-plantaire

Hailey-Hailey
Prédominance intertrigineuse
Cou, aisselles, infra-mammaire, aines et pli interfessier
>
Plis des coudes et genoux
Cuir chevelu postérieur

How well did you know this?
1
Not at all
2
3
4
5
Perfectly
10
Q

Distinction distribution Darier et Grover

A

Darier
Tronc
Cuir chevelu
>
Intertrigineux
Palmo-plantaire

Grover
Tronc (central)

How well did you know this?
1
Not at all
2
3
4
5
Perfectly
11
Q

Nom de cette manifestation associée à Darier

A

Acrokératose verruciforme de Hopf
Dos des mains et/ou des pieds
Petites papules planes

How well did you know this?
1
Not at all
2
3
4
5
Perfectly
12
Q

Traitements topiques Darier (5+)

A

Rétinoïdes topiques
CS topiques (avec rétinoïdes)
seuls moins efficaces que rétinoïdes
Inhibiteurs de la calcineurine topique
Analogues de vitamine D
moins efficaces que rétinoïdes
Émollients
Utilisation intermittente d’antibiotiques topiques et antimicrobiens (odeur)
diminue colonisation et infections secondaires légères

5-FU topique (1 ou 5%)
Diclofenac sodium 3% gel

How well did you know this?
1
Not at all
2
3
4
5
Perfectly
13
Q

Traitements systémiques Darier (3)

A

Maladie sévère résistante

Rétinoïdes
Isotrétinoïne, acitrétine, alitrétinoïne
Amélioration de 90% des patients, mais récidive à l’arrêt
Considérer intermittent pour prévenir exacerbations l’été
Éviter si bulleux ou intertrigineux prédominant (aggravation)

CO si exacerbations prémenstruelles
CSA

How well did you know this?
1
Not at all
2
3
4
5
Perfectly
14
Q

Traitements chirurgicaux Darier (3)

A

Lésions focales résistantes (flexion, fesses)
Exérèse puis greffe
Dermabrasion
Laser CO2 ou Er:YAG
(PDL, PDT)

*destruction doit atteindre infundibulum folliculaire pour prévenir récidives

How well did you know this?
1
Not at all
2
3
4
5
Perfectly
15
Q

Apparition Darier

A

Entre 6 et 20 ans (70%)
Pic puberté (11-15 ans)

16
Q

Évolution Darier

A

Chronique
Fluctuations dans la sévérité de la maladie

Complications infectieuses
Bactéries
S. aureus
Levures
Dermatophytes
HSV
VPH
Variole de la vache

17
Q

Complications infectieuses Darier (5+)

A

Bactéries
S. aureus
Levures
Dermatophytes
HSV
VPH
Variole de la vache

18
Q

Sous-types cliniques Darier (3)

A

Classique

Acral hémorragique
macules rouges à bleu-noir

Segmentaire
type 1 (postzygotique) : atteinte mosaïque similaire à classique
type 2 (hétérozygote avec postozygotique sur l’autre allèle) : atteinte mosaïque plus sévère

19
Q

Manifestations neuropsychiatriques Darier (3)

A

Épilepsie
Déficit intellectuel
Trouble de l’humeur
dépression
tentatives de suicide

20
Q

Présentations moins fréquentes Darier (15+)

A

Hypopigmentation en goutte
Macules et papules planes hyperpigmentées (freckle-like)
Lésions vésiculobulleuses
Lésions acrales hémorragiques
Kératodermie épineuse
Cornifiant (cornes cutanées)
Acnéiforme (comédons, kystes faciaux et acne conglobata)
Lésions nodulokystiques périoculaires
Alopécie
Cutis verticis gyrata

Distribution
Intertrigineuse
Photo-exposé
Extrémités
Acral
Cuir chevelu (pityriasis amiantacé-like)
Segmentaire (type 1 > 2)

Extra-cutané
Érosions de la muqueuse orale
Opacités cornéennes ou ulcères
Obstruction des glandes salivaires
Atteinte laryngée

21
Q

Morphologies moins fréquentes Darier (10)

A

Hypopigmentation en goutte
Macules et papules planes hyperpigmentées (freckle-like)
Lésions vésiculobulleuses
Lésions acrales hémorragiques
Kératodermie épineuse
Cornifiant (cornes cutanées)
Acnéiforme (comédons, kystes faciaux et acne conglobata)
Lésions nodulokystiques périoculaires
Alopécie
Cutis verticis gyrata

22
Q

Distributions moins fréquentes Darier (6)

A

Prédominance intertrigineuse
Peau photo-exposée
Extrémités
Acral
Cuir chevelu (pityriasis amiantacé-like)
Segmentaire (type 1 > 2)

23
Q

Distinction histologique Darier et Grover

A

Grover
Moins d’acantholyse
Moins de dyskératose
Moins de corps ronds et grains

*plus évident, étendu et folliculaire avec Darier

24
DDx histologique dyskératose acantholytique (5)
Darier Grover Dyskératome verruqueux Acanthome acantholytique dyskératosique Dyskératose acantholytique papuleuse (sporadique, localisation vulvucrurale)
25
DDx clinique Darier (8)
Acrokératose verruciforme de Hopf DS Grover *Intertrigineux* Pyoderma blastomycose-like *P. aeruginosa* infiltrat neutrophilique pas d'acantholyse Pemphigus vegetans (Hallopeau) plus vieux exocytose d'éosinophiles acantholyse IFD intercellulaire Pemphigoïde vegetans Hailey-Hailey pas d'atteinte unguéale moins de dyskératose Dyskératose acantholytique papuleuse (sporadique, localisation vulvucrurale)
26
Distinction Darier et acrokératose verruciforme de Hopf
*Clinique identique avec papule planes verruciformes du dos des extrémités* **Acrokératose verruciforme de Hopf** Pas d'acantholyse Pas de dyskératose
27
Distinction Darier et Hailey-Hailey (5)
**Hailey-Hailey** Distribution à prédominance intertrigineuse Pas d'atteinte unguéale Pas d'atteinte acrale Pas d'atteinte muqueuse Moins de dyskératose