Érythème polymorphe Flashcards

(15 cards)

1
Q

Distinction érythème polymorphe mineur et majeur (3)

A

Mineur
Lésions en cible
typiques
atypiques papuleuses
Peu ou pas d’atteinte muqueuse
Peu ou pas de symptômes systémiques

Majeur
Lésions en cible
typiques
atypiques papuleuses
parfois lésions bulleuses
Atteinte muqueuse sévère
Symptômes systémiques
fièvre
arthralgies

How well did you know this?
1
Not at all
2
3
4
5
Perfectly
2
Q

Lésions en cible d’érythème polymorphe

A

Typique
3+ zones différentes
centre souvent vésiculeux ou crouté
< 3 cm
Arrondi et bien défini

Atypique
2 zones distinctes et/ou bordure mal définie
papuleuses
(vs maculeuses pour SJS/TEN)

*sites acrofaciaux
*image cibles typiques

How well did you know this?
1
Not at all
2
3
4
5
Perfectly
3
Q

Facteurs précipitants érythème polymorphe (4)

A

Infections
Viral
HSV types 1 et 2 (#1)
Parapoxvirus (orf)
Vaccinia (vaccin smallpox)
Adénovirus
EBV
CMV
Hépatites virales
Coxsackievirus
Parvovirus B19
VIH

Bactérien
Mycoplasma pneumoniae
Chlamydophila psittaci (anc. Chlamydia)
Salmonella
Mycobacterium tuberculosis

Fongique
Histoplasma capsulatum
plus souvent avec érythème noueux concomitant
Dermatophytes

Médication (rare)
AINS
Sulfonamides
AE
Autres antibiotiques (aminopénicillines)
Allopurinol

Expositions
Herbe à puce

Maladie systémique
MII
LE (Rowell)
Behçet

Autres
Trauma
Froid
UV
Orthovoltage irradiation

How well did you know this?
1
Not at all
2
3
4
5
Perfectly
4
Q

Facteurs infectieux pouvant précipiter érythème polymorphe (4)

A

Viral
HSV types 1 et 2 (#1)
Parapoxvirus (orf)
Vaccinia (vaccin smallpox)
Adénovirus
EBV
CMV
Hépatites virales
Coxsackievirus
Parvovirus B19
VIH

Bactérien
Mycoplasma pneumoniae
Chlamydophila psittaci (anc. Chlamydia)
Salmonella
Mycobacterim tuberculosis

Fongique
Histoplasma capsulatum
plus souvent avec érythème noueux concomitant
Dermatophytes

How well did you know this?
1
Not at all
2
3
4
5
Perfectly
5
Q

Proportion des patients avec érythème polymorphe qui ont HSV

A

50% ont HSV orolabial précédant érythème polymorphe (de 3-14 jours)

How well did you know this?
1
Not at all
2
3
4
5
Perfectly
6
Q

Distinction érythème polymorphe et SJS (4)

A

Indices : morphologie, localisation des lésions et atteinte muqueuse, symptômes sytémiques

Érythème polymorphe
Cibles typiques
Cibles atypiques papuleuses
Parfois lésions bulleuses

Symptômes systémiques
fièvre
arthralgies

SJS
Macules dusky avec détachement épidermique et érosions
Lésions en cible atypiques maculeuses
Lésions bulleuses
< 10% BSA détachement

Symptômes systémiques
fièvre
adénopathies
hépatite
cytopénies

Rx précipitants

How well did you know this?
1
Not at all
2
3
4
5
Perfectly
7
Q

Localisation des lésions d’érythème polymorphe (6)

A

Extrémités (MS > MI)
coudes
genoux
poignets
mains

Visage

Muqueuses (EM majeur)
muqueuse buccale et lèvres > oculaire ou génitale

*groupées
*Koebner, mais traumatisme ayant lieu avant apparition de l’éruption
*sunburn

How well did you know this?
1
Not at all
2
3
4
5
Perfectly
8
Q

Particularité de l’érythème polymorphe avec Mycoplasma pneumoniae

A

Présentation sévère acro-mucosale

Jeunes garçons et adolescents

Mucosite
Conjonctivite
Éruption cutanée bulleuse ou en cible

How well did you know this?
1
Not at all
2
3
4
5
Perfectly
9
Q

Évolution naturelle érythème polymorphe

A

Apparition de la majorité des lésions en 24h
Progression ad 72h

Lésions fixes 7+ jours
Durée 2 semaines de l’épisode
majorité sans séquelle sauf si atteinte oculaire sans traitement

Si HSV
Récidives 1-2x par année
plus si immunosupprimé (5-6x par année)

How well did you know this?
1
Not at all
2
3
4
5
Perfectly
10
Q

Fréquence des récidives érythème polymorphe

A

Si érythème polymorphe associé à HSV récidivant

1-2x par année
plus si immunosupprimé (5-6x par année)

How well did you know this?
1
Not at all
2
3
4
5
Perfectly
11
Q

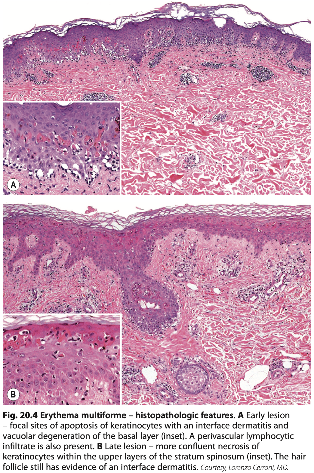
Histologie érythème polymorphe

A

Apoptose de kératinocytes individuels
pas de grandes zones de nécrose épidermique pleine épaisseur comme SJS

Spongiose légère
Dégénération vacuolaire focale des kératinocytes basaux

Oedème du derme superficiel
plus présent que SJS

Infiltrat périvasculaire superficiel de lymphocytes
exocytose dans l’épiderme

IFD
NS
Dépôts granulaires d’IgM et C3 autour des vaisseaux sanguins superficiels et focalement à la jonction dermo-épidermique

How well did you know this?
1
Not at all
2
3
4
5
Perfectly
12
Q

DDx érythème polymorphe (8+)

A

FDE
LE subaigu
Rowell
Kawasaki
EAC
Vasculite
vasculite urticarienne
Sweet

PMLE (si récidivant au printemps)

Urticaire polymorphe (urticaire annulaire géant)
Maladie sérique-like

How well did you know this?
1
Not at all
2
3
4
5
Perfectly
13
Q

Traitement érythème polymorphe

A

Topiques
Antiseptiques
Anesthésiants locaux (oral)

Systémiques
Selon agent causal identifié
Antihistaminiques 3-4 jours

Sévère
Prednisone 0.5-1 mg/kg/jour x 3-5 jours
ou pulse methylprednisolone 20 mg/kg/jour x 3 jours

Si HSV
Antiviraux à envisager pour suppression chronique
pas d’impact en aigu
Acyclovir 10 mg/kg/jour en doses divisées
Valacyclovir 500-1000 mg/jour (selon fréquence des récidives)
Famciclovir 250 mg bid

Récidives ou résistance
AZA 100 mg/jour
Prednisone 0.5 mg/kg/jour
Thalidomide
Dapsone
CSA
MMF
PUVA

How well did you know this?
1
Not at all
2
3
4
5
Perfectly
14
Q

Traitements systémiques pour érythème polymorphe récidivant réfractaire (7)

A

AZA 100 mg/jour
Prednisone 0.5 mg/kg/jour
Thalidomide
Dapsone
CSA
MMF
PUVA

How well did you know this?
1
Not at all
2
3
4
5
Perfectly
15
Q

Doses d’antiviraux pour érythème polymorphe récidivant (3)

A

Acyclovir 10 mg/kg/jour en doses divisées

Valacyclovir 500-1000 mg/jour (selon fréquence des récidives)

Famciclovir 250 mg bid

How well did you know this?
1
Not at all
2
3
4
5
Perfectly