Pemphigus Flashcards

(123 cards)

1
Q

Mécanisme pemphigus

A

Anticorps IgG circulants contre la surface cellulaire des kératinocytes

Acantholyse
clivage portion profonde de l’épiderme, au-dessus de la membrane basale

Inhibition directe des desmogléiines
Localisation des anticorps empêche interaction adhésion avec desmogléines

Transduction du signal induit par la liaison des anticorps
Augmentation du calcium intracellulaire, activation protéine kinase C ou phosphorylation Dsg3

Internalisation ou endocytose Dsg3
Lorsque désassemblage des desmosomes, internalisation et rétraction de kératine

En bref
Auto-anticorps inhibent fonction adhérente des desmogléines
perte de l’adhésion cellulaire des kératinocytes
= bulles

How well did you know this?
1
Not at all
2
3
4
5
Perfectly
2
Q

Mécanisme pemphigus paranéoplasique

A

Autoanticorps IgG
Dsg3
Dsg1
Plakines
plectine
épiplakine
desmoplakines 1 et 2
BPAG1
envoplakine
périplakine
Inhibiteur de protéase
alpha-2-macroglobulin-like-1

Cytotoxicité à médiation cellulaire
Lymphocytes T Dsg3-spécifiques favorisent production IgG anti-Dsg3 par lymphocytes B
acantholyse
Infiltration directe de l’épiderme
dermatite d’interface

*érosions orales sévères et réfractaires, stomatite, éruptions cutanées polymorphes

How well did you know this?
1
Not at all
2
3
4
5
Perfectly
3
Q

HLA associés à pemphigus

A

Caucasiens
DRB1 0402
DRB1 1401
DQB1 0302

Japonais
DRB1 14
DQB1 0503

How well did you know this?
1
Not at all
2
3
4
5
Perfectly
4
Q

Classification pemphigus (6)

A

Pemphigus vulgaire
pemphigus vegetans
Pemphigus foliacé
pemphigus érythémateux
fogo selvagem (endémique)
Pemphigus herpétiforme
Pemphigus médicamenteux
Pemphigus paranéoplasique*
Pemphigus IgA
type intraépidermique neutrophilique
type dermatose pustuleuse sous-cornéenne

*forme mixte IgG/IgA, 50% ont maladie systémique sous-jacente et auto-anticorps Dsg1, 3, Dsc décrits
*paranéoplasique a composantes auto-immunes humorale et cellulaire

How well did you know this?
1
Not at all
2
3
4
5
Perfectly
5
Q

Proportion de pemphigus vulgaires parmi tous les pemphigus

A

70%

How well did you know this?
1
Not at all
2
3
4
5
Perfectly
6
Q

Cibles pemphigus (4)

A

Pemphigus vulgaire
Dsg3 > Dsg1
Auto-anticorps IgG contre desmogléine 3 (muqueuse)
Auto-anticorps IgG contre desmogléine 3 et 1 (mucocutané)

Pemphigus foliacé
Dsg1
Auto-anticorps IgG contre desmogléine 1

Pemphigus paranéoplasique
Dsg3, 1, plectine et plakines, BPAG1, A2ML1
Auto-anticorps IgG contre plakines
Dermatite d’interface par réaction immunitaire médiée par lymphocytes T

Pemphigus médicamenteux
Dsg3, Dsg1
Auto-anticorps IgG contre desmogléine 3 et 1

Pemphigus IgA
IgA desmocolline 1

Type intraépidermique neutrophilique
Auto-anticorps IgA contre desmocolline 1

Type dermatoses pustuleuse sous-cornéenne
Auto-anticorps IgA contre anticorps inconnu

How well did you know this?
1
Not at all
2
3
4
5
Perfectly
7
Q

Auto-anticorps pemphigus vulgaire

A

Dsg3
avec ou sans Dsg1

How well did you know this?
1
Not at all
2
3
4
5
Perfectly
8
Q

Auto-anticorps pemphigus foliacé

A

Dsg1

How well did you know this?
1
Not at all
2
3
4
5
Perfectly
9
Q

Auto-anticorps pemphigus végétans

A

Dsg3
avec ou sans Dsg1
>
Dsc1
Dsc2
Périplakine

How well did you know this?
1
Not at all
2
3
4
5
Perfectly
10
Q

Auto-anticorps pemphigus érythémateux

A

Dsg1
avec ou sans Dsg3

How well did you know this?
1
Not at all
2
3
4
5
Perfectly
11
Q

Auto-anticorps pemphigus paranéoplasique (8)

A

Plectine
Desmoplakine 1
Desmoplakine 2
Envoplakine
Périplakine
BP-230
Dsg1
Dsg3

How well did you know this?
1
Not at all
2
3
4
5
Perfectly
12
Q

Auto-anticorps pemphigus herpétiforme (5)

A

Dsg1
Dsg3
Dsc1
Dsc3
Protéine inconnue 178 kDa

How well did you know this?
1
Not at all
2
3
4
5
Perfectly
13
Q

Auto-anticorps pemphigus IgA

A

Sous-type dermatose pustuleuse sous-cornéenne
Dsc1

Sous-type neutrophilique intraépidermique
Non identifié

How well did you know this?
1
Not at all
2
3
4
5
Perfectly
14
Q

Auto-anticorps pemphigus médicamenteux

A

Dsg1
avec ou sans Dsg3

How well did you know this?
1
Not at all
2
3
4
5
Perfectly
15
Q

Distribution desmogléines dans la peau et les muqueuses

A

Desmogléine 3
Muqueuses
Peau

Desmogléine 1
Peau
(minimal muqueuses)

*peau Dsg1 à travers l’épiderme
*peau Dsg3 portion inférieure de l’épiderme (basale et parabasale)
*muqueuses Dsg3 toute l’épaisseur

How well did you know this?
1
Not at all
2
3
4
5
Perfectly
16
Q

Épidémiologie pemphigus vulgaire

A

Âge moyen 50-60 ans

HLA-DR4
HLA-DR6

*plus fréquent PV que PF sauf en Finlande, Tunisie et Brésil

How well did you know this?
1
Not at all
2
3
4
5
Perfectly
17
Q

HLA associés à pemphigus vulgaire (2)

A

HLA-DR4
HLA-DR6

How well did you know this?
1
Not at all
2
3
4
5
Perfectly
18
Q

Associations pemphigus vulgaire

A

Infections virales
HSV
CMV
EBV
HHV-8

Comorbidités
Atteinte auto-immune thyroïdienne
PAR
Thymome
Diabète mellitus type 1

How well did you know this?
1
Not at all
2
3
4
5
Perfectly
19
Q

Épidémiologie fogo selvagem (3)

A

Pemphigus foliacé endémique

Jeunes adultes
Zones rurales
proximité des rivières et mouches noires
morsure Simulium nigrimatum induirait production IgG4 DSG-1 par molecular mimicry

Brésil
Colombie
Tunisie
Région du Kilimanjaro (Tanzanie et Kenya)

HLA-DRB1 0404
HLA-DRB1 1406

How well did you know this?
1
Not at all
2
3
4
5
Perfectly
20
Q

Pathogenèse fogo selvagem

A

Exposition à facteurs environnementaux
Mouches noires (Simulium spp) potentiel vecteur précipitant la maladie

Insectes hématophages (punaises de lit et kissing bugs)

Prédisposition génétique
Membres d’une même famille souvent atteints

How well did you know this?
1
Not at all
2
3
4
5
Perfectly
21
Q

Théorie de compensation des desmogléines

A

Explique localisation des bulles
Dsg3 : muqueuses
Dsg1 : peau

Dsg1 et Dsg3 compensent l’un pour l’autre lorsque co-exprimées dans la même cellule

Anticorps contre Dsg1
Bulles épiderme superficiel (seul endroit où Dsg1 est exprimée seule)
épiderme profond Dsg3 présente
muqueuses Dsg3 présente

Anticorps contre Dsg3
Peu ou pas de bulles cutanées
coexpression Dsg1 dans la peau
Bulles muqueuses
pas de compensation Dsg1

Anticorps contre Dsg1 et Dsg3
Bulles extensives et érosions cutanées et muqueuses

How well did you know this?
1
Not at all
2
3
4
5
Perfectly
22
Q

Mécanisme pemphigus néonatal

A

Transmission des anticorps maternels PV (Dsg1 et 3) >PF (Dsg1)

Composition de l’épiderme néonatal distincte
Dsg3 présent à travers tout l’épiderme (idem à muqueuses)
= anticorps anti-Dsg1 seuls ne sont pas suffisants pour produire manifestation cutanée

How well did you know this?
1
Not at all
2
3
4
5
Perfectly
23
Q

Maladies clivant Dsg1 (3)

A

Pemphigus foliacé
Impétigo bulleux (S. aureus)
SSSS (S. aureus)

*toxines exfoliatives S. aureus inactivent Dsg1

How well did you know this?
1
Not at all
2
3
4
5
Perfectly
24
Q

Particularités pemphigus paranéoplasique (2)

A

Pathogenèse
Autoanticorps
Dsg1, Dsg3
plakines
A2ML1
Cytotoxicité à médiation cellulaire

Clinique
Stomatite avec érosions sévères et réfractaires orales
apparition précoce (signe #1)
toutes les surfaces de l’oropharynx ad vermillion

Éruptions cutanées polymorphes
atteinte palmo-plantaire

How well did you know this?
1
Not at all
2
3
4
5
Perfectly
25
Description pemphigus vulgaire
**Sous-groupes** Mucosal-dominant (atteinte muqueuse > cutanée) Mucocutané **Muqueux** (tous) Érosions muqueuse orale douloureuses (quasi 100%) muqueuse buccale muqueuse palais muqueuse gingivale > ailleurs Taille variable, bordure mal définie Croutes hémorragiques du vermillion Raucité de la voix, difficulté à avaler *Autres* Oesophage Conjonctives Muqueuse nasale Vagin Lèvres vulvaires Pénis Anus **Cutané** (souvent après début de l'atteinte muqueuse) Tronc, aine, aisselles, cuir chevelu, visage et sites de pression Bulles flasques avec érosions cutanées étendues (> 50%) base érythémateuse ou non confluence éventuelle Guérison lente avec HPI sans cicatrice Prurit peu fréquent Nikolsky + Asboe-Hansen + Infection bactérienne secondaire
26
DDx clinique croutes hémorragiques vermillion (7)
HSV VZV EM majeur SJS/TEN Pemphigus vulgaire Pemphigus paranéoplasique Chéilite de contact
27
Présentations cliniques atypiques pemphigus vulgaire (5)
Plaque croutée isolée du visage ou du cuir chevelu Paronychies et/ou onychomadèse Ulcères des pieds Eczéma dishidrotique ou pompholyx Macroglossie
28
Description pemphigus vegetans
*Forme végétative rare de pemphigus vulgaire* Zones intertrigineuses, cuir chevelu, visage et muqueuse orale Bulles flasques et érosions qui forment ensuite végétations fungoïdes ou proliférations papillomateuses Parfois pustules initiales Parfois changements cérébriformes **Sous-types** Neumann (sévère) vésiculobulleux érosif et généralisé poussées et rémissions semblable à PV Hallopeau (léger) pustules initiales rémission long terme *parfois vu dans lésions PV chroniques résistantes
29
Description pemphigus foliacé
**Pas d'atteinte muqueuse** Très rare **Peau** Apparition graduelle subtile lésions éparses (impétigo) BEG hormis brulement ou douleur avec lésions cutanées Distribution séborrhéique visage cuir chevelu tronc supérieur Érosions croutées et squames (cornflakes) souvent base érythémateuse Limitée pour des années ou progression rapide avec atteinte généralisée (et érythrodermie) Nikolsky +
30
Description pemphigus érythémateux
*Variante localisée de pemphigus foliacé (Senear-Usher syndrome)* Région malaire du visage et autres zones séborrhéiques photodistribuées Lésions squameuses et croutées de PF bulles flasques initialement Exacerbation avec exposition UV
31
Maladies associées à pemphigus érythémateux (3+)
Thymome Myasthénie grave Autres maladies auto-immunes LE rare Carcinome bronchogénique
32
Proportion pemphigus érythémateux avec ANA positifs
30-83% *rare dsDNA, Smith, Ro, RNP *parfois rencontrent critères LED ACR
33
Description fogo selvagem
Brésil, Colombie, Tunisie Milieux pauvres, ruraux et près de cours d'eau Érosions ou dermatite exfoliative généralisée
34
Description pemphigus herpétiforme (3)
*Variante clinique de pemphigus foliacé > pemphigus vulgaire* *clinique DH et histologie pemphigus* Plaques urticariennes et vésicules tendues, distribution herpétiforme moins sévère cliniquement (vs PV) tendance à chronicité (vs PV) peut évoluer vers PV ou PH **Histologie** Spongiose éosinophilique (quasi tous) et pustules sous-cornéennes avec minime acantholyse 50% spongiose neutrophilique 50% acantholyse suprabasale Autoanticorps IgG contre la surface cellulaire des kératinocytes Dsg1 > Dsg3
35
Description pemphigus médicamenteux
Cas sporadiques Majorité ont anticorps et présentation idem à pemphigus régulier PF (46%) PV (33%) PE (20%) Certains avec acantholyse directe sans anticorps S'améliorent généralement avec arrêt Rx impliqué **Médication** (sulfhydryl groups interagissant avec groupes sulfhydryl des Dsg) Penicillamine Captopril
36
Médication associée à pemphigus médicamenteux (3+)
**Thiol** (acantholyse directe) **Penicillamine IECA** (captopril > enalapril, lisinopril) ARA **Non thiol** (mécanismes immuns) AINS (piroxicam) B-lactames **BCC** (nifedipine) BB (propranolol) Or Phenobarbital Rifampin (Alikhan)
37
Cancers associés avec pemphigus paranéoplasique (6)
*Cancers hématologiques (84%)* LNH LLC > Castleman (#3) Thymome malin ou bénin Sarcomes Macroglobulinémie de Waldenström Carcinomes épithéliaux *LNH et LLC comptent pour 2/3 *absence de cancers fréquents (sein, colon, CSC)
38
Description pemphigus paranéoplasique
**Stomatite** Apparition précoce (signe #1) Érosions sévères et réfractaires orales toutes les surfaces de l'oropharynx ad vermillion **Conjonctivite pseudomembraneuse** Cicatrices Comblement des fornix conjonctivaux **Autres muqueuses** Nasopharynx Oesophage Anogénital vagin vulve pénis périanal Respiratoire (93%) bronchiolite oblitérante **Éruptions cutanées polymorphes** (apparition après stomatite) Distribution étendue atteinte palmo-plantaire possible Aspect pemphigus vulgaire vs pemphigoïde bulleuse vs EM vs lichénoïde *cause de décès #1 = infections *bronchiolite oblitérante peut survenir et causer mort (TFR affecté plus tôt que CT)
39
Proportion pemphigus paranéoplasique parmi tous les pemphigus
3-5%
40
Épidémiologie pemphigus à IgA
Âge moyen ou personnes âgées **Sous-types** (4) Dermatose pustuleuse sous-cornéenne Intraépidermique neutrophilique PF IgA Pemphigus végétans
41
Sous-types de pemphigus IgA (4)
Dermatose pustuleuse sous-cornéenne Intraépidermique neutrophilique PF IgA Pemphigus végétans *2 seulement selon le Bolognia; 4 selon CME
42
Description pemphigus IgA
Aisselles et aines > tronc et extrémités proximales > cuir chelevu, rétro-auriculaire, intertrigineux Pustules ou vésicules flasques sur peau érythémateuse ou normale coalescence en plaques annulaires ou circinées croûtes centrales Rare atteinte muqueuse Prurit significatif **Type dermatose pustuleuse sous-cornéenne** Clinique et histologie identique à Sneddon (IFD distingue) Gammapathie monoclonale dans 20% **Type intraépidermique neutrophilique** Pustules en tournesol **Type PF IgA** **Type pemphigus végétans** Inclut pyodermatite-pyostomatite végétans (association MII)
43
Associations avec pemphigus à IgA (5)
**Dermatose pustuleuse sous-cornéenne** Gammapathie monoclonale (20%) **Pemphigus végétans** MII (lorsque atteinte muqueuse) **Tous types** MM Lymphome B Cancer du poumon
44
IFI et IFD pemphigus à IgA
*IgA1* **Type dermatose pustuleuse sous-cornéenne** IgA anti-desmocolline 1 surface épidermique **Type intraépidermique neutrophilique** IgA contre cible inconnue tout l'épiderme *certains des pemphigus IgA ont auto-anticorps contre Dsg1 ou Dsg3
45
Tzanck smear pour pemphigus
Démontre cellules épidermiques acantholytiques (bedside)
46
Histologie pemphigus vulgaire (4)
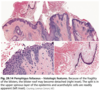
**Bulle intra-épidermique** Cavité parfois avec kératinocytes ronds (acantholytiques) Peu de cellules inflammatoires éosinophiles **Acantholyse suprabasale** Occasionnellement dans la couche épineuse Peut impliquer les follicules pileux Perte de contact avec leurs voisins, mais maintien de l'attachement avec membrane basale avec hémidesmosomes **(pierres tombales)** **Pas de nécrose kératinocytaire** Infiltrat périvasculaire mononucléé peu d'éosinophiles **Spongiose éosinophilique** Trouvaille histologique la plus précoce avant acatholyse
47
Histologie pemphigus vegetans (4)
Papillomatose et acanthose épidermique considérables Microabcès intraépidermiques Acantholyse suprabasale (phase initiale) Infiltrat inflammatoire intense nombreux éosinophiles
48
Histologie pemphigus foliacé
*Identique pour pemphigus érythémateux et fogo selvagem* **Acantholyse dans l'épiderme supérieur** Dans ou près de la **granuleuse** idem à SSSS (Dsg1) Plus difficile à apprécier vu peu de bulles intactes quelques kératinocytes acantholytiques attachés au plafond ou plancher de la bulle Infiltrat inflammatoire variable dans la cavité de la bulle (neutrophiles) Infiltrat inflammatoire variable dans le derme (éosinophiles fréquents) **spongiose éosinophilique** pour lésions très précoces
49
Histologie pemphigus paranéoplasique
**Variable reflet du polymorphisme des lésions cliniques** **Combinaison** PV, EM, LP **Bulles intactes** Acantholyse suprabasale Nécrose kératinocytaire individuelle Lymphocytes dans l'épiderme Dermatite d'interface dégénération liquefactive basale infiltrat lymphocytaire en bande Rares éosinophiles **Stomatite ulcérative** Inflammation NS Épithélium périlésionnel avec acantholyse suprabasale
50
Histologie pemphigus à IgA
Pustule ou vésicule intra-épidermique contient neutrophiles Rarement acantholyse **Sous-types** Dermatose pustuleuse sous-cornéenne pustules sous-cornéennes, épiderme superficiel Intraépidermique neutrophilique pustules suprabasales portion inférieure ou entièreté de l'épiderme
51
DDx histologique spongiose éosinophilique (15+)
**Bulloses** PV PF PB Pemphigoïde gestationis PMM DIgAL **Éosinophiles** Piqûres d'arthropodes Wells IP Folliculite éosinophilique **Eczémateux** DA DCA Id MF Éruptions médicamenteuses **Autres** Érythème toxique de nouveau-né Prurigo pigmentosa Still
52
Techniques pour identifier auto-anticorps associés à pemphigus (5)
IFD IFI Immunoprécipitation Immunoblotting ELISA
53
Technique IFD pour bullose
Démonstration *in vivo* des dépôts IgG sur la surface des kératinocytes Peau ou muqueuse périlésionnelle *IgG ad 100% PV et PF *pas IgM retrouvé, IgA occasionnels, C3 occasionnel IgG4 sont la forme la plus retrouvée et IgG4 ne lient pas complément *forme la plus sensible et fiable
54
IFD pemphigus vulgaire
**Interkératinocytaire** (en mailles) IgG >> IgA C3 variable Pas d'IgM *IgG4 sont la forme d'Ig la plus retrouvée, ne lient pas complément
55
IFD pemphigus foliacé
*DSG-1* **Interkératinocytaire** (en mailles) IgG (parfois minime IgA) C3 variable Pas d'IgM *IgG4 sont la forme d'IgG la plus retrouvée; ne lient pas complément
56
IFD pemphigus érythémateux
*DSG-1* **Interkératinocytaire** (en mailles) IgG (parfois minime IgA) C3 variable Pas d'IgM **Membrane basale** (dépôts granuleux) IgG C3 *« Lupus band » en plus de interkératinocytaire
57
IFD pemphigus herpétiforme
**Intraépithélial** (parfois épiderme inférieur) IgG C3
58
IFD pemphigus paranéoplasique
**Interkératinocytaire** (en mailles) IgG C3 variable **Membrane basale** (variable) IgG et C3 parfois présents
59
IFD pemphigus IgA
**Interkératinocytaire** (en mailles) IgA *pas d'IgG
60
Technique IFI pour bullose
Recherche d'anticorps IgG circulants contre la surface des cellules épithéliales Sérum du patient Substrat oesophage de singe (anti-Dsg3) oesophage de cochon d'Inde (anti-Dsg1) peau humaine vessie de rat (anti-plakine) *anticorps anti-substance intercellulaire
61
Substrats IFI selon la bullose (5)
**Pemphigus vulgaire** Oesophage de singe (anti-Dsg3) **Pemphigus foliacé** Peau humaine ou Oesophage de cochon d'Inde (anti-Dsg1) **Pemphigus paranéoplasique** Oesophage de singe (anti-Dsg3) et Oesophage de cochon d'Inde (anti-Dsg1) Vessie de rat (anti-plakine) **Pemphigoïde bulleuse et DIgAL** Peau humaine salt split **Pemphigoïde des membranes muqueuses** Peau humaine salt split muqueuse orale, génitale ou conjonctivale
62
IFI pemphigus vulgaire
*Dsg-3 avec ou sans Dsg-1* Dépôts intercellulaires Oesophage de singe
63
Sensibilité et spécificité ELISA Dsg-3 pour pemphigus vulgaire
**Dsg-3** (muqueux) Sensiibilité 95% Spécificité 98% *taux corrèle peu avec activité de la maladie
64
Proportion pemphigus avec éosinophilie périphérique
Pemphigus vulgaire 45% Pemphigus herpétiforme 40%
65
IFI pemphigus vegetans
*Dsg-1, Dsg-3* *(parfois desmocollines 1, 2 et périplakine)* Dépôts intercellulaires Oesophage de singe
66
IFI pemphigus érythémateux
*Dsg-1* Dépôts intercellulaires Oesophage de cochon d’Inde (comme foliacé)
67
IFI pemphigus foliacé
*Dsg-1* Dépôts intercellulaires Oesophage de cochon d’Inde *majorité des patients
68
Sensibilité et spécificité ELISA Dsg-1 pour pemphigus foliacé
**Dsg1** (peau) Sensibilité 92% Spécificité 98% *taux corrèlent avec sévérité de la maladie
69
Sensibilité ELISA Dsg-1 pour fogo selvagem
Sensibilité > 90%
70
IFI pemphigus médicamenteux
*Dsg1, Dsg3* Dépôts intercellulaires Oesophage de singe
71
IFI pemphigus paranéoplasique
*Dsg1, Dsg3, plectine, envoplakine, desmoplakines 1 et 3, périplakine* Dépôts intercellulaires **Vessie de rat**
72
IFI pemphigus à IgA
*Dsc1 pour sous-type dermatose pustuleuse sous-cornéenne* Dépôts intercellulaires Oesophage de singe
73
Substances mises en évidence avec oesophage de singe (2)
Dsg3 Dsg1
74
Substance mise en évidence avec oesophage de cochon d'Inde
Dsg1
75
Substance mise en évidence avec vessie de rat
Plakine
76
Technique immunoprécipitation et immunoblot pour bullose
Électrophorèse séparant les antigènes ciblés par les anticorps selon leur poids moléculaire **Immunoblotting** Requiert dénaturation du substrat protéique Plus facile à performer **Immunoprécipitation** Ne requiert pas dénaturation du substrat protéique Requiert radioisotopes pour identifier les substrats protéiques Supérieur pour détecter épitopes conformationnels (structure 3D)
77
Technique ELISA pour bullose
Détecte auto-anticorps spécifiques à un antigène Sérum du patient testé sur plateaux ELISA enduits de protéines reconstituées Dsg1 Dsg3 Anticorps spécifiques peuvent être détectés
78
Profil ELISA selon le type de pemphigus
**Pemphigus foliacé** Dsg1 + Dsg3 - **Pemphigus vulgaire** *Mucocutané* Dsg1 + Dsg3 + *Muqueux dominant* Dsg1 - Dsg3 + **Pemphigus paranéoplasique** Dsg1+ Dsg3 + BP230 (BPAG1) + Envoplakine + Périplakine +
79
DDx clinique pemphigus vegetans (7)
Hailey-Hailey Darier (si intertrigineux) Pemphigoïde végétans Pyoderma blastomycose-like (infection bactérienne) Pyodermatite ou pyostomatite végétans (PG) > Halogénodermie Infections bactéries (granulome inguinal, condyloma lata) fongique (dimorphe, chromomycose) viral (condylome acuminé, HSV vegetans, zona chronique verruqueux) parasites (granulome amebic) Paget extra-mammaire
80
DDx clinique pemphigus vulgaire (10+)
**Oral** Stomatite herpétique aigue Stomatite aphteuse EM SJS LP LED PMM **Cutané** Autres pemphigus médicamenteux paranéoplasique PB DIgAL EM Hailey-Hailey Dermatose acantholytique transitoire (Grover)
81
DDx clinique pemphigus foliacé (5)
Autres pemphigus médicamenteux Impétigo bulleux Dermatose pustuleuse sous-cornéenne (Sneddon-Wilkinson) LE subaigu DS
82
Distinction Hailey-Hailey et pemphigus vulgaire (5)
**Hailey-Hailey** Acantholyse pleine épaisseur (mur de brique dilapidé) Hyperplasie épidermique Squame impétiginisée Acantholyse qui ne s'étend pas le long des follicules Absence d'auto-anticorps IgG contre surface cellulaire kératinocytaire et IgG anti-Dsg3
83
Distinctions Grover et pemphigus vulgaire (2)
Petits foyers d'acantholyse intra-épidermique Présence d'auto-anticorps IgG contre surface cellulaire kératinocytaire et IgG anti-Dsg3
84
DDx clinique pemphigus paranéoplasique (8+)
Pemphigus vulgaire PMM EM SJS LP GVHD HSV persistant Autres infections virales Stomatite avec chimiothérapie
85
DDx clinique pemphigus à IgA (6)
Dermatose pustuleuse sous-cornéenne (Sneddon-Wilkinson) Pemphigus foliacé Impétigo bulleux DH DIgAL Psoriasis pustuleux
86
Bilan au diagnostic de pemphigus paranéoplasique (5)
Dépistage selon l'âge FSC Cytométrie de flux LDH EPPS avec immunofixation
87
Traitements rapportés pemphigus vulgaire
**CS systémiques** 1 mg/kg/jour (souvent 60 mg) évaluation de l'efficacité avec nombre de nouvelles lésions par jour et guérison des anciennes si pas de réponse en 3-7 jours, considérer autre option 1 g/jour methylprednisolone IV (sur 2-3h) x 3-5 jours cas sévère **Immunosuppresseurs** *Rituximab 1 g x1 puis à 2 semaines (répéter q 3-6 mois)* ou 375 mg/m2 q semaine x 4 puis AZA 2-4 mg/kg/jour (100-300 mg/jour) MMF 2-3 g/jour CYC 1-3 mg/kg/jour PO (50-200 mg/jour) 500-1000 mg/m2 IV q 4 semaines CSA 3-5 mg/kg/jour tracrolimus MTX 7.5-20 mg/semaine IVIg haute dose Plasmaphérèse 2 jours/mois si réfractaire à CS et immunosuppresseur combiné **Autres** Tétracyclines Niacinamide Agonistes cholinergiques pyridostigmine
88
Approche au traitement pour pemphigus vulgaire ou foliacé modéré
*PDAI < 15* **Prednisone** 0.5 mg/kg/jour sevré sur 3 mois considérer dapsone considérer tétracyclines et niacinamide *Si demeure modéré ou CI* MMF ou AZA **Sévérité ou réfractaire** Traiter comme sévère Rituximab et prednisone *Si rituximab CI* Prednisone 1 mg/kg/jour sevré sur 6 mois IVIg
89
Approche au traitement pour pemphigus vulgaire ou foliacé significatif ou sévère
*PDAI 15-44, 45+* **Rituximab** 1 g IV x 2 doses (espacées de 2 semaines) avec **Prednisone** 0.5 mg/kg sevré sur 3 mois (modéré) 1 mg/kg sevré sur 6 mois (sévère) *si rituximab CI, prednisone 1 mg/kg/jour sevré sur 6 mois et IVIg
90
Traitement pemphigus foliacé
*Similaire à pemphigus vulgaire* Dapsone si prédominance histologique de neutrophiles
91
Traitement pemphigus paranéoplasique
**Tumeur bénigne** Exérèse de la tumeur thymome Castleman localisé = amélioration substantielle ad guérison complète ad 6-18 mois pour résolution complète **Tumeur maligne** Chimiothérapie ou thérapie ciblée de la tumeur sous-jacente Résolution plus rapide des lésions cutanées que de la stomatite Mauvais pronostic résistant au traitement Rituximab CS systémiques IVIg Autres immunosuppresseurs CYC MMF AZA CSA ou tacrolimus alemtuzumab
92
Traitement pemphigus IgA (6)
**Dapsone** Réponse en 24-48h *Si réponse partielle* Ajout prednisone avec sevrage **Autres** Sulfapyridine Acitrétine > Prednisone dose faible ou moyenne PUVA Colchicine Adalimumab CYC MMF AZA IVIg Rituximab Plasmaphérèse
93
Traitement pemphigus herpétiforme
Dapsone 100-300 mg PO die Avec ou sans CS systémiques **Autres** Tétracyclines Niacinamide
94
Traitement pemphigus végétans
**Hallopeau** (léger) Prednisone faible dose **Neumann** (sévère) Traitement comme pemphigus vulgaire Rituximab et prednisone PDAI 15+ 0.1 mg/kg/jour
95
Conseils pour sevrage de prednisone en pemphigus
**Débuter dès atteinte du contrôle de la maladie** Sevrage de 25% de la dose q 7–14 jours À 20 mg/jour, ralentir sevrage diminuer la dose q 2–4 semaines
96
Scores standardisés d'activité du pemphigus (2)
PDAI > ABSIS PVAS
97
Pemphigus disease area index (PDAI)
*Score 0 à 263 pour PF/PV acceptable pour pemphigus érythémateux et végétans (Neuman)* *< 15 modéré* *15 à 44 significatif* *> 45 sévère* **Purement objectif** Sensible pour petit nombre de lésions ne requiert pas BSA Fiable et validité interobservateur 3 minutes (facile) **Critères** Activité érosions et bulles érythème de nouvelles lésions Dommage PIH érythème de lésions en résolution 12 sites anatomiques *score le plus performant
98
Auto-immune bullous skin disorder intensity score (ABSIS)
**Objectif et subjectif** Fiable et validité interobservateur moins bon pour maladie légère (estimation BSA) Requiert 5 minutes N'évalue que muqueuse orale Aliment issus de diètes occidentales **Critères** Atteinte cutanée BSA type de lésions Atteinte orale inconfort pour manger ou boire selon le type d'aliment douleur et saignement
99
Pemphigus vulgaris activity score (PVAS)
**Purement objectif** Rapide (1 minute) Validité interobservateur la moins grande **Critères** Étendue et nombre de lésions cutanées et muqueuses Type de lésions cutanées et muqueuses Nikolsky
100
Étiologie non bulleuse de dépôts IgG intercellulaires IFD
**Pattern non spécifique** Anticorps ABO circulants = faire attention si IFI démontre faible pattern intercellulaire avec ELISA négatif Dsg-1 et 3
101
DDx IFD dépôts intercellulaires (7+)
**IgG** Pemphigus superficiel pemphigus foliacé fogo selvagem Pemphigus suprabasal pemphigus vulgaire pemphigus végétans Pemphigus herpétiforme Pemphigus paranéoplasique **IgA** Pemphigus à IgA **IgG avec dépôts intercellulaires également** Pemphigus paranéoplasique Pemphigus érythémateux *PAMS = syndrome paranéoplasique
102
DDx IFD dépôts membrane basale (10)
**IgG et C3 linéaire** PB Pemphigoïde gestationis LP pemphigoïdes PMM (certains) EBA LE bulleux Pemphigoïde anti-p200 (laminine γ1) PMM anti-laminine 332 (anti-épiligrine) **IgA linéaire** DIgAL **IgA granuleux et papille dermique** DH
103
DDx bulles mucocutanées (10+)
**Génétique** EB héréditaire IP Porphyrie Darier Hailey-Hailey **Infections et piqûres** Zona HSV PMB Impétigo bulleux SSSS Dactylite bulleuse Érysipèle bulleux Cellulite bulleuse Tinea pedis bulleux Réaction bulleuse aux piqûres d'arthropodes **Réactions médicamenteuses** FDE SJS/TEN Pseudoporphyrie médicamenteuse AGEP Érythème toxique de la chimiothérapie Réaction médicamenteuse phototoxique Bromodermie ou iododermie **Eczémateux** DCA aigue Phytophotodermatite Dishidrose (pompholyx) Prurigo nodulaire **Urticarien** Urticaire chronique idiopathique **Interface** LP bulleux LE bulleux EM GVHD **Pustuleux** (DDx pemphigus IgA) Dermatose pustuleuse sous-cornéenne AGEP Psoriasis pustuleux Pustulose amicrobienne des plis **Réactions vasculopathiques** Vasculite bulleuse Vasculite urticarienne Vasculopathie occlusive **Maladies systémiques** (dépôt, métabolique, conjonctif) Amyloïdose bulleuse Bullose diabétique Élastose solaire bulleuse LS bulleux **Traumatique** Bulle de friction Bulle de coma Bulle post brulure retardée ou post greffe cutanée Dermatose factice **Néoplasique** Lymphangiome circonscrit MF bulleux Mélanome bulleux **Autres** Bulles d'oedème Dermatose éosinophilique associée à cancer hématologique Grover
104
Définition de récidive pour pemphigus
3+ nouvelles lésions en 1 mois pas de guérison en 1 semaine *majorité précoce (entre 6-12 mois) *prédicteurs récidive PDAI 45+ pré-traitement Dsg1 ou 3 qui demeurent élevés 3 mois après 1er cycle de rituximab
105
Indications prophylaxie pneumonie Pneumocystis jiroveci
**4+ semaines** Prednisone 20+ mg die Prednisone avec agent cytotoxique *FdR supplémentaires* Immunodéficiences T ou B Greffé Fibrose pulmonaire Lymphopénie **Prophylaxie** Trimethoprim-sulfamethoxazole (TMP-SMX) DS 3x semaine ou die (Dapsone agit comme prophylaxie!)
106
Mécanisme d'action commun à tétracyclines, CSA, niacinamide et agonistes cholinergiques en pemphigus
**Inhibition de l'apoptose et lyse kératinocytaire** Diminuent dommage mitochondrial causé par anticorps antimitochondries parfois présents en pemphigus
107
Particularité des pemphigus médicamenteux causés par agent contenant thiol
Tendance à rémission avec l'arrêt du médicament causal (vs chronicisation lorsque médication causale ne contient pas thiol)
108
Particularité traitement pemphigus érythémateux
Photoprotection pour prévenir exacerbations Antimalariques utiles
109
Traitement folgo selvagem
**Base** Photoprotection Prophylaxie strongyloïdose Traitement des surinfections **Maladie localisée** CS topiques et IL Prednisone faible dose (0.25 mg/kg/jour) Dapsone **Maladie localisée réfractaire ou modérée** Prednisone 0.5 mg/kg/jour **Maladie sévère** (> 10% BSA) Prednisone 1 mg/kg/jour Immunosuppresseur CS sparing MTX AZA MMF Rituximab IVIg CYC
110
Doses dapsone pour pemphigus
50 mg die *PV, PF, FS, PH, PE, PVe, IgA
111
Doses tétracycline pour pemphigus
2 g par jour x 1 mois puis 1 g par jour x 1 mois *PV, PF, PE
112
Doses niacinamide pour pemphigus
1.5 g par jour *PV, PF, PVe, PE
113
Doses AZA pour pemphigus
1-3 mg/kg/jour *PV, PF, FS, PH, PE, PVe, IgA, PNP
114
Doses MMF pour pemphigus
30-45 mg/kg/jour *PV, PF, FS, PVe, PNP
115
Doses IVIg pour pemphigus
2 g/kg sur 2-5 jours q mois *PV, PF, FS, PH, PE, PNP
116
Doses MTX pour pemphigus
15 mg q semaine *PV, PF, FS, PH
117
Doses CYC pour pemphigus
15 mg/kg q mois *PV, PF, PVe, PNP
118
Doses CSA pour pemphigus
5 mg/kg *PV, PF, PE, PVe, IgA, PNP
119
Doses SSZ pour pemphigus
500 mg tid *PV, PH
120
Doses colchicine pour pemphigus
0.5-2 g par jour *IgA
121
Doses acitrétine pour pemphigus
30 mg die *IgA
122
Doses plasma exchange thérapeutique pour pemphigus
3 échanges par semaine x 1-3 mois *PV, PF, PVe, PNP
123
Rituximab pour pemphigus vulgaire et foliacé
**Première ligne** (diminue taux de récidive) Pemphigus significatif (PDAI 15-44) Pemphigus sévère (45+) **Administration** Rituximab IV Protocole rhumatologie (approuvé) 2 doses de 1g espacées de 2 semaines Protocole lymphome (p-e plus de rémission complète durable) 375 mg/m2 q semaine x 4 *Risque élevé de récidive* (PDAI 45+, Dsg1 ou 3 élevés persistants 3 mois après cycle) 500 mg x1 à 6 mois Avec prednisone 0.5-1 mg/kg/jour sevrée sur 3 mois 0.5 si significatif 1 si sévère