Gale Flashcards

(46 cards)

1
Q

Pathogène gale

A

Sarcoptes scabiei var. hominis
(mite à 8 pattes de 0.35 x 0.3 mm)

How well did you know this?
1
Not at all
2
3
4
5
Perfectly
2
Q

Pathogenèse gale

A

Cycle de vie de 9-15 jours
Entièrement dans l’épiderme
Survie 4-6 semaines des mites adultes

Épiderme
Mite F pond 2-3 oeufs par jour
Éclosion des oeufs après 2-4 jours
Larves à 6 pattes se transforment en nymphes à 8 pattes après 3-4 jours
Mite adulte après 4-7 jours
survie ad 4-6 semaines

Fomites (draps, plancher, rideaux, chaises
Survie ad 3 jours
(maximum 7 pour gale norvégienne car peuvent se nourrir de squames)

Incubation jours à mois
Sensibilisation requise
Première infestation prend 2-6 semaines pour sensibilisation à la mite et ses produits
Infestations subséquentes surviennent en 24-48h

*porteurs aSx existent

How well did you know this?
1
Not at all
2
3
4
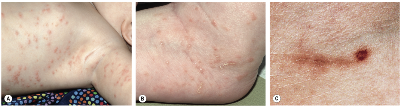
5
Perfectly
3
Q

Transmission gale

A

Contact direct
rapproché
sexuel
>
Fomites
(mite survit 3 jours, ad 7 maximum)

How well did you know this?
1
Not at all
2
3
4
5
Perfectly
4
Q

Facteurs de risque gale norvégienne

A

Immunosuppression
Personnes âgées
VIH +
HTLV-1+
Greffe d’organes solides ou autre iatrogénique
CS systémiques ou oraux
Lymphomes T ou leucémies

Altération sensitives ou incapacité à se gratter
Neuropathies
Lèpre
Paraplégie

How well did you know this?
1
Not at all
2
3
4
5
Perfectly
5
Q

Nombre de mites d’un gale standard et d’une gale norvégienne

A

Standard : souvent < 10-15
habituellement < 100

Norvégienne : milliers
Ad 4700 mites par gramme

How well did you know this?
1
Not at all
2
3
4
5
Perfectly
6
Q

Survie d’un sarcopte de gale sans hôte humain

A

Ad 3 jours
Maximum 7 pour gale norvégienne (peuvent se nourrir de squames)

How well did you know this?
1
Not at all
2
3
4
5
Perfectly
7
Q

Sites de prédilection pour gale

A

Espaces interdigitaux des mains
Mains
Fléchisseurs des poignets
Aisselles
Fesses
Taille (incluant ombilic)
Cuisses internes
Chevilles
Pieds
Post-auriculaire

H
Pénis
Scrotum

F
Mamelons et aréole
Vulve

*nourrissons partout incluant cuir chevelu et visage

How well did you know this?
1
Not at all
2
3
4
5
Perfectly
8
Q

Description gale

A

Prurit nocturne (insomniant)

Morphologie variable
papules, nodules, vésicules, dermatite eczémateuse
hyperkératose acrale > autres sites (gale norvégienne)
Sillon
Infections bactériennes secondaires

Signe du deltaplane (delta-wing jet)
Sillon qui termine par une mite

How well did you know this?
1
Not at all
2
3
4
5
Perfectly
9
Q

Morphologies gale (5)

A

Papules érythémateuses
Excoriations
Vésicules
Nodules indurés
Dermatite eczémateuse

How well did you know this?
1
Not at all
2
3
4
5
Perfectly
10
Q

Nom de ce signe

A

Sillon de gale (pathognomonique)
Tunnel creusé par la mite F pour pondre ses oeufs
Ondulé, linéaire, gris-blanc, court (1-10 mm de long)
termine avec vésicule ou pustule érodée contenant la mite

How well did you know this?
1
Not at all
2
3
4
5
Perfectly
11
Q

Pathogène représenté

A

Gale
Sarcoptes scabiei var hominis

How well did you know this?
1
Not at all
2
3
4
5
Perfectly
12
Q

Histologie gale

A

Infiltrat diffus ou discontinu derme réticulaire
éosinophiles importants
lymphocytes, hiostiocytes

Sarcopte occasionnellement visualisé (couche cornée de l’épiderme)
Indice avec structures en tire-bouchon (pigtail-like) dans la couche cornée
fragments de l’exosquelette adulte

How well did you know this?
1
Not at all
2
3
4
5
Perfectly
13
Q

Diagnostic gale

A

Scraping et microscopie
Identification de la mite, des oeufs ou des excréments (scybala)
Préparations à l’huile minérale
Ruban adhésif passé sur zones infestées

Dermoscopie
Signe du deltaplane

How well did you know this?
1
Not at all
2
3
4
5
Perfectly
14
Q

Traitement gale

A

Limiter fomites
Laver à l’eau chaude et sécher vêtements, literie, serviettes de la semaine précédente
ou ranger 10 jours dans sac (au moins 72h)

Traiter proches
Animaux n’ont pas les mites humaines

Topiques
Appliquer HS à toute la surface du corps (visage et cheveux ok épargnés si adultes)
Répéter 7-10 jours après
Perméthrine 5% crème (FDA)
Spinosad 0.9% suspension (FDA)
>
Soufre 5-10% onguent
Benzyl benzoate 25% adultes et 10 ou 12.5% enfants
non disponible USA et Canada
Ivermectin 1% crème
>
Lindane 1% lotion ou crème (FDA)
(Malathion 0.5%)
(Crotamiton 10% lotion ou crème) (FDA)

Systémiques
Ivermectin (comprimés 3 mg)
200-400 mcg/kg
jour 1 + jour 8 (ou 14) (car non ovicide)

*soulagement du prurit possible en 3 jours
*persistance possible des des lésions 2-4 semaines après traitement (prurit ou dermatite post-scabétique)
réponse aux mites mortes

How well did you know this?
1
Not at all
2
3
4
5
Perfectly
15
Q

DDx clinique gale infantile (5+)

A

Acropustulose infantile
Piqûres d’arthropodes
Urticaire papuleux
DA
Histiocytose langerhansienne
IP

How well did you know this?
1
Not at all
2
3
4
5
Perfectly
16
Q

DDx histologique spongiose éosinophilique (15+)

A

Bulloses
PV
PF
PB
Pemphigoïde gestationis
PMM (cicatriciel)
DIgAL

Éosinophiles
Piqûre d’arthropodes
Éruption médicamenteuses
Wells
IP
Folliculite éosinophilique

Eczémateux
DA
DCA
Id
MF

Autres
Érythème toxique du nouveau-né (ETN)
Éruption polymorphe de la grossesse (PEP)
Prurigo pigmentosa
Still

How well did you know this?
1
Not at all
2
3
4
5
Perfectly
17
Q

Traitements topiques gale (5+)

A

Perméthrine 5% crème (efficace)
Jours 1 et 8 overnight
Approuvé 2+ mois
DCA si sensibilité formaldéhyde

Spinosad 0.9% suspension
Jour 1 overnight
Approuvé 4+ ans

Ivermectin 1% lotion ou crème

Lindane 1% lotion ou crème (résistance fréquente)
Jours 1 et 8 overnight
Non recommandé grossesse, allaitement, nourrissons, prématurés
Toxicité SNC si poids < 50 kg, âgé, gale norvégienne, condition dermatologique ou convulsions

Crotamiton 10% lotion ou crème (peu efficace)
3-5 jours overnight
Considéré sécuritaire chez nourrissons (mais non étudié)
DCI

Soufre 5-10% onguent (efficace)
3 jours overnight
Considéré sécuritaire chez nourrissons et en grossesse (mais non étudié)

(Benzyl benzoate 25% adultes et 10 ou 12.5% enfants)

How well did you know this?
1
Not at all
2
3
4
5
Perfectly
18
Q

Traitement systémique gale

A

Ivermectin (comprimés 3 mg)
Jour 1 et jour 8 (ou 14)
200 mcg/kg

Pas recommandé pour gale en grossesse
Pas étudié < 15 kg ni allairement
Toxicité SNC potentielle chez nourrissons et jeunes enfants

How well did you know this?
1
Not at all
2
3
4
5
Perfectly
19
Q

Traitement recommandé en grossesse pour gale

A

Perméthrine 5% crème
Jour 1 et 8 overnight
Approuvé pour nourrissons 2+ mois

20
Q

Traitement gale norvégienne avec échec au traitement initial

A

**Perméthrine 5% crème
q 2-3 jours x 1-2 semaines
ET
Ivermectin 200 mcg/kg
3 doses : jours 1, 2 et 8
5 doses : jours 1, 2, 8, 9, 15

Considérer kératolytique pour hyperkératose associée
acide salicylique
acide lactique

21
Q

Mécanisme d’action perméthrine pour ectoparasites

A

Pyréthroïde synthétique
Inhibe transport du sodium dans les neurones des arthropodes
= paralysie et décès

*résistance des poux fréquente
mutation gène encodant sous-unité alpha des canaux sodiques voltage dépendant
= diminution de l’affinité de la perméthrine

22
Q

Contre-indications lindane topique pour gale (4+)

A

Prématurés
Gale norvégienne
DA extensive
Convulsions (non contrôlées)
Individus < 50 kg
Personnes âgées

Risque d’effets SNC
Absorption percutanée augmentée
Mauvaise utilisation
Surutilisation
Ingestion accidentelle

23
Q

Mécanisme d’action spinosad pour ectoparasites

A

Produit de fermentation de la bactérie Saccharopolyspora spinosa (retrouvée dans sol)

Excitation SNC
Interfère avec récepteur Ach nicotinique
Excitation et contractions musculaires involontaires
Paralysie de l’insecte et mort

24
Q

Mécanisme d’action crotamiton pour gale

A

Inconnu
Effets antiprurigineux
inhibition histamine, sérotonine, PAR-2

25
Efficacité spinosad pour gale
*Natroba* **Spinosad 0.9% suspension** Application 6-8h x1 Efficacité 78% (vs 40% placebo)
26
Efficacité ivermectin systémique pour gale
Dose unique 200 mcg/kg Efficacité 79% (vs placebo 16%) *administrer 2 doses espacées de 1 ou 2 semaines vu activité limitée contre oeufs *éviter pour F enceintes ou allaitant, enfants > 15 kg
27
Utilisation perméthrine pour gale
**Application pancorporelle HS** Application tube 30g suffisante pour adulte x1 Masser le produit Laisser en place 8-14h Laver ensuite *Efficacité* Similaire à ivermectin Supérieure à soufre, malathion, lindane, crotamiton, benzoyl benzoate
28
Utilisation spinosad pour gale
*Natroba* **Spinosad 0.9%** suspension Application pancorporelle si cuir chevelu chauve, appliquer également Laisser sécher 10 min avant de se vêtir Application 6h
29
Efficacité onguent de soufre pour gale
**Soufre 10%** onguent (gelée de pétrole) x 7 jours consécutifs Efficacité 71% (60-96% avec 3 applications consécutives de 24h)
30
Mécanisme d'action soufre pour gale
Scabicide Kératolytique
31
Mécanisme d'action ivermectin pour gale
**Lactone maccrocyclique** produit par *Streptomyces avermitilis* Liaison sélective et puissante des canaux de chlore glutamate-dépendants ou GABA nerfs et cellules musculaires des invertébrés Augmentation de la perméabilité des membranes cellulaires aux ions de chlore Hyperpolarisation des nerfs et cellules musculaires = paralysie fonction motrice périphérique du parasite = mort du parasite
32
Efficacité ivermectin topique pour gale
**Ivermectin 1%** lotion
33
Mécanisme d'action malathion topique pour ectoparasites
*Malathion 0.5% lotion* **Organophosphate** Tue ectoparasites Inhibition activité cholinesterase des ectoparasites *pour pédiculose capillaire, présence d'alcool isopropyl 78% augmente efficacité *retiré temporairement du marché vu flammabilité
34
Mécanisme d'action lindane pour ectoparasites
**Composé organochloré** Absorption directe par parasites et oeufs via exosquelette Stimule SNC directement = convulsion et mort des arthropodes *Attention effets SNC chez humain* si absorption percutanée augmentée, mauvaise utilisation, surutilisation ou ingestion accidentelle éviter personnes âgées et < 50 kg
35
Traitement gale pour enfants < 2 mois
Soufre 5-10% onguent
36
Utilisation lindane pour gale
**Lindane 1%** lotion ou crème Application pancorporelle (neck down) Laisser en plance 8h puis nettoyer
37
Particularité traitement gale avec atteinte sous-unguéale
**Ajouter scabicide topique** Médication systémique ne pénètre pas dans débris kératinocytaires épais
38
Populations à risque de gale (3)
**Pays à revenu élevé** Hospitalisation, CHSLD ou autre institution SDF Groupes avec aires de vie surpeuplées camps de réfugiés (displaced) victimes de désastres naturels
39
Complications gale (6)
Impétigo Cellulite Abcès GN post-streptococcique Fièvre rhumatismale Sepsis
40
DDx clinique gale classique (10+)
DA DCA Id Dermatite nummulaire PB DH Folliculite Impétigo Pyoderma Urticaire papuleux Piqûres d'arthropodes Poux de corps Délire de parasitose Morgellons
41
DDx clinique gale bulleuse (5)
Piqûres d'arthropodes Impétigo bulleux PB PV IP (stade inflammatoire)
42
DDx clinique gale norvégienne (8)
Psoriasis PRP DS DA DCA KPP Darier MF ou Sézary érythrodermique
43
Sites de prédilection pour gale pédiatrique
*Nourrissons et jeunes enfants* Paumes Plantes Poignets Chevilles
44
Technique de scraping pour gale
Goutte d'huile minérale à la fin d'un sillon Gratter l'épiderme à ce site (sous le sillon) avec lame chirurgicale ou aiguille stérile **Mite** **Oeufs** **Excréments** (scybale)
45
Traitement topiques gale (5+)
*Appliquer HS à toute la surface du corps* (visage et cheveux ok épargnés si adultes) *24h pour soufre, benzyl benzoate, crotamiton, malathion* *Répéter 7-10 jours après* Perméthrine 5% crème (FDA) Spinosad 0.9% suspension (FDA) > Soufre 5-10% onguent Benzyl benzoate 25% adultes et 10 ou 12.5% enfants non disponible USA et Canada Ivermectin 1% crème > Lindane 1% lotion ou crème (FDA) Malathion 0.5% Crotamiton 10% lotion ou crème (FDA) *tea tree oil aussi
46
Évolution gale post-traitement
**Prurit post-scabétique** Souvent ad 1-4 semaines post traitement efficace Inflammation persistante *Émollients, antihistaminiques et CS faibles*