SJS TEN Flashcards

(49 cards)

1
Q

Prodrome SJS (4)

A

Fièvre
Yeux qui brûlent
IVRS
odynophagie
Peau douloureuse

*1-3 jours avant lésions cutanées

How well did you know this?
1
Not at all
2
3
4
5
Perfectly
2
Q

Distinction SJS et TEN

A

SJS
< 10% BSA
Mortalité 1-5%

TEN
> 30% BSA
Mortalité 25-35%

How well did you know this?
1
Not at all
2
3
4
5
Perfectly
3
Q

Médication associée à SJS (11+)

A

AINS, ATB, AE aromatiques

Allopurinol

Aminopenicillines
Céphalosporines
Quinolones
Sulfonamides
sulfamethoxazole (TMP-SMX)
sulfadiazine

Antirétroviraux
surtout NNRTI : nevirapine, efavirenz, etravirine

Barbituriques
Carbamazépine
Phénytoïne

Immunothérapie
ipilimumab
nivolumab

SSZ

*7-21 jours après Rx (mais 2 jours si réexposition)
*risque plus grand dans les 2 premiers mois pour AE
*pire pronostic si demi-vie longue (vs courte)

How well did you know this?
1
Not at all
2
3
4
5
Perfectly
4
Q

Mortalité moyenne avec SJS

A

1-5%

How well did you know this?
1
Not at all
2
3
4
5
Perfectly
5
Q

Mortalité moyenne avec TEN

A

25-35%

How well did you know this?
1
Not at all
2
3
4
5
Perfectly
6
Q

Pathogenèse SJS

A

Réaction d’hypersensibilité de type 4
réponse immune à un complexe antigénique formé par la réaction de métabolites Rx intermédiaires et tissus de l’hôte

Mort extensive de kératinocytes par apoptose

Apoptose médiée par protéine cytotoxique sécrétoire granulysine et interation Fas-FasL

How well did you know this?
1
Not at all
2
3
4
5
Perfectly
7
Q

Prise en charge SJS

A

Diagnostic précoce

Arrêt immédiat du médicament en cause
médicament débuté dans les 7-21 jours

Initiation rapide d’un traitement de support
gestion volémie, électrolytes, sepsis
ophtalmologie
ORL (intubation)
gynécologie / urologie

Traitement additionnel
IVIG
CSA
CS pulse
immunomodulateurs ciblés (TNFi)

How well did you know this?
1
Not at all
2
3
4
5
Perfectly
8
Q

SCORTEN (7)

A

= TAME BUG

Tachycardie > 120 bpm
Âge > 40 ans
Malignancy
cancer solide ou hématologique
Extent
BSA jour 1 > 10%

Bicarbonates sériques < 20 mmol/L
Urée sérique > 10 mmol/L
Glycémie > 14 mmol/L

How well did you know this?
1
Not at all
2
3
4
5
Perfectly
9
Q

Mortalité selon SCORTEN (5)

A

0-1 : 3.2%
2 : 12.1%
3 : 35.8%
4 : 58.3%
5+ : 90%

*pourrait être sous-estimée

How well did you know this?
1
Not at all
2
3
4
5
Perfectly
10
Q

DDx TEN (11)

A

Érythème polymorphe / SJS
SSSS
Dermatite fongique invasive
AGEP
FDE généralisé
DIgAL
LE (Rowell)
GVHD aigue sévère (grade 4)
DRESS
Érythème toxique de la chimiothérapie
CIVD / Purpura fulminans

How well did you know this?
1
Not at all
2
3
4
5
Perfectly
11
Q

Description Rowell

A

Ressemble plus souvent à EM >TEN

Apparition de novo ou avec sevrage du traitement

Histologie parfois similaire

How well did you know this?
1
Not at all
2
3
4
5
Perfectly
12
Q

Facteurs de risque SJS (8)

A

Génotypes acetylator lents

Immunosuppression
VIH
lymphome

Administration concomitante de radiothérapie et AE
tumeurs cérébrales

HLA spécifiques
HLA-B15:02 carbamazépine chez asiatiques et est de l’Inde
Chine Han
Thaï
Malaysie
HLA-B15:02 lamotrigine chez chinois Han
HLA-B15:02 phénytoïne chinois Han

HLA-A31:01 carbamazépine chez européens

HLA-B58:01 allopurinol chez chinois Han

How well did you know this?
1
Not at all
2
3
4
5
Perfectly
13
Q

HLA et médication à risque de SJS (5)

A

HLA-B 15:02 carbamazépine chez asiatiques et est de l’Inde
chinois Han
thaïlandais
malaisiens
HLA-B 15:02 lamotrigine chez chinois Han
HLA-B 15:02 phénytoïne chinois Han

HLA-A 31:01 carbamazépine chez européens

HLA-B 58:01 allopurinol chez chinois Han

How well did you know this?
1
Not at all
2
3
4
5
Perfectly
14
Q

Mécanismes de prédisposition à SJS chez chinois Han (4)

A

HLA-B*15:02
Carbamazépine
asiatiques : chinois Han, thaïlandais, malaisien
est de l’inde
Lamotrigine
Phénytoïne

HLA-B*58:01
Allopurinol (chinois Han)

How well did you know this?
1
Not at all
2
3
4
5
Perfectly
15
Q

Antibiotiques les plus associés à SJS

A

Sulfonamides
sulfaméthoxazole (TMP-SMX)
>
Aminopénicillines
Quinolones
Céphalosporines
Tétracyclines
Antirétroviraux

How well did you know this?
1
Not at all
2
3
4
5
Perfectly
16
Q

HLA associé avec plus de complications ophtalmologiques de SJS

A

Patients blancs
HLA-DQB1*06:01

How well did you know this?
1
Not at all
2
3
4
5
Perfectly
17
Q

Cytokine dont le taux élevé est associé à sévérité et mortalité en SJS

A

IL-15

How well did you know this?
1
Not at all
2
3
4
5
Perfectly
18
Q

Proportion des patients avec SJS ayant une atteinte muqueuse

A

> 90%

*25% TEN ont atteinte voies respiratoires
*possible atteinte GI

How well did you know this?
1
Not at all
2
3
4
5
Perfectly
19
Q

Manifestations systémiques SJS

A

Fièvre
Adénopathies
Hépatite
Cytopénies
Cholestase (vanishing bile duct syndrome)

How well did you know this?
1
Not at all
2
3
4
5
Perfectly
20
Q

Progression des lésions cutanées de SJS

A

Macules érythémateuses, dusky ou purpuriques
taille et forme irrégulière
tendance à coalescer
(détachement épidermique peut être induit par Nikolsky)

Nécrose pleine épaisseur
macules grisâtres
détachement épidermique spontané et formation de bulles flasques (extension avec Asboe-Hansen)

Érosions

21
Q

Signe de Nikolsky

A

Force tangentielle sur une zone érythémateuse induit décollement (jonction derme-épiderme)

22
Q

Signe de Asboe-Hansen

A

Pression légère sur une bulle cause extension latérale de la bulle

23
Q

Évaluation BSA SJS

A

Zones décollées
Zones décollables (Nikolsky +)

*ne pas compter zones non décollables

24
Q

Règle des 9 pour évaluation BSA

A

18% jambe antérieure
9% bras antérieur

18% thorax
18% dos

9% tête
1% OGE

25
Facteurs de mauvais pronostic TEN (10)
Âge avancé Étendue du décollement Nombre de médicaments Retrait tardif du médicament causal **Laboratoires** Urée élevée Créatinine élevée Glycémie élevée **Cytopénies** Neutropénie Lymphopénie Thrombocytopénie
26
Principale cause de mortalité en SJS
Infections S. aureus P. aeruginosa
27
Impact sur la mortalité du retrait précoce du médicament responsable en SJS et TEN
Retrait précoce diminue mortalité de 30% par jour
28
Pertinence des greffes cutanées en SJS et TEN
Non nécessaire (contrairement à brûlés) Guérison avec prolifération et migration des kératinocytes à partir d'épiderme sain ou follicules
29
Complications à long terme des SJS et TEN (17)
**Oculaires** Symblépharon Synéchies conjonctivales Entropion Ingrowth des cils (Sicca) (Cécité) **Dermatologique** *Cutané* Cicatrices Dyspigmentation / pigmentation irrégulière Naevi mélanocytaires éruptifs *Autres* Dystrophie unguéale Alopécie diffuse **Autres muqueuses** Érosions persistantes des muqueuses Sténose urétrale Phimosis Synéchies vaginales avec dyspareunie ou hématocolpos
30
Complications dermatologiques à long terme des SJS et TEN (5)
**Cutané** Cicatrices Dyspigmentation / pigmentation irrégulière Naevi mélanocytaires éruptifs **Autres** Dystrophie unguéale Alopécie diffuse
31
Complications oculaires à long terme des SJS et TEN (6)
Symblépharon Synéchies conjonctivales Entropion Ingrowth des cils Sicca Cécité
32
Utilisation des tests épicutanés en SJS et TEN
Faible sensibilité Non approprié pour identification du médicament causal
33
Délai après introduction du médicament et début de SJS
7-21 jours après Rx 2 jours si réexposition *risque plus grand dans les 2 premiers mois pour AE
34
Histologie SJS
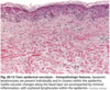
**Précoce** (dusky) Kératinocytes apoptotiques éparses dans l'épiderme **Tardif** Bulle sous-épidermique avec nécrose confluente de l'épiderme entier Infiltrat périvasculaire superficiel léger de lymphocytes
35
Soins locaux généraux pour SJS et TEN
Manipulations stériles et minimales des patients zones non détachées au sec zones détachées couvertes avec gauze Vaseline ad ré-épithélialisation Soins à concentrer au visage, plis, espaces interdigitaux et muqueuses nettoyage die des coutes du visage avec NS application onguent antibiotique (mupirocin) ou gelée de pétrole autour des orifices pansement silicone peuvent être utilisés pour zones dénudées (laisser en place ad ré-épithélialisation, mais surface doit être nettoyée die avec NS) Lit avec thermorégulation, aluminum survival sheet, chambre à pression contrôlée
36
Soins locaux des muqueuses pour SJS et TEN
**Oculaire** Examen régulier par ophtalmologie Nettoyage doux des paupières avec NS Onguent antibiotique ophtalmique aux paupières Gouttes ophtalmiques antibiotiques tid à la cornée (réduit colonisation pouvant causer cicatrices) **Nasal** Nettoyage quotidien des narines avec coton tige stérile humidifié avec NS stérile Antibiotiques topique ou vaseline appliquée intra-nasal avec coton tige ensuite **Buccal** Rince bouche plusieurs fois par jour avec seringue et NS aspiration si patient inconscient **Anogénital** Application courte de solution de nitrate d'argent (0.5%)
37
Traitement systémique SJS et TEN (5)
CSA 3-5 mg/kg/jour x 7 jours IVIg > 2 k/kg total sur 3-4 jours Dexamethasone 1.5 mg/kg/jour IV x 3 jours TNFi etanercept 50 mg SC x 1
38
Contre-indications relatives des IVIg (3)
État d'hypercoagulabilité Déficience en IgA Maladie rénale (moins vu diminution de la charge osmotique des nouvelles formulations)
39
Médications associées avec risque accru de réaction médicamenteuse chez HLA spécifiques (9)
Abacavir Allopurinol Carbamazépine Dapsone Feprazone (AINS) Lamotrigine Nevirapine Phénytoïne TMP-SMX
40
HLA spécifique augmentant les réactions médicamenteuses avec allopurinol
**B 5801** DRESS Asie (Taïwan) Europe SJS/TEN Asie (Chinois Han) Europe
41
HLA spécifique augmentant les réactions médicamenteuses avec carbamazépine
**B 1502** SJS/TEN Asiatiques (Chinois Han et autres) **A 3102** Hypersensibilité Nord de l'Europe Japon Chine Corée
42
HLA spécifique augmentant les réactions médicamenteuses avec lamotrigine
**B 1502** SJS/TEN Taïwan
43
HLA spécifique augmentant les réactions médicamenteuses avec phénytoïne
**B 1502** SJS/TEN Asie du Sud-Est
44
HLA associés à SJS/TEN (2)
**B 5801** Asiatiques (Chinois Han) > Européens **B 1502** Chinois Han et autres populations asiatiques > Taïwan Asie du Sud-Est
45
Délai d'apparition des éruptions cutanées médicamenteuses
8 à 21 jours Exanthème 4-14 jours FDE 1-2 semaines (exposition initiale) < 48h ré-exposition (souvent < 24h) AGEP < 4 jours DRESS 14-40 jours SJS/TEN 7-21 jours Urticaire min à h Anaphylaxie min à h
46
Severe cutaneous adverse reactions (SCARs) (6)
Anaphylaxie Nécrose cutanée induite par les anticoagulants AGEP DRESS FDE généralisé SJS/TEN
47
Facteurs de risque pour développer réaction médicamenteuse (4)
F Immunosuppression VIH risque 10-50x supérieur de développer éruption à TMP-SMX DM HCQ HLA spécifiques
48
DDx clinique éruption morbiliforme médicamenteuse
Exanthème viral EBV entérovirus adénovirus VIH précoce HHV-6 SCARs DRESS Choc toxique Scarlatine GVHD chronique Kawasaki
49
Caractéristiques suggérant SCAR (15+)
**Cutanées** Douleur Érythème confluent Oedème facial Bulles ou détachement épidermique Érosions muqueuses Nécrose Purpura palpable Urticaire Oedème des lèvres et de la langue **Systémiques** Fièvre élevée Adénopathies Arthralgie ou arthrite Dyspnée, sibilances et stridor Hypotension **Laboratoires** Éosinophilie marquée Lymphocytose avec lymphocytes atypiques Leucopénie Fonction rénale ou hépatique anormale Thrombocytopénie