Syphilis Flashcards

(75 cards)

1
Q

Classification des tréponèmes

A

Spirochètes (incluent Leptospira, Borrelia, Treponema)

Treponema
Variation dans lésions cliniques, mode de transmission, distribution géographique et âge

T. pallidum subsp pallidum
syphilis vénérienne

T. pallidum subsp pertenue
pian (yaws)

T. pallidum subsp endemicum
syphilis endémique (Bejel)

T. carateum
pinta

T. denticola, T. socranskii
maladie parodontaire

How well did you know this?
1
Not at all
2
3
4
5
Perfectly
1
Q

Stades de syphilis

A

Primaire
3 semaines après exposition (10-90 jours)
résolution en quelques semaines

Secondaire
3 mois après primaire (3-10 semaines)
résolution en semaines à mois (3-13 semaines)
25% récidivent dans le premier 1-2 ans

Précoce non primaire ni secondaire
Équivalent latence précoce; infection < 1-2 ans
2-20 ans
70% demeurent à ce stade aSx

Tardif ou durée inconnue
Équivalent tertiaire
1/3 des individus en période ni primaire ni secondaire (anciennement appelé latence)

How well did you know this?
1
Not at all
2
3
4
5
Perfectly
2
Q

Manifestations mucocutanées syphilis secondaire (10+)

A

Cutanées
Précoces (10%)
Éruption non prurigineuse généralisée
roséoliforme
macules distinctes
flancs et épaules puis généralisation

Tardives (70%)
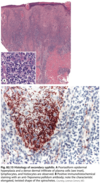
Éruption maculopapuleuse et papulosquameuse plus infiltrée
polymorphe
souvent couleur cuivre
Plaques annulaires au visage
Papules satellites autour d’une lésion centrale de plus grande taille
Vagues successives

Syphilides localisés (infiltration par tréponèmes avec microscopie +)
Paumes et plantes : papules et plaques symétriques avec collerette de squame (collerette de Biett)
Anogénital : condyloma lata
Séborrhéique : corona veneris (hairline)

Macules hypopigmentées
Collier de Vénus
Post-inflammatoire

Muqueuses
Perlèche syphilitique (split papules)
Taches ou plaques muqueuses de l’oropharynx (équivalent condyloma lata)
Pharyngite syphilitique

Alopécie discontinue (7%)
Alopécie en clairière (moth-eaten)
Telogene effluvium

How well did you know this?
1
Not at all
2
3
4
5
Perfectly
3
Q

Description syphilis primaire

A

10-90 jours après exposition

3 semaines après exposition (moyenne)

Chancre
OGE (pénis, vulve) > autres (lèvre)
difficiles à identifier par les patients lorsque au col, périanal, anal ou rectal
Ulcère induré, unique, arrondi ou ovale
0.5 à 3 cm
parfois papule indolore préalable
dory flop sign
Guérison en quelques semaines
pas de cicatrices

Adénopathies régionales

How well did you know this?
1
Not at all
2
3
4
5
Perfectly
4
Q

Description syphilis secondaire

A

Après quelques semaines à mois (3-12 semaines après résolution du chancre)

Dissémination hématogène

Prodrome
Fièvre de bas grade (5-8%)
Malaise
Odynophagie (15-30%)
Perte de poids
Myalgies
Céphalée (irritation méningée)
Adénopathies

Éruption mucocutanée polymorphe (ad 97%)
Papulosquameuse généralisée, non prurigineuse, rose ad rouge-brun (exanthème #1)
atteinte palmoplantaire (40-80%)
Muqueuse avec petits ulcères superficiels (aphteux) indolores ou larges plaques grises (30-40%)
possibles ulcères serpigineux ou plaques blanches de la langue (leucoplasie)
split papules
aussi condyloma lata anogénitaux

Adénopathies généralisées (50-85%)

Autres
Annulaire avec hyperpigmentation centrale du visage
Alopécie en clairière (moth-eaten)
Split papules aux commissures labiales (perlèche syphilitique)
Nodules et plaques granulomateux
Lésions nécrotiques croutées

Résolution en semaines à mois
20-25% récidivent dans l’année suivante (anogénital +)

Syphilis maligne (lues maligna) (rare)
Lésions disséminées similaires à chancres primaires

How well did you know this?
1
Not at all
2
3
4
5
Perfectly
5
Q

Description syphilis tardive

A

Rare, anciennement appelée tertiaire

Mois à années après infection initiale
Sérologies tréponèmes et non tréponèmes +

Syphilis tardive bénigne
Gommes (1/2)
Lésions destructrices
peau (aspect possible nodule SC, abcès froid avec ulcération éventuelle)
os (avec périostite et ostéite)
foie
autres organes (langue, cavité orale, VRS, myocarde, GI, SN)
Persistance semaines à mois
involution avec cicatrices
puis nouvelles lésions

Neurosyphilis (1/4)
Possible à tout stade de syphilis
ASx avec anomalies LCR seules
Symptomatique avec plusieurs manifestations
méningite chronique (> aigue)
ME
AVC (infarctus secondaires à endartérite syphilitique)
syphilis parenchymateuse (parésie et paralysie progressive, démence, décès)
Tabes dorsalis

Syphilis cardiovasculaire (1/4) (8-10% des infections non traitées)
15-30 ans latence
Vasa vasorum de l’aorte proximale avec inflammation transmurale
endartérite

*tous devraient avoir PL

How well did you know this?
1
Not at all
2
3
4
5
Perfectly
6
Q

Organes atteints par syphilis tertiaire (4+)

A

Syphilis tardive bénigne (gommes) (1/2)
Peau
noduloulcératif : nodules superficiels brun-rouge qui grandissent pour former plaques arciformes ou serpigineuses avec ulcération et épargne centrale
gommes : nodules caoutchouteux indolores évoluant vers ulcères destructeurs
Os
(Foie)
(Autres : langue, cavité orale, VRS, myocarde, GI, SN)

Neurosyphilis (1/4)
SNC

Syphilis cardiovasculaire (1/4)
Coeur
Grands vaisseaux

How well did you know this?
1
Not at all
2
3
4
5
Perfectly
7
Q

Évolution naturelle syphilis vénérienne

A

Primaire
3 semaines après exposition (10-90 jours)
résolution en quelques semaines

Secondaire
3 mois après primaire (3-10 semaines)
résolution en semaines à mois (3-13 semaines)
25% récidivent dans le premier 1-2 ans

Précoce non primaire ni secondaire
Équivalent latence précoce; infection < 1-2 ans
2-20 ans
70% demeurent à ce stade aSx

Tardif ou durée inconnue
Équivalent tertiaire
1/3 des individus en période ni primaire ni secondaire (anciennement appelé latence)

*mortalité 20% si non traité

How well did you know this?
1
Not at all
2
3
4
5
Perfectly
8
Q

Épidémiologie syphilis

A

Pays à faible revenu
Hommes
Origine ethnique
noire
hispanique
HARSAH (> 60% des cas USA)

How well did you know this?
1
Not at all
2
3
4
5
Perfectly
9
Q

Transmission syphilis (2)

A

Contact d’une lésion infectieuse avec la peau ou les muqueuses d’une personne saine
Sexuel (oral, vaginal, anal)
Risque estimé à 33% après exposition sexuelle

Sanguine
Materno-foetale

How well did you know this?
1
Not at all
2
3
4
5
Perfectly
10
Q

Nom de cet examen et structure identifiée

A

Microscopie à fond noir
Identifie tréponèmes avec leur forme en tire-bouchon
(mouvement dans l’axe longitudinal)

How well did you know this?
1
Not at all
2
3
4
5
Perfectly
11
Q

Description syphilis congénitale

A

20% des infections foetales

Précoce
Néonatal ad 3 mois de vie (max 2 ans
Marasme (cachexie)
Lésions cutanées similaires à syphilis secondaire
parfois bulleuses (pemphigus syphilitique)
tendance à être érosives
Rhinite (sanguine ou purulente)
Fissures périanales et périorales
Adénopathies
HSM
Ostéochondrite
pseudoparalysie de Parrot (diminution des mouvements des extrémités par douleur)

Autres
Anémie, thrombocytopénie
Pneumonite syphilitique (pneumonia alba)
Hépatite
Néphropathie
Neurosyphilis congénitale

Tardive (équivalent de syphilis tertiaire adulte, non infectieux)
Stigmates

How well did you know this?
1
Not at all
2
3
4
5
Perfectly
12
Q

Facteurs de risque de transmission materno-foetale de la syphilis

A

Moment de l’infection maternelle

Conception ad 7 mois de grossesse
pratiquement 100% transmission
décès ou syphilis congénitale sévère

> 2 ans avant
50% transmission

7e au début du 9e mois de grossesse
risque diminué

3 à 6 semaines avant l’accouchement
pas de transmission placentaire
risque de transmission périnatale

How well did you know this?
1
Not at all
2
3
4
5
Perfectly
13
Q

Particularité syphilis chez VIH

A

Manifestations cliniques atypiques ou plus sévères
Plus d’atteinte cutanée ulcérative (syphilis secondaire)
Plus de risque d’atteinte neurologique (et atypique)
Plus de risque d’échec au traitement

*ne requiert pas de traitement distinct, mais suivi plus rapproché

How well did you know this?
1
Not at all
2
3
4
5
Perfectly
14
Q

Diagnostic syphilis primaire

A

Détection directe à privilégier si possible, parce que sérologies pas encore autant positives

Détection directe
Microscopie fond noir
Méthode la plus sensible et spécifique

Histologie
IHC (71-100%)
Coloration argentique (Warthin-Starry) (86%)

Sérologies
Sérologies non tréponémiques + (80%)
RPR > VDRL

Sérologies tréponémiques + (85-90%)
TPHA
FTA-ABS
TP-PA
MHA-TP

*non tréponémiques détectent anticorps anticardiolipines
*tréponémiques ne permettent pas de distinguer d’une infection passée

How well did you know this?
1
Not at all
2
3
4
5
Perfectly
15
Q

Diagnostic syphilis secondaire

A

Détection directe
Microscopie fond noir
bon si condyloma lata
pas si oral
pas si contamination fécale

Histologie
IHC (87%)
coloration argentique (40%)

Sérologies
Non tréponémiques + (100%)
RPR
VDRL
parfois temporairement négatif (prozone ou VIH)

Tréponémiques + (100%)
TPHA
MHA-TP
FTA-ABS

*non tréponémiques détectent anticorps anticardiolipines
*tréponémiques ne permettent pas de distinguer d’une infection passée

How well did you know this?
1
Not at all
2
3
4
5
Perfectly
16
Q

Investigations particulières pour syphilis secondaire

A

VIH

Ophtalmologie en présence de symptômes oculaires
photophobie
changements visuels
= R/O uvéite et neurorétinite

Ponction lombaire (PL) en présence de symptômes oculaires, neurologiques ou échec traitement (clinique ou sérologique)
céphalée
surdité
neuropathies crâniennes

Revue des systèmes

*pas de PL d’emblée car traitement neurosyphilis aSx

How well did you know this?
1
Not at all
2
3
4
5
Perfectly
17
Q

Définition échec traitement syphilis

A

Symptômes persistants ou récidivants

Absence de déclin des titres non-tréponémiques
traitement efficace devrait avoir diminution 4x en 6-12 mois
12-20% ont non réponse sérologique (titre faible de base, âge avancé, infection stade tardif, VIH)

How well did you know this?
1
Not at all
2
3
4
5
Perfectly
18
Q

Stades non primaire ni secondaire en syphilis

A

Anciennement appelé latence

Période après auto-résolution syphilis secondaire
sérologie syphilis +

Précoce non primaire ni secondaire (latence précoce)
< 1 an après infection (CDC) ou < 2 ans (WHO)
90% des récidives de syphilis secondaire surviennent pendant la première année

Tardive ou inconnue (anciennement tertiaire ou latence tardive)
> 1 an après infection (CDC) ou > 2 ans (WHO) ou inconnu
1/3 développent manifestations tardives
cardiovasculaire
gommes
ostéite
16% lésions cutanées (nodulo-ulcératives ou gommes)

How well did you know this?
1
Not at all
2
3
4
5
Perfectly
19
Q

Évolution naturelle phase de latence en syphilis

A

Tous ont sérologies tréponémiques +

1/3 RPR/VDRL - et pas de réactivation

1/3 RPR/VDRL + et pas de réactivation

1/3 progression vers syphilis tertiaire
aka syphilis tardive
cardiovasculaire
gommes
ostéite
16% lésions cutanées (nodulo-ulcératives ou gommes)

How well did you know this?
1
Not at all
2
3
4
5
Perfectly
20
Q

Nom de cette manifestation en syphilis

A

Perlèche syphilitique (split papules)
Syphilis secondaire
Papules fissurées des commissures labiales

How well did you know this?
1
Not at all
2
3
4
5
Perfectly
21
Q

Nom de cette manifestation en syphilis

A

Syphilis maligne (lues maligna)
Syphilis secondaire
Cuir chevelu, visage, tronc et extrémités
Ulcères similaires à chancres primaires
avec symptômes constitutionnels sévères
ou
Plaques nécrotiques arrondies avec croutes rupioïdes lamellaires

How well did you know this?
1
Not at all
2
3
4
5
Perfectly
22
Q

Classification neurosyphilis

A

Asymptomatique
Précoce
Tardive

Méningée
Méningite syphilitique aigue
Méningovasculaire
Cérébrovasculaire
ME

Parenchymateuse
Parésie généralisée (dementia paralytica)
Tabes dorsalis
Taboparésie (mixte)
Atrophie aptique

Gomme
Cérébrale
ME
Mixte (ME et cérébrale)

How well did you know this?
1
Not at all
2
3
4
5
Perfectly
23
Q

Manifestations de tabes dorsalis (8+)

A

1/3 des neurosyphilis

Diplopie
Paresthésies douloureuses (choc électrique) des extrémités
Perte de la sensation de vibration et de proprioception
Hyporéflexie MI
Ataxie
Dysfonction sphinctérienne
Crises viscérales (douleur)
abdominale
rectale
laryngée
Pupilles d’Argyll Robertson
réflexe pupillaire anormal à la lumière (perte du réflexe direct et consensuel; rétention de l’accommodation)

*parfois résolution sans traitement

How well did you know this?
1
Not at all
2
3
4
5
Perfectly
24
Nom de cette manifestation en syphilis
**Pupilles Argyll-Robertson** Réflexe pupillaire anormal à la lumière perte du réflexe direct et consensuel Rétention de l'accomodation
25
Nom de cette manifestation en syphilis
**Collier de Vénus** (leucodermie syphilitique) Macules et taches hypopigmentées au cou
26
Nom de cette manifestation en syphilis
**Corona veneris** (couronne vénérienne) Papules et plaques syphilitiques le long de la ligne d'implantation des cheveux et du cou (syphilide)
27
Nom de cette manifestation en syphilis
**Alopécie en clairière** (moth eaten) Alopécie localisée
28
Manifestations cliniques syphilis secondaire (12+)
**Prodrome** Perte de poids Fièvre de bas grade Malaise Céphalée (irritation méningée) Mal de gorge Conjonctivite (iridocyclite) Arthralgie (périostite) Myalgies HSM (hépatite légère) **Adénopathies généralisées** (50-85%) **Cutanées** *Précoces* (10%) Éruption non prurigineuse généralisée roséoliforme macules distinctes flancs et épaules puis généralisation *Tardives* (70%) Éruption maculopapuleuse et papulosquameuse plus infiltrée polymorphe souvent couleur cuivre Plaques annulaires au visage Papules satellites autour d'une lésion centrale de plus grande taille Vagues successives *Syphilides localisés* (infiltration par tréponèmes avec microscopie +) Paumes et plantes : papules et plaques symétriques avec collerette de squame (collerette de Biett) Anogénital : condyloma lata Séborrhéique : corona veneris (hairline) *Macules hypopigmentées* Collier de Vénus Post-inflammatoire **Muqueuses** Perlèche syphilitique (split papules) Taches ou plaques muqueuses de l'oropharynx (équivalent condyloma lata) Pharyngite syphilitique **Alopécie discontinue** (7%) Alopécie en clairière (moth-eaten) Telogene effluvium
29
Diagnostic neurosyphilis
Sérologies syphilis sanguines + **LCR** Pression élevée Concentration protéines et Ig Pléocytose mononucléée *IgG* Production dans LCR démontrée par index LCR-IgG > 0.7 (division ratio IgG LCR par IgG sang / ratio albumine LCR par albumine LCR) *Sérologies syphilis LCR +* Requis TPHA + (RPR/VDRL + majorité aussi) Calcul spécifique possible pour titre TPHA LCR
30
Conséquences de syphilis foetale
Avortement spontané (2e ou 3e trimestre) (10%) Mortinaissance (10%) Décès infantile (20%) Syphilis congénitale (20%) Enfant en santé (40%)
31
Stigmates syphilis congénitale
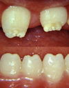
**Cutanées** (Éruption < 2 ans similaire à syphilis secondaire et pemphigus syphilitique) Rhagades : cicatrices périorificielles radiaires aux sites de fissures préalables bouche nez yeux anus **Dentaires** Dents de Hutchinson peg-shaped indentation des incisives permanentes Molaires de Mulberry multiples cuspides rudimentaires sur les premières molaires permanentes Caries dues à émail dentaire défectueux **Squelettiques** Nez en selle (saddle nose) Frontal bossing de Parrot (Olympian brow) Maxillaire hypoplasique et mandibule relativement proéminent Arche palatine élevée et perforation Signe d'Higouménais épaississement de la clavicule médiale Omoplates scaphoïdes Tibias en sabre courbe du tibial antérieur Articulations de Clutton synovites et épanchements indolores des genoux **Autres** Surdité NC8 Kératite interstitielle ulcères cornéens opacités cornéennes
32
Triade de Hutchinson
*Syphilis congénitale* Dents de Hutchinson peg-shaped indentation des incisives permanentes Surdité NC8 Kératite intersitielle ulcères cornéens opacités cornéennes
33
Nom de cette manifestation en syphilis
**Dents de Hutchinson** *Syphilis congénitale* Altération de la formation de la couronne par inhibition des cellules formant l'émail forme de pince incisives permanentes (pas dents de lait)
34
Diagnostic syphilis congénitale
Démonstration des tréponèmes Spirochétémie PCR *Anticorps spécifiques à l'enfant* IgG difficiles à interpréter vu possible transfert des anticorps de la mère Sérologies non tréponèmes avec titre 4x supérieur à celui de la mère est suggestif (mais souvent faibles en période néonatale) Sérologies IgM ELISA (90%) Sérologie FTA-ABS-19S-IgM
35
Modalités diagnostiques syphilis (3+)
**Microscopie fond noir** Collection de lésions cutanées fluides séreux libre sans GR *pas bouche* car présence de spirochètes saprophytes possible Visualisation de spirochètes motiles **Sérologies** *Non tréponémiques* (IgM et IgG) RPR VDRL Corrélation avec activité de la maladie diminution 4x = traitement efficace (si traitement précoce, se négativent souvent complètement) augmentation 4x = récidive ou réinfection *Tréponémiques* (IgM et IgG) Détection à partir de 4 semaines d'infection Positivité à vie (à moins de diagnostic et traitement très rapides) sensibilité 70-100% primaire sensibilité 100% secondaire et latente sensibilité 95% tardive Pas de différence entre spirochètes et autres tréponèmes **Histologie** IHC et colorations argentiques *PCR spirochètes existent mais pas disponibles commercial neurosyphilis syphilis congénitale syphilis primaire extragénitale
36
Limites des sérologies pour syphilis
**Non tréponémiques** Absence de réactivité très précocement (alors que microscopie fond noir +) Négatif avec traitement efficace *Faux négatifs* Prozone Résultat temporairement négatif syphilis secondaire avec VIH Syphilis précoce ou tardive *Faux positifs* (dommage tissulaire ou autres spirochètes) Grossesse Maladies auto-immunes (LE) Utilisation de drogues illicites Lymphomes Maladies infectieuses (malaria) Vaccination Cirrhose hépatique SAPL Idiopathique ou familial Tréponématoses endémiques Borreliose **Tréponémiques** Absence de réactivité très précocement (alors que microscopie fond noir +) *Faux positifs* Maladies auto-immunes VIH Hypergammaglobulinémie Tréponématoses endémiques Borréliose
37
Sérologies syphilis
**Non tréponémiques** (IgM et IgG) Détectent anticorps anti-cardiolipine (composent cellules mammifères, modifiés par tréponèmes) corrélation avec activité de la maladie diminution 4x = traitement efficace (si traitement précoce, se négativent souvent complètement) augmentation 4x = récidive ou réinfection VDRL RPR **Tréponémiques** (IgM et IgG) *Pas de distinction avec autres tréponèmes* Après 4 semaines, positivité à vie TPHA, MHA-TP, TPPA (Ac contre protéines de surface *T. pallidum*) FTA-ABS (Ac contre tréponème entier) FTA-ABS-19S-IgM (portion IgM, utile pour congénital ou distinction entre récidive ou réinfection) SPHA ou ELISA IgM (utile pour congénital, neurosyphilis et réinfection) Sensibilité 70-100% primaire Sensibilité 100% secondaire et latente Sensibilité 95% tardive
38
Histologie syphilis
**Primaire** Ulcération Infiltrat dermique diffus **plasmocytes** **lymphocytes** histiocytes **Oedème endothélial** *Spirochètes* avec IHC anti-spirochètes ou Warthin-Starry **Secondaire** (variable selon la présentation clinique) Épiderme psoriasiforme, nécrotique ou ulcéré Infiltrat dermique de plasmocytes, lymphocytes et histiocytes périvasculaire, lichénoïde, nodulaire ou diffus Parfois granulomateux ou sarcoïdosique (avec plasmocytes) Oedème endothélial et prolifération vasculaire possbles *Spirochètes* avec IHC **Tertiaire** Granulomes tuberculoïdes (avec ou sans caséation) et plasmocytes histiocytes épithélioïdes cellules géantes Oedème endothélial *Spirochètes* difficiles à identifier
39
Sérologies tréponémiques (3+)
TPPA, TPHA, MHA-TP FTA-ABS FTA-ABS-19S-IgM SPHA ou ELISA IgM
40
Sérologies non tréponémiques
RPR VDRL
41
DDx clinique syphilis mucocutanée (15+)
**Primaire** *Ulcères génitaux* Infections HSV génital chancroïde (chancre mou) granulome inguinal (donovanose) LGV EBV (Lipschutz) S. aureus Non infectieux traumatisme génital FDE balanite de Zoon CSC génital ulcéré autres néoplasies ulcère aphteux Behçet **Secondaire** *Cutanée* PR Psoriasis en goutte Exanthème viral LP PLC VIH primaire (primo-infection) Éruption médicamenteuse Eczéma nummulaire Folliculite *Muqueuse* LP Aphtoses chroniques stomatite aphteuse HSV Behçet Coxsackievirus PMB herpangine Perlèche irritative *Candida* *Condyloma lata* Condylomes acuminés (verrues génitales) (VPH) Papulose bowenoïde CSC *Palmo-plantaire* EM PMB (coxsackievirus) RMSF **Tertiaire** Lupus vulgaire (TB) Chromoblastomycose Infections fongique dimorphe Leishmaniose LE MF Sarcoïdose Tumeurs et métastases Ulcère veineux
42
Faux négatifs des sérologies non tréponémiques pour syphilis (2)
Prozone Résultat temporairement négatif syphilis secondaire et VIH Syphilis précoce ou tardive
43
Faux positifs des sérologies tréponémiques pour syphilis (5+)
Grossesse Maladies auto-immunes LED SSc Vaccination UDIV Hypergammaglobulinémie **Infections** Borréliose (Lyme) HSV EBV Leptospirose Lèpre Brucellose Malaria VIH (Bolognia) *Tréponématoses endémiques* Pinta Pian (yaws) **Divers** Âge avancé
44
Effet prozone en syphilis
*Rare (< 2%)* **Sérologies non tréponémiques** Inhibition de la flocculation avec titre très élevé d'anticorps pas de précipitation Requiert dilution supplémentaire avant que le test soit positif **Associations** Grossesse Co-infection VIH Neurosyphilis Haut fardeau de la maladie (lues maligna)
45
Traitement syphilis
**Pénicilline G** >> tétracyclines, azithromycine **Précoce** (pas latence tardive ni tertiaire) PNC benzathine 2.4 millions unités IM **x 1** pédiatrie 50 000 U/kg ad dose adulte > Doxycyline 100 mg PO bid x 14 jours **Tardif** (latence > 1 an ou tertiaire ou échec traitement) PNC benzathine 2.4 millions unités IM 1x semaine **x 3** > Doxycyline 100 mg bid x 28 jours **Neurosyphilis et syphilis oculaire** PNC G aqueuse 3-4 millions unités IV q 4h x 10-14 jours > Ceftriaxone 2 g IM ou IV die x 10-14 jours
46
Réaction de Jarisch-Herxheimer
*Syphilis secondaire > primaire >> tertiaire* **Ad 24h du début du traitement** *Résolution spontanée en 24h, traiter avec antipyrétiques* Fièvre à début abrupt Céphalée Myalgie Parfois détérioration de l'éruption **Mécanisme** Destruction de spirochètes libération de lipoprotéines formation de complexes immuns cascade de cytokines pro-inflammatoires (TNF-alpha, IL-6, IL-8) **Facteurs de risque** Haut fardeau de la maladie Titres des sérologies non tréponèmes élevés *attention peut induire travail en grossesse
47
DDx clinique syphilis primaire (7)
*Infections* HSV génital Chancroïde (chancre mou) Granulome inguinal (donovanose) LGV EBV (Lipschutz) S. aureus *Non infectieux* Traumatisme génital FDE Balanite de Zoon CSC génital ulcéré autres néoplasies Ulcère aphteux Behçet
48
DDx clinique syphilis secondaire (12+)
**Cutanée** PR Psoriasis en goutte Exanthème viral LP PLC VIH primaire (primo-infection) Éruption médicamenteuse Eczéma nummulaire Folliculite *Palmo-plantaire* EM PMB (coxsackievirus) RMSF **Muqueuse** LP Aphtoses chroniques stomatite aphteuse HSV Behçet Coxsackievirus PMB herpangine Perlèche irritative *Candida* **Condyloma lata** Condylomes acuminés (verrues génitales) (VPH) Papulose bowenoïde CSC
49
DDx clinique syphilis tertiaire (9)
Lupus vulgaire (TB) Chromoblastomycose Infections fongique dimorphe Leishmaniose LE MF Sarcoïdose Tumeurs et métastases Ulcère veineux
50
Faux positifs des sérologies non tréponémiques pour syphilis (10+)
**Dommage tissulaire** Grossesse Maladies auto-immunes PAR, LED, thyroïdite, MII Utilisation de drogues illicites (UDIV) Vaccination Lymphomes et cancers Cirrhose hépatique SAPL Vasculite *Infections* Malaria HCV VIH EBV Endocardite TB Lèpre VZV Rougeole, oreillons Rickettsiose Brucellose Chancroïde (chancre mou) LGV **Autres spirochètes** Tréponématoses endémiques Borreliose **Divers** Idiopathique (1% population générale) Âge avancé Anomalies des Ig
51
Traitement syphilis femme enceinte
PNC benzathine 2.4 millions unités IM 1x semaine **x 2 ou 3** 2 doses si précoce 3 doses si tardif si allergie, désensibilisation et traitement idem ensuite
52
Traitement syphilis congénitale
**Maladie hautement probable ou signes prouvés** PNC G aqueuse 50 000 U/kg IV q 12h x 7 premiers jours de vie puis q 8h x 3 jours (100 000-150 000 U/kg/jour x 10 jours) **Maladie possible et pas de signes** (mère avec syphilis traitée) PNC benzathine 50 000 U/kg IM x1
53
Suivi post-traitement syphilis
Résolution des symptômes attendue en < 2 semaines revoir patient si persistance **Évaluation des sérologies non tréponémiques** Diminution au moins 4x titres non tréponémiques *Non VIH* (CDC) 6, 12, 24 mois *VIH* (CDC) 3, 6, 9, 12, 24 mois **Évaluation des partenaires** Fenêtre temporelle variable selon stade primaire : 3 mois secondaire : 6 mois précoce non primaire ni secondaire : 1 an
54
Facteurs de risque syphilis parmi HARSAH (3)
Utilisation méthamphétamine Partenaires sexuels rencontrés via internet AP syphilis
55
Proportion des individus avec syphilis co-infectés avec VIH
**HARSAH** 46% **Hommes non HARSAH** 8.8% **Femmes** 4.5% *population générale 0.4%
56
Morphologies syphilis secondaire (13)
Exanthème Papules folliculaires Lichénoïde Psoriasiforme Corymbiforme plaque centrale entourée d'un anneau de papule Nodulaire Annulaire Frambesiforme ulcéré, verruqueux, kératosique périorificiel, cuir chevelu, tronc, extrémités, OGE et paumes Leucodermie cou (collier vénérien) tronc, OGE, paumes Lues maligna (syphilis maligne) Clavi syphilitici lésions hyperkératosiques palmoplantaires similaires à verrues ou callus Acral pebbles papules arrondies palmaires gris-blanc, fermes Pustuleuse miliaire acnéiforme varioliforme echthymiforme (ulcères avec croute < 5 cm) impétiginoïde (croutes jaunâtres visage, cuir chevelu et zones intertrigineuses) *rarement vésiculobulleux *habituellement pas de cicatrices
57
Syphilide le plus fréquent
*Syphilide = manifestation de syphilis autre que chancre* Exanthème maculo-papuleux du tronc et des extrémités macules ou papules rouge-brun squameuses
58
Manifestations muqueuses syphilis secondaire
*30-40% patients* *Langue et lèvres* Érosions ovales bien délimitées exsudatives coalescence en ulcères snail track possible Plaques blanches langue (imite leucoplasie) Taches lisses arrondies avec dépapillation de la langue Split papules *Autres* Angine spécifique avec énanthème de macules érythématuses du palais, de la luette et des amygdales Nodules indolores de la langue Lésions bulleuses-érosives (imitant PV) Ulcères superficiels NS
59
Facteurs de risque syphilis maligne (6)
*Lues maligna* VIH avec CD4 abaissés Malnutrition HARSAH AP syphilis Diabète mellitus Abus d'alcool
60
Présentations les plus fréquentes de syphilis oculaire (4)
Uvéite (46%) (#1) > Rétinite (13%) Névrite optique (11%) Décollement rétinien (4%) *symptômes les plus fréquents : vision floue (64%), perte de vision (33%), oeil rouge ou douleur oculaire (14%)
61
Présentations de syphilis otique (3)
*Atteinte su système vestibulocochléaire de l'oreille* Surdité neurosensorielle Tinnitus (acouphène) Vertige
62
Performance des modalités diagnostiques syphilis (3+)
**Microbiologie** *Microscopie fond noir* sensibilité : 86% primaire, 60% secondaire spécificité : 92% *PCR spirochètes* PCR tissu sensibilité : 100% primaire, 67% secondaire, 7% tardif PCR frottis sensibilité : 90% primaire, 83% secondaire spécificité : 98% **Sérologies** *Non tréponémiques* RPR sensibilité : 86% primaire, 100% secondaire, 98% aSx, 73% tardif spécificité : 98% VDRL sensibilité : 78% primaire, 100% secondaire, 96% aSx, 71% tardif spécificité : 98% *Tréponémiques* FTA-ABS, TP-PA, TPHA sensibilité : 84-88% primaire, 100% secondaire, 100% aSx spécificité : 96% ELISA IgG sensibilité : 100% primaire, 100% secondaire, 100% aSx spécificité : 98% ELISA IgM sensibilité : 93% primaire, 85% secondaire, aSx 64% spécificité : 95% **Histologie** IHC sensibilité : 100% primaire, 87% secondaire spécificité : 100% Colorations argentiques sensibilité : 86% primaire, 40% secondaire non spécifique
63
Particularité prélèvement pour microscopie fond noir
**Chancres et condyloma lata** Exsudat lésionnel sur wet mount Examen au microscopes en quelques minutes (mouvement spirochète caractéristique) *Ne pas prendre frottis de lésions orales ou lésions potentiellement contaminées par selles* car présence de spirochètes saprophytes Moins sensible si peau kératinisée (faible fardeau tréponèmes)
64
Indices permettant de suspecter syphilis à l'histologie (2)
Infiltrat dermique diffus **plasmocytes** **lymphocytes** histiocytes **Oedème endothélial** *ensuite demander IHC spirochètes et coloration Warthin-Starry
65
Diagnostic syphilis asymptomatique
**Sérologies** Non tréponémiques + (96%) RPR, VDRL Tréponémiques + (100%) TPHA, TP-PA, MHA-TP, FTA-ABS *non tréponémiques détectent anticorps anticardiolipines *tréponémiques ne permettent pas de distinguer d'une infection passée
66
Diagnostic syphilis tardive
**Détection directe** (mauvais tardif) Histologie IHC (36%) coloration argentique (4%) **Sérologies** Non tréponémiques + (72%) RPR, VDRL Tréponémiques + (96%) TPHA, TP-PA, FTA-ABS, MHA-TP *non tréponémiques détectent anticorps anticardiolipines *tréponémiques ne permettent pas de distinguer d'une infection passée
67
Signification titre 1:16
Présence de l'anticorps après 4 dilutions 1:1 avec sérum non réactif (absence à la 5e dilution)
68
Traitement neurosyphilis
*Idem pour syphylis oculaire ou otique* PNC G aqueuse 3-4 millions UI IV q 4h x 10-14 jours total 18-24 millions UI par jour *si allergie, désensibilisation puis PNC *si infection date indéterminée, possibilité d'ajouter PNC G benzathine 2.4 UI IM 3 doses ensuite
69
Indications ponction lombaire (PL) (3)
*Selon CDC* Signes ou symptômes neurosyphilis, syphilis oculaire ou otique Suspicion d'échec au traitement Syphilis tertiaire
70
Manifestations cliniques de la réaction de Jarisch-Herxheimer (4)
*Syphilis secondaire > primaire >> tertiaire* **Ad 24h du début du traitement** *Résolution spontanée en 24h, traiter avec antipyrétiques* Fièvre à début abrupt Céphalée Myalgie Parfois détérioration de l'éruption *attention peut induire travail en grossesse
71
Fenêtre temporelle où partenaires sexuels d'un individu avec syphilis devraient être contactés
**Syphilis primaire** 3 mois avant + durée des symptômes **Syphilis secondaire** 6 mois avant + durée des symptômes **Syphilis précoce non primaire ni secondaire** 1 an *éviter relations sexuelles pour > 1 semaine
72
Sérologies post-traitement syphilis
Sérologies non tréponémiques et évaluation clinique **Non VIH** 6, 12, 24 mois **VIH** 3, 6, 9, 12, 24 mois
73
Définition réponse au traitement syphilis
Diminution au moins 4x titres non tréponémiques Persistance titre 1:4 possible
74
Population avec dépistage syphilis recommandé (3+)
Femmes enceintes le plus tôt possible + début 3e trimestre + à l'accouchement si risque élevé (partenaires multiples, zones prévalence élevée, AP syphilis, prison ou UDIV) HARSAH au moins annuel q 3-6 mois si risque accru VIH au moins annuel *Autres* Travailleuses du sexe Géographie à risque Origine ethnique à risque H < 29 ans