Tuberculose Flashcards

TB (91 cards)

1
Q

Mycobactéries avec atteinte cutanée (5+)

A

Classification modifiée de Runyon

Croissance lente (2-3 semaines)
Photochromogènes
M. kansasii
M. marinum
M. simiae

Scotochromogènes
M. scrofulaceum
M. szulgai
M. gordonae
M. xenopi

Non chromogènes
M. tuberculosis
M. avium
M. intracellulare
M. ulcerans
M. haemophilum
M. malmoense
M. terrae
M. genavense
M. bovis
M. nonchromogenicum

Croissance rapide (3-5 jours)
M. fortuitum
M. chelonae
M. smegmatis
M. abscessus
M. immunogenum
M. goodii
M. wolinskyi
M. cosmeticum
M. mucogenicum
M. mageritense

Pas de croissance
M. leprae

How well did you know this?
1
Not at all
2
3
4
5
Perfectly
1
Q

Mycobactéries à croissance lente (6+)

A

2-3 semaines

Photochromogènes (KMS)
M. kansasii
M. marinum
M. simiae

Scotochromogènes (SSGX)
M. scrofulaceum
M. szulgai
M. gordonae
M. xenopi

Non chromogènes (TATI BU non chromogène)
M. tuberculosis
M. avium
M. intracellulare
M. ulcerans
M. haemophilum
M. malmoense
M. terrae
M. genavense
M. bovis
M. nonchromogenicum

How well did you know this?
1
Not at all
2
3
4
5
Perfectly
2
Q

Mycobactéries à croissance rapide (5+)

A

3-5 jours

Ces Cosmétiques Font des Gros Abcès Mucogéniques

M. fortuitum
M. chelonae
M. smegmatis
M. abscessus
M. immunogenum
M. goodii
M. wolinskyi
M. cosmeticum
M. mucogenicum
M. mageritense

How well did you know this?
1
Not at all
2
3
4
5
Perfectly
3
Q

Présentations cutanées d’une exposition exogène à la TB (2)

A

Inoculation

Chancre tuberculeux
pas d’exposition préalable
TB verruqueuse cutanée
réponse immunitaire robuste

> Hématogène (surtout)
Lupus vulgaire
réponse immunitaire partielle

How well did you know this?
1
Not at all
2
3
4
5
Perfectly
4
Q

Présentations cutanées d’une exposition endogène à la TB (3)

A

Hématogène
TB miliaire cutanée aigue
immunosuppression
Lupus vulgaire
immunité partielle

Autoinoculation GI
TB orificielle

Extension par contiguïté (ganglions ou os)
Scrofulodermie

*abcès TB possibles aussi par dissémination hématogène chez immunosupprimés

How well did you know this?
1
Not at all
2
3
4
5
Perfectly
5
Q

Tuberculides (3)

A

Réactions immunes contre M. tuberculosis ou ses antigènes

Éruption papulonécrotique
Lichen scrofulosorum
Érythème induré

How well did you know this?
1
Not at all
2
3
4
5
Perfectly
6
Q

Proportion des infections par M. tuberculosis qui mènent à une maladie clinique

A

5-10%

How well did you know this?
1
Not at all
2
3
4
5
Perfectly
7
Q

Épidémiologie TB

A

Géographie
À travers le monde
régions avec climat froid et humide > tropiques

Pays à faible revenu
(enfants > adultes dans pays en développement)

Conditions socio-économiques
Pauvreté
Manque d’éducation
Surpopulation (overcrowding)
Mauvaise hygiène
Malnutrition
Accès inadéquat aux soins de santé

H > F dans la plupart des pays

Facteurs de risque du patient
VIH
Immunosuppresseurs (TNFi)
Déficits innés de l’axe IL-12/IFN-γ

How well did you know this?
1
Not at all
2
3
4
5
Perfectly
8
Q

Pathogène TB cutanée

A

Mycobacterium tuberculosis
Bâtonnet filamenteux mince, aérobe, non motile
»
Mycobacterium bovis (et BCG, souche atténuée)

How well did you know this?
1
Not at all
2
3
4
5
Perfectly
9
Q

Transmission M. tuberculosis (3)

A

Inhalation
Particules aérosolisées de la salive d’individus infectés

Ingestion
Inoculation

*peau saine est barrière efficace, mais bris permet invasion

How well did you know this?
1
Not at all
2
3
4
5
Perfectly
10
Q

Pathogenèse TB

A

Bacille survit intracellulaire
arrête maturation des phagosomes par sécrétion de serine/threonine kinases

Inflammation granulomateuse
Contribue à la croissance bactérienne initiale et facilite expansion de l’infection

Activation TLR2, 4, 9 (macrophages alvéolaires, cellules dendritiques)
cytokines et chimiokines (IL-6, IL-12, IL-1alpha, IL-1beta)
recrutement cellules inflammatoires

Mycobactéries sécrètent ESAT-6 qui stimulent cellules épithéliales à produire MMP-9
MMP-9 augmente recrutement de macrophages
Contribue à la prolifération bactérienne et maturation du granulome

Autres MMP favorisent destruction tissulaire TB

Immunité adaptative
Réduction de la croissance bactérienne par CD4+ et CD8+
Granulome mature = équilibre croissance bactérienne et réponse de l’hôte

Libération IFN et autres cytokines
Activation CMH classe 2 des APC et récepteur IL-2 sur lymphocytes T
Génération de lymphocytes T mémoire

How well did you know this?
1
Not at all
2
3
4
5
Perfectly
11
Q

Description chancre tuberculeux

A

0-1% des TB cutanées

Inoculation cutanée ou muqueuse primaire
Pas d’AP TB
PPD + tardif

2-4 semaines après inoculation

Papulonodule rouge-brun, ferme et indolore
lente croissance
Érosion ad ulcère bien délimité
bordures sous-minées

Extension aux lymphatiques et ganglions régionaux possible

Possible progression en plaques verruqueuses, scrofulodermie ou lupus vulgaire
Résolution spontanée en 3-12 mois exceptionnellement
cicatrice atrophique et ganglions régionaux calcifiés

How well did you know this?
1
Not at all
2
3
4
5
Perfectly
12
Q

Description TB verruqueuse cutanée

A

Forme #1 de TB cutanée
3-19% des TB cutanées

Inoculation cutanée ou muqueuse
anciennement contexte manipulation cadavres
AP TB (immunité spécifique modérée à élevée)
PPD +

Inoculation aux sites propices aux traumatismes
MI (pieds), fesses>autres sites

Plaque verruqueuse indurée à croissance lente
bordure légèrement inflammatoire
augmentation graduelle en taille, souvent serpigineuse
centre parfois fluctuant avec pus et débris kératinocytaires

Guérison spontanée possible après plusieurs années

Dermoscopie
Surface papillated
Vaisseaux papillaires dilatés
Multiples zones jaunes à orange, sans structure et globuleuse

How well did you know this?
1
Not at all
2
3
4
5
Perfectly
13
Q

Description scrofulodermie

A

2-8-72% des TB cutanée

Atteinte cutanée par contiguïté à un foyer de TB
ganglion
os
(BCG)
PPD +

Localisation #1 cou
lait non pasteurisé contaminé à M. bovis qui contamine amygdales et ganglions associés
Autres sites incluent aines, tronc, mandibule, aisselles et mains

Oedème ou nodule SC ferme et profond (abcès froid)
devient fluctuant avec écoulement puis ulcération et formation de sinus
bordures bleues et sous-minées
base avec tissu de granulation

Infection secondaire de la peau au-dessus de la lésion par l’écoulement

Guérison avec chéloïdes et cicatrices rétractées

How well did you know this?
1
Not at all
2
3
4
5
Perfectly
14
Q

Description TB orificielle

A

Ad 2.7% TB cutanées

Inoculation muqueuse ou peau adjacente à un orifice naturel drainant une infection TB interne active
rarement exogène (souvent auto-inoculation)
poumons
intestinal
anogénital
PPD souvent -

Localisation #1 bouche (surtout langue, lèvres, palais dur)

Papule rouge oedémateuse qui s’ulcère avec bordures sous-minées
punched-out
ulcères douloureux, résistants au traitement
Pas de guérison spontanée

How well did you know this?
1
Not at all
2
3
4
5
Perfectly
15
Q

Description lupus vulgaire

A

4-63% TB cutanée

AP TB
PPD +

Apparition possible après TB verruqueuse cutanée, scrofulodermie ou autres sources endogènes et exogènes
possible après BCG

Tête et cou (nez, joues, lobes), jambes
Plaque rouge-brun formée de papulonodules couleur gelée de pomme (apple jelly)
expansion lente avec central scarring
bordure avec squame croute d’un côté et cicatrice ou fibrose de l’autre
destruction tissulaire sur des années

Parfois sporotrichoïde
MS parfois avec tatouage ou injection

Atteinte muqueuse possible

Autres
Plaque
Ulcératif ou mutilant
Végétant
Tumeur
Papulonodulaire

Dermoscopie
Globules jaune-blanc épars
Squames blanches
Zones blanches sans structure
Rose-rouge background
Télangiectasie
(Visage : 4-dot clods, rosettes blanches, patulous follicles)

How well did you know this?
1
Not at all
2
3
4
5
Perfectly
16
Q

Description TB miliaire aigue

A

0-11% TB cutanées

Mycobactériémie
foyer primaire souvent poumons
immunité faible
PPD - (habituellement)

Souvent coinfection VIH/SIDA avec TB disséminée
mortalité augmentée

Papules érythémateuses en tête d’épingle avec des vésicules
petite ombilication centrale suivi par croutes

Guérison avec cicatrice blanche résiduelle et bordure brunâtre

How well did you know this?
1
Not at all
2
3
4
5
Perfectly
17
Q

Description gomme tuberculeuse

A

Abcès tuberculeux métastatique
0-13% des TB cutanées

Mycobactériémie
ensemencement cutané
immunité faible
PPD - (habituellement)

Extrémités > tronc

Nodule SC ferme à croissance lente ou oedème fluctuant mal défini
bris graduel de la peau par dessus
= ulcère sous-miné, souvent avec sinus

Mauvais pronostic (indique dissémination hématogène)

How well did you know this?
1
Not at all
2
3
4
5
Perfectly
18
Q

Formes de TB cutanée (6)

A

Chancre tuberculeux
Tuberculose verruqueuse cutanée
Scrofulodermie
Tuberculose orificielle
Lupus vulgaire
Tuberculose miliaire
Gomme tuberculeuse

How well did you know this?
1
Not at all
2
3
4
5
Perfectly
19
Q

Forme la plus commune de TB cutanée

A

TB verruqueuse cutanée

How well did you know this?
1
Not at all
2
3
4
5
Perfectly
20
Q

DDx clinique chancre tuberculeux (7+)

A

Ulcères pyogéniques et lésions chancriformes

Ulcère traumatique

Sporotrichose
Infections fongiques dimorphes ou opportunistes
Infection à M. marinum
Nocardiose
Tularémie
Syphilis
Griffe de chat
(EBV)

How well did you know this?
1
Not at all
2
3
4
5
Perfectly
21
Q

DDx clinique tuberculose verruqueuse cutanée (5)

A

Verrues vulgaires
Infections fongiques verruqueuses
chromoblastomycose
Syphilis tertiaire
LP hypertrophique
KPP

How well did you know this?
1
Not at all
2
3
4
5
Perfectly
22
Q

DDx clinique scrofulodermie (8+)

A

Infections fongiques dimorphes ou opportunistes
Mycobactéries non tuberculeuses
Gomme syphilitique
Actinomycose
Sinus dentaire
Ostéomyélite bactérienne chronique
Adénite avec écoulement
HS
Acné conglobata sévère

How well did you know this?
1
Not at all
2
3
4
5
Perfectly
23
Q

DDx clinique TB orificielle (5+)

A

Maladies ulcératives douloureuses périorificielles

HSV
Leishmaniose
Aphtose récurrente
Crohn
Pemphigus
Histoplasmose

How well did you know this?
1
Not at all
2
3
4
5
Perfectly
24
DDx clinique lupus vulgaire (10+)
Sarcoïdose GA Rosacée granulomateuse LE discoïde LSC Psoriasis CSC Tinea corporis Lèpre tuberculoïde Infections fongiques profondes sporotrichose chromoblastomycose blastomycose autres dimorphes Mycobactéries atypiques Leishmaniose Syphilis secondaire ou tertiaire
25
DDx clinique tuberculose miliaire (5)
Varicelle Exanthème entéroviral Rickettsialpox PLEVA Éruption médicamenteuse
26
DDx clinique gomme tuberculeuse (5+)
Abcès bactérien Nocardiose Sporotrchose Infections fongiques dimorphes ou opportunistes Gomme syphilitique Panniculite HS
27
Formes de tuberculose cutanée avec PPD positif (4+)
Chancre tuberculeux (tardif seulement) TB verruqueuse cutanée Scrofulodermie Lupus vulgaire (parfois TB orificielle)
28
Formes de tuberculose cutanée avec PPD négatif (4)
TB miliaire aigue Chancre tuberculeux (précoce; peut devenir positif tardivement) *Variable* TB orificielle Gomme tuberculeuse
29
Histologie chancre tuberculeux
**Aigu** Inflammation neutrophilique NS microabcès Nécrose (derme réticulaire et SC) Bacilles identifiables *Pas de granulomes* **Tardif** Inflammation granulmateuse avec caséation centrale cellules géantes épithélioïdes cellules géantes de Langhans Disparition des bacilles
30
Histologie TB verruqueuse cutanée
Inflammation aigue dans l'épidermie Hyperplasie pseudoépithéliomateuse hyperkératose Microabcès du derme superficiel Foyers granulomateux épars granulomes tuberculoïdes bien à mal formés parfois cellules géantes Nécrose focale Parfois bacilles présents
31
Histologie scrofulodermie
Granulomes tuberculoïdes derme réticulaire Nécrose fréquente Cellules géantes Tissu de granulation Abcès neutrophiliques Bacilles isolés dans le pus
32
Histologie TB orificielle
Épiderme ulcéré ou acanthosique Infiltrat inflammatoire NS Nécrose **Granulomes tuberculoïdes avec caséation** derme papillaire à moyen Bacilles identifiés facilement
33
Histologie lupus vulgaire
Changements épidermiques variables hyperkératose acanthose atrophie Granulomes tuberculoïdes loose ou infiltrat granulomateux confluent derme papillaire parfois granulomes bien formés (37-72%) Caséation minime (25%) Infiltrat inflammatoire NS parfois dommage à la couche basale par granulomes lymphocytes, neutrophiles, plasmocytes Pas de bacille visible
34
Histologie TB miliaire aigue
Changements épidermiques variables hyperkératose acanthose papillomatose **Nécrose** focale ou conflluente Infiltrat inflammatoire NS entouré de macrophages **neutrophiles** denses possibles ou inflammation chronique avec LH et plasmocytes parfois petits abcès en développement Bacilles abondants
35
Histologie gomme tuberculeuse
Nécrose massive caséeuse derme réticulaire et SC Inflammation granulomateuse diffuse avec ou sans granulomes formés Formation d'abcés Grand nombre de bacilles
36
Présentations cliniques lupus vulgaire (5)
Plaque Ulcératif ou mutilant Végétant Tumeur Papulonodulaire
37
Formes de tuberculose cutanée avec quantiféron parfois négatif (4)
*Négatif précocement ou chez immunocompromis* Chancre tuberculeux TB orificielle TB miliaire aigue Gomme tuberculeuse
38
Forme de tuberculose cutanée associée à infection tuberculeuse extra-cutanée (5)
Scrofulodermie (TB ganglion, os) TB orificielle (infection interne active qui draine par orifice) Lupus vulgaire (extension lymphatique) TB miliaire aigue (mycobactériémie) Gomme tuberculeuse (mycobactériémie)
39
Définition tuberculide
Individu avec immunité cellulaire antituberculeuse forte Réaction immunitaire cutanée due à la dissémination hématogène de *M, tuberculosis* ou ses antigènes Débute sous forme de réactions à complexes immuns puis évolue en réponse granulomateuse PCR *M. tuberculosis* souvent + sur lésions *habituellement pas d'infection active, mais quantiféron + reflétant exposition passée
40
Description tuberculide papulonécrotique
*3-12.8% des TB cutanées* Enfants et jeunes adultes Surface des extenseurs et fesses Distribution étendue relativement symétrique Papules rouges dusky ou papulopustules nécrose centrale prurit **Multiples éruptions cycliques**, souvent même après traitement antimicrobien Guérison spontanée fréquente souvent avec **cicatrices varioliformes** **PCR M. tuberculosis et PPD +** *Histologie* Vasculite leucocytoclasique ou vasculite granulomateuse **LCV** nécrose en croissant du derme
41
Description lichen scrofulosorum
*0.1-33% des TB cutanées (selon pays)* Enfants avec TB ganglionnaire ou osseuse > autres rapporté post BCG ou PPD Petites papules planes fermes, périfolliculaires, roses ou jaune-brun desquamation variable Persistance pour des mois Résolution sans cicatrice **PCR M. tuberculosis +** **TB systémique** chez 72% *Histologie* Granulomes superficiels autour des follicules pileux et canaux sudoripares peu ou pas de nécrose caséeuse Pas de bacilles **Dermoscopie** Points périfolliculaires ronds, pâles et monomorphes bouchons noirs centraux avec desquamation périphérique hyperpigmentation
42
Description érythème induré
*35-40% des TB cutanées* *Vasculite nodulaire* Dépôts de complexes immuns et réaction d'hypersensibilité 80-90% F > H Pics adolescence précoce et périménopause Nodules SC érythémateux des mollets bilatéraux involution ou ulcération irrégulière avec bordures bleutées Guérison avec cicatrices atrophiques hyperpigmentées *Histologie* Panniculite lobulaire avec ou sans atteinte septale Vasculite neutrophilique avec épaississement des artères et veines SC perivascular cuffing fréquent Nécrose graisseuse et granulomes parfois Pas de bacilles Pas de caséation
43
DDx clinique lichen scrofulosorum (8+)
Lichen nitidus Lichen spinulosus LP Autres dermatoses lichénoïdes Réactions Id Blau Sarcoïdose Syphilis secondaire Psoriasis
44
Complications vaccination BCG
*M. bovis* atténué qui augmente le degré de protection contre *M. tuberculosis* **Complications** Tuberculides localisés ou généralisés Lupus vulgaris Scrofulodermie Autres réactions NS fièvre inflammation locale abcès SC avec ou sans ulcération lymphadénite régionale sévère ostéite foyers tuberculeux des d'organes à distance infection disséminée ou fatale (surtout immunodéficiences primaires IL-12/IFN-γ)
45
Méthodes diagnostiques TB (5)
PPD Quantiferon (IFN-γ release assays - IGRA) détermine si exposition à peptides reconstitués ESAT-6, CFP-10, TB7.7 de *M. tuberculosis* stimulent production IFN-γ **plus spécifique** que PPD même sensibilité que PPD Cultures (gold standard) 3-8 semaines selon le milieu faible sensibilité vu faible quantité de bacilles dans les lésions cutanées milieux Lӧwenstein-Jensen (oeuf solide) < BACTEC 460 (automated broth systems) PCR Histologie avec colorations
46
Situations où quantiféron est préféré au PPD (2)
Patients avec potentiel de ne pas venir à un second RV SDF UDIV AP vaccination BCG **Avantages** (4) Requiert une seule visite Résultats disponibles en 24h Vaccination BCG préalable ne cause pas de faux positif Pas d'augmentation de la réponse avec tests subséquents **Désavantages** (5) Requiert processing au laboratoire en < 16h Coût relativement élevé Faux positif possible avec certaines mycobactéries non tuberculeuses *M. kansasii* *M. szulgai* *M. marinum*
47
Situation où PPD est préféré au quantiféron
Préférable pour enfants < 5 ans **Avantages PPD** (2) Pas de laboratoire requis Cout faible **Désavantages PPD** (5) Requiert 2 visites par le patient Délai 48h avant résultat Faux positif avec vaccin BCG Faux positif avec infection à autres mycobactérie Augmentation potentielle des réponses pour tests subséquents
48
Avantages et désavantages PPD
**Avantages** (2) Pas de laboratoire requis Cout faible **Désavantages** (5) Requiert 2 visites par le patient Délai 48h avant résultat Faux positif avec vaccin BCG Faux positif avec infection à autres mycobactérie Augmentation potentielle des réponses pour tests subséquents Faux négatif si TB active précoce
49
Avantages et désavantages quantiferon
**Avantages** (4) Requiert une seule visite Résultats disponibles en 24h Vaccination BCG préalable ne cause pas de faux positif Pas d'augmentation de la réponse avec tests subséquents **Désavantages** (5) Requiert processing au laboratoire en < 16h Coût relativement élevé Faux positif possible avec certaines mycobactéries non tuberculeuses *M. kansasii* *M. szulgai* *M. marinum* Faux négatif si TB active précoce
50
Traitement TB cutanée
*Multimédicamenteux idem à TB systémique* **Phase intensive** 2 mois Rifampin Isoniazid Ethambutol Pyrazinamide **Phase maintien** 4 mois Isoniazid Rifampin *réponse clinique en 4-6 semaines résolution complète 1-5 mois *possible ad 9-12 mois *multidrug resistant si résiste à rifampin et isoniazid extensive si aussi résistant à fluoroquinolone et 1 agent de 2e ligne
51
Définitions TB multi-résistantes
**Multidrug resistant** (MDR) Résiste à rifampin et isoniazid **Extensively drug resistant** (XDR) Aussi résistant à fluoroquinolone et 1 agent de 2e ligne *Agents 2e ligne* Bedaquiline FLuoroquinolones (lovofloxacin ou moxifloxacin) Ethionamide Ethambutol Pyrazinamide (linezolide, amikacine, cycloserine, pretomanide, delamanide, clofazimine)
52
Cibles des médications antituberculeuses (8+)
Synthèse de l'acide mycolique isoniazide (INH) Synthèse d'arabinogalactan ethambutol Peptidoglycan cycloserine Mycobactines de la membrane cellulaire Sous-unité ribosomale streptomycine (30S) autres aminoglycosides (30S) macrolides (50S) Synthèse de l'ARN (ARN polymérase dépendante de l'ADN) rifampin Supercoiling de l'ADN (ADN gyrase-topoisomérase) fluoroquinolones ATP synthase bedaquiline Autres (inconnus) clofazimine (potentiellement ARN polymérase) pyrazinamide (requiert conversion enzymatique en acide pyrazinoïque)
53
Facteurs de risque pour infections à mycobactéries sévères ou disséminées (3+)
Déficit immunitaire axe IL-12/IFN-γ *STAT1* *ISG15* Déficit en GATA2 Anticorps anti-IFN-γ
54
Proportion des infections par *M. tuberculosis* qui mènent à une maladie extra-pulmonaire
8-24%
55
Proportion des infections extra-pulmonaires par *M. tuberculosis* qui sont des manifestations cutanées de TB
1.5-3%
56
Principal facteur prédisposant pour TB
VIH *Altérations génétiques immunitaires* (risque pour TB disséminée) Polymorphismes dans mannose-binding protein Mutations IFN-gammaR Récepteur beta1 IL-12 *Autres* (risque pour TB disséminée et mortalité) VIH (#1) Diabète Malnutrition
57
Proportion de la population avec TB latente
25%
58
Classification TB cutanée
**TB cutanée** *Inoculation* Chancre tuberculeux TB verruqueuse cutanée *Hématogène* Lupus vulgaire TB miliaire aigue Gomme tuberculeuse *Autoinoculation* TB orificielle *Contiguïté* Scrofulodermie **Tuberculides** *Endogène* Lichen scrofulosorum Tuberculide papulonécrotique Érythème induré (Bazin)
59
Distinction TB cutanée et tuberculides
**TB cutanée** Présence de mycobactérie (microscopie, culture, PCR) **Tuberculides** Réactions d'hypersensibilité (id) à antigènes mycobactériens Réponse immunitaire forte (PPD+) Pas de mycobactérie lésionnelle
60
Formes de TB cutanée multibacillaires (5)
Chancre tuberculeux TB miliaire aigue Gomme tuberculeuse TB orificielle Scrofulodermie
61
Formes de TB cutanée paucibacillaires (2+)
Lupus vulgaire TB verruqueuse cutanée (Tuberculides : lichen scrofulosorum, tuberculide papulonécrotique, érythème induré de Bazin)
62
Sites les plus fréquents de scrofulodermie (6)
**Cou** (ingestion de lait non pasteurisé contaminé à *M. bovis*, infection amygdales et ganglions associés) > Aines Tronc Mandibule Aisselles Mains
63
Sites les plus fréquents de TB orificielle (3)
Oral langue (#1 Bolognia) lèvres palais dur > Anogénital
64
Dermoscopie lichen scrofulosorum
Points périfolliculaires ronds, pâles et monomorphes bouchons noirs centraux avec desquamation périphérique hyperpigmentation
65
Dermoscopie TB verruqueuse cutanée
Surface papillated Vaisseaux papillaires dilatés Multiples zones jaunes à orange, sans structure et globuleuse
66
Dermoscopie lupus vulgaire
Globules jaune-blanc épars Squames blanches Zones blanches sans structure Rose-rouge background Télangiectasie (Visage : 4-dot clods, rosettes blanches, patulous follicles)
67
Pseudotuberculides (2)
*Dermatoses granulomateuses avec multiples papules monomorphes infiltrées au visage* Lupus miliaris disseminatus faciei Tuberculide rosacéiforme
68
Proportion des TB cutanées avec atteinte pulmonaire
TB orificielle 100% Lichen scrofulosorum 64% Scrofulodermie 7 à 45% *scrofulodermie 10-35% ont atteinte contigue (os)
69
Complications TB cutanée (3)
**Cicatrices** Chancre tuberculeux TB miliaire aigue Lupus vulgaire Scrofulodermie Tuberculide papulonécrotique **Cancer** (ad 10% lupus vulgaire de longue date) CSC > CBC Léiomyosarcome (rare, scrofulodermie) **Mortalité** Gomme tuberculeuse (66%) TB miliaire aigue (50-75%)
70
Technique PPD
*Test cutané à la tuberculine* (TST) Injection intra-dermique de 5 unités de tuberculine (dérivés protéiques purifiés de *M, tuberculosis*) Interprétation après 48-72h **Sensibilité 58.9%** **Spécificité 62.5%**
71
Faux positifs PPD (2)
Infections à mycobactéries non tuberculeuses Vacin BCG
72
Faux négatifs PPD (5)
Co-infection VIH Immunosuppresseurs (médication) Malnutrition Anergie (TB active)
73
Antigènes utilisés dans quantiféron (2)
**ESAT-6** Early secreted antigenic target 6 **CFP-10** Culture filtrate protein 10
74
Facteur de risque le plus important pour progression de TB latente à TB active
VIH
75
Bilan à effectuer en cas de diagnostic de TB cutanée
**PPD** **Quantiféron** **VIH** **Recherche d'un foyer extra-cutané** *Pulmonaire* RXP (CT thorax au besoin) Culture d'expectorations PCR *Autres* FSC et base Cultures et histologie pour sites suspectés CT au besoin Aspiration à l'aiguille pour ganglions PCR
76
Caractéristiques histologiques TB (4+)
Nécrose caséeuse zone nécrotique éosinophilique homogène Cellules géantes de Langhans fusion de multiples macrophages noyaux en couronne (wreath) (sarcoïdose granulomes n'ont pas de rim de lymphocytes) Granulomes épithélioïdes tuberculoïdes Micro-organismes visualisés Ziehl-Neelsen Fite-Faraco Auramine-rhodamine (Abcès neutrophiliques) (Fibrose dermique)
77
Histologie lichen scrofulosorum
Granulomes à cellules épithélioïdes superficiels autour des follicules pileux et canaux sudoripares Parfois cellules géantes Peu ou pas de nécrose caséeuse Pas de bacilles
78
Histologie tuberculide papulonécrotique
Vasculite leucocytoclasique ou vasculite granulomateuse **LCV** occlusion vasculaire nécrose fibrinoïde parfois dans les vaisseaux Nécrose en croissant du derme papillaire Pas de granulomes tuberculoïdes
79
Histologie érythème induré
Panniculite lobulaire avec ou sans atteinte septale Vasculite lymphocytaire (CME 12-2023) Vasculite neutrophilique (Bolognia) avec épaississement des artères et veines SC perivascular cuffing fréquent Zones de nécrose graisseuse Parfois granulomes épithélioïdes Pas de bacilles Pas de caséation
80
Colorations pour mycobactéries (4)
Ziehl-Neelsen (sensibilité 20-40%) colore aussi Nocardia et cryptosporidia Fite-Faraco Auramine-rhodamine fluorescence (potentiellement supérieur à Fite) Kinyoun
81
Lésions TB cutanées considérées contagieuses
Formes multibacillaires avec drainage actif de sinus, abcès ou lésions orales *Formes multibacillaires* Chancre tuberculeux TB miliaire aigue TB orificielle > Gomme tuberculeuse Scrofulodermie
82
Mécanisme d'action bedaquiline
*Diarylquinoline* Inhibition sélective de adenosine triphosphate synthase mycobactérienne arrête production ATP = mort des bacilles *recommandé seulement pour TB pulmonaire résistante vue mortalité plus élevée (inexpliquée)
83
Mécanisme d'action pretomanid et delamanid
*Nitroimidazoles* Blocage de la synthèse d'acide mycolique composant la paroi cellulaire mycobactérienne *recommandés pour TB pulmonaire résistante vue mortalité plus élevée (inexpliquée) *FDA pretomanid *Europe delamanid
84
Populations requérant ajustement du traitement antituberculeux (5)
**Gériatrie** Interactions médicamenteuses Toxicités GI et hépatiques Comorbidités (cirrhose) **Pédiatrie** Ajustement selon le poids Ethambutol à éviter chez jeunes enfants si TB non sévère risque de névrite optique (difficile à détecter chez jeunes enfants) **Insuffisance hépatique** Prédisposition à hépatotoxicité pouvant requérir régimes moins efficaces Changement de médication Bilans **Insuffisance rénale** (IRC) Augmente risque E2 Ajustement des doses de pyrazinamide et ethambutol Bilans Interactions médicamenteuses problématiques pour greffés induction métabolisme par rifampin **VIH** Risque plus élevé MDR-TB Interactions médicamenteuses rifampin diminue taux antirétroviraux (inhibiteurs protéase, integrase strand transfer inhibitors, NNRTI) = remplacement rifampin par rifabutin
85
Effets secondaires fréquents des antituberculeux (3)
Hépatotoxicité (#1) Névrite optique Allongement du QTc *Cutanés* (rifampin, pyrazinamide, isoniazide > autres) Hypersensibilité retardée Dermatite lichénoïde DRESS TEN
86
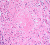
Nom de cette structure
**Granulome à cellules épithélioïdes** (TB) Nécrose caséeuse centrale Lymphocytes en périphérie
87
Effets secondaires fréquents rifampin (5+)
Hépatite Coloration orange des sécrétions *Cutanés* DRESS SJS/TEN FDE Vasculite cutanée Urticaire et angioedème
88
Effets secondaires fréquents isoniazide (5)
Neuropathie périphérique prévention avec pyridoxine Hépatite *Cutanés* DRESS SJS/TEN Dermatite lichénoïde
89
Effets secondaires fréquents ethambutol (4)
Neuropathie périphérique prévention avec pyridoxine Névrite optique *Cutanés* DRESS SJS/TEN
90
Effets secondaires fréquents pyrazinamide (6)
Hépatite Phototxicité Arthralgie *Cutanés* SJS/TEN DRESS Dermatite lichénoïde