Pemphigoïdes Flashcards

(86 cards)

1
Q

Épidémiologie PB

A

Personnes âgées (> 60 ans)
RR 300x supérieur 90 ans»_space;> 60 ans
H > F

HLA DQB1 0301 (Caucasiens)
HLA DRB1 04, DRB1 1101, DQB1 0302 (Japonais)

How well did you know this?
1
Not at all
2
3
4
5
Perfectly
2
Q

Associations HLA PB

A

Caucasiens
HLA DQB1 0301

Japonais
HLA DRB1 04
HLA DRB1 1101
HLA DQB1 0302

How well did you know this?
1
Not at all
2
3
4
5
Perfectly
3
Q

Auto-anticorps PB (2)

A

Composants des complexes d’adhésion jonctionnelle (HD)

BPAG1e (BP230)
Pathogène

BPAG2 (BP180)
Portion NC16A collagène 17
Apparition secondaire
Contribue au dommage tissulaire

How well did you know this?
1
Not at all
2
3
4
5
Perfectly
4
Q

Hémidesmosomes

A

Complexes d’adhésion cellulaire (épithélium stratifié)

How well did you know this?
1
Not at all
2
3
4
5
Perfectly
5
Q

Pathogenèse PB (2)

A

Auto-anticorps
BPAG1e (BP230)
BPAG2 (BP180, collagène 17)
sous-type IgG4

Réponse des lymphocytes T
Autoréactivité lymphocytes T à BP180 et 230 (selon HLA)
Réponse lymphocytes B et stimulation de la sécrétion d’auto-anticorps

Bulles
Liaison auto-anticorps, mécanismes Fc-médiés et cascade inflammatoire
activation du complément
recrutement de cellules inflammatoire et libération de protéases

Dégradation MEC

How well did you know this?
1
Not at all
2
3
4
5
Perfectly
6
Q

Description PB

A

Éruption très prurigineuse

Non-bulleuse (20%, association BP230 BPAG1 collagène 17)
Prodrome semaines à mois
Eczémateuse
Urticarienne
Papuleuse
Prurit sans lésions
Localisation abdomen inférieur, cuisses, aines, avant-bras et aisselles

Bulleuse
Vésicules et bulles tendues sur peau saine ou érythémateuse
durée ad plusieurs jours
Papules et plaques urticariennes infiltrées
Parfois annulaire ou figuré

Dyspigmentation
Milia

How well did you know this?
1
Not at all
2
3
4
5
Perfectly
7
Q

Variantes PB (15+)

A

Âge
Pemphigïde gestationis
PB infantile
PB pédiatrique (incluant vulvaire)

Localisation
Prétibiale
Vulvaire
Péristomale
Ombilicale
Extrémité distale d’un membre amputé
Membre paralysé
Sites de radiothérapie
Brunsting-Perry

Autres
Pemphigoïde dishidrosiforme
Pemphigoïde vegetans (plaques végétantes intertrigineuses)
Pemphigoïde nodulaire (prurigo nodulaire-like)
Pemphigoïde vésiculeuse (DH-like)
Lésions érosives TEN-like
Pemphigoïde papuleuse
Pemphigoïde eczémateuse
LP pemphigoïdes

How well did you know this?
1
Not at all
2
3
4
5
Perfectly
8
Q

Variantes morphologiques PB (8)

A

Pemphigoïde dishidrosiforme
Pemphigoïde vegetans (plaques végétantes intertrigineuses)
Pemphigoïde nodulaire (prurigo nodulaire-like)
Pemphigoïde vésiculeuse (DH-like)
Lésions érosives TEN-like
Pemphigoïde papuleuse
Pemphigoïde eczémateuse
LP pemphigoïdes

How well did you know this?
1
Not at all
2
3
4
5
Perfectly
9
Q

Variantes localisées PB (8)

A

Prétibiale
Vulvaire
Péristomale
Ombilicale
Extrémité distale d’un membre amputé
Membre paralysé
Sites de radiothérapie
Brunsting-Perry

How well did you know this?
1
Not at all
2
3
4
5
Perfectly
10
Q

Associations PB (8+)

A

Maladies
MII
Autres maladies auto-immunes (doute)
thyroïdite Hashimoto
PAR
DM
LE
(Cancer probablement en lien avec l’âge plus que PB)

Dermatologie
Psoriasis
LP

Neurologie (précèdent souvent atteinte cutanée)
Parkinson
TNC
Troubles psychiatriques
MAB
AVC
SEP

How well did you know this?
1
Not at all
2
3
4
5
Perfectly
11
Q

Déclencheurs rapportés PB (4)

A

Traumatismes
chirurgies (incluant stomies)
Brûlures
Radiothérapie
UVR (incluant PUVA, PDT)
Médications
diurétiques de l’anse
antagonistes aldostérone
inhibiteurs dipeptidyl peptidase 4 (DPP-4)
inhibiteurs PD1, PDL-1
PNC

How well did you know this?
1
Not at all
2
3
4
5
Perfectly
12
Q

Médication associée à PB (10+)

A

Inhibiteurs dipeptidyl peptidase-4 (DPP-4)
vildagliptine
Immunothérapie
pembrolizumab
Diurétiques
furosemide
spironolactone
AINS
ibuprofen
diclofenac
ATB
amoxicilline
ciprofloxacin
IECA
TNFi
SSKI
Vaccins

*pas clair si arrêt des médicaments va induire rémission, possible rôle seulement dans initiation de la cascade
patients avec susceptibilité génétique
modification de la réponse immune
altération des propriétés de la membrane basale épidermique

How well did you know this?
1
Not at all
2
3
4
5
Perfectly
13
Q

Particularité PB infantile

A

Bulles sites acraux puis généralisation
(peut atteindre le visage)

How well did you know this?
1
Not at all
2
3
4
5
Perfectly
14
Q

Évaluation activité PB (3)

A

BPDAI
ABSIS
Décompte quotidien des bulles
léger < 10 nouvelles bulles
sévère > 10 nouvelles bulles

*BPDAI et ABSIS corrèlent avec taux sériques anti-BP180, BPDAI aussi avec BP230

How well did you know this?
1
Not at all
2
3
4
5
Perfectly
15
Q

Corrélation ELISA PB et sévérité de la maladie

A

Taux sériques d’auto-anticorps anti-BP180 NC16A (BPAG2) corrèlent avec la sévérité et l’activité de la maladie

*pas de corrélation pour anti-BP230 (BPAG1e)

How well did you know this?
1
Not at all
2
3
4
5
Perfectly
16
Q

Proportion PB sans bulles ni érosions au diagnostic

A

20%

How well did you know this?
1
Not at all
2
3
4
5
Perfectly
17
Q

IFD PB

A

Peau périlésionnelle

Dépôts linéaires fins continus le long de la membrane basale épidermique
IgG et/ou C3
IgG4, IgG1 surtout

Tests additionnels
n-serrated
Salt-split plafond épidermique de la bulle

How well did you know this?
1
Not at all
2
3
4
5
Perfectly
18
Q

IFI PB

A

Substrat salt-split >peau humaine ou oesophage de singe non salt-split

Auto-anticorps IgG anti-membrane basale cutanée (70%)
> IgA, IgE

Lient côté épidermique ou épidermique et dermique (2)

How well did you know this?
1
Not at all
2
3
4
5
Perfectly
19
Q

Sensibilité ELISA PB (2)

A

Domaine NC16A BP180 (BPAG2)
Sensibilité 80-90%
Corrélation avec sévérité et activité de la maladie

Terminaison C BP230 (BPAG1) (+/− N-terminus)
Sensibilité 60-80%
Peuvent être prédominants en non bulleux

*faux positifs 7%
faible titre, personnes âgées

How well did you know this?
1
Not at all
2
3
4
5
Perfectly
20
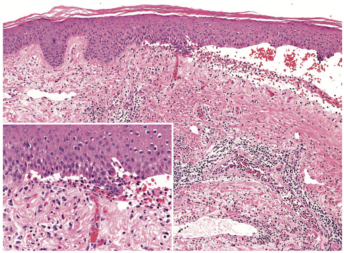
Q

Histologie PB

A

Spongiose éosinophilique
Infiltrats dermiques d’éosinophiles

Bulle sous-épidermique
Cavité de la bulle avec fibrine et infiltrat inflammatoire variable
Infiltrat dermique superficiel avec éosinophiles et cellules mononucléées

How well did you know this?
1
Not at all
2
3
4
5
Perfectly
21
Q

DDx histologique spongiose éosinophilique (10+)

A

Bulloses
PV
PF
PB
Pemphigoïde gestationis
PMM
DIgAL

Éosinophiles
Piqûres d’arthropodes
Wells
IP
Folliculite éosinophilique

Eczémateux
DA
DCA
Id
MF
Éruptions médicamenteuses

Autres
Érythème toxique de nouveau-né
Prurigo pigmentosa
Still

How well did you know this?
1
Not at all
2
3
4
5
Perfectly
22
Q

DDx clinique PB (15+)

A

Non bulleux
Réactions médicamenteuses
Dermatite de contact
Prurigo (simple et nodulaire)
Dermatoses urticariennes
Piqûres d’arthropodes
Gale

Bulleux
Bulloses auto-immunes
pemphigus (PNP)
DH
EBA
pemphigoïdes PMM, anti-p200 (laminine γ1)
Piqûres d’arthropodes bulleuses
DCA
SJS
Éruption bulleuse médicamenteuse
Eczéma dishidrotique
Pseudoporphyrie
PCT

Enfant
Impétigo bulleux
EB
Mastocytose bulleuse

How well did you know this?
1
Not at all
2
3
4
5
Perfectly
23
Q

Indices cliniques orientant vers PB en présence de bullose sous-épidermique avec dépôts linéaires d’IgG et C3 (4)

A

Absence d’atrophie cutanée
Absence d’atteinte muqueuse
Absence d’atteinte tête et cou
Âge > 70 ans

How well did you know this?
1
Not at all
2
3
4
5
Perfectly
24
Q

Distinction PMM et PB (5)

A

PMM
Atteinte muqueuse
Atteinte cutanée 25-30%
Atteinte fréquente tête et tronc supérieur
Tendance à cicatrices aux sites affectés

Immunologie

How well did you know this?
1
Not at all
2
3
4
5
Perfectly
25
Description pemphigoïde incipiens
Patients âgés Prurit généralisé Auto-anticorps circulants anti-membrane basale réagissent BP180, BP230 IFD négative initialement, puis développent PB
26
Description pemphigoïde anti-p200 (laminine γ1) (3)
PB-like ou DH-like parfois atteinte muqueuse Auto-anticorps circulants chaîne gamma 1 de laminine versant dermique (plancher) de salt-split Histologie prédominance de neutrophiles plutôt qu'éosinophiles dans l'infiltrat
27
Pronostic PB
Chronicité avec exacerbations spontanées **Récidives** 30% des récidives dans la première année de traitement FdR maladie étendue et TNC 50% ont récidive dans les 3 premiers mois après arrêt de traitement **Mortalité** 10-40% décès dans la première année
28
Récidives PB
**Sous traitement** 30% récidivent dans la première année de traitement FdR maladie étendue et TNC **Après traitement** 50% récidivent dans les 3 premiers mois
29
Suivi de l'activité PB
**ELISA anti-BP180-NC16A** Corrélation avec sévérité de la maladie dosage 0, 60 et 150 jours si diminution < 20% entre 0 et 60, risque récidive plus grand **Facteurs de récidive** ELISA anti-BP180-NC16A élevé (> 27 U/mL) > IFD positive à l'arrêt du traitement *pas encore établi dans guidelines
30
Traitements décrits PB
**Maladie légère ou localisée** CS topiques ultrapuissants 10-30g par jour > CS PO (0.5 mg/kg) Tétracyclines avec ou sans nicotinamide nicotinamide 500-2000 mg/jour > Érythromycine, PNC Dapsone, sulfonamides Immunomodulateurs topiques (tacrolimus) **Maladie étendue ou persistante** CS topiques ultrapuissants 40g par jour CS PO (0.5-0.75 mg/kg) > AZA (0.5-2.5 mg/kg/jour) MMF (1.5-3 g par jour) MTX (7.5-15 mg/semaine ou 2.5-10 pour âgés) Chlorambucil (2-4 mg/jour) CYC IVIg Plasma exchange Rituximab Omalizumab (IgE) Immunoadsorption *choix du traitement selon la sévérité de la maladie
31
Utilisation et sevrage prednisone pour PB
**Doses** 0.5-1 mg/kg/jour **Sevrage** 6-9 mois (peut être commencé si absence de nouvelles lésions ou prurit) *devrait contrôler en 1-2 semaines les lésions
32
Approche au traitement PB
*Guidé par sévérité de l'atteinte et atteinte muqueuse* **Localisé ou léger** CS topiques puissants + doxycycline +/- niacinamide 1.5 g/jour + CS PO 0.5 mg/kg/jour en sevrage + dapsone 50 mg pendant prednisone au moins **Généralisé sévère, atteinte muqueuse NON oculaire, laryngée ou oesophagienne** CS topiques puissants (généralisé) Doxycycline +/- niacinamide 1.5 g/jour + CS PO 1 mg/kg/jour en sevrage + dapsone 50 mg die pendant prednisone au moins *Selon évolution* + AZA 1-3 mg/kg/jour / MTX 15 mg semaine / MMF 2 g/jour + IVIg 2 g/kg sur 2-5 jours q mois / rituximab 2 doses 1g espacées 2 semaines / omalizumab (IgE) / immunoadsorption / CYC **Atteinte oculaire, laryngée ou oesophagienne** Rituximab 2 doses 1g espacées 2 semaines CS PO (0.5-1 mg/kg/jour) Dapsone 50 mg die + IVIg 2 g/kg sur 2-5 jours q mois si cicatrices progressives + MMF 30-45 mg/kg/jour / AZA 1-3 mg/kg/jour / MTX 15 mg semaine
33
Classification PMM
*Groupe hétérogène de maladies avec lésions favorisant les muqueuses > la peau* **PMM anti-laminine 332** (anti-épiligrine) (18-30%) Auto-anticorps IgG 332 chaine α3 > β3 et/ou γ2 rare 311 Côté dermique (plancher) salt split skin **PMM oculaire** Auto-anticorps contre sous-unité β4 de l'intégrine α6β4 **PMM anti-BPAG2** (BP180, collagène 7) (#1) **PMM autre** Groupe hétérogène
34
Épidémiologie PMM
1.5-2F : 1H HLA-DQw7 sous-type HLA-DQB1 0301 Pas d'association franche avec cancer sauf anti-laminine 332 (adénocarcinomes colon, poumon, estomac, sein)
35
Auto-anticorps PMM (6)
BPAG2 (BP180, collagène 17) BPAG1 (BP230) Laminine 332 (laminine 5) Sous-unité β4 intégrine Laminine gamma1 Sous-unité alpha6 intégrine
36
Muqueuses plus affectées par PMM (2)
Orale (90%) gencive, muqueuse buccale, palais > alveolar ridge, langue et lèvres Conjonctives (40%) > OGE Anus VRS Oesophage
37
Description PMM
**Atteinte muqueuse** Orale (90%) gencives muqueuse buccale Conjonctivale (40%) Nasopharyngée (1/3) > Laryngée Oesophagienne > Anogénitale **Atteinte cutanée** (25-40%) Limitée Cuir chevelu, visage, cou, tronc supérieur Plaques érythémateuses avec bulles et érosions, puis cicatrices
38
Atteinte muqueuse orale en PMM (5)
*Présente chez 90%* Gingivite desquamative (érosions, saignement, paresthésies) Érosions chroniques Douleur Adhésions Parfois guérison avec stries blanches réticulées (LP-like)
39
Atteinte muqueuse conjonctivale en PMM (5+)
*Présente chez 40%* *conjonctivite cicatricielle avec formation de symblépharon, ectropion, trichiase, cécité* Site uniquement affecté dans plusieurs cas BL (débute UL) Conjonctivite chronique NS brulement inconfort sensation de corps étranger écoulement mucus Exacerbation et rémissions Fibrose conjonctivale (éventuelle) Tissu cicatriciel fornix inférieur raccourci symblépharon trichiase (cils vers l'intérieur) entropion xérose (cicatrice des conduits lacrymaux) Érosions et ulcérations cornéennes Néovascularisation cornéenne Cécité
40
Complications conjonctivales PMM (5+)
Tissu cicatriciel fornix inférieur raccourci symblépharon trichiase (cils vers l'intérieur) entropion xérose (cicatrice des conduits lacrymaux) **Progression vers** Érosions et ulcérations cornéennes Néovascularisation cornéenne Cécité
41
Atteinte muqueuse nasopharyngée PMM (10)
*Présence chez 1/3* **Nasale** Chronique et aSx Ulcérations croutées intranasales Épistaxis Adhésions fibreuses Obstruction VR **Pharyngée** Ulcérations du pharynx postérieur Dysphagie **Laryngée** *Manifestation potentiellement sérieuse* Hoarseness Perte de la voix Sténose life-threatening requiert trachéostomie
42
Atteinte muqueuse laryngée PMM (3)
*Manifestation potentiellement sérieuse* Hoarseness Perte de la voix Sténose life-threatening requiert trachéostomie
43
Atteinte muqueuse oesophagienne PMM (3)
Dysphagie ASx Inflammation chronique sténose et strictures dysphagie
44
Atteinte muqueuse anogénitale PMM (4)
*Relativement rare* **Précoce** Bulles et érosions chroniques **Progression** *Cicatrices* Rétrécissement de l'introïtus vaginal Adhésions entre prépuce et gland, phimosis Strictures anales Strictures de l'urètre
45
Atteinte cutanée PMM
*Présente chez 25-40%* **Localisation** *Habituellement peu étendue* Cuir chevelu Brunsting-Perry tête et cou avec minime ou absence d'atteinte muqueuse (alopécie cicatricielle) Visage Cou Tronc supérieur **Morphologie** Plaques érythémateuses avec bulles récidivantes et érosions Cicatrices *parfois PB-like
46
Description Brunsting-Perry (2)
*Variante PMM* Atteinte tête et cou alopécie cicatricielle Atteinte minime ou aucune atteinte muqueuse
47
Histologie PMM
*Similaire à PB* **Bulle sous-épithéliale** (ou sous-épidermique) Pas d'acantholyse Clivage dans lamina lucida (comme PB) **Infiltrat inflammatoire mixte** Prédominance de neutrophiles *Lésions plus vieilles* Éosinophiles présents (moins qu'en PB) Cicatrice (derme superficiel) **Oral** Présence de plasmocytes (NS) **Conjonctif** Cellules inflammatoires mixtes (mononucléées, mastocytes) Tissu de granulation dans la sous-muqueuse *Cicatrices* Lamina densa discontinue, épaissie focalement ou dupliquée
48
IFD PMM
**Membrane basale** (80-95%) Dépôts linéaires continus et fins IgG +/- C3 (IgA) IgG4 et IgG1 > autres IgG rarement IgA et IgM linéaires **Salt-split** Patron combiné avec dépôts plafond et plancher Parfois seulement un des deux n-serrated (pemphigoïdes) *positivité plus grande si biopsie périlésionnelle muqueuse (50-90%) vs peau (20-50%)
49
IFI PMM
*Détection d'auto-anticorps anti-membrane basale cutanée chez 20-30%* IgG > IgA, IgE > IgM Faible titre *sensibilité augmentée avec substrat muqueuse ou peau salt-split *salt-split général toit épiderme mais laminine 332 plancher dermique
50
Médication associée à pseudopemphigoïde oculaire (4)
**Préparations ophtalmologiques** Pilocarpine Idoxuridine Guanethidine BB
51
Complications PMM (5)
Altération de la vision cécité Perte de poids dysphagie Problèmes respiratoires Difficultés sexuelles Décès atteinte laryngée, trachéale ou oesophagienne sévère
52
Traitement PMM (5+)
**Maladie orale légère** (hygiène buccale pour tous) CS topiques puissants (ou tacrolimus) rince-bouche gel CS IL Doxycyline +/- niacinamide + dapsone 50 mg die et/ou sulfapyridine + CS PO 0.5 mg/kg/jour en sevrage **Maladie orale sévère SANS atteinte conjonctivale, VRS, oesophagienne** CS topiques puissants (ou tacrolimus) CS PO 0.5 mg/kg/jour en sevrage Dapsone (50-150 mg par jour) et/ou sulfapyridine Doxycycline +/- niacinamide 1.5 g/jour + MMF 35-40 mg/kg/jour / AZA 1-3 mg/kg/jour / MTX 15 mg semaine + rituximab 2 doses 1 g espacées 2 semaines ou IVIg 2 g/kg sur 2-5 jours q mois si sévérité augmente **Atteinte conjonctivale, VRS ou oesophage** Rituximab 2 doses 1 g espacées 2 semaines CS PO en sevrage (0.5-1 mg/kg/jour) Dapsone au moins ad arrêt CS + IVIg si cicatrices progressives + MMF 35-40 mg/kg/jour / AZA 1-3 mg/kg/jour / MTX 15 mg semaine *Si réfractaire* CYC IV ou PO (3e ligne) 1-2 mg/kg par jour TNFi (PMM oculaire) adalimumab 40 mg q 2 semaines Rituximab à répéter lorsque CD20 N *CS PO fonctionne mieux peau > muqueuses *chirurgie pour atteintes spécifiques trachéostomie
53
Chirurgies PMM (3+)
Dilatation pour strictures oesophagiennes Trachéostomie pour atteinte trachéale Chirurgie en cas de cicatrices sévères après contrôle maladie optimal ophtalomologie : greffes cornéennes, allogreffes limbiques, greffe de membrane amniotique, tarsorraphie
54
Épidémiologie EBA
Rare Acquis chez adulte > enfants **HLA** (allèles classe 2) *Caucasiens et afro-américaine* HLA-DRB1 1501 HLA-DR5 *Coréens* DRB1 13
55
Auto-anticorps EBA
Collagène 7 (domaine NC1 > autres) *composant majeur des fibrilles d'ancrage de la jonction dermo-épidermique lamina densa sublamina densa *comme EBD
56
Description EBA mécanobulleuse
*Représente 38% des EBA* *Atteinte muqueuse possible dans tous sous-types d'EBA* **Peau non inflammatoire** Zones propices aux traumatismes genoux coudes dos des mains et des pieds cuir chevelu (20%) muqueuse orale (50%) Bulles acrales Cicatrices atrophiques Milia Dyspigmentation Parfois mutilante comme EB mitten deformity des doigts webbing des doigts ou orteils adjacents (pseudosyndactylie) dystrophie unguéale
57
Description EBA inflammatoire
*Atteinte muqueuse possible dans tous sous-types d'EBA* **PB-like** Vésicules et bulles prurigineuses base érythémateuse Distribution étendue tout site cutané muqueuse buccale (50%) Pas de milia ni cicatrice atrophique **Brunsting-Perry PMM-like** (rare) **PMM-like** (rare) Atteinte oculaire possible **DIgAL-like** (rare)
58
Variantes EBA (4)
**Non inflammatoire** (38%) Mécanobulleuse (similaire à EBD) **Inflammatoire** (55%) PB-like Brunsting-Perry PMM-like PMM-like DIgAL-like **Mixte** (7%) *atteinte muqueuse possible dans tous sous-types d'EBA
59
Associations EBA (6)
MII (Crohn) (#1) > Myélome LED PAR Thyroïdite Diabète mellitus
60
Histologie EBA
**Bulle sous-épidermique** Sublamina densa, parfois lamina lucida Pas d'acantholyse Infiltrat inflammatoire variable dans le derme neutrophiles > éosinophiles, lymphocytes minime dans la forme mécanobulleuse non inflammatoire (pauci-immune)
61
IFD EBA
**Membrane basale** Dépôts linéaires continus et larges IgG > C3, IgA, IgM, fibrinogène **Salt-split** Versant dermique (plancher) u-serrated (seul)
62
IFI EBA
Auto-anticorps IgG détectables chez 50% (IgA rapportés) Peau salt-split : versant dermique
63
Spécificité ELISA collagène 7 pour EBA
Spécificité > 96% NC1 seul ou NC1 + NC2 *pas significativement plus sensible que IFI sur salt split *taux corrèle avec sévérité EBA
64
DDx clinique EBA (7)
EBD PB PMM PCT Pseudoporphyrie Variantes rares de porphyrie porphyrie variegata LE bulleux transitoire, plus étendu
65
Traitement EBA (5+)
*Plus réfractaire au traitement que PB* **PB-like** CS systémiques (#1) Immunosuppresseurs AZA MTX MMF CYC Rituximab *Légères* Colchicine (forme légère) Dapsone, sulfapyridine, SSZ Minocycline (Or) *Sévères* CSA IVIg Photochimiothérapie extracorporelle **Pédiatrie** Combinaison dapsone et prednisone
66
Histologie LP pemphigoïdes (4)
**LP** Inflammation lichénoïde avec dermite d'interface lymphocytaire Saw-toothing of rete ridges Hypergranulose **Bulles sous-épidermiques** Éosinophiles
67
IFD LP pemphigoïdes
**Membrane basale** Dépôts linéaires IgG C3
68
Auto-anticorps pemphigoïde gestationis
BPAG2 (BP180, collagène 17)
69
Auto-anticorps LE bulleux
Collagène 7
70
Auto-anticorps DIgAL (2)
LAD-1 LABD97
71
Auto-anticorps DH
Transglutaminase épidermique (TG3)
72
Distinction sites biopsie pour IFD selon la bullose
**DH** 2 cm de la bulle **Autres** (incluant DIgAL) 1 cm de la bulle
73
Faux négatifs IFD pour bulloses auto-immunes
Trop loin d'une bulle Trop loin d'une zone érythémateuse
74
Technique salt-split
Peau humaine incubée avec 1M NaCl x 48-72h
75
Description pemphigoïde gestationis
**2e ou 3e trimestre** > post-partum multiparité AP pemphigoïde gestationis (épisodes de plus en plus sévères) Apparition soudaine de plaques urticariennes prurigineuses, douloureuses Bulles tendues Abdomen souvent **atteinte ombilic** Généralisation subséquente épargne muqueuses **Risque fœtal** SGA et prématurité Résolution après accouchement dans la plupart des cas
76
Épidémiologie pemphigoïde gestationis (4)
2e ou 3e trimestre > post-partum Multiparité AP pemphigoïde gestationis (épisodes de plus en plus sévères) COC Mole hydatiforme Choriocarcinome **HLA** (classe 2) HLA-DR3 HLA-DR4
77
Histologie pemphigoïde gestationis
**Bulle sous-épidermique** Riche en éosinophiles **IFD** Dépôts linéaires le long de la membrane basale C3 parfois avec IgG en +
78
Apparition LP pemphigoïdes
40-50 ans Apparition des bulles en moyenne 8.3 mois après lésions lichénoïdes *distinction LP bulleux où bulles limitées à lésions LP
79
Description LP pemphigoïdes
*Chevauchement LP et PB* **Bulles tendues** Surajoutées à lésions lichénoïdes et Peau saine Parfois atteinte orale (36%) *distinction LP bulleux où bulles limitées à lésions LP
80
Associations PMM anti-laminine 332 (4)
**Cancers** Adénocarcinome du colon Adénocarcinome du poumons Adénocarcinome de l’estomac Adénocarcinome du sein
81
Description LE bulleux
*Affecte < 1% LED, surtout jeunes femmes* Éruption d'apparition rapide de vésicules et bulles tendues guérison avec dyspigmentation pas limité à sites photoexposés Atteinte muqueuse classique vermillon lèvre inférieure **LED** Précède habituellement LE bulleux LE bulleux indépendant des poussées de LED 70% ont manifestations extra-cutanées LED cytopénies (45%) néphrite lupique (40%) arthralgies et arthrite (39%) neuropsychiatrique (7%)
82
Histologie LE bulleux
**Bulle sous-épidermique** Riche en neutrophiles **LE cutané** (occasionnellement) Dermatite d'interface vacuolaire Inflammation lymphocytaire périvasculaire et périfolliculaire Dépôt de mucine **IFD** Dépôts linéaires ou granulaires Membrane basale IgG +/- IgM, IgA, C3 salt-split versant dermique u-serrated
83
IFD LE bulleux
**Membrane basale** Dépôts linéaires ou granuleux IgG +/- IgM, IgA, C3
84
Patron serrated (2)
**u-serrated** EBA LE bulleux **n-serrated** (pemphigoïdes) PB PMM
85
Traitement LE bulleux
Dapsone (#1) Rituximab HCQ MTX MMF CSA AZA Anakinra *CS PO généralement non efficaces
86
Traitement pemphigoïde anti-p200
*Traitements pour PB standard peuvent être tentés* **Maladie légère** CS topique **Maladie sévère** CS PO avec ou sans dapsone Doxycycline AZA CSA (Colchicine, IVIg, immunoadsorption, ustekinumab)