Sweet Flashcards

(12 cards)

1
Q

Description Sweet

A

Moyenne 30-60 ans
F >H

Prodrome IVRS ou SAG
Symptômes constitutionnels
fièvre (40-80%), parfois intermittente
malaise

Tête, cou, MS
Papules ou plaques érythémateuses
croissance ou coalescence mamelonnées
parfois bulleuses ou pustuleuses
parfois targetoïde (centre jaunâtre)

Résolution 5-12 semaines
Récidives 30%

Associations
Infections (25%)
Cancers (15-30%)
hématologique : LMA
organe solide
MII
Maladies auto-immunes
LED
Rx (10%)
Grossesse

How well did you know this?
1
Not at all
2
3
4
5
Perfectly
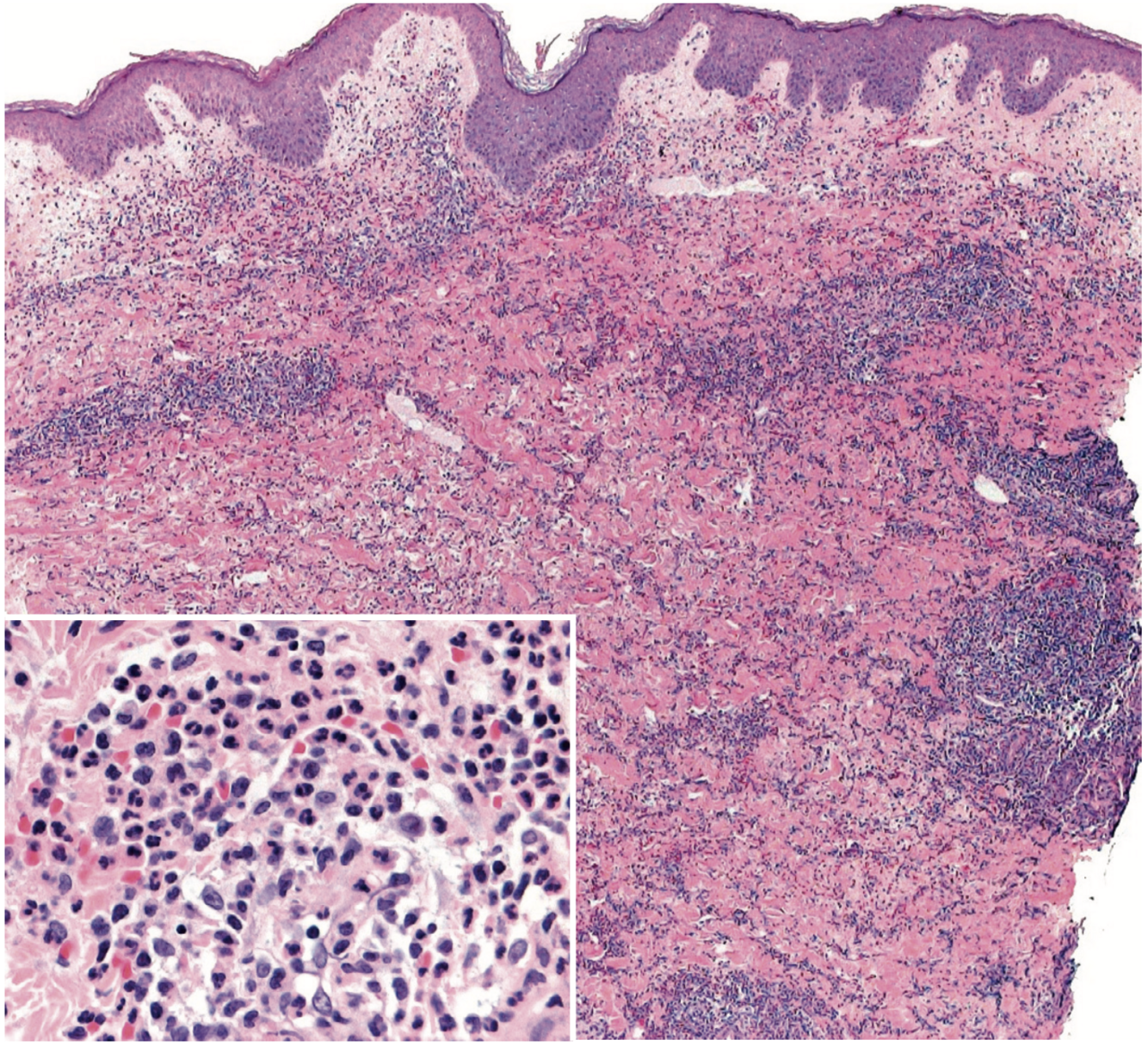
2
Q

Histologie Sweet

A

Infiltrat neutrophilique dense
nodulaire
périvasculaire
parfois extension SC (panniculite septale > lobulaire)
Oedème
Parfois bulles ou pustules sous-cornéennes

Leucocytoclasie sans vasculite (ou minime)
oedème endothélial
pas de nécrose fibrinoïde

Variantes
Hystiocytoïde
infiltrat dermique, parfois SC, de cellules myéloïdes immatures histiocytes-like
DDx leucémie cutis
Lymphocytaire
association avec SMD
Éosinophilique

How well did you know this?
1
Not at all
2
3
4
5
Perfectly
3
Q

Classification des dermatoses neutrophiliques (3)

A

Épidermique
Psoriasis pustuleux
AGEP
Keratoderma blennorrhagicum
Toxidermies pustuleuses
Sneddon-Wilkinson
Pemphigus IgA
dermatose pustuleuse sous-cornéenne
dermatose neutrophilique à IgA
Pustulose amicrobienne des plis
Acropustulose infantile
Pustulose néonatale transitoire
Génodermatoses
DIRA
DITRA
ADAM17 deficiency
CARD14-mediated pustular psoriasis

Dermique
Pas de vasculite
Sweet
PG
Behçet
Bowel-associated dermatosis-arthritis syndrome (BADAS)

MII
Hidradénite eccrine neutrophilique (HEN)
Dermatite rhumatoïde neutrophilique
Urticaire neutrophilique
Still
Schnitzler
Erythema marginatum
Syndromes de fièvre périodique
Génodermatoses
PAPA
Majeed
CANDLE

Bulloses
DH
DIgAL
LE bulleux
EBA inflammatoire

Dermatose neutrophilique du dos des mains (parfois vasculite)

Vasculite
CSVV
vasculite urticarienne
EED
Behçet
Vasculite des moyens vaisseaux
PAN
Behçet

How well did you know this?
1
Not at all
2
3
4
5
Perfectly
4
Q

Associations avec Sweet (6)

A

Infections (25%)
Virus
IVRS
CMV
HBV
HCV
VIH
Bactéries
Yersinia
streptocoques
Mycobactéries
atypiques
vaccin BCG
M. tuberculosis
M. leprae
Champignons
dimorphiques
(dont sporotrichose et coccidiomycose)

Cancers (15-30%)
Hématologique (10-20%)
LMA
LMC
LLC
lymphome Hodgkin
LNH
SMD
Cancer d’organes solides

Médication (10%)
ATB
minocycline
TMP-SMX
Antihypertenseurs
furosemide
hydralazine
Antinéoplasiques
ipilimumab
pembrolizumab
inhibiteurs FLT3
vemurafenib
Colony stimulating factors
G-CSF
Contraceptifs
Immunosuppresseurs
AZA
AINS
Rétinoïdes
ATRA
Bortezomid
Lenalidomide

Maladies GI
MII : Crohn, CU

Maladies auto-immunes
Connectivites
LED
Sjögren
PAR
Thyroïdite auto-immune
Sarcoïdose
Behçet

Grossesse

How well did you know this?
1
Not at all
2
3
4
5
Perfectly
5
Q

Variantes cliniques de Sweet (7)

A

Bulleux
Cellulite géante
Nécrosant
Pustuleux
EM-like
EN-like / sous-cutané
Dos des mains

How well did you know this?
1
Not at all
2
3
4
5
Perfectly
6
Q

Association Sweet avec lésions orales

A

Troubles hématologiques

Morphologie
Pseudopustuleux initialement
puis ulcération
aspect aphteux

How well did you know this?
1
Not at all
2
3
4
5
Perfectly
7
Q

Médicaments associés à Sweet (10+)

A

ATB
minocycline
TMP-SMX

Antihypertenseurs
furosemide
hydralazine

Antinéoplasiques
ipilimumab
pembrolizumab
inhibiteurs FLT3
vemurafenib

Colony stimulating factors
G-CSF

Contraceptifs

Immunosuppresseurs
AZA

AINS

Rétinoïdes
ATRA

Bortezomid
Lenalidomide

How well did you know this?
1
Not at all
2
3
4
5
Perfectly
8
Q

Manifestations systémiques de Sweet (13+)

A

Fièvre
Leucocytose

Arthralgies
Arthrite
genoux et poignets
asymétrique, non érosive, stérile
Myalgies
Oculaires
conjonctivite
épisclérite
nodules limbaux
iridocyclite

Alvéolite neutrophilique
toux, dyspnée et pleurésie
infiltrats interstitiels, nodules et effusions pleurales
Ostéomyélite stérile multifocale
sous-type de SAPHO
Atteinte rénale
hématurie, protéinurie, IR, IRA

Autres cf tableau

How well did you know this?
1
Not at all
2
3
4
5
Perfectly
9
Q

Critères diagnostics Sweet (6)

A

2 critères majeurs et 2 critères mineurs sont requis pour le diagnostic

Majeurs
Début abrupt de lésions cutanées typiques
Histologie compatible avec Sweet

Mineurs
Apparition précédée par condition associée
infection ou vaccination
cancer ou maladie inflammatoire
exposition médicamenteuse
grossesse
Présence de fièvre ou symptômes constitutionnels
Leucocytose
Excellente réponse aux CS systémiques

(Cutis, 1986)

How well did you know this?
1
Not at all
2
3
4
5
Perfectly
10
Q

DDx clinique Sweet

A

Inflammatoire
PG bulleux
Dermatose neutrophilique du dos des mains
Hidradénite eccrine neutrophilique
Dermatose neutrophilique rhumatoïde
Autres dermatoses neutrophiliques

Urticaire neutrophilique
Maladies auto-inflammatoires
Syndromes de fièvres périodiques

EM

Vasculite urticarienne
CSVV
EED

Granulomatose avec polyangéite (Wegener)
Behçet
BADAS

Panniculites (incluant EN)
Halogénodermie (iododermie ou bromodermie)
Wells
Réaction exagérée aux piqûres d’arthropodes

Connectivites auto-immunes
LE aigu, subaigu, tumide
LE néonatal

Maladies granulomateuses
granulome actinique
sarcoïdose
GA inflammatoire
dermatite granulomateuse interstitielle

Infectieux
Cellulite, pyoderma, furonculose
Vasculite septique
Érythème migrans (incluant disséminé)
Cryptococcose et infections fongiques dimorphiques
Infections à mycobactériques (typiques et atypiques)
Leishmaniose

Néoplasique
Lymphomes (B et T, incluant MF)
Leucémie cutis
Carcinome métastatique

How well did you know this?
1
Not at all
2
3
4
5
Perfectly
11
Q

Traitement Sweet (10+)

A

Traitement de la cause sous-jacente lorsque possible

Première ligne
Prednisone 0.5-1 mg/kg/jour
x 2-6 semaines (ad 2-3 mois)
résolution rapide de l’atteinte cutanée et extra-cutanée
Si peu nombreuses et localisées, considérer topique ou IL

Alternatives
Iodure de potassium (SSKI)
900 mg/jour
Dapsone
100-200 mg/jour
Colchicine
1.5 mg/jour

Autres
AINS (indométhacine, NPX, sulindac)
CSA
Thalidomide
Lenalidomide
Anakinra
MTX
Rituximab
(TNFi mais peuvent causer Sweet)

How well did you know this?
1
Not at all
2
3
4
5
Perfectly
12
Q

Dermatoses neutrophiliques associées avec cancers hématologiques (3)

A

Sweet
PG bulleux
Hidradénite eccrine neutrophilique

How well did you know this?
1
Not at all
2
3
4
5
Perfectly