VPH Flashcards

(124 cards)

1
Q

Transmission VPH

A

Cible kératinocytes basaux
Abrasion mineure, macération
Contact peau à peau
Contact indirect via surfaces contaminées et objets
piscine
gymnase

*résistance à chaleur (absence d’enveloppe virale) = présent dans fumée laser

How well did you know this?
1
Not at all
2
3
4
5
Perfectly
2
Q

Évolution verrues chez non immunosupprimés

A

Régression spontanée en 1-2 ans

How well did you know this?
1
Not at all
2
3
4
5
Perfectly
3
Q

ITS la plus fréquente

A

VPH
Prévalence 40% 19-59 ans avant vaccination
ad 75% HARSAH ont infection anale

How well did you know this?
1
Not at all
2
3
4
5
Perfectly
4
Q

Cycle de vie VPH

A

Épithélium squameux requis

Cellules basales épithéliales
Abrasion ou traumatisme à l’épithélium
Exposition des cellules basales
Entrée du virus dans les cellules basales en prolifération

Liaison avec protéine majeure de la capside L1

Réservoir dans le noyau des cellules basales
Génome ADN circulaire produit faible nombre de copies d’ADN viral de manière autonome

Infection
Expression E1 et E2 (rôle dans transcription d’autres gènes viraux)
Requiert machinerie cellulaire pour transcription et réplication de l’ADN viral
E5, E6 et E7 empêchent arrêt du cycle cellulaire épidermique après couche couche basale
amplification du nombre de copies du génome VPH

How well did you know this?
1
Not at all
2
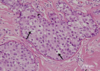
3
4
5
Perfectly
5
Q

Protéines oncogènes VPH

A

E6 et E7

E6
Dégradation p53
p53 normalement arrête cycle cellulaire à G1 ou induit apoptose

(E6 active aussi télomérase)

E7
Lie RB non complètement phosphorylé
RB incomplètement phosphorylé normalement lie E2F et l’inhibe
E2F induit expression de gènes requis pour réplication de l’ADN

(E7 lie aussi histone deacetylase)
(p16 augmente en réponse en tentant de garder RB underphosphorylé)

How well did you know this?
1
Not at all
2
3
4
5
Perfectly
6
Q

Souches VPH les plus oncogènes (2)

A

16
18

How well did you know this?
1
Not at all
2
3
4
5
Perfectly
7
Q

Facteurs associés à activation VPH (3+)

A

UV
Immunosuppression
Génétique de l’hôte
épidermodysplasie verruciforme (EV)
immunodéficiences (cellulaires)

How well did you know this?
1
Not at all
2
3
4
5
Perfectly
8
Q

Présentations du VPH (5)

A

Verrues (5)
Verrues communes (vulgaires)
Verrues palmaires et plantaires
Verrues mosaïques
Verrues planes
Verrues de boucher
(EV, WHIM, WILD, DOCK8, GATA2, lymphopénie CD4+)

Muqueuse (7)
Néoplasies intra-épithéliales
condylome acuminé
papulose bowenoïde
érythroplasie de Queyrat
CSC
Buschke-Löwenstein
Hyperplasie épithéliale focale (Heck)
Papillomatose orale floride
Papillomatose respiratoire récurrente

How well did you know this?
1
Not at all
2
3
4
5
Perfectly
9
Q

Sous-type de VPH impliqué dans épidermodysplasie verruciforme (EV)

A

Beta (β)
5
8
>
9, 12, 14, 15, 17
19-25
36-38
47, 49

How well did you know this?
1
Not at all
2
3
4
5
Perfectly
10
Q

Souches VPH verrues vulgaires (4+)

A

1
2
27
57

> 429
41
60
63
65

How well did you know this?
1
Not at all
2
3
4
5
Perfectly
11
Q

Souches VPH verrues planes

A

3
10

> 28
29

How well did you know this?
1
Not at all
2
3
4
5
Perfectly
12
Q

Souches VPH verrues du boucher (1+)

A

7

> 1, 2, 3, 4
10
28

How well did you know this?
1
Not at all
2
3
4
5
Perfectly
13
Q

Souches VPH CSC digital (1+)

A

16

> 26
31
33, 34, 35
51, 52
56
73

How well did you know this?
1
Not at all
2
3
4
5
Perfectly
14
Q

Souches VPH épidermodysplasie verruciforme (EV) (3+)

A

3
5 (beta)
8 (beta)

> 9 (beta)
12 (beta)
14 (beta)
15 (beta)
17 (beta)
19-25 (beta)
36-38 (beta)
47 (beta)
49 (beta)
50
(autres)

How well did you know this?
1
Not at all
2
3
4
5
Perfectly
15
Q

Souches VPH CSC avec épidermodysplasie verruciforme (EV) (2+)

A

5 (beta)
8 (beta)

> 14 (beta)
17 (beta)
20 (beta)
47 (beta)

How well did you know this?
1
Not at all
2
3
4
5
Perfectly
16
Q

Souches VPH condylomes acuminés (2+)

A

6
11

> 40
42, 43, 44
54
61
70
72
81

How well did you know this?
1
Not at all
2
3
4
5
Perfectly
17
Q

Souches VPH néoplasies intraépithéliales de haut grade (2+)

A

16

> 18
26
31
33
35
39
45
51, 52, 53
56
58, 59
62
66
68
73
82

How well did you know this?
1
Not at all
2
3
4
5
Perfectly
18
Q

Souches VPH Buschke-Löwenstein (2)

A

6
11

How well did you know this?
1
Not at all
2
3
4
5
Perfectly
19
Q

Souches VPH papillomatose respiratoire récurrente (2)

A

6
11

How well did you know this?
1
Not at all
2
3
4
5
Perfectly
20
Q

Souches VPH papillomes conjonctivaux (2)

A

6
11

How well did you know this?
1
Not at all
2
3
4
5
Perfectly
21
Q

Souches VPH hyperplaise épithéliale focale (Heck) (2)

A

13
32

How well did you know this?
1
Not at all
2
3
4
5
Perfectly
22
Q

Vaccins VPH (3)

A

Calendrier de vaccination (3 doses requises si non immunosuppression)
9-14 ans : 2 (0 et 6-12 mois) ou 3 doses (0, 2 et 6 mois)
15-45 ans : 3 doses (0, 2 et 6 mois)

Gardasil 9
VPH 16 et 18
VPH 6 et 11
VPH 31, 33, 45, 52 et 58

Gardasil 4
VPH 16 et 18
VPH 6 et 11

Cervarix
VPH 16 et 18

How well did you know this?
1
Not at all
2
3
4
5
Perfectly
23
Q

Vaccins nonavalent VPH (9)

A

Gardasil 9
VPH 16 et 18
VPH 6 et 11
VPH 31, 33, 45, 52 et 58

How well did you know this?
1
Not at all
2
3
4
5
Perfectly
24
Q

Présentations de verrues (5)

A

Verrues communes (vulgaires)
Verrues palmaires et plantaires
Verrues mosaïques
Verrues planes
Verrues de boucher

How well did you know this?
1
Not at all
2
3
4
5
Perfectly
25
Particularité des verrues périunguéales
Atteinte du repli unguéal proximal peut détruire la matrice (onychodystrophie)
26
Structures représentées
**Points noirs** (verrues) Hémorragie dans la couche cornée
27
Termes descriptifs pour cette lésion (2)
**Myrmécienne** (verrue) Papules endophytiques avec dépression centrale et paroi avec pente douce **Mosaïque** (verrue) Coalescence de verrues plantaires en large plaque
28
Âge le plus fréquent pour verrues plantaires
6-10 ans
29
Souches VPH verrues d'inclusion plantaire (4)
4 60 63 65 *kystes plantaires VPH+
30
Verrues de boucher
*Manipulation professionnelle de viande ou poisson* **VPH 7** Dos des mains ou doigts, paumes, périunguéal Papules verruqueuses extensives ou en chou-fleur
31
Syndromes génétiques associés à verrues multiples (6)
EV WHIM WILD Déficit en DOCK8 Déficit en GATA2 Lymphopénie CD4+
32
Pathogenèse EV
*Épidermodysplasie verruciforme* AR (le plus souvent) Mutations *TMC6* (*EVER1*) et *TMC8* (*EVER2*) Encodent protéines transmembranaires RE qui interagissent avec transport du **zinc** down régulation des facteurs de transcription associés au zinc E5 VPH inhibe complexe ZnT1-TMC6/8 pour infection virale pas de E5 dans VPH β β deviennent pathogènes avec EV!
33
Mutations EV
*Épidermodysplasie verruciforme* AR (le plus souvent) Mutations *TMC6* (*EVER1*) et *TMC8* (*EVER2*) Encodent protéines transmembranaires RE qui interagissent avec transport du zinc down régulation des facteurs de transcription associés au zinc
34
Description EV
AR Mutation *TMC6* (*EVER1*) et *TMC8* (*EVER2*) **Susceptibilité infections cutanées VPH β** Apparition en enfance **Lésions VPH polymorphes et étendues** Papules similaires à verrues planes Tinea versicolor-like **Kératoses actiniques** après 30 ans *Front, oreilles, mains* (UVR) 50% transformation lente en CSC invasif à faible potentiel métastatique
35
Maladies avec éruption EV-like (5+)
**Immunosuppression** Greffés SIDA Lymphome **Génétique** EV WHIM WILD Déficit en DOCK8 Déficit en GATA2 Lymphopénie CD4+
36
WHIM
AD Mutation *CXCR4* encode chemokine CXC receptor 4 altère trafic des leucocytes **W** : warts VPH+ verrues cutanées et génitales **H** : hypogammaglobulinémie **I** : infections bactériennes récurrentes **M** : myélokathexie causant neutropénie rétention de neutrophiles matures dans MO
37
Mutation WHIM
AD Mutation *CXCR4* encode chemokine CXC receptor 4 *altère trafic des leucocytes*
38
WILD
*Forme potentiellement haploinsuffisance GATA2* **W** : warts VPH+ **I** : immunodéficience cellulaire **L** : lymphoedème primaire **D** : dysplasie anogénitale multifocale
39
Déficit en DOCK8
*Syndrome hyperIgE AR* AR Mutation *DOCK8* Encode DOCK8 qui permet survie de cellules immunitaires **IgE élevés** **Verrues** **Atopie** Eczéma Asthme Allergies alimentaires environnementales **Infections**
40
Déficit en GATA2
*MonoMAC* AD Mutation *GATA2* Encodes facteur de transcription hématopoïétique Apparition enfance tardive ou âge adulte avec infections **Verrues** cutanées et génitales **Cytopénies** (monocytes) Risque accru SMD, LMA, LMMC **Poumons** Protéinose alvéolaire Déficits de ventilation et diffusion **Infections** VPH EBV Fongique **Autres** Lymphoedème (minorité) Surdité neurosensorielle Dysplasie génitale **Traitement** Contrôle des infections Gestion de la maladie pulmonaire GMO
41
Stratégie pour visualiser infections VPH muqueuse subcliniques
**Acide acétique 5%** Appliquer 3-5 minutes Zones blanches = lésions subcliniques *pas seulement spécifique pour VPH infections et inflammation (*Candida*, psoriasis, LP, dermatite eczémateuse)
42
Site rarement atteint par condylomes
Canal anal **après la ligne dentée**
43
Description papulose bowenoïde
OGE, périnée, périanal fourchette vulvaire, périnée, plis inguinaux (F) verge du pénis (H) **HSIL** (CSCis) Rarement invasif **VPH haut risque** 16 et 18 Papules brun-rose ad plaques papillomateuses multifocales polymorphes **Histologie** (F) HSIL mais pas indication de vulvectomie (H) considéré haut grade (comme tous les PIN) *plus jeunes, AP dysplasie, tabagisme
44
Description érythroplasie de Queyrat
Peau glabre du pénis, de la vulve ou de la région périanale Plaque veloutée bien délimitée **HSIL** (CSCis) VPH haut risque
45
Terminologie VIN
**LSIL** *VPH faiblement oncogène* Condylome (anc. VIN1) **HSIL** *VPH hautement oncogène* VIN usuel (anc. VIN2, VIN3) **VIN différencié** (dVIN) *Pas VPH*
46
Variantes CSCis anogénital (3)
**Bowen** Gland ou petites lèvres Plaque leucoplasique ou érythroplasique bien délimitée **Papulose bowenoïde** Jeune âge Auto-résolution Rarement invasif VPH 16, 18 Papules rouges-brun distinctes face interne des cuisses CSCis dans verrues génitales **Érythroplasie de Queyrat** H Papules érythémateuses brillantes au gland et prépuce
47
Histologie LSIL
Atypies cytologiques des kératinocytes supérieurs Activité mitotique accrue dans l'épithélium basal ou parabasal Maturation squameuse dans 2/3 supérieur de l'épithélium
48
Histologie HSIL
Perte de la maturation du tiers moyen (VIN 2) et du tiers supérieur ad l'épaisseur totale (VIN 3) de l'épithélium pavimenteux Subdivision en fonction de leurs caractéristiques morphologiques et histologiques **Verruqueux** Surface ondulée, aspect condylomateux Prolifération cellulaire marqée Nombreuses mitoses et maturation anormale **Basaloïdes** Épithélium épaissi, surface lisse Cellules atypiques, immatures, de type parabasal Nombreuses mitoses et noyaux hyperchromatiques volumineux
49
IHC HSIL (3)
**p16+** Noyaux et cytoplasme positif 1/3 inférieur épithélium **p53+** Coloration hétérogène d'intensité variable (couches épithéliales inférieures) **Ki67** Nombreux noyaux positifs dans portion épiderme moyen et supérieur
50
Traitement HSIL
**Exérèse chirurgicale** Si haut risque ou maladie invasive lésion surélevée, ulcérée ou bords irréguliers AP HSIL, dVIN, carcinome vulvaire, immunosuppression ou LS **Ablation** *Laser CO2, argon, aspiration chirurgicale par US* Traitement intial si multifocal ou urètre, anus, clitoris ou entrée vagin *Récidive* Privilégier imiquimod (ou 5-FU) Colposcopie minutieuse pour éliminer maladie invasive avant de commencer le traitement
51
Traitement CSC vulvaire
Consultation gynéco-oncologie Vulvectomie radicale lymphadénectomie associée Chimiothérapie Radiothérapie
52
Particularité pronostic CSC vulvaire VPH+
**Meilleur pronostic que VPH-** *Survie sans progression* VPH+ 65% VPH- 16% *Survie globale* VPH+ 65% VPH- 22% *Récidives* VPH+ 19% VPH- 75%
53
Classification PIN
*Tous considéré de haut grade* **Indifférencié VPH+** *PIN verruqueux* *PIN basaloïde* **Différencié VPH-** *Bowen (CSCis tout site) *érythroplasie de Queyrat (PIN unifocal gland) *papulose bowenoïde (PIN multifocal verge pénis)
54
Histologie PIN
**Différencié VPH-** *Désordre architectural tiers inférieur épithélium* Épithélium pavimenteux hyperplasique, acanthosique Formation de perles de kératine avec ponts intercellulaires proéminents Cellules atypiques évidentes impliquant 2-3 couches épithéliales basales Kératinocytes basaux désordonnés et pléomorphes **Indifférencié VPH+** Désordre de toute la hauteur de l'épithélium p16+ *Basaloïde* (#1) Population monotone de cellules basaloïdes anaplasiques *Verruqueux* Maturation malpighienne Pointes micropapillaires Koïlocytose pléomorphe atypique
55
IHC PIN
**Indifférencié VPH+** p16 (VPH)
56
Traitement PIN
*PIN ou CSCis* **Options** Topiques 5-FU 5% imiquimod 5% WLE > Laser CO2, argon, Nd:YAG resurfaçage total gland Glansectomie Mohs (cas sélectionnés) **Général** Circoncision Traitement topique (5-FU 6 semaines > imiquimod vu demande exception RAMQ) **Avancé** *Prioriser pour PIN différencié vu risque plus élevé de transformation* Uro-oncologie pour approche chirurgicale
57
Traitements topiques pour CSCis anogénitaux (2)
**5-fluorouracil** (efficacité 40-100%, 20% récidive) Efudex 5% crème application bid x 4-6 semaines **Imiquimod** (efficacité 48-74%, 11% récidive) Aldara 5% application HS 3x semaine x 16 semaines
58
Carcinomes verruqueux (4)
Buschke-Löwenstein Papillomatose orale floride Epithelioma cuniculatum de la plante du pied Papillomatose cutis carcinoides *localement invasifs mais métastases rares *éviter radioTx
59
Description Buschke-Löwenstein
*Carcinome verruqueux* Tumeur anorectale et OGE rare Large masse exophytique en chou-fleur infiltration profonde des tissus sous-jacents formation de fistules et abcès **VPH 6 ou 11** (idem à condylome acuminé) **Histologie** similaire à condylome acuminé Papillomatose Hyperplasie épithéliale irrégulière Pas d'atypies cellulaires
60
Traitement Buschke-Löwenstein
**Pas de radiothérapie** (potentiel de précipiter foyer d'invasion) Exérèse chirurgicale radicale (récidives fréquentes)
61
Histologie carcinome verruqueux vulvaire
*Tumeur de Buschke-Löwenstein* Lésion exophytique avec surface papillomateuse **Condylome acuminé-like** mais hyperplasie épithéliale irrégulière plus évidente Hyperplasie épithéliale marquée et irrégulière sans atypies cellulaires (ou atypies de bas grade) Extension caractéristique vers le bas des crêtes épidermiques bulbeuses Kératinocytes vacuolés (en médaillon) (moins présents)
62
Description verrues orales
**Papillomes** Petites papules et plaques roses ou blanches douces, peu surélevées **Condylomes oraux** (VPH 6 ou 11) Transmission digitale-orale ou génitale-orale
63
Hyperplasie focale épithéliale (Heck)
Enfants amérique du Sud, Groenland, Afrique du Sud (rare caucasiens) **VPH 13 ou 32** Muqueuse gingivale, buccale ou labiale Multiples papules bien délimitées ressemblant à verrues planes ou condylomes
64
Souche VPH la plus associés aux cancers tête et cou
**VPH 16** 25% des cancers tête et cou Majorité des cancers oropharyngés de la base de la langue et des amygdales (Oesophage)
65
Facteurs de risque cancer de l'oesophage
**VPH** Tabac ROH
66
Description papillomatose orale floride
*Carcinome verruqueux* Cavité orale ou sinus nasaux Nombreuses lésions verruqueuses confluentes **VPH 6 et 11** Tabac, rayons X, inflammation chronique
67
Description papillomatose respiratoire récurrente
*Tumeur bénigne #1 du larynx* **VPH 6 et 11** Juvénile ou adulte juvénile transmission verticale avec aspiration pendant accouchement adulte transmission génitale à orale **Papillomes laryngés** Zones de transition entre l'épithélium squameux et cilié (larynx / sous-glottique) rare extension trachée distale, bronches, bronchoalvéoles **Triade** Voix rauque Stridor Détresse respiratoire Transformation maligne (CSC) rapportée **Co-carcinogènes** rayons X, tabagisme, toxines chimiques, chimiothérapie
68
Carcinogènes impliqués dans papillomatose respiratoire récurrente (5)
**VPH 6 et 11** **Co-carcinogènes** Rayons X Tabagisme Toxines chimiques Chimiothérapie
69
Triade papillomatose respiratoire récurrente
Voix rauque Stridor Détresse respiratoire
70
Nom de ce type de cellule
**Koïlocytes** Vacuoles cytoplasiques isolant le noyau de la membrane cytoplasmique
71
Histologie verrues communes
*Architecture* **Papillomatose en clocher d'église** (pente raide) Ortho et parakératose parakératose immédiatement au dessus des « clochers » Petites hémorragies intra-cornéennes Acanthose marquée des crêtes épidermiques Vacuolisation des cellules au-dessus > entre les papilles dermiques Derme papillaire parfois plus vaiscularisé rares thromboses dans les vaisseaux *Cytologie* **Koïlocytes** couche granuleuse (ou immédiatement sous) Hypergranulose Cytoplasme condensé rugueux avec granules kératohyalines de taille et forme variable
72
Histologie verrues plantaires
**Papillomatose en clocher d'église** (pente raide) Ortho et parakératose parakératose immédiatement au dessus des « clochers » Petites hémorragies intra-cornéennes Acanthose marquée des crêtes épidermiques **Portion latérales avec tendance à se pencher vers l'intérieur** (invagination cup-shaped) **Koïlocytes** couche granuleuse (ou immédiatement sous) Hypergranulose Cytoplasme condensé rugueux avec granules kératohyalines de taille et forme variable
73
Histologie verrues planes
Orthokératose en alternance avec parakératose Acanthose Pas ou peu de papillomatose Couche granuleuse épaissie (uniformément) Vacuolisation des cellules des couches granuleuses et épineuses supérieures *bird's eyes* Parfois inflammation précédant régression (T helper) parakératose spongiose exocytose de cellules mononucléées dans l'épiderme nécrose de cellules satellites
74
Histologie EV
**Verrue plane-like** Orthokératose basket-weave Parakératose Acanthose Couche épineuse hyperplasique Cellules altérées de grande taille halo périnucléaire cytoplasme pâle bleu-gris granules kératohyalines de taille et forme variables *Également* Kératoses actiniques Dysplasie kératinocytaire
75
Histologie condylomes acuminés
*Verrues anogénitales* Hyperplasie épidermique Parakératose Koïlocytose Papillomatose (plus arrondie que verrues communes) Vacuolisation cytoplasmique portion profonde couche épineuse Parfois mitoses mitoses aberrantes possibles si traitement préalable avec podophyllotoxine *épithélium supérieur muqueux a souvent un certain degré de vacuolisation cytoplasmique spécifique pour condylomes seulement si présent dans portion profonde couche épineuse
76
Particularité histologique des condylomes acuminés traités par podophyllotoxine
**Présence de mitoses aberrantes** Podophyllotoxine interfère avec formation de microtubules dans les cellules en mitose *attention peut faire poser Dx erroné de CSC
77
Distinction histologie condylome acuminé et tumeur Buschke-Löwenstein (3)
**Buschke-Löwenstein** Hyperplasie épithéliale irrégulière plus évidente Extension marquée vers le bas des crêtes épidermiques bulbeuses Moins de vacuolisation des cellules épidermiques
78
Histologie VIN
**LSIL** Atypies cytologiques des kératinocytes supérieurs Activité mitotique accrue dans l'épithélium basal ou parabasal Maturation squameuse dans 2/3 supérieur de l'épithélium **HSIL** Perte de la maturation du tiers moyen (VIN 2) et du tiers supérieur ad l'épaisseur totale (VIN 3) de l'épithélium pavimenteux Subdivision en fonction de leurs caractéristiques morphologiques et histologiques *Verruqueux* Surface ondulée, aspect condylomateux Prolifération cellulaire marqée Nombreuses mitoses et maturation anormale *Basaloïde* Épithélium épaissi, surface lisse Cellules atypiques, immatures, de type parabasal Nombreuses mitoses et noyaux hyperchromatiques volumineux
79
Cible dans ELISA VPH
*Utilisé pour études épidémiologiques, mais pas en pratique* Anticorps circulants contre L1 (protéine de la capside, pendant réplication virus) *taux sérique faible *intervalle variable entre infection et séroconversion
80
DDx clinique verrues vulgaires (10+)
KS Kératoses actiniques Cornes cutanées KS kératoses actiniques CSC Kératoacanthomes CSCis et CSC Trichilemmomes Naevi Spitz Mélanomes amélatoniques Molluscum contagiosum TB cutanée verruqueuse (tuberculosis verrucosa cutis) Psoriasis LP hypertrophique LE hypertrophique
81
Étiologies corne cutanée (4)
KS Kératose actinique CSC Verrue vulgaire
82
DDx clinique verrues périunguéales (2+)
CSCis CSC Mélanome amélanotique
83
DDx clinique verrues planes (4)
Acrokératose verruciforme (Hopf) Papules de Gottron Lichen nitidus LP
84
DDx clinique verrues plantaires (6)
Cor (pas de point noir, pas de perturbation des dermatoglyphes) KPP ponctuée Porokératose ponctuée Kératoses à l'arsenic Poromes Poromatose eccrine
85
DDx clinique condylomes acuminés (8+)
*Verrues anogénitales* Condyloma lata (syphilis) (plus humides, plus lisses, parfois érodés) Molluscum contagiosum (ombilication) Papules perlées du pénis (circonférentiel autour de la couronne du gland) Papillomatose vestibulaire (introïtus et petites lèvres) Glandes sébacées Kystes épidermoïdes Stéatocystomes Angiokératomes Papulose bowenoïde
86
DDx clinique érythroplasie de Queyrat (2)
Balanite de Zoon LP érosif CSCis (Bowen) Paget extra-mammaire
87
Facteurs diminuant suspicion d'abus d'enfants en présence de condylomes (6)
Âge < 3 ans Localisation relativement à distance de l'anus ou de la vulve Détection de VPH 2 ou autres types cutanés Condylomes chez la mère Absence de signes physiques d'abus Absence de signes d'autres maladies transmises sexuellement
88
DDx clinique verrues orales (5+)
Hyperplasie épithéliale focale (Heck) Leucoplaskie verruqueuse proliférative (VPH-) Papillomatose orale floride (VPH+) Leucoedème White sponge nevus Dyskératose épithéliale héréditaire bénigne Papillomes Cowden Papules protéinose lipoïdique Darier
89
Traitements condylomes acuminés (9)
**Par le patient** Podophyllotoxine solution 0.5% (Condyline) (crème 0.15%) Imiquimod 5% crème Sinécatéchines 10 ou 15% onguent **Par le professionnel** Cryothérapie (LN2) TCA ou bichloroacétic acid (BCA) 80-90% Électrochirurgie Exérèse rasage ou au ciseau, curettage > Laser ablatif (CO2, PDL, Nd:YAG) Exérèse chirurgicale
90
Traitements verrues communes (10+)
**Topique** Préparation d'acide salicylique 5-FU 5% Cantharidine Immunothérapie topique : DPCP, SADBE, DNCB Imiquimod 5% Cidofovir Rétinoïde **IL** 5-FU Bléomycine Cidofovir Immunothérapie IL : antigène *Candida* **Destruction** Cantharidine Cryothérapie Curettage et EDC (exophytique) Laser (CO2, PDL) PDT Hyperthermie locale **Autres** Rétinoïde PO
91
Traitement verrues acceptés en grossesse
Chirurgie Cryothérapie (LN2) TCA Laser
92
Approche traitement condylomes acuminés
**Patient** Podophyllotoxine Imiquimod Sinécatéchines **Professionnel** Cryothérapie TCA 80-90% Exérèse ciseau ou rasage curettage électrochirugie laser excision chirurgicale **Attention** Grossesse Pédiatrie Néoplasies intra-épithéliales Immunosuppression Buschke-Löwenstein
93
Approche traitement verrues communes
**Peu de lésions** Cryothérapie Curettage et EDC (exophytique) Cantharidine **Nombreuses lésions ou résistantes** Cryothérapie Immunothérapie topique : DPCP, SADBE, DNCB IL : antigène *Candida* **Combinaisons** Préparation d'acide salicylique Imiquimod topique 5-FU topique *Autres* Cidofovir topique Rétinoïde PO Cidofovir IL 5-FU IL Bléomycine IL Laser (CO2, PDL) PDT Hyperthermie locale
94
Modalités de traitement destructrices locales pour verrues (5+)
**Verrues génitales** (condylomes acuminés) Cryothérapie (LN2) (1ère ligne) efficacité 78-88% avec multiples traitements récidives 20-40% *sécuritaire en grossesse* 2 cycles congélation recommandés TCA (BCA) *sécuritaire en grossesse* (aucune toxicité systémique) Électrochirurgie Exérèse au ciseau ou par rasage Curettage Laser (CO2, Nd:YAG, PDL) **Verrues communes** Acide salicylique avec acide lactique et collodion (1:1:4) émondage préalable ou préparation à base d'acide salicylique préalable occlusion si possible, gelée de pétrole autour pour protection peau saine efficacité 2/3 (66%) après 3-4 mois Cryothérapie (LN2) efficacité similaire ou supérieure à acide salicylique avec acide lactique Cantharidine Curettage Exérèse au ciseau Laser (CO2, Nd:YAG, PDL)
95
Modalités de traitement destructrices locales pour condylomes acuminés (6)
*Verrues génitales* Cryothérapie (LN2) (1ère ligne) efficacité 78-88% avec multiples traitements récidives 20-40% *sécuritaire en grossesse* 2 cycles congélation recommandés TCA (BCA) *sécuritaire en grossesse* (aucune toxicité systémique) Électrochirurgie Exérèse au ciseau ou par rasage Curettage Laser (CO2, Nd:YAG, PDL)
96
Modalités de traitement destructrices locales pour verrues communes (6)
Acide salicylique avec acide lactique et collodion (1:1:4) émondage préalable ou préparation à base d'acide salicylique préalable occlusion si possible, gelée de pétrole autour pour protection peau saine efficacité 2/3 (66%) après 3-4 mois Cantharidine Cryothérapie (LN2) efficacité similaire ou supérieure à acide salicylique avec acide lactique Curettage Exérèse au ciseau Laser (CO2, Nd:YAG, PDL)
97
Modalités de traitement de verrues produisant des particules virales (2)
Vaporisation laser Électrochirurgie *précautions requises pour en prévenir l'inhalation
98
Modalités de traitement de verrues pouvant générer des verrues en beigne (2)
Cryothérapie (LN2) Cantharidine
99
Modalités de traitement cytotoxiques topiques et intralésionnelles pour verrues (3)
**Verrues génitales** (condylomes acuminés) Podophyllotoxine 5-FU 5% crème **Verrues communes** 5-FU 5% crème sous occlusion (avec ou sans acide salicylique) Bléomycine IL
100
Modalités de traitement topique et intralésionnel cytotoxique pour condylomes acuminés (2)
*Verrues génitales* Podophyllotoxine 5-FU 5% crème
101
Modalités de traitement topique et intralésionnel cytotoxique pour verrues communes (2)
5-FU 5% crème sous occlusion (avec ou sans acide salicylique) Bléomycine IL
102
Modalités de traitement immunomodulatrices topiques pour verrues (2)
**Verrues génitales** (condylomes acuminés) Imiquimod Sinécatéchines **Verrues communes** Imiquimod
103
Proportion de récidive après traitement de condylomes acuminés toutes modalités confondues
25-65% (infection typiquement étendue et multifocale avec lésions subcliniques)
104
Impact du traitement des condylomes acuminés sur la transmission du VPH
Aucun (probable) (infection typiquement étendue et multifocale avec lésions subcliniques)
105
Mécanisme d'action podophyllotoxine pour condylomes acuminés
Podophyllotoxine est le constituant le plus actif de la podophylline extrait de résine d'un arbre *Podophyllum* résine bloque la division cellulaire à la métaphase et cause mort cellulaire **Contre-indiqué en grossesse** Podophylline : toxicité systémique (grande quantité), mort intra-utérine, tératogénécité
106
Doses et posologie podophyllotoxine pour condylomes acuminés
Application avec coton tige Ne pas utiliser plus de 0.5 mL par jour Éviter sur lésions 10+ cm2 (douleur avec nécrose) **Podophyllotoxine 0.5% solution** (Condyline) Bid x 3 jours Répéter q semaine (ad 4) (érythème et érosions) **Efficacité** Ad 84% résolution complète
107
Doses et posologie 5-fluorouracil topique pour condylomes acuminés
*Intra-urétraux* **5-FU 5% crème** *Application par le patient* 2x semaine
108
Doses et posologie 5-fluorouracil topique pour verrues communes
**5-FU 5% crème** avec ou sans acide salicylique (Actikerall a 10% AS) *Application par le patient* Sous occlusion, die
109
Technique 5-fluorouracil IL pour verrues communes
**5-FU 50 mg/mL** IL *Injection par professionnel* (off label) 4 mL de 5-FU et 1 mL de lidocaïne 2% (avec épinéphrine) Injection q semaine x maximum 4 semaines quantité selon la taille de la lésion (ad puffing up) *IL réponse complète (disparition de la lésion) 64.7% (vs 35.3% placebo) *dose moyenne injectée 4 mg = environ 0.1 mL du mélange (?) *q semaines x 6 5-FU IL > LN2
110
Doses et posologie imiquimod pour verrues communes
*Appliquer en faisant pénétrer ad crème invisible et nettoyer 6-10h après* Pour verrues persistantes (incluant immunosuppression) **Imiquimod 5% crème** (Aldara) Application 3x semaine x 8 semaines puis die x 8 semaines puis die avec occlusion x 8 semaines (total 24 semaines) **Efficacité** (à 24 semaines) 36% réponse (vs 7% non traité)
111
Doses et posologie imiquimod pour condylomes acuminés
*Appliquer en faisant pénétrer ad crème invisible et nettoyer 6-10h après* **Imiquimod 5% crème** (Aldara) Application 3x semaine x 16 semaines **Imiquimod 3.75%** (Zyclara) Application die x 8 semaines **Efficacité** Complète 40-50% Partielle quasi-tous les autres Récidive ad 30% à 12 semaines
112
Doses et posologie sinécatéchines pour condylomes acuminés
*Dérivés de catéchines de thé vert* Activité antioydante et stimulation immunitaire (mécanisme incomplètement élucidé) **Sinécatéchines 10% onguent** (Veregen) Application tid x 16 semaines (ou ad résolution) 0.5 cm d'onguent placé sur chaque verrue avec le doigt couvrir la verrue d'une couche mince de l'onguent **Efficacité** 54-57% résolution complète (vs 34-35% placebo) < 10% récidive *90% avec réactions locales au site d'application
113
Doses et posologie TCA pour condylomes acuminés
Nécrose superficielle par précipitation des protéines **TCA 80-90% solution** *Application par professionnel* Aux semaines x 4-6 semaines (ou ad résolution) laisser sécher avant de bouger moins efficace sur lésions épaisses (acide ne pénètre pas) *Technique* Protection de la peau environnante avec gelée de pétrole Application minutieuse à la verrue avec une tige de coton blanchiment de la verrue avec séchage de la solution Ne pas bouger ad séchage de la lésion Neutraliser le produit en excès au besoin (savon ou bicarbonate de sodium)
114
Technique TCA pour condylomes acuminés
**TCA 80-90% solution** *Application par professionnel* Aux semaines x 4-6 semaines (ou ad résolution) laisser sécher avant de bouger moins efficace sur lésions épaisses (acide ne pénètre pas) *Technique* Protection de la peau environnante avec gelée de pétrole Application minutieuse à la verrue avec une tige de coton blanchiment de la verrue avec séchage de la solution Ne pas bouger ad séchage de la lésion Neutraliser le produit en excès au besoin (savon ou bicarbonate de sodium)
115
Agents immunothérapie pour verrues communes (3)
Squaric acid dibutylester (SADBE) Dinitrochlorobenzene (DNCB) Diphenylcyclopropenone (DPCP)
116
Technique DPCP pour verrues
*Diphenylcyclopropenone* (immunothérapie) (moins cher et plus stable que SADBE) **Sensibilisation** DPCP 3% (laver après 24-48h) Zone 4 x 4 cm (zone non affectée monographie) **Application régulière** (1-2 semaines après) 2x semaine Dilutions sériées de DPCP (0.01 à 3%) x ad 10 semaines *Efficacité* (à 8 semaines) 49% réponse complète 18% réponse partielle (88% réponse complète à 6 mois)
117
Technique SADBE pour verrues communes
*Squaric acid dibutylester* (immunothérapie) **Sensibilisation** SADBE 3% (laver après 24-48h) Zone 4 x 4 cm (zone non affectée monographie) **Application régulière** (1-2 semaine après) 2x semaine Dilutions sériées de SADBE (0.03 à 3%) x ad 10 semaines
118
Technique DNCB pour verrues
*Dinitrochlorobenzene* (immunothérapie) (potentiel mutagène) **Sensibilisation** DNCB (laver après 24-48h) **Application régulière** 2x semaine x ad 10 semaines
119
Technique antigène *Candida* IL pour verrues
**Injection intra-dermique** la plus superficielle possible Injection 0.3 mL antigène *Candida* dans la plus grande verrue q 3-4 semaines x 5 injections (ou ad résolution si avant) *Efficacité* 60% réponse (vs 22 placebo et 26 IFN) résolution de multiples verrues en plus de la verrue injectée
120
Technique bléomycine IL pour verrues communes
*Attention très douloureux* Anesthésie locale considérer bloc digital **Formulation** (ordonnance interne intra-hospitalière) 1U/mL Volume maximal total 2 mL **Technique** Injecter maximum 0.3 mL par verrue **Effets secondaires** Douleur Raynaud Ulcère (Dermatose flagellée)
121
Technique cantharidine pour verrues
Cantharidine 0.7% solution **Application par le professionnel** Émondage de la verrue Application ad 1 mm de peau saine autour Occlusion avec ruban adhésif non poreux Répéter prn 1-2 semaines après **Lavage par le patient** 4h après pour verrues (2-6h après possible : plus longtemps = plus forte réaction)
122
Doses et posologie cidofovir topique pour verrues
**Cidofovir 1-3%** dans base onguent, crème ou gel Application die HS sous occlusion (pansement simple)
123
Doses et posologie cidofovir IL pour verrues
**Cidofovir 7.5 mg/mL** (certains 15 mg/mL) Solution 75 mg/mL diluée avec NS 0.9% (1:5) Injections IL 2-10 mL q 2 semaines x 4 Injections IL 0.25-1.5 mL q 4 semaines x 7
124
Traitements oraux pour verrues (3)
Cimétidine 30-40 mg/kg/jour Sulfate de Zinc 10 mg/kg/jour Rétinoïdes oraux 0.5-1 mg/kg/jour