DIgAL Flashcards

(22 cards)

1
Q

Description DIgAL

A

Zones de flexion
tronc inférieur
cuisses
aines
enfants abdomen inférieur ou périnée
Atteinte muqueuse possible
adultes 80%
enfants 64%

Vésicules et bulles sous-épidermiques
crown of jewels
saucisse-like
base érythémateuse ou urticarienne

Étiologie médicamenteuse fréquente chez adulte

Persistance plusieurs années puis rémission spontanée
30-60% rémission
pédiatrie rémission en 2-4 ans

*atteinte oculaire possible (idem à PMM oculaire)
*atteinte trachéobronchique rapportée
*atteinte TEN-like ou morbiliforme rapportée avec vacomycine

How well did you know this?
1
Not at all
2
3
4
5
Perfectly
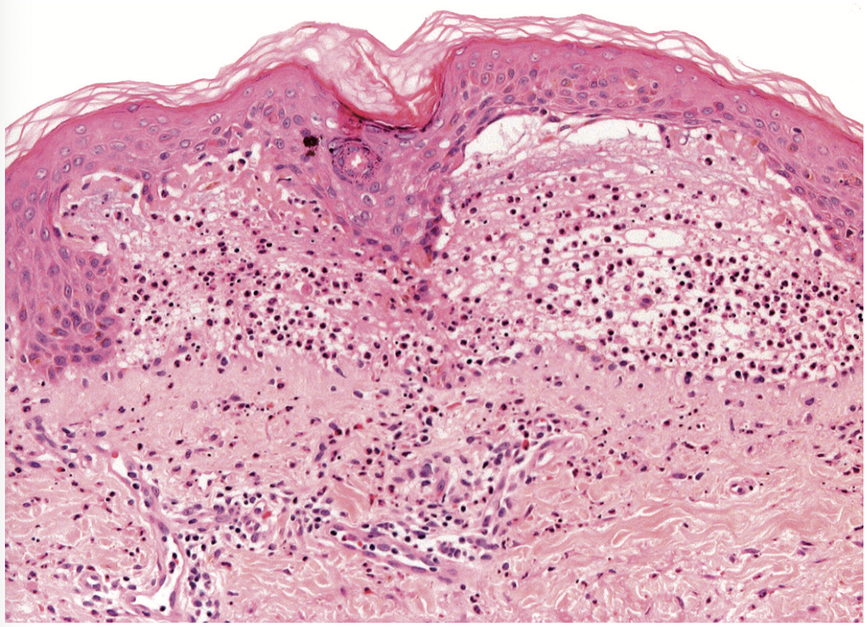
2
Q

Histologie DIgAL

A

Dermatose vésiculeuse sous-épidermique à prédominance neutrophilique

Précoce
Neutrophiles alignés le long de la membrane basale
Changements vacuolaires
Parfois microabcès neutrophiliques dans les papilles dermiques
similaire à DH

Mature
Bulles sous-pidermiques
Neutrophiles derme sous-jacent
avec ou sans éosinophiles

IFD
Dépôts IgA linéaires
Lamina lucida»_space; sublamina densa
lamina lucida : plafond salt split (épiderme)
sublamina densa : plancher salt split (derme)

How well did you know this?
1
Not at all
2
3
4
5
Perfectly
3
Q

Épidémiologie DIgAL

A

Enfants
Âge préscolaire

Adultes
Médicamenteux

How well did you know this?
1
Not at all
2
3
4
5
Perfectly
4
Q

Mécanisme DIgAL

A

Anticorps IgA anti-BPAG2 (portion seulement de NC16 collagène 17)

How well did you know this?
1
Not at all
2
3
4
5
Perfectly
5
Q

Cancers associés avec DIgAL (6)

A

Lymphome B
LLC
Carcinome urothélial
Carcinome thyroïde
Carcinome colon
Carcinome oesophage
>
Plasmocytome
Mole hydatiforme
Carcinome rénal
Mélanome oculaire

How well did you know this?
1
Not at all
2
3
4
5
Perfectly
6
Q

Infections associées à DIgAL (3)

A

VZV
Tétanos traité avec antibiotiques
IVRS

*déclencheraient réponse immunitaire

How well did you know this?
1
Not at all
2
3
4
5
Perfectly
7
Q

Médication associée à DIgAL (7+)

A

VA faire CaCa PaPa
vancomycine, amiodarone/AINS (diclofenac, NPX), captopril, ceftriaxone, PNC, phénytoïne

Vancomycine
>
Pénicillines
Céphalosporines
Captopril >autres IECA
AINS (diclofenac, NPX)
>
Phénytoïne
Antibiotiques sulfonamies
sulfamethoxazole
sulfisaxazole
>
Autres cf tableau
allopurinol
amiodarone
ARA
carbamazépine
CSA
furosemide
glyburide
infliximab
rifampin

How well did you know this?
1
Not at all
2
3
4
5
Perfectly
8
Q

Distinction DH, DIgAL et PB (9)

A

Lésions cutanées
DH : papules et vésicules groupées, parfois excoriées
DIgAL : vésicules et grandes bulles
PB : grandes bulles

Distribution
DH : surface des extenseurs
DIgAL : similaire à DH ou PB
PB : tronc, extrémités, muqueuses

Histologie
DH : bulle sous épidermique avec neutrophiles
DIgAL : bulle sous épidermique avec neutrophiles, parfois prédominance éosinophilique
PB : bulle sous épidermique avec éosinophilique

IFD
DH : IgA granuleux papilles dermiques
DIgAL : IgA linéaire membrane basale, parfois IgG
PB : IgG linéaire et C3 membrane basale

Entéropathie
> 90% DH
Rare en DIgAL et jamais en PB

HLA-DQ2
> 90% DH
30% DIgAL
20% (N) PB

Réponse dapsone
Excellente DH
Bonne DIgAL (parfois besoin CS)
Modérée PB

How well did you know this?
1
Not at all
2
3
4
5
Perfectly
9
Q

Traitement DIgAL

A

Dapsone
Sulfapyridine

CS PO (ad 40 mg)
ajout chez certains patients réfractaires (souvent avec dépôts IgA et IgG)

Autres
Immunomodulation si réfractaire
MMF
AZA
CSA
rituximab
TNFi
IVIg
Antiobiotiques
dicloxaciline
érythromycine
tétracycline (>9 ans)
TMP-SMX
Nicotinamide, niacinamide
Colchicine
Immunoadsorption

*réponse clinique en 48-72h

How well did you know this?
1
Not at all
2
3
4
5
Perfectly
10
Q

Effets secondaires dapsone

A

GR
Anémie hémolytique
Methémoglobinémie**

GB
Leucopénie
Agranulocytose

Syndrome d’hypersensibilité à la dapsone

Éruption cutanée
Éruption morbiliforme
Urticaire
FDE
EN
Dermatite exfoliative
SJS/TEN
Phototoxicité
LE médicamenteux

GI
Anorexie
Nausée
Hépatite
Ictère cholestatique
Hypoalbuminémie sévère

Associations neurologique
Céphalée, étourdissement
Neuropathie périphérique (motrice)
Visioin floue
Acouphène
Insomnie
Psychose

Autres
Fièvre
Syndrome néphrotique

*bien toléré chez > 90% des patients

How well did you know this?
1
Not at all
2
3
4
5
Perfectly
11
Q

Syndrome d’hypersensibilité à la dapsone

A

Rare et potentiellement sévère

Apparition 2-7 semaines après début du traitement

Fièvre
Fatigue
Anorexie
Adénopathies

Hépatite
Leucocytose > éosinophilie

Éruption cutanée
Morbiliforme
Dermatite exfoliative

How well did you know this?
1
Not at all
2
3
4
5
Perfectly
12
Q

Bilans dapsone

A

Initial
G6PD
surtout africains, asiatiques ou sud de la méditerranée
FSC
Fonction hépatique

Suivi
FSC q semaine x 1 mois
FSC q mois x 5 mois
FSC et fonction hépatique q 6 mois ensuite

How well did you know this?
1
Not at all
2
3
4
5
Perfectly
13
Q

Doses de départ et de maintien de dapsone en DIgAL

A

Départ
25-50 mg adultes
0.5 mg/kg enfants

Maintien
100 mg die adultes (diète normale)
ajustement q semaine (ad 300 mg die, attention >200)
1-2 nouvelles lésions par semaine attendues à dose optimale

1-2 mg/kg enfants

*lésions faciales peuvent être réfractaires

How well did you know this?
1
Not at all
2
3
4
5
Perfectly
14
Q

Mécanisme hémolyse avec dapsone

A

Sulfones produisent stress oxydatif sur GR vieillissants

Anémie hémolytique compensée
réticulocytes augmentés

*sécrétion dapsone dans lait maternel = anémie hémolytique chez enfant allaité

How well did you know this?
1
Not at all
2
3
4
5
Perfectly
15
Q

Mécanisme methémoglobinémie avec dapsone

A

Survient chez la plupart des patients 100 mg die

Methémoglobine ne dépasse habituellement pas 5% (parfois 10-15%)
désaturation à la saturométrie

Pas de changement de dose requis en absence de maladie cardiopulmonaire

How well did you know this?
1
Not at all
2
3
4
5
Perfectly
16
Q

Mécanisme agranulocytose avec dapsone

A

Fatal décrit

Survient après 2-12 semaines de traitement continu avec dapsone

Réaction d’ypersensibilité impliquant formation d’agglutinines leucocytaires
Ré-administration de dapsone cause leucopénie en quelques heures

*aviser le patient de cesser le traitement si apparition de fièvre, mal de gorge ou autres signes d’infection

17
Q

Mécanisme neuropathie périphérique dapsone

A

Apparition dès 4 mois de traitement
doses die élevées (200-500 mg)
doses cumulatives élevées (25-500 g)

Moteur > sensitif ou mixte

18
Q

Délai rémission DIgAL pédiatrique

19
Q

Doses de départ et de maintien de sulfapyridine en DIgAL

A

Départ
500 mg tid

Maintien
2 g tid

*certains ne répondront jamais

20
Q

IFD DIgAL

A

Membrane basale
Dépôts linéaires marqués
IgA
> faible IgG, C3

Lamina lucida»_space; sublamina densa
lamina lucida : plafond salt split (épiderme)
sublamina densa : plancher salt split (derme)

21
Q

Auto-anticorps DIgAL

A

LAD-1, LABD97
(néoantigène sur ectodomaine BP180/BPAG2)

22
Q

IFI DIgAL

A

Faire avec IgA

Salt split
Forme classique : versant épidermique (plafond)
Rarement (plutôt EBA IgA) : versant dermique (plancher)