Ectoparasites Flashcards

(127 cards)

1
Q

Pathogène gale

A

Sarcoptes scabiei var. hominis
(mite à 8 pattes de 0.35 x 0.3 mm)

How well did you know this?
1
Not at all
2
3
4
5
Perfectly
2
Q

Pathogenèse gale

A

Cycle de vie de 9-15 jours
Entièrement dans l’épiderme
Survie 4-6 semaines des mites adultes

Épiderme
Mite F pond 2-3 oeufs par jour
Éclosion des oeufs après 2-4 jours
Larves à 6 pattes se transforment en nymphes à 8 pattes après 3-4 jours
Mite adulte après 4-7 jours
survie ad 4-6 semaines

Fomites (draps, plancher, rideaux, chaises
Survie ad 3 jours
(maximum 7 pour gale norvégienne car peuvent se nourrir de squames)

Incubation jours à mois
Sensibilisation requise
Première infestation prend 2-6 semaines pour sensibilisation à la mite et ses produits
Infestations subséquentes surviennent en 24-48h

*porteurs aSx existent

How well did you know this?
1
Not at all
2
3
4
5
Perfectly
3
Q

Transmission gale

A

Contact direct
rapproché
sexuel
>
Fomites
(mite survit 3 jours, ad 7 maximum)

How well did you know this?
1
Not at all
2
3
4
5
Perfectly
4
Q

Facteurs de risque gale norvégienne

A

Immunosuppression
Personnes âgées
VIH +
HTLV-1+
Greffe d’organes solides ou autre iatrogénique
CS systémiques ou oraux
Lymphomes T ou leucémies

Altération sensitives ou incapacité à se gratter
Neuropathies
Lèpre
Paraplégie

How well did you know this?
1
Not at all
2
3
4
5
Perfectly
5
Q

Nombre de mites d’un gale standard et d’une gale norvégienne

A

Standard : souvent < 10-15
habituellement < 100

Norvégienne : milliers
Ad 4700 mites par gramme

How well did you know this?
1
Not at all
2
3
4
5
Perfectly
6
Q

Survie d’un sarcopte de gale sans hôte humain

A

Ad 3 jours
Maximum 7 pour gale norvégienne (peuvent se nourrir de squames)

How well did you know this?
1
Not at all
2
3
4
5
Perfectly
7
Q

Sites de prédilection pour gale

A

Espaces interdigitaux des mains
Mains
Fléchisseurs des poignets
Aisselles
Fesses
Taille (incluant ombilic)
Cuisses internes
Chevilles
Pieds
Post-auriculaire

H
Pénis
Scrotum

F
Mamelons et aréole
Vulve

*nourrissons partout incluant cuir chevelu et visage

How well did you know this?
1
Not at all
2
3
4
5
Perfectly
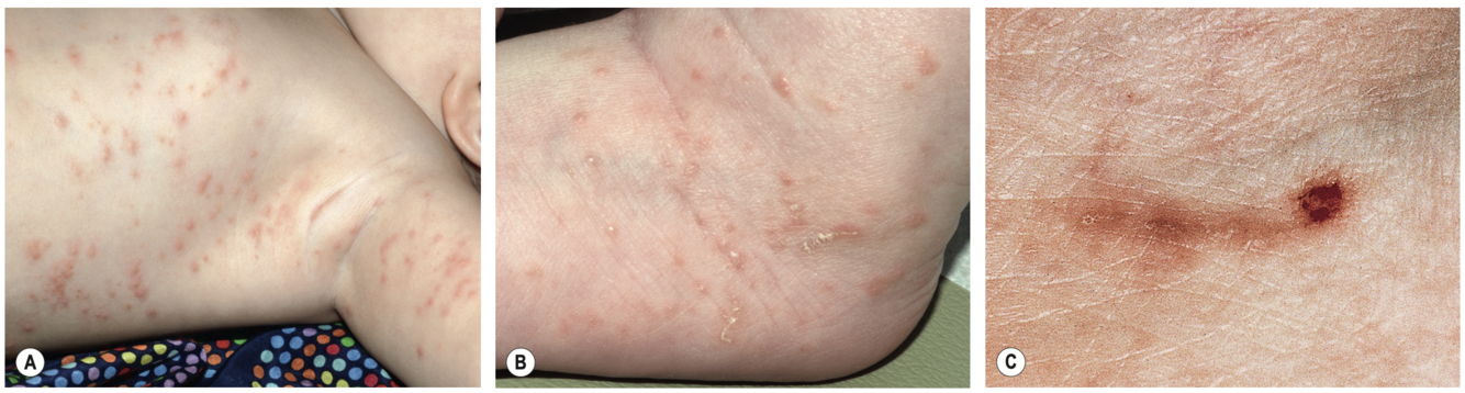
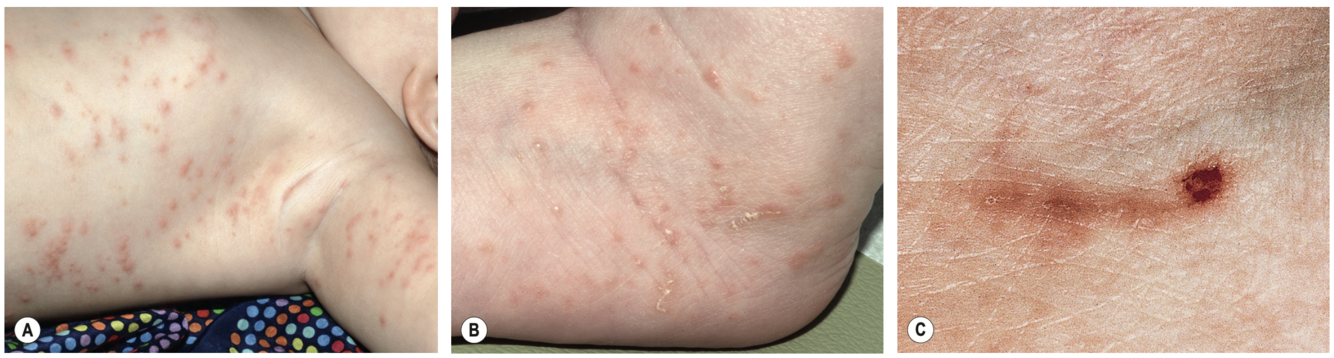
8
Q

Description gale

A

Prurit nocturne (insomniant)

Morphologie variable
papules, nodules, vésicules, dermatite eczémateuse
hyperkératose acrale > autres sites (gale norvégienne)
Sillon
Infections bactériennes secondaires

Signe du deltaplane (delta-wing jet)
Sillon qui termine par une mite

How well did you know this?
1
Not at all
2
3
4
5
Perfectly
9
Q

Morphologies gale (5)

A

Papules érythémateuses
Excoriations
Vésicules
Nodules indurés
Dermatite eczémateuse

How well did you know this?
1
Not at all
2
3
4
5
Perfectly
10
Q

Nom de ce signe

A

Sillon de gale (pathognomonique)
Tunnel creusé par la mite F pour pondre ses oeufs
Ondulé, linéaire, gris-blanc, court (1-10 mm de long)
termine avec vésicule ou pustule érodée contenant la mite

How well did you know this?
1
Not at all
2
3
4
5
Perfectly
11
Q

Pathogène représenté

A

Gale
Sarcoptes scabiei var hominis

How well did you know this?
1
Not at all
2
3
4
5
Perfectly
12
Q

Histologie gale

A

Infiltrat diffus ou discontinu derme réticulaire
éosinophiles importants
lymphocytes, hiostiocytes

Sarcopte occasionnellement visualisé (couche cornée de l’épiderme)
Indice avec structures en tire-bouchon (pigtail-like) dans la couche cornée
fragments de l’exosquelette adulte

How well did you know this?
1
Not at all
2
3
4
5
Perfectly
13
Q

Diagnostic gale

A

Scraping et microscopie
Identification de la mite, des oeufs ou des excréments (scybala)
Préparations à l’huile minérale
Ruban adhésif passé sur zones infestées

Dermoscopie
Signe du deltaplane

How well did you know this?
1
Not at all
2
3
4
5
Perfectly
14
Q

Traitement gale

A

Limiter fomites
Laver à l’eau chaude et sécher vêtements, literie, serviettes de la semaine précédente
ou ranger 10 jours dans sac (au moins 72h)

Traiter proches
Animaux n’ont pas les mites humaines

Topiques
Appliquer HS à toute la surface du corps (visage et cheveux ok épargnés si adultes)
Répéter 7-10 jours après
Perméthrine 5% crème (FDA)
Spinosad 0.9% suspension (FDA)
>
Soufre 5-10% onguent
Benzyl benzoate 25% adultes et 10 ou 12.5% enfants
non disponible USA et Canada
Ivermectin 1% crème
>
Lindane 1% lotion ou crème (FDA)
(Malathion 0.5%)
(Crotamiton 10% lotion ou crème) (FDA)

Systémiques
Ivermectin (comprimés 3 mg)
200-400 mcg/kg
jour 1 + jour 8 (ou 14) (car non ovicide)

*soulagement du prurit possible en 3 jours
*persistance possible des des lésions 2-4 semaines après traitement (prurit ou dermatite post-scabétique)
réponse aux mites mortes

How well did you know this?
1
Not at all
2
3
4
5
Perfectly
15
Q

DDx clinique gale infantile (5+)

A

Acropustulose infantile
Piqûres d’arthropodes
Urticaire papuleux
DA
Histiocytose langerhansienne
IP

How well did you know this?
1
Not at all
2
3
4
5
Perfectly
16
Q

DDx histologique spongiose éosinophilique (15+)

A

Bulloses
PV
PF
PB
Pemphigoïde gestationis
PMM (cicatriciel)
DIgAL

Éosinophiles
Piqûre d’arthropodes
Éruption médicamenteuses
Wells
IP
Folliculite éosinophilique

Eczémateux
DA
DCA
Id
MF

Autres
Érythème toxique du nouveau-né (ETN)
Éruption polymorphe de la grossesse (PEP)
Prurigo pigmentosa
Still

How well did you know this?
1
Not at all
2
3
4
5
Perfectly
17
Q

Traitements topiques gale (5+)

A

Perméthrine 5% crème (efficace)
Jours 1 et 8 overnight
Approuvé 2+ mois
DCA si sensibilité formaldéhyde

Spinosad 0.9% suspension
Jour 1 overnight
Approuvé 4+ ans

Ivermectin 1% lotion ou crème

Lindane 1% lotion ou crème (résistance fréquente)
Jours 1 et 8 overnight
Non recommandé grossesse, allaitement, nourrissons, prématurés
Toxicité SNC si poids < 50 kg, âgé, gale norvégienne, condition dermatologique ou convulsions

Crotamiton 10% lotion ou crème (peu efficace)
3-5 jours overnight
Considéré sécuritaire chez nourrissons (mais non étudié)
DCI

Soufre 5-10% onguent (efficace)
3 jours overnight
Considéré sécuritaire chez nourrissons et en grossesse (mais non étudié)

(Benzyl benzoate 25% adultes et 10 ou 12.5% enfants)

How well did you know this?
1
Not at all
2
3
4
5
Perfectly
18
Q

Traitement systémique gale

A

Ivermectin (comprimés 3 mg)
Jour 1 et jour 8 (ou 14)
200 mcg/kg

Pas recommandé pour gale en grossesse
Pas étudié < 15 kg ni allairement
Toxicité SNC potentielle chez nourrissons et jeunes enfants

How well did you know this?
1
Not at all
2
3
4
5
Perfectly
19
Q

Traitement recommandé en grossesse pour gale

A

Perméthrine 5% crème
Jour 1 et 8 overnight
Approuvé pour nourrissons 2+ mois

How well did you know this?
1
Not at all
2
3
4
5
Perfectly
20
Q

Traitement gale norvégienne avec échec au traitement initial

A

**Perméthrine 5% crème
q 2-3 jours x 1-2 semaines
ET
Ivermectin 200 mcg/kg
3 doses : jours 1, 2 et 8
5 doses : jours 1, 2, 8, 9, 15

Considérer kératolytique pour hyperkératose associée
acide salicylique
acide lactique

How well did you know this?
1
Not at all
2
3
4
5
Perfectly
21
Q

Mécanisme d’action perméthrine pour ectoparasites

A

Pyréthroïde synthétique
Inhibe transport du sodium dans les neurones des arthropodes
= paralysie et décès

*résistance des poux fréquente
mutation gène encodant sous-unité alpha des canaux sodiques voltage dépendant
= diminution de l’affinité de la perméthrine

How well did you know this?
1
Not at all
2
3
4
5
Perfectly
22
Q

Contre-indications lindane topique pour gale (4+)

A

Prématurés
Gale norvégienne
DA extensive
Convulsions (non contrôlées)
Individus < 50 kg
Personnes âgées

Risque d’effets SNC
Absorption percutanée augmentée
Mauvaise utilisation
Surutilisation
Ingestion accidentelle

How well did you know this?
1
Not at all
2
3
4
5
Perfectly
23
Q

Mécanisme d’action spinosad pour ectoparasites

A

Produit de fermentation de la bactérie Saccharopolyspora spinosa (retrouvée dans sol)

Excitation SNC
Interfère avec récepteur Ach nicotinique
Excitation et contractions musculaires involontaires
Paralysie de l’insecte et mort

How well did you know this?
1
Not at all
2
3
4
5
Perfectly
24
Q

Mécanisme d’action crotamiton pour gale

A

Inconnu
Effets antiprurigineux
inhibition histamine, sérotonine, PAR-2

How well did you know this?
1
Not at all
2
3
4
5
Perfectly
25
Efficacité spinosad pour gale
*Natroba* **Spinosad 0.9% suspension** Application 6-8h x1 Efficacité 78% (vs 40% placebo)
26
Efficacité ivermectin systémique pour gale
Dose unique 200 mcg/kg Efficacité 79% (vs placebo 16%) *administrer 2 doses espacées de 1 ou 2 semaines vu activité limitée contre oeufs *éviter pour F enceintes ou allaitant, enfants > 15 kg
27
Utilisation perméthrine pour gale
**Application pancorporelle HS** Application tube 30g suffisante pour adulte x1 Masser le produit Laisser en place 8-14h Laver ensuite *Efficacité* Similaire à ivermectin Supérieure à soufre, malathion, lindane, crotamiton, benzoyl benzoate
28
Utilisation spinosad pour gale
*Natroba* **Spinosad 0.9%** suspension Application pancorporelle si cuir chevelu chauve, appliquer également Laisser sécher 10 min avant de se vêtir Application 6h
29
Efficacité onguent de soufre pour gale
**Soufre 10%** onguent (gelée de pétrole) x 7 jours consécutifs Efficacité 71% (60-96% avec 3 applications consécutives de 24h)
30
Mécanisme d'action soufre pour gale
Scabicide Kératolytique
31
Mécanisme d'action ivermectin pour gale
**Lactone maccrocyclique** produit par *Streptomyces avermitilis* Liaison sélective et puissante des canaux de chlore glutamate-dépendants ou GABA nerfs et cellules musculaires des invertébrés Augmentation de la perméabilité des membranes cellulaires aux ions de chlore Hyperpolarisation des nerfs et cellules musculaires = paralysie fonction motrice périphérique du parasite = mort du parasite
32
Efficacité ivermectin topique pour gale
**Ivermectin 1%** lotion
33
Mécanisme d'action malathion topique pour ectoparasites
*Malathion 0.5% lotion* **Organophosphate** Tue ectoparasites Inhibition activité cholinesterase des ectoparasites *pour pédiculose capillaire, présence d'alcool isopropyl 78% augmente efficacité *retiré temporairement du marché vu flammabilité
34
Mécanisme d'action lindane pour ectoparasites
**Composé organochloré** Absorption directe par parasites et oeufs via exosquelette Stimule SNC directement = convulsion et mort des arthropodes *Attention effets SNC chez humain* si absorption percutanée augmentée, mauvaise utilisation, surutilisation ou ingestion accidentelle éviter personnes âgées et < 50 kg
35
Traitement gale pour enfants < 2 mois
Soufre 5-10% onguent
36
Utilisation lindane pour gale
**Lindane 1%** lotion ou crème Application pancorporelle (neck down) Laisser en plance 8h puis nettoyer
37
Particularité traitement gale avec atteinte sous-unguéale
**Ajouter scabicide topique** Médication systémique ne pénètre pas dans débris kératinocytaires épais
38
Pathogène pédiculose capillaire
*Pediculus humanus* var. *capitis* Insecte à 6 pattes de 2-3 mm (graine de sésame) Lentes 0.8 mm
39
Transmission pédiculose capillaire
Contact tête à tête Fomites peigne brosse séchoir accessoires à cheveux literie casques autres accessoires sur la tête (tuques, bandeaux, etc)
40
Groupe avec la plus haute incidence de pédiculose capillaire
F > H **Enfants 3-11 ans** (ad 60% dans certains pays)
41
Pathogenèse pédiculose capillaire
**Cycle de vie 21-27 jours** au cuir chevelu Parasites obligatoires des humains Se nourrissent de sang q 4-6h survie rare > 36h sans repas sanguin F vit 30 jours Pond 5-10 oeufs par jour sur les tiges pilaires oeufs 0.8 mm de long (lentes) **Lentes** cimentées aux tiges pilaires par matrice protéinacée 0.5 mm en forme de flasque Non éclos ad 1 cm du cuir chevelu **Prurit** Sensibilisation aux composants de la salive et des excréments des poux initialement 2-6 semaines ré-infestation 24-48h
42
Groupe avec la plus faible incidence de pédiculose capillaire
Afro-américains (poux n'arrivent pas à se positionner adéquatement pour pondre leurs oeufs avec cheveux frisés coarse)
43
Distinction oeufs viables et éclos pour pédiculose capillaire
**Lentes viables :** tan à brun **Lentes écloses :** clair à blanc
44
Distance du cuir chevelu jusqu'à laquelle les lentes des poux sont généralement viables
**1 cm** Généralement non éclos ad 1 cm (15 cm dans pays chauds, surtout nuque)
45
Survie d'un poux de tête sans hôte humain
*Pédiculose capillaire* Ad 4 jours (36h Bolognia) pour poux adulte Ad 10 jours pour lente si température élevée et humidité importante température 28-32°C humidité 70-90%
46
Symptômes systémiques occasionnellement décrits avec pédiculose capillaire
**Contexte infection bactérienne secondaire** *Poux parfois porteurs de S. aureus et Str. pyogenes* Fièvre de bas grade Adénopathie
47
Diagnostic pédiculose capillaire
Identification de lentes viables ou poux adultes au cuir chevelu
48
DDx clinique lentes capillaires (5)
Squames Produits capillaires séchés sprays gels Hair casts Nodules infectieux piedra blanche (*Trichosporon* spp) piedra noire (*Piedraia hortae*) trichomycose Trichorrhexis nodosa
49
Traitement pédiculose capillaire (11)
*Application à 2 reprises séparées d'une semaine* **Topiques** Pyréthrines 0.33% avec piperonyl butoxide 4% Perméthrine 1% lotion ou cream rinse Perméthrine 5% crème Lindane 1% shampooing Carbaryl 0.5% shampooing Benzyl alcohol 5% lotion Dimethicone 4% lotion Spinosad 0.9% suspension Malathion 0.5% lotion ou gel Ivermectin 0.5% solution Abametapir 0.74% lotion (FDA) **Systémique** Ivermectin oral (comprimés 3 mg) dose 200-400 mcg/kg **Physique** AirAllé (appareil médical avec chaleur pour déshydrater oeufs > poux)
50
Mécanisme d'action abametapir pour pédiculose capillaire
*Xeglyze* **Inhibiteur de métalloprotéase** Ovicide
51
Traitements topiques pédiculose capillaire (10)
Ingrédients botaniques naturels pyréthrines 0.33% avec piperonyl butoxide 4% Pyréthroïdes synthétiques perméthrine 1% lotion ou cream rinse perméthrine 5% crème Composés organochlorés lindane 1% shampooing Inhibiteur de cholinestérase carbamate : carbaryl shampooing organophosphate : malathion 0.5% lotion ou gel Alcool benzyl alcohol 5% lotion Huile de silicone dimethicone 4% Produits de fermentation bactérienne spinosad 0.9% suspension Avermectin ivermectin 0.5% solution (Inhibiteur de métalloprotéase)
52
Classes de traitements topiques pour pédiculose capillaire (9)
Ingrédients botaniques naturels Pyréthroïdes synthétiques Composés organochlorés Inhibiteur de cholinestérase carbamate organophosphate Alcool Huile de silicone Produits de fermentation bactérienne Avermectin (Inhibiteur de métalloprotéase)
53
Utilisation traitements topiques pour pédiculose capillaire
Application jours 1 et 8 Cheveux secs **4 minutes** puis eau pour mousser avant de rincer Lindane 1% shampooing **10 minutes** puis nettoyer Pyréthrines 0.33% avec piperonyl butoxide 4% Perméthrine 1% lotion ou cream rinse Benzyl alcohol 5% lotion Spinosad 0.9% suspension Ivermectin 0.5% solution **15 minutes ou overnight** Dimethicone 4% **8-12h puis nettoyer** Carbaryl shampooing Malathion 0.5% (mais certaines formulations efficaces en 20 minutes) **Overnight** Perméthrine 5% crème
54
Traitements les plus efficaces pour pédiculose capillaire (5)
Ivermectin oral 200-400 mcg/kg solution 0.5% Malathion 0.5% lotion ou gel (FDA 6+ ans) Ivermectin 0.5% lotion (FDA 6+ mois) > Spinosad 0.9% suspension (FDA 4+ ans) Benzyl alcohol 5% lotion (FDA 6+ mois) Dimethicone 4% (abametapir 0.74% lotion FDA)
55
Traitements pour pédiculose capillaire avec possibilité DCA (2)
**Pyréthrines** Chrysanthèmes, herbe à poux, plantes reliées **Perméthrine** Formaldéhyde
56
Traitements pour pédiculose capillaire avec potentielle toxicité SNC (2)
*Éviter pour nourrissons, femmes enceintes ou allaitant* Lindane 1% shampooing Ivermectin oral
57
Avantages du traitement topique en 2 étapes pour pédiculose capillaire (3)
*Traitement jour 1 et 8* Tue lentes ayant survécu au traitement Limite augmentation de la résistance aux pédiculicides Diminue risque de réinfestation par fomites
58
Décision de retour en classe avec pédiculose capillaire pédiatrique
Retour à l'école malgré présence de lentes devrait être préconisé
59
Mécanisme de la résistance à la perméthrine en pédiculose capillaire
*Résistance des poux fréquente* Mutation gène encodant sous-unité alpha des canaux sodiques voltage dépendant = diminution de l'affinité de la perméthrine
60
Mécanisme d'action pyréthrines pour pédiculose capillaire
**Dérivés d'un extrait botanique naturel** de *Chrysanthemum cinerariaefolium* Bloque transport sodique dépolarisation des membranes nerveuses paralysie respiratoire = mort de l'isecte Ajout de piperonyl butoxide ralentit biotransformation des pyréthrines et augmente efficacité inhibition partielle d'enzymes du cytochrome P450
61
Mécanisme d'action carbaryl pour pédiculose capillaire
**Carbaryl 0.5%** lotion ou shampooing Inhibiteur de cholinestérase (comme malathion)
62
Traitement systémique pour pédiculose capillaire
*Réfractaire au traitement topique* **Ivermectin** 200-400 mcg/kg Jours 1 et 8 **Pas d'activité ovicide** vu exposition seulement lors de repas sanguin *efficacité 95% avec 400 mcg/kg jours 1 et 8 (vs 85% malathion topique)
63
Traitements pour pédiculose capillaire acceptés en pédiatrie (5)
*Tous catégorie B en grossesse parmi ceux listés ci-dessous* **2+ mois** Perméthrine 5% crème **6+ mois** Spinosad 0.9% suspension Benzyl alcohol 5% lotion Ivermectin 0.5% solution **2+ ans** Pyréthrine 0.33% avec piperonyl butoxide 4% **6+ ans** Malathion 0.5% lotion ou gel
64
Traitements pour pédiculose capillaire acceptés en grossesse (5)
*Catégorie B* Perméthrine 5% crème Spinosad 0.9% suspension Benzyl alcohol 5% lotion Ivermectin 0.5% solution Malathion 0.5% lotion ou gel
65
Efficacité ivermectin oral pour pédiculose capillaire
**Ivermectin 400 mcg/kg** jours 1 et 8 Efficacité 95% (vs 85% malathion topique) **Pas d'activité ovicide** vu exposition seulement lors de repas sanguin/
66
Mécanisme d'action benzyl alcohol pour pédiculose capillaire
*Benzyl alcohol 5% lotion* **Asphyxiation** Empêche les poux de fermer leur spiracles respiratoires (bloqués par la lotion) **Non ovicide**
67
Efficacité benzyl alcohol pour pédiculose capillaire
**Benzyl alcohol 5% lotion** (Ulesfia) 75% après 2 applications de 10 minutes (jour 1 et 8) *vs 5-25% avec véhicule contrôle
68
Mécanisme d'action dimethicone pour pédiculose capillaire
*Hypothèses* Suffocation des poux Blocage de leur capacité à excréter l'eau = mort par stress osmotique
69
Traitements topiques neurotoxiques pour pédiculose (5)
Ivermectine Perméthrine Malathion Pyréthrines Spinosad *vs benzyl alcohol asphyxiation
70
Efficacité malathion pour pédiculose capillaire
**Malathion 0.5% lotion** Jour 1 et 8, applications 20 min Efficacité ad 98% (petite étude avec malathion contenant terpineol USA) *terpineol est agent pédiculicide supplémentaire
71
Efficacité dimethicone pour pediculose capillaire
**Dimethicone 4%** gel ou lotion (Hedrin) Jours 1 et 8 overnight Efficacité 70-97% *supérieur à perméthrine 1% cream rinse ou malathion 0.5% liquide (qui ne contient pas terpineol au UK vs USA)
72
Efficacité spinosad pour pédiculose capillaire
**Spinosad 0.9%** cream rinse (Natroba USA) Application 10 minutes Efficacité 85% > 44% pour perméthrine 1%
73
Pathogène morpions
*Phtirus pubis* 1 mm ressemblant à crabe corps plus court et plus large que poux
74
Pathogenèse morpions
**Cycle de vie 3-4 semaines** Ponte d'approximativement 30 oeufs pendant la vie du *Phtirus pubis*
75
Transmission morpions
Contact sexuel Fomites vêtements contaminés serviettes literie
76
Groupe le moins souvent affecté par morpions
Asiatiques Peu de poils pubiens *H sont plus affectés que F
77
Pathogène représenté
**Phtirus pubis** *Morpions* 1 mm ressemblant à crabe avec corps plus court et plus large que poux
78
Survie d'un morpion sans hôte humain
36h (et plus)
79
Groupe le plus souvent affecté par morpions
**HARSAH** (prévalence la plus élevée) 15-40 ans (corrélation avec activité sexuelle)
80
Sites les plus souvent affectés par morpions
*60% sont infectés a 2+ sites* Pubis Cuir chevelu Sourcils Cils Moustache Barbe Aisselles Région périanale
81
Traitement morpions
*Administration jours 1 et 8* Perméthrine 1% cream rinse (10 min) shampooing pyréthrine synergisée **1ère ligne** Perméthrine 5% crème (8-12h) **efficacité #1** Lindane 1% shampooing (4 min) non approuvé pour zone étendue Ivermectin 250 mcg/kg *Cils* gelée de pétrole **Rasage** Diminution des récidives **Vêtements et literie** Nettoyer ceux utilisés dans les 3 jours précédents Lavage et séchage à > 50 degrés **Traitement des partenaires** Dépistage ITS
82
Mécanisme macula cerulea
*Morpions* **Dégradation de bilirubine en biliverdine** par enzymes de la salive des morpions présent dans infections chroniques Tronc et cuisses > aures sites Macules gris ardoise ou bleuté de forme irrégulière 0.5-1 cm
83
Diagnostic morpions
Présence de morpions et/ou lentes
84
Pathogène poux de corps
*Pediculus humanus* var. *humanus* 2.3 à 3.6 mm, rarement sur peau des patients sauf quand s'alimentent (résident dans vêtements)
85
Maladies transmises par poux de corps (3)
Typhus endémique (*Rickettsia prowazekii*) Fièvre récurrente (*Borrelia recurrentis*) Fièvre des tranchées (*Bartonella quintana*) Angiomatose bacillaire (*Bartonella quintana*) Endocardite (*Bartonella quintana*) *transmission par inoculation d'excréments dans la peau (grattage, inhalation d'excréments par literie infectée ou vêtements)
86
Pathogène tungiase
*Tunga penetrans* Puce sans aile 1 mm (vit dans climats chauds et sol sec) > *Tunga trimamillata*
87
Traitement poux de corps
Jeter vêtements et literie de gens infestés dans sacs bien fermés pour incinération désinfection seulement si impossible de brûler *Désinfection* Fumigation des vêtements Lavage à l'eau chaude température > 50°C Séchage avec chaleur Repassage au fer des couture des meubles rembourrés Limiter exposition des items non traités x 2 semaines **Traitement corporel** similaire à gale ou morpions adresser infections secondaires et plaques eczémateuses
88
Pathogenèse tungiase
**Puce** Repas sanguin occasionnel d'animal à sang chaud requis F (1 mm) s'enfonce dans la peau Hypertrophie abdominale (ad 1 cm) Punctum central permet sortie de son derrière via punctum central persiste avec ou sans fertilisation H Expulsion d'une centaine d'oeufs en 3 semaines mort de la F éventuellement slough de sa peau
89
Épidémiologie tungiase
**Zones endémiques** (CME) Caraïbes Amérique latine (centrale et Sud) Afrique subsaharienne *Bolognia* Inde Pakistan **Réservoirs animaux** *Diffère selon la région* Chats et chiens (Brésil) Chats (Éthiopie) Cochons (Ouganda, Nigeria)
90
Site les plus fréquents de tungiase
Pieds (capacité limitée à sauter)
91
Description tungiase
Pénétration de la puce F dans la peau initialement aSx **Région périunguéale des orteils** > plantes et espaces interdigitaux des orteils **Point noir** qui évolue en papule blanchâtre perle-like **Nodule** (watch glass) avec halo blanc entourant punctum central noir érythème périphérique Croute noire sur lésion en involution 50% des lésions périunguéales entraînent déformation des ongles **Complications** Ulcération Infection secondaire Lymphangite > Tétanos Gangrène Amputation d'un orteil
92
DDx clinique tungiase (7)
Myiase Réaction aux piqûres de tiques Dermatite cercarienne Pyoderma GP Kyste myxoïde Corps étranger Abcès Leishmaniose Verrues plantaires Verruga peruana CSC
93
Traitement tungiase
*Guérison spontanée en 6 semaines, mais traitement préféré pour réduire symptômes et prévenir infection secondaire* **Précoce** Aiguille stérile pour retirer l'insecte ou rasage ou poinçon Couverture du punctum par paraffine liquide ou dimethicone prévient croissance de la puce **Mature** Curettage, EDC, exérèse chirurgicale Nettoyage attentif de la cavité kystique Antibiothérapie Prophylaxie tétanos Application topique ivermectin, metrifonate, thiabendazole rapprocherait mort des puces *ivermectin oral insuffisamment efficace vs placebo
94
Prévention tungiase
**Régions endémiques** Port de souliers fermés ou bottes Éviter contact avec le sol (plages de sable)
95
Pathogène myiase
**Larves de mouches** (asticots) Ordre d'arthropodes *Diptera* Myiase furonculeuse *Dermatobia hominis* (human botfly) *Cordylobia anthropophaga* (tumbu fly) Myiase de plaies *Cochliomyia hominivorax* (screwworm)
96
Pathogenèse myiase
*Dans la peau humaine pendant 5-10 semaines* **Larves de diptères** S'alimentent avec tissus de l'hôte, substances liquidiennes corporelles ou aliments ingérés *Dermatobia hominis* Pond ses oeufs sur moustiques Moustiques déposent les oeufs sur mammifère (sang chaud) *Cordylobia anthropophaga* Pond ses oeufs sur vêtements humides, couvertures souillées et sable **Larves survivent 15 jours** Contact avec hôte permet de pénétrer leur peau initie maturation supplémentaire 1-12 semaines ad adulte Plaie ouverte ou orifice attire mouches **tout site** séquelles sévères si atteinte cavité nasale, sinus, cuir chevelu
97
Types cliniques de myiase (3)
**Myiase furonculeuse** *Dermatobia hominis* (human botfly) *Cordylobia anthropophaga* (tumbu fly) **Myiase de plaies** *Cochliomyia hominivorax* (screwworm) **Myiase migratoire** *Hypoderma bovis* (bovins) *Gasterophilus intestinalis* (chevaux)
98
Épidémiologie myiase
Climat chaud et humide requis **Régions tropicales et sous-tropicales** Afrique Amériques **Bétail ou chevaux** *Hypoderma bovis* (bovins) *Gasterophilus intestinalis* (chevaux)
99
Description myiase
**Furonculeuse** (human botfly, tumbu fly) *Tumbu fly : tronc, cuisses, fesses* *Botfly : zones exposées du corps, cuir chevelu, visage, avant-bras, jambes* Papule prurigineuse en 24h de pénétration ad nodule avec punctum central **Plaie** *Cochliomyia hominivorax* (Amérique), *Chrysomya bezziana* (Afrique, Australie, Asie) Plaie suppurée ou chair en décomposition **Migratoire** Similaire à larva migrans, mais migration plus lente, durée prolongée et plus grande taille
100
Complications de myiase
*Infestation auto-résolutive* Infections près des orifices de la tête peuvent s'enfoncer dans le tissu cérébral (*Cochliomyia hominivorax*)
101
Histologie myiase
Réponse inflammatoire en stades Lymphocytes Cellules géantes Neutrophiles Éosinophiles Mastocytes Plasmocytes Larves visibles en cross section
102
DDx clinique myiase (8)
Kyste épidermoïde rupturé Abcès Furoncle Réaction à corps étranger Onchocercose Tungiase Réaction exagérée à une piqûre d'arthropode Adénopathie
103
Traitement myiase
Ivermectin (oral ou orbitaire) pas d'exérèse chirurgicale requise chute des larves naturellement après 2 semaines **Myiase furonculeuse** Débridement sous anesthésie locale réaction à corps étranger si résidus Occlusion ou suffocation gelée de pétrole, paraffine, cire d'abeille, vernis à ongles, huile sur punctum force larve à la surface pour air (sur plusieurs heures) extraction à ce moment avec pince Autres azote liquide chloroforme insecticides Pansements antiseptiques après avoir retiré la larve antibiotiques si infection **Myiase de plaies** Débridement avec irrigation pour éliminer la larve Exérèse chirurgicale Si burrow, extraction comme myiase furonculeuse
104
Pathogène représenté
*Pediculus humanus* var. *capitis* Insecte à 6 pattes de 2-3 mm (graine de sésame) Lentes 0.8 mm
105
Prévention myiase
**Éviter activités à risque** Vêtements humides S'asseoir dans zones de sable Utiliser chasse moustiques prévient moustiques porteurs de larves de human botfly
106
Populations à risque de gale (3)
**Pays à revenu élevé** Hospitalisation, CHSLD ou autre institution SDF Groupes avec aires de vie surpeuplées camps de réfugiés (displaced) victimes de désastres naturels
107
Complications gale (6)
Impétigo Cellulite Abcès GN post-streptococcique Fièvre rhumatismale Sepsis
108
DDx clinique gale classique (10+)
DA DCA Id Dermatite nummulaire PB DH Folliculite Impétigo Pyoderma Urticaire papuleux Piqûres d'arthropodes Poux de corps Délire de parasitose Morgellons
109
DDx clinique gale bulleuse (5)
Piqûres d'arthropodes Impétigo bulleux PB PV IP (stade inflammatoire)
110
DDx clinique gale norvégienne (8)
Psoriasis PRP DS DA DCA KPP Darier MF ou Sézary érythrodermique
111
Sites de prédilection pour gale pédiatrique
*Nourrissons et jeunes enfants* Paumes Plantes Poignets Chevilles
112
Technique de scraping pour gale
Goutte d'huile minérale à la fin d'un sillon Gratter l'épiderme à ce site (sous le sillon) avec lame chirurgicale ou aiguille stérile **Mite** **Oeufs** **Excréments** (scybale)
113
Traitement topiques gale (5+)
*Appliquer HS à toute la surface du corps* (visage et cheveux ok épargnés si adultes) *24h pour soufre, benzyl benzoate, crotamiton, malathion* *Répéter 7-10 jours après* Perméthrine 5% crème (FDA) Spinosad 0.9% suspension (FDA) > Soufre 5-10% onguent Benzyl benzoate 25% adultes et 10 ou 12.5% enfants non disponible USA et Canada Ivermectin 1% crème > Lindane 1% lotion ou crème (FDA) Malathion 0.5% Crotamiton 10% lotion ou crème (FDA) *tea tree oil aussi
114
Évolution gale post-traitement
**Prurit post-scabétique** Souvent ad 1-4 semaines post traitement efficace Inflammation persistante *Émollients, antihistaminiques et CS faibles*
115
Pathogenèse poux de corps
**Vivent 1-3 mois** F vie sur vêtements Repas sanguin en s'attachant à la peau à proximité Oeufs pondus dans les coutures des vêtements Éclosion en nymphes après 6-10 jours Maturation ensuite **Survie 3-5 jours sans hôte** Conditions idéales entre 29-32 degrés, humidité 70-90% Pas de survie > 50 degrés ou < 40% humidité
116
Facteurs de risque poux de corps
Contact rapproché avec personnes infestées Douches peu fréquentes Incapacité à se laver et à sécher les vêtements Températures froides diminuent fréquence de douche et de changement de vêtements **SDF** UDIV et drogues illicites Maladie mentale non traitée diminution de la fréquence des douches
117
Description poux de corps
Prurit généralisé **Morphologie variable** Excoriations Plaques eczémateuses Urticaire papuleux Bulles Prurigo nodulaire Lichénification Hyperpigmentation **Sites de contact avec les vêtements** Cou Épaules Dos supérieur Flancs Taille Parfois éosinophilie ou anémie ferriprive
118
Pathogènes transmis par poux de corps (3)
**Bartonella quintana** Fièvre des tranchées Angiomatose bacillaire Endocardite **Rickettsia prowazekii** Typhus endémique **Borrelia recurrentis** Fièvre récurrente *transmission par inoculation d'excréments dans la peau (grattage, inhalation d'excréments par literie infectée ou vêtements)
119
Fièvre des tranchées
*Bartonella quintana* Céphalée Étourdissement Érythème conjonctival **Douleur tibiale sévère** Adénopathies **Éruption maculeuse évanescente** **Fièvres récidivantes durant 4-8 jours** *Traitement* (6 semaines) Gentamicine 3 mg/kg/jour x 2 semaines puis doxycycline 200 mg/jour x 4 semaines
120
Fièvre récurrente louse-borne
*Borrelia recurrentis* Corne de l'Afrique (Éthiopie, Érythrée, Somalie) Réfugiés ayant transité en Afrique Fièvre de haut grade Céphalée Étourdissements Myalgies Fatigue **Récidives q 7-19 jours** de plus courte durée (et moins sévères) *Complications* Insuffisance hépatique Insuffisance rénale Dysfonction neurologique Hémorragie mucocutanée Mortalité < 40% sans traitement 2-5% avec traitement *Traitement* PNC G 400 000 à 800 000 UI IM x1 ou Doxycycline 200 mg/jour x1 **Jarisch-Herxheimer** fréquent 4-6h après (souvent 2h) frissons tachycardie hypotension
121
Typhus endémique
*Rickettsia prowazekii* *Réservoir écureuils volants et humains* *Transmission humaine via poux de corps* Exanthème maculopapuleux étendu parfois devient pétéchial Fièvre Nausée Diarrhée Delirium Insuffisance respiratoire Choc *Mortalité* < 60% sans traitement 4% avec traitement *Traitement* doxycycline 200 mg x1
122
Huiles essentielles efficaces pour pédiculose capillaire
*In vivo* Huile de melaleuca et lavande en combinaison 97.6% efficacité application 3x à intervalles de 7 jours Huile d'eucalyptus avec solution de *Leptospermum petersonii* > 2x plus efficace que mousse à base de pyréthrine appliquée 2x application 3x à intervalles de 7 jours
123
Particularités traitement topiques pour pédiculose capillaire
Traitement à effectuer jour 1 et jour 8 Cheveux secs Ne pas utiliser de revitalisant avant d'appliquer le produit Ne pas laver les cheveux pour 1-2 jours après avoir rincé la médication Peignes pour lentes à utiliser pour traitement non ovicides Peignes pour lentes à utiliser q 2-3 jours après le traitement pour minimiser risque de réinfestation
124
Traitements non ovicides pour pédiculose capillaire (5+)
**Non ovicides** Pyréthrines Perméthrine Diméthicone potentiel ovicide à concentrations supérieures Benzyl alcohol Ivermectin **Partiellement ovicide** Malathion Air chaud (AirAllé) *spinosad et abametapir sont ovicides
125
Traitements ovicides pour pédiculose capillaire (2+)
**Ovicides** Spinosad Abametapir **Partiellement ovicide** Malathion Air chaud (AirAllé)
126
Signes aux sites de morsure par morpions (3)
Macula cerulea (macules bleu-gris) Papules rouges Excréments couleur rouille
127
Stades cliniques de tungiase (5+)
**Stade 1** (3-7h) Macule 1 mm rouge-brun, prurigineuse ou douloureuse **Stade 2** (1-2 jours) Nodule perlé blanchâtre avec érythème au pourtour et punctum central foncé **Stade 3** *3a* (2-3 jours) Halo blanc-jaune en croissance autour du point noir Matière fécale visible Douleur, sensation de corps étranger et prurit sévère *3b* (1-2 semaines) Formation de caldera Consistence soft Douleur sévère **Stade 4** (3-5 semaines) *Parasite mort* Lésion noire croutée contenant parasite mort Avec ou sans surinfection **Stade 5** (6 semaines à plusieurs mois) *Absence de parasite* Cicatrice résiduelle Dépression punched-out Dystrophie unguéale ou perte de l'ongle Lymphoedème